RMB: 495 特惠 900 900
产品规格
Product Information
Product name
Human c-Fos, Tag Free Protein
Catalog No.
HA211326
Predicted molecular mass
19.3 kD
Protein construction description
A DNA sequence encoding the human c-Fos protein (P01100) (Lys 205-Leu 380) was expressed with tag free.
Accession
P01100-1
Protein construction
Source
HEK293
Bio Activity
Testing in progress.
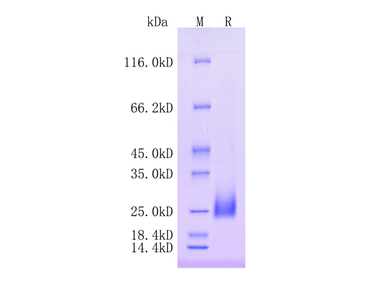
Purity
>95% as determined by SDS-PAGE.
Endotoxin
Less than 1.0 EU per μg by the LAL method.
Formulation
Lyophilized from a 0.2 μm filtered solution of PBS, pH7.4, 5% Trehalose, 5% mannitol.
Species
Human
Background
Protein c-Fos is a proto-oncogene that is the human homolog of the retroviral oncogene v-fos. It is encoded in humans by the FOS gene. It was first discovered in rat fibroblasts as the transforming gene of the FBJ MSV (Finkel–Biskis–Jinkins murine osteogenic sarcoma virus). It is a part of a bigger Fos family of transcription factors which includes c-Fos, FosB, Fra-1 and Fra-2. It has been mapped to chromosome region 14q21→q31. c-Fos encodes a 62 kDa protein, which forms heterodimer with c-jun (part of Jun family of transcription factors), resulting in the formation of AP-1 (Activator Protein-1) complex which binds DNA at AP-1 specific sites at the promoter and enhancer regions of target genes and converts extracellular signals into changes of gene expression. It plays an important role in many cellular functions and has been found to be overexpressed in a variety of cancers.
Usage guide
Shipping
In general, recombinant proteins are provided as lyophilized powder which are shipped with blue ice. Bulk packages of recombinant proteins are provided as frozen liquid which are shipped with dry ice.
Storage
Please avoid repeated freeze-thaw cycles. Samples are stable for up to twelve months from date of receipt at -20℃ to -80℃ It is recommended that aliquot the reconstituted solution to minimize freeze-thaw cycles.
Reconstitution
Reconstitute at 250 μg/ml in sterile water.
同靶点 & 同通路的产品
Human Cathepsin C/CTSC, Tag Free Protein
Application:
Reactivity: Human
Conjugate:
Human GHRL, C-His, Flag Tag Protein
Application:
Reactivity: Human
Conjugate:
Human BAFF/BLyS/TNFSF13B, Tag Free (ECD) Protein
Application:
Reactivity: Human
Conjugate:
Human MMP8/CLG1, C-His, Flag Tag Protein
Application:
Reactivity: Human
Conjugate:
Human TGF-alpha, Tag Free Protein
Application:
Reactivity: Human
Conjugate:
Human Siglec-3/CD33, Tag Free Protein
Application:
Reactivity: Human
Conjugate:
Human Lipocalin-2/NGAL, C-His Tag Protein
Application:
Reactivity: Human
Conjugate:
Human PMCA1/ATP2B1, C-His Tag Protein
Application:
Reactivity: Human
Conjugate:
Human LAIR1, N-Twin Strep, C-His, Flag Tag Protein
Application:
Reactivity: Human
Conjugate:
Human SIRPA, Tag Free Protein
Application:
Reactivity: Human
Conjugate:
Human LAMP3/CD208, Tag Free Protein
Application:
Reactivity: Human
Conjugate:
Human RAGE, C-His Tag Protein
Application:
Reactivity: Human
Conjugate:
Human CD30 Ligand / TNFSF8, Tag Free Protein
Application:
Reactivity: Human
Conjugate:
Human PAI-1/Serpin E1, C-His Tag Protein
Application:
Reactivity: Human
Conjugate:
Human TRAF3, C-His Tag Protein
Application:
Reactivity: Human
Conjugate:
Human IL-5, C-His Tag Protein
Application:
Reactivity: Human
Conjugate:
Human TNF RI/TNFRSF1A, Tag Free (ECD) Protein
Application:
Reactivity: Human
Conjugate:
Human CXCL5, Tag Free Protein
Application:
Reactivity: Human
Conjugate:
Human VEGF-C, C-His, Flag Tag Protein
Application:
Reactivity: Human
Conjugate:
Human MMP13, C-His, Flag Tag Protein
Application:
Reactivity: Human
Conjugate:
Human Angiopoietin-1/ANGPT1, Tag Free Protein
Application:
Reactivity: Human
Conjugate:
Human CD48, C-His Tag Protein
Application:
Reactivity: Human
Conjugate:
Human IL-18, Tag Free Protein
Application:
Reactivity: Human
Conjugate:
Human FGF Basic/FGF2, Tag Free Protein
Application:
Reactivity: Human
Conjugate:
Human IL-22, C-His, Flag Tag Protein
Application:
Reactivity: Human
Conjugate:
Human CSF3R/G-CSFR/CD114, C-His Tag Protein
Application:
Reactivity: Human
Conjugate:
Human Interferon omega-1, Tag Free Protein
Application:
Reactivity: Human
Conjugate:
Human MCP-3/CCL7, Tag Free Protein
Application:
Reactivity: Human
Conjugate:
Human IL1R1, C-His Tag Protein
Application:
Reactivity: Human
Conjugate:
Human IL-18, Tag Free (HEK293) Protein
Application:
Reactivity: Human
Conjugate:
Human IKK gamma/NEMO, Tag Free Protein
Application:
Reactivity: Human
Conjugate:
Human TLR3, C-His Tag Protein
Application:
Reactivity: Human
Conjugate:
Human CCL3/MIP-1, Tag Free Protein
Application:
Reactivity: Human
Conjugate:
Human EIF2AK3/PERK, C-His Tag Protein
Application:
Reactivity: Human
Conjugate:
Human TREM1, C-Hia, Flag Tag Protein
Application:
Reactivity: Human
Conjugate:
Human IL-33, C-His Tag Protein
Application:
Reactivity: Human
Conjugate:
Human PRDM1, N-Twin Strep, C-His, Flag Tag Protein
Application:
Reactivity: Human
Conjugate:
Human Fas Ligand/TNFSF6, Tag Free Protein
Application:
Reactivity: Human
Conjugate:
Human TIMP4, Tag Free Protein
Application:
Reactivity: Human
Conjugate:
Human GTPase HRAS, C-His Tag Protein
Application:
Reactivity: Human
Conjugate:
Human SPR, C-His Tag Protein
Application:
Reactivity: Human
Conjugate:
Human CD155/PVR, C-His Tag (ECD) Protein
Application:
Reactivity: Human
Conjugate:
Human ULBP1/NKG2DL1, C-His Tag Protein
Application:
Reactivity: Human
Conjugate:
Human MMP12, C-Flag Tag Protein
Application:
Reactivity: Human
Conjugate:
Human CXCL2/GRO beta, Tag Free Protein
Application:
Reactivity: Human
Conjugate:
Human IGFBP2, C-His Tag Protein
Application:
Reactivity: Human
Conjugate:
Human EGFR, C-His Tag Protein
Application:
Reactivity: Human
Conjugate:
Human Beta-NGF, Tag Free Protein
Application:
Reactivity: Human
Conjugate:
Human ICAM-3/CD50, C-His Tag (ECD) Protein
Application:
Reactivity: Human
Conjugate:
Human LIGHT/TNFSF14, Tag Free Protein
Application:
Reactivity: Human
Conjugate:
Human Mesothelin/MSLN, Tag Free Protein
Application:
Reactivity: Human
Conjugate:
Human CD2, N-Twin Strep, C-His, Flag Tag Protein
Application:
Reactivity: Human
Conjugate:
Human CDCP1/CD318, N-Twin Strep, C-His, Flag Tag Protein
Application:
Reactivity: Human
Conjugate:
Human HSPA1A, Tag Free Protein
Application:
Reactivity: Human
Conjugate:
Human CNTF, Tag Free Protein
Application:
Reactivity: Human
Conjugate:
Human Alpha-fetoprotein, C-His Tag
Application:
Reactivity: Human
Conjugate:
Human Osteopontin/OPN, C-His Tag Protein
Application:
Reactivity: Human
Conjugate:
Human SNAP25, Tag Free Protein
Application:
Reactivity: Human
Conjugate:
Human Pro-neuropeptide Y (29-64 peptide) Protein
Application:
Reactivity: Human
Conjugate:
Human TIMP2, Tag Free Protein
Application:
Reactivity: Human
Conjugate:
Human FGFR2, C-His Tag Protein
Application:
Reactivity: Human
Conjugate:
Human Sorcin/SRI, N-Twin Strep, C-His, Flag Tag Protein
Application:
Reactivity: Human
Conjugate:
Human TNF-alpha, C-His Tag Protein
Application:
Reactivity: Human
Conjugate:
Human beta-NGF, Tag Free Protein
Application:
Reactivity: Human
Conjugate:
Human Leptin Receptor, C-His Tag (ECD) Protein
Application:
Reactivity: Human
Conjugate:
Human Elafin/PI3, Tag Free Protein
Application:
Reactivity: Human
Conjugate:
Human IL-9, C-Flag Tag Protein
Application:
Reactivity: Human
Conjugate:
Human NFL, Tag Free Protein
Application:
Reactivity: Human
Conjugate:
Human IFN-gamma, Tag Free Protein
Application:
Reactivity: Human
Conjugate:
Human AGRP, Tag Free Protein
Application:
Reactivity: Human
Conjugate:
Human OX40/TNFRSF4, C-His Tag Protein
Application:
Reactivity: Human
Conjugate:
Human Agrin, C-His Tag Protein
Application:
Reactivity: Human
Conjugate:
Human CCL11/Eotaxin, Tag Free Protein
Application:
Reactivity: Human
Conjugate:
Human Apolipoprotein E, Tag Free
Application:
Reactivity: Human
Conjugate:
Human CCL19 / MIP-3 beta, Tag Free Protein
Application:
Reactivity: Human
Conjugate:
Human IL-7, C-His, Flag Tag Protein
Application:
Reactivity: Human
Conjugate:
Human M-CSF/CSF1 (33-255), C His Tag Protein
Application:
Reactivity: Human
Conjugate:
Human ACE, Tag Free Protein
Application:
Reactivity: Human
Conjugate:
Human CD40/TNFRSF5, C-His Tag Protein
Application:
Reactivity: Human
Conjugate:
Human CXCL13 / BCA-1, Tag Free Protein
Application:
Reactivity: Human
Conjugate:
Human IFN-alpha/beta R2, C-His Tag (ECD) Protein
Application:
Reactivity: Human
Conjugate:
Human BACE1, C-His Tag Protein
Application:
Reactivity: Human
Conjugate:
Human MCP-2/CCL8, Tag Free Protein
Application:
Reactivity: Human
Conjugate:
Human CCL21/6Ckine, Tag Free Protein
Application:
Reactivity: Human
Conjugate:
Human VIPR2, C-hFc tag Protein
Application:
Reactivity: Human
Conjugate:
Human Syndecan-1/CD138, C-His Tag (ECD) Protein
Application:
Reactivity: Human
Conjugate:
Human PARK7/DJ-1, Tag Free Protein
Application:
Reactivity: Human
Conjugate:
Human Insulin, Tag Free Protein
Application:
Reactivity: Human
Conjugate:
Human 5'-nucleotidase/CD73/NT5E, C-His Tag Protein
Application:
Reactivity: Human
Conjugate:
Human DR3/TNFRSF25, Tag Free Protein
Application:
Reactivity: Human
Conjugate:
Human ICAM-2/CD102, C-His Tag Protein
Application:
Reactivity: Human
Conjugate:
Human DR3/TNFRSF25, hFc Tag Protein
Application:
Reactivity: Human
Conjugate:
Human CSK, C-His Tag Protein
Application:
Reactivity: Human
Conjugate:
Human Neuropilin-1/NRP1, C-His Tag (ECD) Protein
Application:
Reactivity: Human
Conjugate:
Human LBP, C-His Tag Protein
Application:
Reactivity: Human
Conjugate:
Human GRO gamma/CXCL3, Tag Free Protein
Application:
Reactivity: Human
Conjugate:
Human VEGFR1/FLT1 C-His Tag (ECD) Protein
Application:
Reactivity: Human
Conjugate:
Human IL-17A, Tag Free Protein
Application:
Reactivity: Human
Conjugate:
Human ICOS Ligand/B7-H2/ICOSLG, C-His Tag (ECD) Protein
Application:
Reactivity: Human
Conjugate:
Human TRAF1, Tag Free Protein
Application:
Reactivity: Human
Conjugate:
Human CCL17/TARC, Tag Free Protein
Application:
Reactivity: Human
Conjugate:
Human Livin/BIRC7, C-His Tag Protein
Application:
Reactivity: Human
Conjugate:
Human IL-36 gamma/IL-1 F9, Tag Free Protein
Application:
Reactivity: Human
Conjugate:
Human CXCL10, C-Flag Tag Protein
Application:
Reactivity: Human
Conjugate:
Human IL5RA, C-His Tag (ECD) Protein
Application:
Reactivity: Human
Conjugate:
Human GADD45B, N-Twin Strep, C-His, Flag Tag Protein
Application:
Reactivity: Human
Conjugate:
Human Beta-synuclein/SNCB, Tag Free Protein
Application:
Reactivity: Human
Conjugate:
Human IL-17C, C-hFc Tag Protein
Application:
Reactivity: Human
Conjugate:
Human NPTX2, Tag Free Protein
Application:
Reactivity: Human
Conjugate:
Human IL-7 R alpha / CD127, Tag Free Protein
Application:
Reactivity: Human
Conjugate:
Human EPCR/PROCR/CD201, C-His, Flag Tag (ECD) Protein
Application:
Reactivity: Human
Conjugate:
Human FSH Beta, C-His Tag Protein
Application:
Reactivity: Human
Conjugate:
Human IL12RB1, C-His Tag (ECD) Protein
Application:
Reactivity: Human
Conjugate:
Human LILRB2/CD85d/ILT4, C-His, Flag Tag (ECD) Protein
Application:
Reactivity: Human
Conjugate:
Human Caspase-9/CASP9, Tag Free Protein
Application:
Reactivity: Human
Conjugate:
Human HBEGF, Tag Free Protein
Application:
Reactivity: Human
Conjugate:
Human IL1RL1/DER4/ST2, C-His (ECD) Protein
Application:
Reactivity: Human
Conjugate:
Human IL-2, C-His Tag Protein
Application:
Reactivity: Human
Conjugate:
Human IL-6, Tag Free Protein
Application:
Reactivity: Human
Conjugate:
Human TAG1/Contactin 2/CNTN2, Tag Free Protein
Application:
Reactivity: Human
Conjugate:
Human CCL16/LEC, Tag Free Protein
Application:
Reactivity: Human
Conjugate:
Human IL-3, Tag Free Protein
Application:
Reactivity: Human
Conjugate:
Human cIAP1/BIRC2, Tag Free Protein
Application:
Reactivity: Human
Conjugate:
Human TRAIL/TNFSF10, C-His Tag Protein
Application:
Reactivity: Human
Conjugate:
Human S100A12,Tag Free Protein
Application:
Reactivity: Human
Conjugate:
Human APP, C-His Tag (ECD) Protein
Application:
Reactivity: Human
Conjugate:
Human GDNF, Tag Free Protein
Application:
Reactivity: Human
Conjugate:
Human Thrombospondin-1/THBS1, Tag Free Protein
Application:
Reactivity: Human
Conjugate:
Human IL-1 beta/IL1B, Tag Free (pro form) Protein
Application:
Reactivity: Human
Conjugate:
Human phosphorylated Tau217 Protein
Application:
Reactivity: Human
Conjugate:
Human CEACAM-5/CD66e, Tag Free Protein
Application:
Reactivity: Human
Conjugate:
Human IL17RA/CD217, C-His Tag (ECD) Protein
Application:
Reactivity: Human
Conjugate:
Human IL1RL1/DER4/ST2, C-hFc, His (ECD) Protein
Application:
Reactivity: Human
Conjugate:
Human Clusterin, C-His, Flag Tag Protein
Application:
Reactivity: Human
Conjugate:
Human IL-13 R alpha 2/IL13RA2, Tag Free (ECD) Protein
Application:
Reactivity: Human
Conjugate:
Human E-Selectin/CD62E, Tag Free (ECD) Protein
Application:
Reactivity: Human
Conjugate:
Human Endoglin/CD105, C-His Tag (ECD) Protein
Application:
Reactivity: Human
Conjugate:
Human CD47, C-His Tag (ECD) Protein
Application:
Reactivity: Human
Conjugate:
Human Fas/TNFRSF6/CD95, C-His Tag (ECD) Protein
Application:
Reactivity: Human
Conjugate:
Human IL-21, Tag Free Protein
Application:
Reactivity: Human
Conjugate:
Human Granzyme B, Tag Free Protein
Application:
Reactivity: Human
Conjugate:
Human Cathepsin D, C-His Tag Protein
Application:
Reactivity: Human
Conjugate:
Human IL-25/IL-17E, Tag Free Protein
Application:
Reactivity: Human
Conjugate:
Human Cytokeratin 8, Tag Free Protein
Application:
Reactivity: Human
Conjugate:
Human CXCL6/GCP-2, Tag Free Protein
Application:
Reactivity: Human
Conjugate:
Human UCH-L1/PGP9.5, Tag Free Protein
Application:
Reactivity: Human
Conjugate:
Human N-Cadherin, C-His Tag Protein
Application:
Reactivity: Human
Conjugate:
Human IL-17F, Tag Free Protein
Application:
Reactivity: Human
Conjugate:
Human CCL27, Tag Free Protein
Application:
Reactivity: Human
Conjugate:
Human Oxytocin/OXT, Tag Free Protein
Application:
Reactivity: Human
Conjugate:
Human CD155/PVR, Tag Free (ECD) Protein
Application:
Reactivity: Human
Conjugate:
Human Neuropeptide Y, Tag Free Protein
Application:
Reactivity: Human
Conjugate:
Human CD163, Tag Free (ECD) Protein
Application:
Reactivity: Human
Conjugate:
Human M-CSFR/CSF1R/CD115, Tag Free (ECD) Protein
Application:
Reactivity: Human
Conjugate:
Human alpha-Synuclein, C-His Tag Protein
Application:
Reactivity: Human
Conjugate:
Human TNFSF11/RANKL/CD254, Tag Free Protein
Application:
Reactivity: Human
Conjugate:
Human Neurogranin, Tag Free Protein
Application:
Reactivity: Human
Conjugate:
Human L-selectin/CD62L, C-His Tag Protein
Application:
Reactivity: Human
Conjugate:
Human HCLS1, N-Strep II, C-His Tag Protein
Application:
Reactivity: Human
Conjugate:
Human IL-10RB, C-His Tag Protein
Application:
Reactivity: Human
Conjugate:
Human Angiogenin, Tag Free Protein
Application:
Reactivity: Human
Conjugate:
Human IL1RA, C-His Tag Protein
Application:
Reactivity: Human
Conjugate:
Human Enolase 2/ENO2, C-His Tag Protein
Application:
Reactivity: Human
Conjugate:
Human CNTF, N-His Tag, C-His Tag Protein
Application:
Reactivity: Human
Conjugate:
Human IL-1 RII, C-His Tag (ECD) Protein
Application:
Reactivity: Human
Conjugate:
Human CD30/TNFRSF8, C-His, Flag Tag (ECD) Protein
Application:
Reactivity: Human
Conjugate:
Human CCL3L1, N-Twin Strep, C-His, Flag Tag Protein
Application:
Reactivity: Human
Conjugate:
Human VEGF165, Tag Free Protein
Application:
Reactivity: Human
Conjugate:
Human IL-15, C-Flag Tag Protein
Application:
Reactivity: Human
Conjugate:
Human Nectin-2, C-His Tag (ECD) Protein
Application:
Reactivity: Human
Conjugate:
Human HGF, Tag Free Protein
Application:
Reactivity: Human
Conjugate:
Human M-CSF/CSF1 (33-190), Tag Free Protein
Application:
Reactivity: Human
Conjugate:
Human CD83, C-His Tag Protein
Application:
Reactivity: Human
Conjugate:
Human Fractalkine/CX3CL1, C-His Tag (ECD) Protein
Application:
Reactivity: Human
Conjugate:
Human CXCL11/I-TAC, Tag Free Protein
Application:
Reactivity: Human
Conjugate:
Human Lumican, C-His Tag Protein
Application:
Reactivity: Human
Conjugate:
Human CEACAM-1/CD66a, C-His Tag (ECD) Protein
Application:
Reactivity: Human
Conjugate:
Human GM-CSF, Tag Free Protein
Application:
Reactivity: Human
Conjugate:
Human CD200, C-His Tag (ECD) Protein
Application:
Reactivity: Human
Conjugate:
Human C-Reactive Protein/CRP, C-His, Flag Tag
Application:
Reactivity: Human
Conjugate:
Human CCL25/TECK, Tag Free Protein
Application:
Reactivity: Human
Conjugate:
Human IL-8/CXCL8 Tag Free Protein
Application:
Reactivity: Human
Conjugate:
Human CA125/MUC16, C-His Tag Protein
Application:
Reactivity: Human
Conjugate:
Human LAG-3, Tag Free Protein
Application:
Reactivity: Human
Conjugate:
Human CD40 Ligand/TNFSF5, Tag Free (ECD) Protein
Application:
Reactivity: Human
Conjugate:
Human CD147/Basigin/EMMPRIN, C-His Tag Protein
Application:
Reactivity: Human
Conjugate:
Human Apolipoprotein E/APOE4 (C130R), Tag Free
Application:
Reactivity: Human
Conjugate:
Human IL-10, Tag Free Protein
Application:
Reactivity: Human
Conjugate:
Human HGF, C-Flag Tag Protein
Application:
Reactivity: Human
Conjugate:
Human B7-1/CD80, Tag Free Protein
Application:
Reactivity: Human
Conjugate:
Human Cystatin C, C-His Tag Protein
Application:
Reactivity: Human
Conjugate:
Human CCL5/RANTES, Tag Free Protein
Application:
Reactivity: Human
Conjugate:
Human CCL26/Eotaxin-3, Tag Free Protein
Application:
Reactivity: Human
Conjugate:
Human 14-3-3 zeta, Tag Free Protein
Application:
Reactivity: Human
Conjugate:
Human SP-D/SFTPD, C-His Tag Protein
Application:
Reactivity: Human
Conjugate:
Human CCL20, Tag Free Protein
Application:
Reactivity: Human
Conjugate:
Human TNF-alpha, Tag Free Protein
Application:
Reactivity: Human
Conjugate:
Human NG2/MCSP/CSPG4, Tag Free (ECD) Protein
Application:
Reactivity: Human
Conjugate:
Human IL-3R alpha/CD123, C-His Tag Protein
Application:
Reactivity: Human
Conjugate:
Human KLK3, Tag Free Protein
Application:
Reactivity: Human
Conjugate:
Human IL-7, Tag Free Protein
Application:
Reactivity: Human
Conjugate:
Human CDC42, Tag Free Protein
Application:
Reactivity: Human
Conjugate:
Human NRG1, Tag Free Protein
Application:
Reactivity: Human
Conjugate:
Human EPHA2, C-His Tag (ECD) Protein
Application:
Reactivity: Human
Conjugate:
Human Transthyretin/TTR, Tag Free Protein
Application:
Reactivity: Human
Conjugate:
Human uPAR/PLAUR, Tag Free Protein
Application:
Reactivity: Human
Conjugate:
Human VEGFR3/FLT4, C-His Tag Protein
Application:
Reactivity: Human
Conjugate:
Human IL-13, Tag Free Protein
Application:
Reactivity: Human
Conjugate:
Human CD28, C-His Tag Protein
Application:
Reactivity: Human
Conjugate:
Human TGF-beta RII, Tag Free (ECD) Protein
Application:
Reactivity: Human
Conjugate:
Human Mesothelin, C-His Tag Protein
Application:
Reactivity: Human
Conjugate:
Human MAPK12, C-His Tag Protein
Application:
Reactivity: Human
Conjugate:
Human IFN-alpha/beta R1, C-His (ECD) Protein
Application:
Reactivity: Human
Conjugate:
Human CD58/LFA-3, C-His Tag (ECD) Protein
Application:
Reactivity: Human
Conjugate:
Human IL-21, C-His, Flag Tag Protein
Application:
Reactivity: Human
Conjugate:
Human DLK1, C-His Tag (ECD) Protein
Application:
Reactivity: Human
Conjugate:
Human RAC1, C-Flag Tag Protein
Application:
Reactivity: Human
Conjugate:
Human IL-31, C-Flag Tag Protein
Application:
Reactivity: Human
Conjugate:
Human BST2/Tetherin, Tag Free Protein
Application:
Reactivity: Human
Conjugate:
Human CD46, Tag Free Protein
Application:
Reactivity: Human
Conjugate:
Human CD117/c-Kit, C-His Tag Protein
Application:
Reactivity: Human
Conjugate:
Human Tau/Tau758, C-His (isoform PNS-tau) Protein
Application:
Reactivity: Human
Conjugate:
Human TACI/TNFRSF13B, Tag Free Protein
Application:
Reactivity: Human
Conjugate:
Human IL-20, C-hFc Tag Protein
Application:
Reactivity: Human
Conjugate:
Human NKp46/NCR1, Tag Free Protein
Application:
Reactivity: Human
Conjugate:
Human GITR Ligand/TNFSF18, Tag Free Protein
Application:
Reactivity: Human
Conjugate:
Human NKG2D, Tag Free Protein
Application:
Reactivity: Human
Conjugate:
Human CCL22 / MDC, C-hFc Tag Protein
Application:
Reactivity: Human
Conjugate:
Human PLGF/PGF, Tag Free Protein
Application:
Reactivity: Human
Conjugate:
Human Ferritin heavy chain 1/FTH1, C-His Tag Protein
Application:
Reactivity: Human
Conjugate:
Human Synapsin-1/SYN1, C-Flag Tag Protein
Application:
Reactivity: Human
Conjugate:
Human CD70/CD27 Ligand/TNFSF7, Tag Free Protein
Application:
Reactivity: Human
Conjugate:
Human Plasminogen/PLG, Tag Free Protein
Application:
Reactivity: Human
Conjugate:
Human CASQ1, Tag Free Protein
Application:
Reactivity: Human
Conjugate:
Human IL-2R alpha, Tag Free Protein
Application:
Reactivity: Human
Conjugate:
Human ANXA6, C-His Tag Protein
Application:
Reactivity: Human
Conjugate:
Human IL-2RB/CD122, C-His Tag (ECD) Protein
Application:
Reactivity: Human
Conjugate:
Human IFN-gamma, C-His Tag Protein
Application:
Reactivity: Human
Conjugate:
Human 4-1BB/TNFRSF9, C-His Tag Protein
Application:
Reactivity: Human
Conjugate:
Human Siglec-7/CD328, C-His (ECD) Protein
Application:
Reactivity: Human
Conjugate:
Human G-CSF, C-His Tag Protein
Application:
Reactivity: Human
Conjugate:
Human CRKL, C-His Tag Protein
Application:
Reactivity: Human
Conjugate:
Human CASQ2, Tag Free Protein
Application:
Reactivity: Human
Conjugate:
Human VSNL1, C-His Tag Protein
Application:
Reactivity: Human
Conjugate:
Human IL-1 beta/IL1B, C-His Tag Protein
Application:
Reactivity: Human
Conjugate:
Human FGF2/b-FGF, C-His, Flag Tag Protein
Application:
Reactivity: Human
Conjugate:
Human MMP-7, Tag Free Protein
Application:
Reactivity: Human
Conjugate:
Human Osteoactivin/GPNMB, C-His Tag (ECD) Protein
Application:
Reactivity: Human
Conjugate:
Human NR4A2/NURR1, C-His Tag Protein
Application:
Reactivity: Human
Conjugate:
Human EGF, Tag Free Protein
Application:
Reactivity: Human
Conjugate:
Human IL-10, C-His Tag Protein
Application:
Reactivity: Human
Conjugate:
Human IL-4, Tag Free Protein
Application:
Reactivity: Human
Conjugate:
Human IL-2, Tag Free Protein
Application:
Reactivity: Human
Conjugate:
Human HVEM/TNFRSF14, Tag Free (ECD) Protein
Application:
Reactivity: Human
Conjugate:
Human ICAM-1/CD54, C-His Tag (ECD) Protein
Application:
Reactivity: Human
Conjugate:
Human PD-L1/B7-H1, C-hFc Tag Protein
Application:
Reactivity: Human
Conjugate:
Human IL-16, C-His Tag Protein
Application:
Reactivity: Human
Conjugate:
Human VEGF121, Tag Free Protein
Application:
Reactivity: Human
Conjugate:
Human TNF RII/TNFRSF1B, C-His (ECD) Protein
Application:
Reactivity: Human
Conjugate:
Human PD-L1/B7-H1, C-His Tag Protein
Application:
Reactivity: Human
Conjugate:
Human B7-H3, C-His Tag (ECD) Protein
Application:
Reactivity: Human
Conjugate:
Human IL-29/IFN-lambda 1, Tag Free Protein
Application:
Reactivity: Human
Conjugate:
Human Osteoprotegerin / TNFRSF11B, C-His Tag Protein
Application:
Reactivity: Human
Conjugate:
Human GFAP, Tag Free Protein
Application:
Reactivity: Human
Conjugate:
Human CD272/BTLA, C-His, Flag Tag (ECD) Protein
Application:
Reactivity: Human
Conjugate:
Human HVEM/TNFRSF14, C-Flag Tag Protein
Application:
Reactivity: Human
Conjugate:
Human MAPK6, C-His Tag Protein
Application:
Reactivity: Human
Conjugate:
Human TOPBP1, C-His Tag Protein
Application:
Reactivity: Human
Conjugate:
Human Annexin A6/ANXA6, N-Twin Strep, C-His, Flag Tag Protein
Application:
Reactivity: Human
Conjugate:
Human MAP4K1/HPK1, N-Twin Strep, C-His, Flag Tag Protein
Application:
Reactivity: Human
Conjugate:
Human CD5, Tag Free (ECD) Protein
Application:
Reactivity: Human
Conjugate:
Human MMP3, C-His, Flag Tag Protein
Application:
Reactivity: Human
Conjugate:
Human IP-10/CXCL10, Tag Free Protein
Application:
Reactivity: Human
Conjugate:
Human CXCL12/SDF-1, Tag Free Protein
Application:
Reactivity: Human
Conjugate:
Human ACP3/ACPP, C His, Flag Tag Protein
Application:
Reactivity: Human
Conjugate:
Human CD27/TNFRSF7, Tag Free Protein
Application:
Reactivity: Human
Conjugate:
Human LILRB1/CD85j/ILT2, C-His, Flag Tag (ECD) Protein
Application:
Reactivity: Human
Conjugate:
Human GITR/TNFRSF18/AITR, C-Flag Tag (ECD) Protein
Application:
Reactivity: Human
Conjugate:
Human CD2, C-His, Flag Tag (ECD) Protein
Application:
Reactivity: Human
Conjugate:
Human IL-1 alpha/IL1A, C-His, Flag Tag Protein
Application:
Reactivity: Human
Conjugate:
Human cIAP-2/BIRC3, N-Twin Strep, C-His, Flag Tag Protein
Application:
Reactivity: Human
Conjugate:
Human Periostin/OSF-2, C-His, Flag Tag Protein
Application:
Reactivity: Human
Conjugate:
Human IL-4R, C-His, Tag (ECD) Protein
Application:
Reactivity: Human
Conjugate:
Human NRG1, C-Flag (176-246) Protein
Application:
Reactivity: Human
Conjugate:
Human CXCL9, Tag Free Protein
Application:
Reactivity: Human
Conjugate:
Human CCL2/MCP1, Tag Free Protein
Application:
Reactivity: Human
Conjugate:
Human CTLA-4, C-His Tag Protein
Application:
Reactivity: Human
Conjugate:
Human CD31/PECAM-1, C-His Tag Protein
Application:
Reactivity: Human
Conjugate:
Human MMP1, C-Flag Protein
Application:
Reactivity: Human
Conjugate:
Human P-Selectin/CD62P, C-His Tag (ECD) Protein
Application:
Reactivity: Human
Conjugate:
Human Beta-2-microglobulin/B2M, C-His Tag Protein
Application:
Reactivity: Human
Conjugate:
Human IL12B/P40, C-His Tag Protein
Application:
Reactivity: Human
Conjugate:
Human PD-1, C-His Tag Protein
Application:
Reactivity: Human
Conjugate:
Human Tau/Tau441, C-His (isoform 2N4R) Protein
Application:
Reactivity: Human
Conjugate:
Human VCAM-1 / CD106, C-His Tag Protein
Application:
Reactivity: Human
Conjugate:
Human VE-cadherin, Tag Free (ECD) Protein
Application:
Reactivity: Human
Conjugate:
Human LILRB4/ILT3, C-His, Flag Tag (ECD) Protein
Application:
Reactivity: Human
Conjugate:
Human IL-18 BPa, C-His Tag Protein
Application:
Reactivity: Human
Conjugate:
Human CD63, Tag Free (ECD) Protein
Application:
Reactivity: Human
Conjugate:
Human CD207, C-Flag Tag Protein
Application:
Reactivity: Human
Conjugate:
Human ANPEP/CD13, Tag Free (ECD) Protein
Application:
Reactivity: Human
Conjugate:
Human CXCL1, Tag Free Protein
Application:
Reactivity: Human
Conjugate:
Human ACP1, C-His Tag Protein
Application:
Reactivity: Human
Conjugate:
Human B7-DC/PD-L2/CD273, C-Flag Tag (ECD) Protein
Application:
Reactivity: Human
Conjugate:
Human IL-6, C-His Tag Protein
Application:
Reactivity: Human
Conjugate:
Human IL-6R, C-His (ECD) Protein
Application:
Reactivity: Human
Conjugate:
Human GADD45A, N-Twin Strep, C-His, Flag Tag Protein
Application:
Reactivity: Human
Conjugate:
Human TIE2/TEK, C-His, Flag Tag (ECD) Protein
Application:
Reactivity: Human
Conjugate:
Human Pentraxin 3/PTX3, Tag Free Protein
Application:
Reactivity: Human
Conjugate:
Human MMP-9, C-His, Flag Tag Protein
Application:
Reactivity: Human
Conjugate:
Human NCAM1/CD56, Tag Free (ECD) Protein
Application:
Reactivity: Human
Conjugate:
Human Fibronectin/FN1, Tag Free Protein
Application:
Reactivity: Human
Conjugate:
Human DPP-4/CD26/DPPIV, C-His Tag (ECD) Protein
Application:
Reactivity: Human
Conjugate:
Human CD14, C-His Tag Protein
Application:
Reactivity: Human
Conjugate:
Human CYLD, C-His Tag Protein
Application:
Reactivity: Human
Conjugate:
Human IL2RG/CD132, C-His Tag (ECD) Protein
Application:
Reactivity: Human
Conjugate:
Human E-Cadherin, C-His Tag (ECD) Protein
Application:
Reactivity: Human
Conjugate:
Human TIMP1, Tag Free Protein
Application:
Reactivity: Human
Conjugate:
Human MMP2/CLG4A, C-His, Flag Tag Protein
Application:
Reactivity: Human
Conjugate:
Human VEGFR2/KDR, Tag Free (ECD) Protein
Application:
Reactivity: Human
Conjugate:
Human IFN-gamma R1, C-His Tag (ECD) Protein
Application:
Reactivity: Human
Conjugate:
Human Interferon alpha-2/IFNA2, C-His Tag Protein
Application:
Reactivity: Human
Conjugate:
Human Carbonic Anhydrase XII/CA12, Tag Free (ECD) Protein
Application:
Reactivity: Human
Conjugate:
Human Von Willebrand Factor/vWF, Tag Free Protein
Application:
Reactivity: Human
Conjugate:

浙公网安备 33019202000643号