Catalog# HA601017
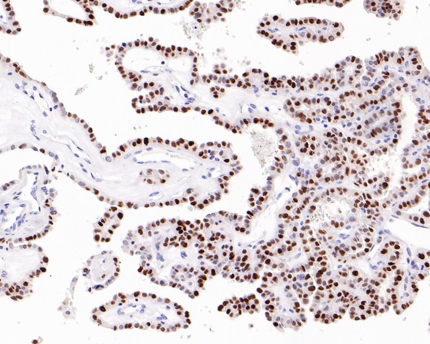
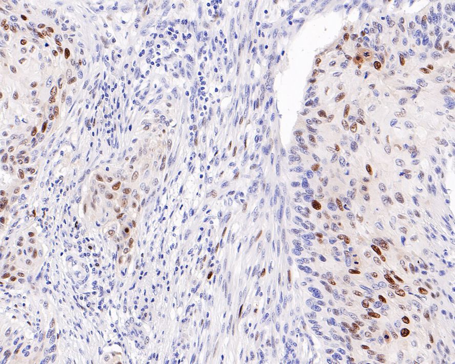
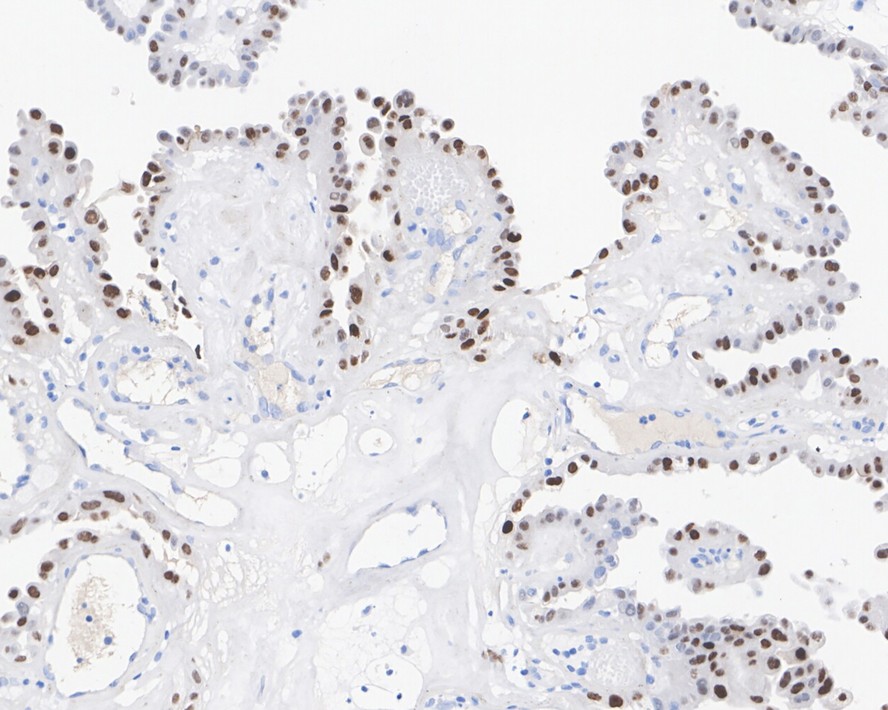
p21 Mouse Monoclonal Antibody [A8C12]
Application
-
IHC-P
Reactivity
-
Human

