Catalog# HA601018
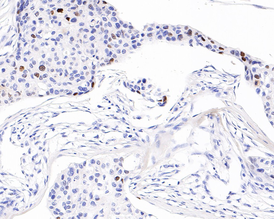
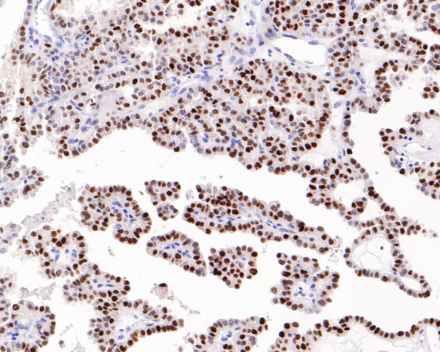
p21 Mouse Monoclonal Antibody [A8C11]
Application
-
IHC-P
Reactivity
-
Human
Conjugation
-
unconjugated

浙公网安备 33019202000643号