RMB: 495 特惠 900 900
产品规格
Product Information
Product name
Human Plasminogen/PLG, Tag Free Protein
Catalog No.
HA211379
Predicted molecular mass
31.9 kD
Protein construction description
A DNA sequence encoding the human Plasminogen/PLG protein (P00747) (Val 98-Leu 370 ) was expressed with tag free.
Accession
P00747
Protein construction
Source
HEK293
Bio Activity
Testing in progress.
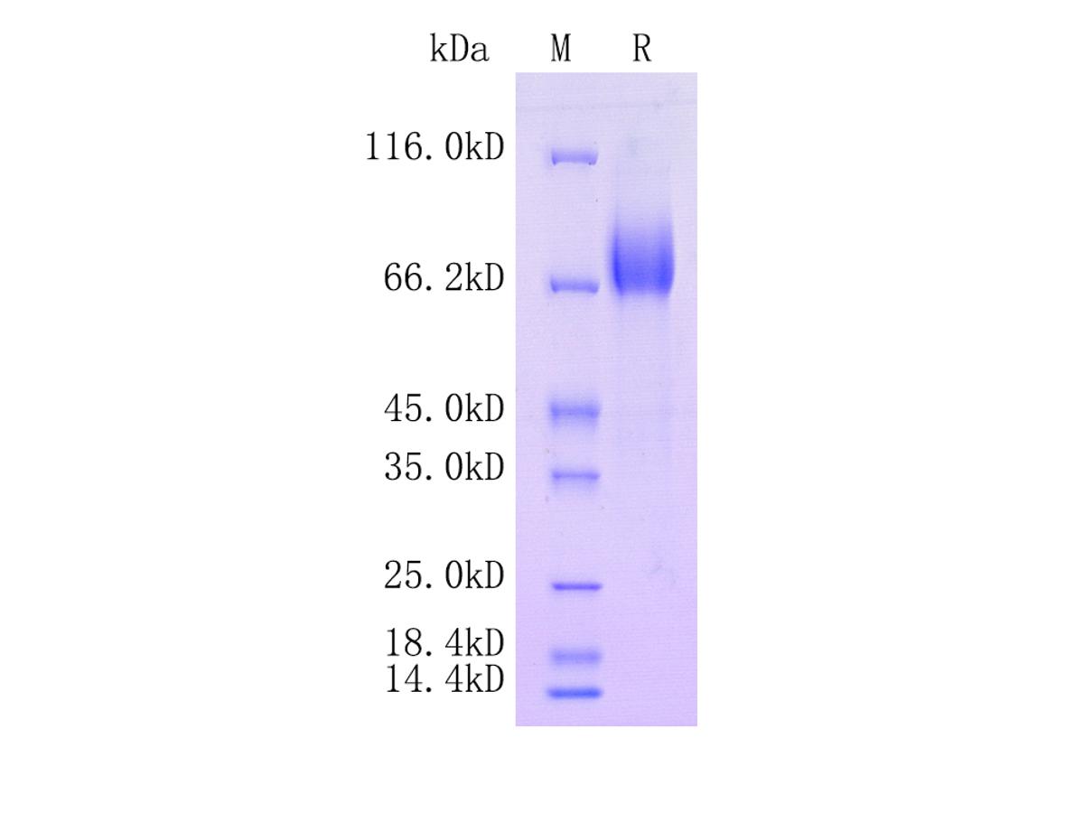
Purity
>95% as determined by SDS-PAGE.
Endotoxin
Less than 1.0 EU per μg by the LAL method.
Formulation
Lyophilized from a 0.2 μm filtered solution of PBS, pH7.4, 5% Trehalose, 5% mannitol.
Species
Human
Background
Plasmin is a serine protease that acts to dissolve fibrin blood clots. Apart from fibrinolysis, plasmin proteolyses proteins in various other systems: It activates collagenases, some mediators of the complement system, and weakens the wall of the Graafian follicle, leading to ovulation. Plasmin is also integrally involved in inflammation. It cleaves fibrin, fibronectin, thrombospondin, laminin, and von Willebrand factor. Plasmin, like trypsin, belongs to the family of serine proteases.
Usage guide
Shipping
In general, recombinant proteins are provided as lyophilized powder which are shipped with blue ice. Bulk packages of recombinant proteins are provided as frozen liquid which are shipped with dry ice.
Storage
Please avoid repeated freeze-thaw cycles. Samples are stable for up to twelve months from date of receipt at -20℃ to -80℃ It is recommended that aliquot the reconstituted solution to minimize freeze-thaw cycles.
Reconstitution
Reconstitute at 250 μg/ml in sterile water.
同靶点 & 同通路的产品
Human GHRL, C-His, Flag Tag Protein
Application:
Reactivity: Human
Conjugate:
Human MMP8/CLG1, C-His, Flag Tag Protein
Application:
Reactivity: Human
Conjugate:
Human TGF-alpha, Tag Free Protein
Application:
Reactivity: Human
Conjugate:
Human Peroxiredoxin 6/PRDX6, C-His Tag Protein
Application:
Reactivity: Human
Conjugate:
Human Lipocalin-2/NGAL, C-His Tag Protein
Application:
Reactivity: Human
Conjugate:
Human Antithrombin III, C-His Tag Protein
Application:
Reactivity: Human
Conjugate:
Human c-Fos, Tag Free Protein
Application:
Reactivity: Human
Conjugate:
Human LAMP3/CD208, Tag Free Protein
Application:
Reactivity: Human
Conjugate:
Human PAI-1/Serpin E1, C-His Tag Protein
Application:
Reactivity: Human
Conjugate:
Human TRAF3, C-His Tag Protein
Application:
Reactivity: Human
Conjugate:
Human FABP3 / H-FABP, Tag Free Protein
Application:
Reactivity: Human
Conjugate:
Human VEGF-C, C-His, Flag Tag Protein
Application:
Reactivity: Human
Conjugate:
Human MMP13, C-His, Flag Tag Protein
Application:
Reactivity: Human
Conjugate:
Human IL-18, Tag Free Protein
Application:
Reactivity: Human
Conjugate:
Human FGF Basic/FGF2, Tag Free Protein
Application:
Reactivity: Human
Conjugate:
Human Cardiotrophin-1/CT-1, Tag Free Protein
Application:
Reactivity: Human
Conjugate:
Human IL-18, Tag Free (HEK293) Protein
Application:
Reactivity: Human
Conjugate:
Human IL-33, C-His Tag Protein
Application:
Reactivity: Human
Conjugate:
Human TIMP4, Tag Free Protein
Application:
Reactivity: Human
Conjugate:
Human MMP12, C-Flag Tag Protein
Application:
Reactivity: Human
Conjugate:
Human IGFBP2, C-His Tag Protein
Application:
Reactivity: Human
Conjugate:
Human EGFR, C-His Tag Protein
Application:
Reactivity: Human
Conjugate:
Human NAMPT, C-His Tag Protein
Application:
Reactivity: Human
Conjugate:
Human Mesothelin/MSLN, Tag Free Protein
Application:
Reactivity: Human
Conjugate:
Human CDCP1/CD318, N-Twin Strep, C-His, Flag Tag Protein
Application:
Reactivity: Human
Conjugate:
Human Alpha-fetoprotein, C-His Tag
Application:
Reactivity: Human
Conjugate:
Human Osteopontin/OPN, C-His Tag Protein
Application:
Reactivity: Human
Conjugate:
Human Pro-neuropeptide Y (29-64 peptide) Protein
Application:
Reactivity: Human
Conjugate:
Human TIMP2, Tag Free Protein
Application:
Reactivity: Human
Conjugate:
Human ANGPTL4, Tag Free Protein
Application:
Reactivity: Human
Conjugate:
Human Sorcin/SRI, N-Twin Strep, C-His, Flag Tag Protein
Application:
Reactivity: Human
Conjugate:
Human Leptin Receptor, C-His Tag (ECD) Protein
Application:
Reactivity: Human
Conjugate:
Human Elafin/PI3, Tag Free Protein
Application:
Reactivity: Human
Conjugate:
Human AGRP, Tag Free Protein
Application:
Reactivity: Human
Conjugate:
Human Apolipoprotein E, Tag Free
Application:
Reactivity: Human
Conjugate:
Human ACE, Tag Free Protein
Application:
Reactivity: Human
Conjugate:
Human Syndecan-1/CD138, C-His Tag (ECD) Protein
Application:
Reactivity: Human
Conjugate:
Human GATA4, Tag Free Protein
Application:
Reactivity: Human
Conjugate:
Human ACE2, C-His Tag (ECD) Protein
Application:
Reactivity: Human
Conjugate:
Human VEGFR1/FLT1 C-His Tag (ECD) Protein
Application:
Reactivity: Human
Conjugate:
Human LDLR/LDL Receptor, Tag Free Protein
Application:
Reactivity: Human
Conjugate:
Human SAA1, C-Flag Tag Protein
Application:
Reactivity: Human
Conjugate:
Human Livin/BIRC7, C-His Tag Protein
Application:
Reactivity: Human
Conjugate:
Human CXCL10, C-Flag Tag Protein
Application:
Reactivity: Human
Conjugate:
Human EPCR/PROCR/CD201, C-His, Flag Tag (ECD) Protein
Application:
Reactivity: Human
Conjugate:
Human HBEGF, Tag Free Protein
Application:
Reactivity: Human
Conjugate:
Human IL1RL1/DER4/ST2, C-His (ECD) Protein
Application:
Reactivity: Human
Conjugate:
Human IL-6, Tag Free Protein
Application:
Reactivity: Human
Conjugate:
Human TAG1/Contactin 2/CNTN2, Tag Free Protein
Application:
Reactivity: Human
Conjugate:
Human cIAP1/BIRC2, Tag Free Protein
Application:
Reactivity: Human
Conjugate:
Human TRAIL/TNFSF10, C-His Tag Protein
Application:
Reactivity: Human
Conjugate:
Human Thrombospondin-1/THBS1, Tag Free Protein
Application:
Reactivity: Human
Conjugate:
Human CEACAM-5/CD66e, Tag Free Protein
Application:
Reactivity: Human
Conjugate:
Human IL1RL1/DER4/ST2, C-hFc, His (ECD) Protein
Application:
Reactivity: Human
Conjugate:
Human Clusterin, C-His, Flag Tag Protein
Application:
Reactivity: Human
Conjugate:
Human E-Selectin/CD62E, Tag Free (ECD) Protein
Application:
Reactivity: Human
Conjugate:
Human Endoglin/CD105, C-His Tag (ECD) Protein
Application:
Reactivity: Human
Conjugate:
Human Cathepsin D, C-His Tag Protein
Application:
Reactivity: Human
Conjugate:
Human Cytokeratin 8, Tag Free Protein
Application:
Reactivity: Human
Conjugate:
Human N-Cadherin, C-His Tag Protein
Application:
Reactivity: Human
Conjugate:
Human IL-17F, Tag Free Protein
Application:
Reactivity: Human
Conjugate:
Human Neuropeptide Y, Tag Free Protein
Application:
Reactivity: Human
Conjugate:
Human Fetuin A/AHSG, Tag Freee Protein
Application:
Reactivity: Human
Conjugate:
Human Ficolin-2, C-His Tag Protein
Application:
Reactivity: Human
Conjugate:
Human Angiogenin, Tag Free Protein
Application:
Reactivity: Human
Conjugate:
Human Enolase 2/ENO2, C-His Tag Protein
Application:
Reactivity: Human
Conjugate:
Human CD30/TNFRSF8, C-His, Flag Tag (ECD) Protein
Application:
Reactivity: Human
Conjugate:
Human VEGF165, Tag Free Protein
Application:
Reactivity: Human
Conjugate:
Human CALCA, C-His Tag Protein
Application:
Reactivity: Human
Conjugate:
Human HGF, Tag Free Protein
Application:
Reactivity: Human
Conjugate:
Human Serpin A1/Alpha-1-antitrypsin, C-His Tag Protein
Application:
Reactivity: Human
Conjugate:
Human Lumican, C-His Tag Protein
Application:
Reactivity: Human
Conjugate:
Human IL-8/CXCL8 Tag Free Protein
Application:
Reactivity: Human
Conjugate:
Human CA125/MUC16, C-His Tag Protein
Application:
Reactivity: Human
Conjugate:
Human CKMB heterodimer, C-Flag, StrepII Tag&C-His Tag Protein
Application:
Reactivity: Human
Conjugate:
Human CD147/Basigin/EMMPRIN, C-His Tag Protein
Application:
Reactivity: Human
Conjugate:
Human Apolipoprotein E/APOE4 (C130R), Tag Free
Application:
Reactivity: Human
Conjugate:
Human HGF, C-Flag Tag Protein
Application:
Reactivity: Human
Conjugate:
Human tPA, C-His Tag Protein
Application:
Reactivity: Human
Conjugate:
Human Angiotensinogen, C-His Tag Protein
Application:
Reactivity: Human
Conjugate:
Human Renin, C-His Tag Protein
Application:
Reactivity: Human
Conjugate:
Human NG2/MCSP/CSPG4, Tag Free (ECD) Protein
Application:
Reactivity: Human
Conjugate:
Human KLK3, Tag Free Protein
Application:
Reactivity: Human
Conjugate:
Human Transthyretin/TTR, Tag Free Protein
Application:
Reactivity: Human
Conjugate:
Human Haptoglobin/HP, C-His Tag Protein
Application:
Reactivity: Human
Conjugate:
Human uPAR/PLAUR, Tag Free Protein
Application:
Reactivity: Human
Conjugate:
Human VEGFR3/FLT4, C-His Tag Protein
Application:
Reactivity: Human
Conjugate:
Human Apolipoprotein A-I/APOA1, Tag Free
Application:
Reactivity: Human
Conjugate:
Human Mesothelin, C-His Tag Protein
Application:
Reactivity: Human
Conjugate:
Human APOC3, Tag Free Protein
Application:
Reactivity: Human
Conjugate:
Human LAP3, C-His Tag (Isoform 2) Protein
Application:
Reactivity: Human
Conjugate:
Human PLGF/PGF, Tag Free Protein
Application:
Reactivity: Human
Conjugate:
Human Ferritin heavy chain 1/FTH1, C-His Tag Protein
Application:
Reactivity: Human
Conjugate:
Human FABP2, Tag Free Protein
Application:
Reactivity: Human
Conjugate:
Human FGL1, C-hFc Tag Protein
Application:
Reactivity: Human
Conjugate:
Human RBP4, C-His Tag Protein
Application:
Reactivity: Human
Conjugate:
Human G-CSF, C-His Tag Protein
Application:
Reactivity: Human
Conjugate:
Human IMMT/Mitofilin, C-His Tag Protein
Application:
Reactivity: Human
Conjugate:
Human CASQ2, Tag Free Protein
Application:
Reactivity: Human
Conjugate:
Human FGF2/b-FGF, C-His, Flag Tag Protein
Application:
Reactivity: Human
Conjugate:
Human MMP-7, Tag Free Protein
Application:
Reactivity: Human
Conjugate:
Human Osteoactivin/GPNMB, C-His Tag (ECD) Protein
Application:
Reactivity: Human
Conjugate:
Human CKM, C-His, Flag Tag Protein
Application:
Reactivity: Human
Conjugate:
Human PDGF-B, Tag Free Protein
Application:
Reactivity: Human
Conjugate:
Human VEGF121, Tag Free Protein
Application:
Reactivity: Human
Conjugate:
Human TNF RII/TNFRSF1B, C-His (ECD) Protein
Application:
Reactivity: Human
Conjugate:
Human B7-H3, C-His Tag (ECD) Protein
Application:
Reactivity: Human
Conjugate:
Human TOPBP1, C-His Tag Protein
Application:
Reactivity: Human
Conjugate:
Human MMP3, C-His, Flag Tag Protein
Application:
Reactivity: Human
Conjugate:
Human IP-10/CXCL10, Tag Free Protein
Application:
Reactivity: Human
Conjugate:
Human ACP3/ACPP, C His, Flag Tag Protein
Application:
Reactivity: Human
Conjugate:
Human Leptin, Tag Free Protein
Application:
Reactivity: Human
Conjugate:
Human cIAP-2/BIRC3, N-Twin Strep, C-His, Flag Tag Protein
Application:
Reactivity: Human
Conjugate:
Human Periostin/OSF-2, C-His, Flag Tag Protein
Application:
Reactivity: Human
Conjugate:
Human CCL2/MCP1, Tag Free Protein
Application:
Reactivity: Human
Conjugate:
Human CD31/PECAM-1, C-His Tag Protein
Application:
Reactivity: Human
Conjugate:
Human MMP1, C-Flag Protein
Application:
Reactivity: Human
Conjugate:
Human Adiponectin/Acrp30, Tag Free Protein
Application:
Reactivity: Human
Conjugate:
Human Beta-2-microglobulin/B2M, C-His Tag Protein
Application:
Reactivity: Human
Conjugate:
Human VCAM-1 / CD106, C-His Tag Protein
Application:
Reactivity: Human
Conjugate:
Human VE-cadherin, Tag Free (ECD) Protein
Application:
Reactivity: Human
Conjugate:
Human LILRB4/ILT3, C-His, Flag Tag (ECD) Protein
Application:
Reactivity: Human
Conjugate:
Human CD63, Tag Free (ECD) Protein
Application:
Reactivity: Human
Conjugate:
Human ACP1, C-His Tag Protein
Application:
Reactivity: Human
Conjugate:
Human IL-6, C-His Tag Protein
Application:
Reactivity: Human
Conjugate:
Human TIE2/TEK, C-His, Flag Tag (ECD) Protein
Application:
Reactivity: Human
Conjugate:
Human Pentraxin 3/PTX3, Tag Free Protein
Application:
Reactivity: Human
Conjugate:
Human A2M/alpha-2-macroglobulin, C-His Tag Protein
Application:
Reactivity: Human
Conjugate:
Human MMP-9, C-His, Flag Tag Protein
Application:
Reactivity: Human
Conjugate:
Human Fibronectin/FN1, Tag Free Protein
Application:
Reactivity: Human
Conjugate:
Human E-Cadherin, C-His Tag (ECD) Protein
Application:
Reactivity: Human
Conjugate:
Human TIMP1, Tag Free Protein
Application:
Reactivity: Human
Conjugate:
Human MMP2/CLG4A, C-His, Flag Tag Protein
Application:
Reactivity: Human
Conjugate:
Human Resistin, Tag Free Protein
Application:
Reactivity: Human
Conjugate:
Human VEGFR2/KDR, Tag Free (ECD) Protein
Application:
Reactivity: Human
Conjugate:
Human Carbonic Anhydrase XII/CA12, Tag Free (ECD) Protein
Application:
Reactivity: Human
Conjugate:
Human Von Willebrand Factor/vWF, Tag Free Protein
Application:
Reactivity: Human
Conjugate:

浙公网安备 33019202000643号