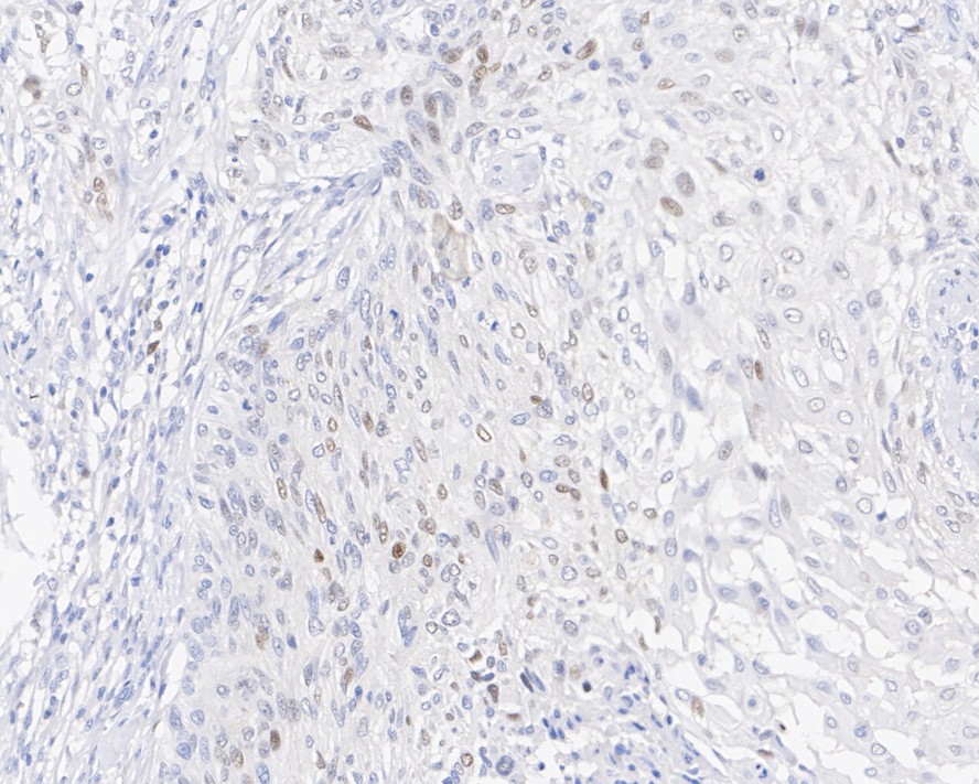
Catalog# HA601221
p21 Recombinant Mouse Monoclonal Antibody [A8C11-R]
Application
-
IHC-P
Reactivity
-
Human

