Bcl-2 Recombinant Rabbit Monoclonal Antibody [JF104-8] - BSA and Azide free
概述
产品名称
Bcl-2 Recombinant Rabbit Monoclonal Antibody [JF104-8] - BSA and Azide free
抗体类型
Recombinant Rabbit monoclonal Antibody
免疫原
Recombinant protein within human Bcl-2 aa 1-230.
种属反应性
Human, Mouse, Rat
验证应用
WB, IF-Cell, IF-Tissue, IHC-P, FC
分子量
Predicted band size: 26 kDa
阳性对照
HeLa cell lysate, Jurkat cell lysate, MCF-7 cell lysate, HL-60 cell lysate, THP-1 cell lysate, rat spleen tissue lysate, mouse spleen tissue lysate, Hela, A549, human tonsil tissue, human colon carcinoma tissue, mouse kidney tissue, human lung carcinoma tissue, Jurkat, human B-cell lymphoma tissue.
偶联
unconjugated
克隆号
JF104-8
产品特性
形态
Liquid
存放说明
Store at +4℃ after thawing. Aliquot store at -20℃ or -80℃. Avoid repeated freeze / thaw cycles.
存储缓冲液
PBS (pH7.4).
亚型
IgG
纯化方式
Protein A affinity purified.
应用稀释度
-
WB
-
1:5,000-1:20,000
-
IF-Cell
-
1:100-1:200
-
IF-Tissue
-
1:500-1:1,000
-
IHC-P
-
1:1,000-1:5,000
-
FC
-
1:500-1:1,000
靶点
功能
Bcl-2 is one among many key regulators of apoptosis, which are essential for proper development, tissue homeostasis, and protection against foreign pathogens. Human Bcl-2 is an anti-apoptotic, membrane-associated oncoprotein that can promote cell survival through protein-protein interactions with other Bcl-2 related family members, such as the death suppressors Bcl-xL, Mcl-1, Bcl-w, and A1 or the death agonists Bax, Bak, Bik, Bad, and Bid. The anti-apoptotic function of Bcl-2 can also be regulated through proteolytic processing and phospho-rylation. Bcl-2 may promote cell survival by interfering with the activation of the cytochrome c/Apaf-1 pathway through stabilization of the mitochondrial membrane. Mutations in the Bcl-2 gene can contribute to cancers where normal physiological cell death mechanisms are compromised by deregulation of the anti-apoptotic influence of Bcl-2.
背景文献
1. Cao LH et al. Morphine, a potential antagonist of cisplatin cytotoxicity, inhibits cisplatin-induced apoptosis and suppression of tumor growth in nasopharyngeal carcinoma xenografts. Sci Rep 6:18706 (2016).
2. Chen B et al. Inhibition of miR-29c promotes proliferation, and inhibits apoptosis and differentiation in P19 embryonic carcinoma cells. Mol Med Rep 13:2527-35 (2016).
序列相似性
Belongs to the Bcl-2 family.
组织特异性
Expressed in a variety of tissues.
翻译后修饰
Phosphorylation/dephosphorylation on Ser-70 regulates anti-apoptotic activity. Growth factor-stimulated phosphorylation on Ser-70 by PKC is required for the anti-apoptosis activity and occurs during the G2/M phase of the cell cycle. In the absence of growth factors, BCL2 appears to be phosphorylated by other protein kinases such as ERKs and stress-activated kinases. Phosphorylated by MAPK8/JNK1 at Thr-69, Ser-70 and Ser-87, wich stimulates starvation-induced autophagy. Dephosphorylated by protein phosphatase 2A (PP2A) (By similarity).; Proteolytically cleaved by caspases during apoptosis. The cleaved protein, lacking the BH4 motif, has pro-apoptotic activity, causes the release of cytochrome c into the cytosol promoting further caspase activity.; Monoubiquitinated by PRKN, leading to increase its stability. Ubiquitinated by SCF(FBXO10), leading to its degradation by the proteasome.
亚细胞定位
Mitochondrion outer membrane, Nucleus membrane, Endoplasmic reticulum membrane, Cytoplasm.
别名
Apoptosis regulator Bcl 2 antibody
Apoptosis regulator Bcl-2 antibody
Apoptosis regulator Bcl2 antibody
AW986256 antibody
B cell CLL/lymphoma 2 antibody
B cell leukemia/lymphoma 2 antibody
Bcl-2 antibody
Bcl2 antibody
BCL2_HUMAN antibody
C430015F12Rik antibody
展开Apoptosis regulator Bcl 2 antibody
Apoptosis regulator Bcl-2 antibody
Apoptosis regulator Bcl2 antibody
AW986256 antibody
B cell CLL/lymphoma 2 antibody
B cell leukemia/lymphoma 2 antibody
Bcl-2 antibody
Bcl2 antibody
BCL2_HUMAN antibody
C430015F12Rik antibody
D630044D05Rik antibody
D830018M01Rik antibody
Leukemia/lymphoma, B-cell, 2 antibody
Oncogene B-cell leukemia 2 antibody
PPP1R50 antibody
Protein phosphatase 1, regulatory subunit 50 antibody
Bcl 2 antibody
折叠图片
-
Western blot analysis of Bcl-2 on different lysates with Rabbit anti-Bcl-2 antibody (HA750350) at 1/5,000 dilution.
Lane 1: HeLa cell lysate
Lane 2: Jurkat cell lysate
Lane 3: MCF7 cell lysate
Lane 4: HL-60 cell lysate
Lane 5: THP-1 cell lysate
Lysates/proteins at 20 µg/Lane.
Predicted band size: 26 kDa
Observed band size: 26 kDa
Exposure time: 1 minute;
15% SDS-PAGE gel.
Proteins were transferred to a PVDF membrane and blocked with 5% NFDM/TBST for 1 hour at room temperature. The primary antibody (HA750350) at 1/5,000 dilution was used in 5% NFDM/TBST at room temperature for 2 hours. Goat Anti-Rabbit IgG - HRP Secondary Antibody (HA1001) at 1/50,000 dilution was used for 1 hour at room temperature. -
Western blot analysis of Bcl-2 on different lysates with Rabbit anti-Bcl-2 antibody (HA750350) at 1/5,000 dilution.
Lane 1: Rat spleen tissue lysate
Lane 2: Mouse spleen tissue lysate
Lysates/proteins at 20 µg/Lane.
Predicted band size: 26 kDa
Observed band size: 25 kDa
Exposure time: 2 minutes;
12% SDS-PAGE gel.
Proteins were transferred to a PVDF membrane and blocked with 5% NFDM/TBST for 1 hour at room temperature. The primary antibody (HA750350) at 1/5,000 dilution was used in 5% NFDM/TBST at room temperature for 2 hours. Goat Anti-Rabbit IgG - HRP Secondary Antibody (HA1001) at 1/50,000 dilution was used for 1 hour at room temperature. -
☑ Knockdown (KD)
Western blot analysis of Bcl-2 on different lysates with Rabbit anti-Bcl-2 antibody (HA750350) at 1/5,000 dilution.
Lane 1: Hela-si NT cell lysate (10 µg/Lane)
Lane 2: Hela-si Bcl-2 cell lysate (10 µg/Lane)
Predicted band size: 26 kDa
Observed band size: 26 kDa
Exposure time: 31 seconds; ECL: K1801
4-20% SDS-PAGE gel.
ET1702-53 was shown to specifically react with Bcl-2 in Hela-si NT cells. Weakened band was observed when Hela-si Bcl-2 sample was tested. Hela-si NT and Hela-si Bcl-2 samples were subjected to SDS-PAGE. Proteins were transferred to a PVDF membrane and blocked with 5% NFDM in TBST for 1 hour at room temperature. The primary antibody (ET1702-53, 1/5,000) and Loading control antibody (Rabbit anti-GAPDH, ET1601-4, 1/10,000) were used in 5% BSA at room temperature for 2 hours. Goat Anti-rabbit IgG-HRP Secondary Antibody (HA1001) at 1/50,000 dilution was used for 1 hour at room temperature. -
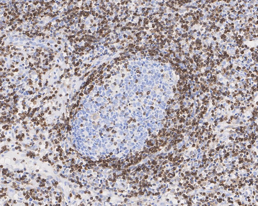
Immunohistochemical analysis of paraffin-embedded human tonsil tissue with Rabbit anti-Bcl-2 antibody (HA750350) at 1/5,000 dilution.
The section was pre-treated using heat mediated antigen retrieval with Tris-EDTA buffer (pH 9.0) for 20 minutes. The tissues were blocked in 1% BSA for 20 minutes at room temperature, washed with ddH2O and PBS, and then probed with the primary antibody (HA750350) at 1/5,000 dilution for 1 hour at room temperature. The detection was performed using an HRP conjugated compact polymer system. DAB was used as the chromogen. Tissues were counterstained with hematoxylin and mounted with DPX. -
Immunohistochemical analysis of paraffin-embedded human B-cell lymphoma tissue with Rabbit anti-Bcl-2 antibody (HA750350) at 1/5,000 dilution.
The section was pre-treated using heat mediated antigen retrieval with Tris-EDTA buffer (pH 9.0) for 20 minutes. The tissues were blocked in 1% BSA for 20 minutes at room temperature, washed with ddH2O and PBS, and then probed with the primary antibody (HA750350) at 1/5,000 dilution for 1 hour at room temperature. The detection was performed using an HRP conjugated compact polymer system. DAB was used as the chromogen. Tissues were counterstained with hematoxylin and mounted with DPX. -
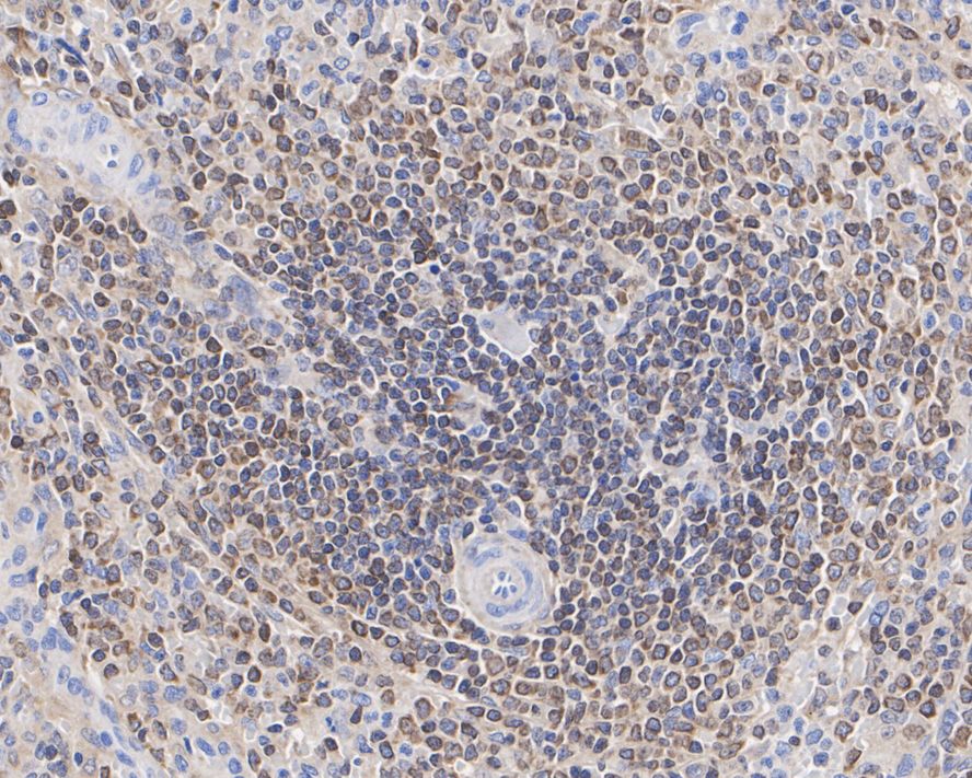
Immunohistochemical analysis of paraffin-embedded human spleen tissue with Rabbit anti-Bcl-2 antibody (HA750350) at 1/1,000 dilution.
The section was pre-treated using heat mediated antigen retrieval with Tris-EDTA buffer (pH 9.0) for 20 minutes. The tissues were blocked in 1% BSA for 20 minutes at room temperature, washed with ddH2O and PBS, and then probed with the primary antibody (HA750350) at 1/1,000 dilution for 1 hour at room temperature. The detection was performed using an HRP conjugated compact polymer system. DAB was used as the chromogen. Tissues were counterstained with hematoxylin and mounted with DPX. -
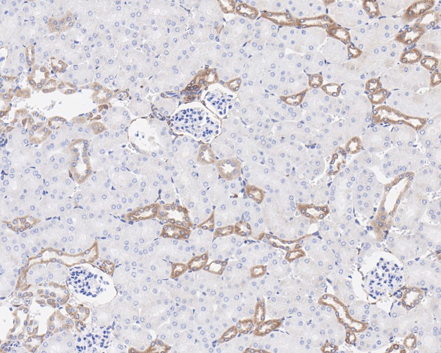
Immunohistochemical analysis of paraffin-embedded mouse kidney tissue with Rabbit anti-Bcl-2 antibody (HA750350) at 1/1,000 dilution.
The section was pre-treated using heat mediated antigen retrieval with Tris-EDTA buffer (pH 9.0) for 20 minutes. The tissues were blocked in 1% BSA for 20 minutes at room temperature, washed with ddH2O and PBS, and then probed with the primary antibody (HA750350) at 1/1,000 dilution for 1 hour at room temperature. The detection was performed using an HRP conjugated compact polymer system. DAB was used as the chromogen. Tissues were counterstained with hematoxylin and mounted with DPX. -
Immunohistochemical analysis of paraffin-embedded mouse spleen tissue with Rabbit anti-Bcl-2 antibody (HA750350) at 1/4,000 dilution.
The section was pre-treated using heat mediated antigen retrieval with Tris-EDTA buffer (pH 9.0) for 20 minutes. The tissues were blocked in 1% BSA for 20 minutes at room temperature, washed with ddH2O and PBS, and then probed with the primary antibody (HA750350) at 1/4,000 dilution for 1 hour at room temperature. The detection was performed using an HRP conjugated compact polymer system. DAB was used as the chromogen. Tissues were counterstained with hematoxylin and mounted with DPX. -
Flow cytometric analysis of Jurkat cells labeling Bcl-2.
Cells were fixed and permeabilized. Then stained with the primary antibody (HA750350, 1ug/ml) (red) compared with Rabbit IgG Isotype Control (green). After incubation of the primary antibody at +4℃ for an hour, the cells were stained with a iFluor™ 488 conjugate-Goat anti-Rabbit IgG Secondary antibody (HA1121) at 1/1,000 dilution for 30 minutes at +4℃. Unlabelled sample was used as a control (cells without incubation with primary antibody; black). -
Flow cytometric analysis of human peripheral blood lymphocytes labeling Bcl-2.
Cells were fixed and permeabilized. Then stained with the primary antibody (HA750350, 1ug/ml) (red) compared with Rabbit IgG Isotype Control (green). After incubation of the primary antibody at +4℃ for an hour, the cells were stained with a iFluor™ 488 conjugate-Goat anti-Rabbit IgG Secondary antibody (HA1121) at 1/1,000 dilution for 30 minutes at +4℃. Unlabelled sample was used as a control (cells without incubation with primary antibody; black).
请注意: All products are "FOR RESEARCH USE ONLY AND ARE NOT INTENDED FOR DIAGNOSTIC OR THERAPEUTIC USE"
引文
-
Trimethylamine N-oxide (TMAO) treatment triggers premature ovarian insufficiency (POI) via the activation of mitochondrial pathway apoptosis in granulosa cells
期刊: FREE RADICAL BIOLOGY AND MEDICINE
DOI: 10.1016/j.freeradbiomed.2025.03.007
IF: 8.2
应用: IF-Tissue,WB
反应种属: Mouse
发表时间: 2025 Mar
同靶点 & 同通路的产品
Bcl-2 Recombinant Rabbit Monoclonal Antibody [SZ10-03] - BSA and Azide free
Application: WB,IF-Cell,IF-Tissue,IHC-P,IP,FC
Reactivity: Human
Conjugate: unconjugated
Phospho-Bcl-2 (S70) Recombinant Rabbit Monoclonal Antibody [PSH11-02]
Application: WB,IF-Cell,FC
Reactivity: Human
Conjugate: unconjugated
Bcl-2 Recombinant Rabbit Monoclonal Antibody [JF104-8]
Application: WB,IF-Cell,IF-Tissue,IHC-P,FC
Reactivity: Human,Mouse,Rat
Conjugate: unconjugated
Bcl-2 Rabbit Polyclonal Antibody
Application: WB,IF-Cell,IHC-P,FC
Reactivity: Human
Conjugate: unconjugated
Phospho-Bcl-2 (S70) Recombinant Rabbit Monoclonal Antibody [PSH11-02] - BSA and Azide free
Application: WB,IF-Cell,FC
Reactivity: Human
Conjugate: unconjugated
Bcl-2 Mouse Monoclonal Antibody [9F1]
Application: WB,IHC-P
Reactivity: Human
Conjugate: unconjugated
Bcl-2 Recombinant Mouse Monoclonal Antibody [9F3-R]
Application: WB,IHC-P,FC
Reactivity: Human
Conjugate: unconjugated
Bcl-2
Application:
Reactivity:
Conjugate:
Bcl-2 Mouse Monoclonal Antibody [9F3]
Application: WB,IHC-P,FC
Reactivity: Human
Conjugate: unconjugated
Bcl-2 Recombinant Mouse Monoclonal Antibody [9F3-R] - BSA and Azide free
Application: WB,IHC-P,FC
Reactivity: Human
Conjugate: unconjugated
Bcl-2 Recombinant Rabbit Monoclonal Antibody [PSH09-49] - BSA and Azide free
Application: WB,IF-Cell,IHC-P,FC,IP
Reactivity: Human,Mouse,Rat
Conjugate: unconjugated
Bcl-2 Recombinant Rabbit Monoclonal Antibody [SZ10-03]
Application: WB,IF-Cell,IF-Tissue,IHC-P,IP,FC
Reactivity: Human
Conjugate: unconjugated
Bcl-2 Recombinant Rabbit Monoclonal Antibody [PD01-41]
Application: WB,IHC-P,IF-Cell,FC
Reactivity: Human
Conjugate: unconjugated
Bcl-2 Rabbit Polyclonal Antibody
Application: WB,IF-Cell,IHC-P,FC
Reactivity: Human
Conjugate: unconjugated
Bcl-2 Rabbit Polyclonal Antibody
Application: WB,IF-Cell,FC
Reactivity: Human,Mouse
Conjugate: unconjugated
Bcl-2 Mouse Monoclonal Antibody [F7-1-A1]
Application: WB,IF-Cell,IHC-P
Reactivity: Human,Mouse,Rat
Conjugate: unconjugated
FITC Conjugated Bcl-2 Recombinant Rabbit Monoclonal Antibody [JF104-8]
Application: FC
Reactivity: Human,Mouse
Conjugate: FITC
Bcl-2 Recombinant Rabbit Monoclonal Antibody [PSH09-49]
Application: WB,IF-Cell,IHC-P,FC,IP
Reactivity: Human,Mouse,Rat
Conjugate: unconjugated
浙公网安备 33019202000643号