Phospho-p53 (S392) Recombinant Rabbit Monoclonal Antibody [SI17-04] - BSA and Azide free
Catalog# HA750097
Phospho-p53 (S392) Recombinant Rabbit Monoclonal Antibody [SI17-04] - BSA and Azide free
-
WB
-
IHC-P
-
IP
-
Human
-
Mouse
-
ET1606-24
含抗保成分
-
Rat
-
unconjugated
概述
产品名称
Phospho-p53 (S392) Recombinant Rabbit Monoclonal Antibody [SI17-04] - BSA and Azide free
抗体类型
Recombinant Rabbit monoclonal Antibody
免疫原
Synthetic phospho-peptide corresponding to residues surrounding Ser392 of Human p53 aa 344-393 / 393.
种属反应性
Human, Mouse (Predicted: Rat)
验证应用
WB, IHC-P, IP
分子量
Predicted band size: 53 kDa
阳性对照
293 cell lysate, F9 cell lysate, A431 cell lysate, human stomach carcinoma tissue, mouse prostate tissue, A549 cells.
偶联
unconjugated
克隆号
SI17-04
产品特性
形态
Liquid
浓度
存放说明
Store at +4℃ after thawing. Aliquot store at -20℃ or -80℃. Avoid repeated freeze / thaw cycles.
存储缓冲液
1*PBS (pH7.4).
亚型
IgG
纯化方式
Protein A affinity purified.
应用稀释度
-
WB
-
1:1,000-1:5,000
-
IHC-P
-
1:50-1:200
-
IP
-
Use at an assay dependent concentration.
靶点
功能
p53 is a DNA-binding, oligomerization domain- and transcription activation domain-containing tumor suppressor that upregulates growth arrest and apoptosis-related genes in response to stress signals, thereby influencing programmed cell death, cell differentiation and cell cycle control mechanisms. p53 localizes to the nucleus yet can be chaperoned to the cytoplasm by the negative regulator MDM2, an E3 ubiquitin ligase that is upregulated in the presence of active p53, where MDM2 polyubiquitinates p53 for proteasome targeting. p53 can assemble into tetramers in the absence of DNA, fluctuates between latent and active (DNA-binding) conformations, and is differentially activated through posttranslational modifications including phosphorylation and acetylation. Mutations in the DNA-binding domain (DBD) (amino acids 110-286) of p53 can compromise energetically favorable association with cis elements and are implicated in several human cancers. Phosphorylation of p53 at residue Thr 155 is mediated by the COP9 signalosome (CSN) and targets p53 to ubiquitin-26S Proteasome-dependent degradation.
背景文献
1. Albert, TK. et al. 2016. The Establishment of a Hyperactive Structure Allows the Tumour Suppressor Protein p53 to Function through P-TEFb during Limited CDK9 Kinase Inhibition. PloS one. 11: e0146648.
2. Albert, TK. et al. 2014. Characterization of molecular and cellular functions of the cyclin-dependent kinase CDK9 using a novel specific inhibitor. British journal of pharmacology. 171: 55-68.
序列相似性
Belongs to the p53 family.
组织特异性
Ubiquitous. Isoforms are expressed in a wide range of normal tissues but in a tissue-dependent manner. Isoform 2 is expressed in most normal tissues but is not detected in brain, lung, prostate, muscle, fetal brain, spinal cord and fetal liver. Isoform 3 is expressed in most normal tissues but is not detected in lung, spleen, testis, fetal brain, spinal cord and fetal liver. Isoform 7 is expressed in most normal tissues but is not detected in prostate, uterus, skeletal muscle and breast. Isoform 8 is detected only in colon, bone marrow, testis, fetal brain and intestine. Isoform 9 is expressed in most normal tissues but is not detected in brain, heart, lung, fetal liver, salivary gland, breast or intestine.
翻译后修饰
Acetylated. Acetylation of Lys-382 by CREBBP enhances transcriptional activity. Deacetylation of Lys-382 by SIRT1 impairs its ability to induce proapoptotic program and modulate cell senescence. Deacetylation by SIRT2 impairs its ability to induce transcription activation in a AKT-dependent manner.; Phosphorylation on Ser residues mediates transcriptional activation. Phosphorylated by HIPK1 (By similarity). Phosphorylation at Ser-9 by HIPK4 increases repression activity on BIRC5 promoter. Phosphorylated on Thr-18 by VRK1. Phosphorylated on Ser-20 by CHEK2 in response to DNA damage, which prevents ubiquitination by MDM2. Phosphorylated on Ser-20 by PLK3 in response to reactive oxygen species (ROS), promoting p53/TP53-mediated apoptosis. Phosphorylated on Thr-55 by TAF1, which promotes MDM2-mediated degradation. Phosphorylated on Ser-33 by CDK7 in a CAK complex in response to DNA damage. Phosphorylated on Ser-46 by HIPK2 upon UV irradiation. Phosphorylation on Ser-46 is required for acetylation by CREBBP. Phosphorylated on Ser-392 following UV but not gamma irradiation. Phosphorylated on Ser-15 upon ultraviolet irradiation; which is enhanced by interaction with BANP. Phosphorylated by NUAK1 at Ser-15 and Ser-392; was initially thought to be mediated by STK11/LKB1 but it was later shown that it is indirect and that STK11/LKB1-dependent phosphorylation is probably mediated by downstream NUAK1. It is unclear whether AMP directly mediates phosphorylation at Ser-15. Phosphorylated on Thr-18 by isoform 1 and isoform 2 of VRK2. Phosphorylation on Thr-18 by isoform 2 of VRK2 results in a reduction in ubiquitination by MDM2 and an increase in acetylation by EP300. Stabilized by CDK5-mediated phosphorylation in response to genotoxic and oxidative stresses at Ser-15, Ser-33 and Ser-46, leading to accumulation of p53/TP53, particularly in the nucleus, thus inducing the transactivation of p53/TP53 target genes. Phosphorylated by DYRK2 at Ser-46 in response to genotoxic stress. Phosphorylated at Ser-315 and Ser-392 by CDK2 in response to DNA-damage. Phosphorylation at Ser-15 is required for interaction with DDX3X and gamma-tubulin.; Dephosphorylated by PP2A-PPP2R5C holoenzyme at Thr-55. SV40 small T antigen inhibits the dephosphorylation by the AC form of PP2A.; May be O-glycosylated in the C-terminal basic region. Studied in EB-1 cell line.; Ubiquitinated by MDM2 and SYVN1, which leads to proteasomal degradation. Ubiquitinated by RFWD3, which works in cooperation with MDM2 and may catalyze the formation of short polyubiquitin chains on p53/TP53 that are not targeted to the proteasome. Ubiquitinated by MKRN1 at Lys-291 and Lys-292, which leads to proteasomal degradation. Deubiquitinated by USP10, leading to its stabilization. Ubiquitinated by TRIM24, RFFL, RNF34 and RNF125, which leads to proteasomal degradation. Ubiquitination by TOPORS induces degradation. Deubiquitination by USP7, leading to stabilization. Isoform 4 is monoubiquitinated in an MDM2-independent manner. Ubiquitinated by COP1, which leads to proteasomal degradation. Ubiquitination and subsequent proteasomal degradation is negatively regulated by CCAR2. Polyubiquitinated by C10orf90/FATS, polyubiquitination is 'Lys-48'-linkage independent and non-proteolytic, leading to TP53 stabilization (By similarity).; Monomethylated at Lys-372 by SETD7, leading to stabilization and increased transcriptional activation. Monomethylated at Lys-370 by SMYD2, leading to decreased DNA-binding activity and subsequent transcriptional regulation activity. Lys-372 monomethylation prevents interaction with SMYD2 and subsequent monomethylation at Lys-370. Dimethylated at Lys-373 by EHMT1 and EHMT2. Monomethylated at Lys-382 by KMT5A, promoting interaction with L3MBTL1 and leading to repress transcriptional activity. Dimethylation at Lys-370 and Lys-382 diminishes p53 ubiquitination, through stabilizing association with the methyl reader PHF20. Demethylation of dimethylated Lys-370 by KDM1A prevents interaction with TP53BP1 and represses TP53-mediated transcriptional activation. Monomethylated at Arg-333 and dimethylated at Arg-335 and Arg-337 by PRMT5; methylation is increased after DNA damage and might possibly affect TP53 target gene specificity.; Sumoylated with SUMO1. Sumoylated at Lys-386 by UBC9.
亚细胞定位
Cytoplasm, Nucleus, Endoplasmic reticulum, Mitochondrion matrix.
别名
Antigen NY-CO-13 antibody
BCC7 antibody
Cellular tumor antigen p53 antibody
FLJ92943 antibody
LFS1 antibody
Mutant tumor protein 53 antibody
p53 antibody
p53 tumor suppressor antibody
P53_HUMAN antibody
Phosphoprotein p53 antibody
展开Antigen NY-CO-13 antibody
BCC7 antibody
Cellular tumor antigen p53 antibody
FLJ92943 antibody
LFS1 antibody
Mutant tumor protein 53 antibody
p53 antibody
p53 tumor suppressor antibody
P53_HUMAN antibody
Phosphoprotein p53 antibody
Tp53 antibody
Transformation related protein 53 antibody
TRP53 antibody
Tumor protein 53 antibody
Tumor protein p53 antibody
Tumor suppressor p53 antibody
折叠图片
-
Western blot analysis of Phospho-p53 (S392) on different cell lysates with Rabbit anti-Phospho-p53 (S392) antibody (HA750097) at 1:1,000 dilution.
Lane 1: 293 cell lysate
Lane 2: F9 cell lysate
Lane 3: A431 cell lysate
Lysates/proteins at 10 µg/Lane.
Predicted band size: 53 kDa
Observed band size: 53 kDa
Exposure time: 30 Seconds;
10% SDS-PAGE gel.
Proteins were transferred to a PVDF membrane and blocked with 5% BSA for 1 hour at room temperature. The primary antibody (ET1606-24) at 1:1,000 dilution was used in PBS at room temperature for 2 hours. Goat Anti-Rabbit IgG - HRP Secondary Antibody (HA1001) at 1:300,000 dilution was used for 1 hour at room temperature. -
☑ Cell treatment (CT)
Western blot analysis of Phospho-p53(S392) on 293 cell lysates.
Lane 1: 293 cells, whole cell lysate, 10ug/lane
Lane 2: 293 cells treated with 2.8ug/ul lambda-PP for 30 minutes, whole cell lysates, 10ug/lane
All lanes :
Anti-Phospho-p53(S392) antibody (HA750097) at 1:500 dilution. Anti-GAPDH antibody (ET1601-4) at 1:10,000 dilution. Goat Anti-Rabbit IgG H&L (HRP) (HA1001) at 1/200,000 dilution.
Predicted band size: 53 kDa
Observed band size: 53 kDa
Blocking and diluting buffer: 5% BSA.
Exposure time: 10 seconds -
☑ Cell treatment (CT)
Western blot analysis of Phospho-p53(S392) on A549 cell lysates.
Lane 1: A549 cells, whole cell lysate, 10ug/lane
Lane 2/3: A549 cells treated with 250nM Doxorubicin overnight, whole cell lysates, 10ug/lane
Lane 4: A549 cells treated with 250nM Doxorubicin overnight, then treated with 2.8ug/ul lambda-PP for 30 minutes, whole cell lysates, 10ug/lane
All lanes :
Anti-Phospho-p53(S392) antibody (HA750097) at 1:500 dilution. Anti-GAPDH antibody (ET1601-4) at 1:10,000 dilution. Goat Anti-Rabbit IgG H&L (HRP) (HA1001) at 1/200,000 dilution.
Predicted band size: 53 kDa
Observed band size: 53 kDa
Blocking and diluting buffer: 5% BSA.
Exposure time: 5 minutes -
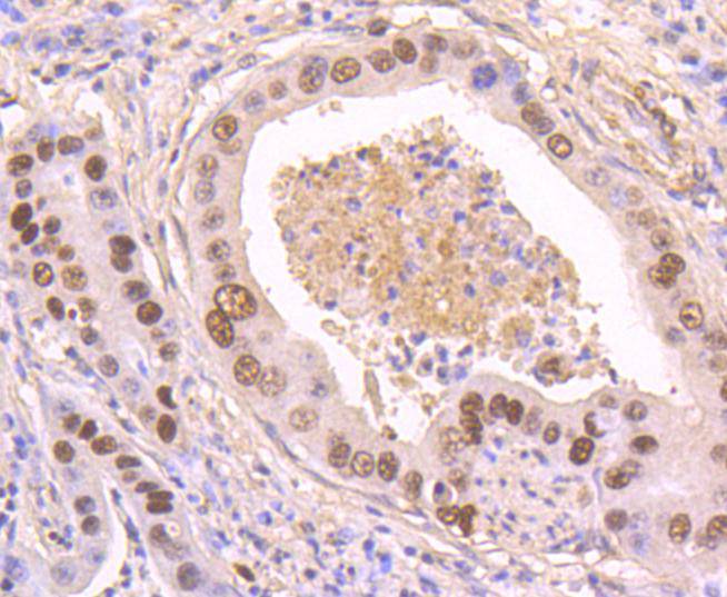
Immunohistochemical analysis of paraffin-embedded human stomach carcinoma tissue using anti-Phospho-p53 (S392) antibody. The section was pre-treated using heat mediated antigen retrieval with Tris-EDTA buffer (pH 8.0-8.4) for 20 minutes.The tissues were blocked in 5% BSA for 30 minutes at room temperature, washed with ddH2O and PBS, and then probed with the primary antibody (HA750097, 1/50) for 30 minutes at room temperature. The detection was performed using an HRP conjugated compact polymer system. DAB was used as the chromogen. Tissues were counterstained with hematoxylin and mounted with DPX.
-
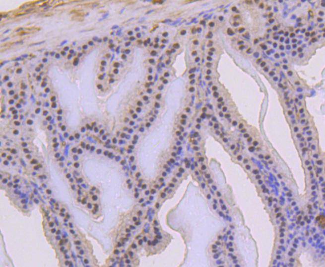
Immunohistochemical analysis of paraffin-embedded mouse prostate tissue using anti-Phospho-p53 (S392) antibody. The section was pre-treated using heat mediated antigen retrieval with Tris-EDTA buffer (pH 8.0-8.4) for 20 minutes.The tissues were blocked in 5% BSA for 30 minutes at room temperature, washed with ddH2O and PBS, and then probed with the primary antibody (HA750097, 1/50) for 30 minutes at room temperature. The detection was performed using an HRP conjugated compact polymer system. DAB was used as the chromogen. Tissues were counterstained with hematoxylin and mounted with DPX.
-
☑ Cell treatment (CT)
Immunohistochemical analysis of paraffin-embedded Human gastric adenocarcinoma tissue untreaed and treated with λ-PPase with Rabbit anti-Phospho-p53 (S392) antibody (HA750097) at 1/200 dilution.
The section was pre-treated using heat mediated antigen retrieval with sodium citrate buffer (pH 6.0) (high pressure) for 2 minutes. The tissues were blocked in 1% BSA for 20 minutes at room temperature, washed with ddH2O and PBS, and then probed with the primary antibody (ET1606-24) at 1/200 dilution for 1 hour at room temperature. The detection was performed using an HRP conjugated compact polymer system. DAB was used as the chromogen. Tissues were counterstained with hematoxylin and mounted with DPX.
请注意: All products are "FOR RESEARCH USE ONLY AND ARE NOT INTENDED FOR DIAGNOSTIC OR THERAPEUTIC USE"
同靶点 & 同通路的产品
Phospho-p53 (S15) Recombinant Rabbit Monoclonal Antibody [PSH01-98] - BSA and Azide free
Application: WB,IF-Cell
Reactivity: Human
Conjugate: unconjugated
p53 (acetyl K382) Recombinant Rabbit Monoclonal Antibody [SD0801]
Application: WB,IF-Cell,IHC-P
Reactivity: Human,Mouse
Conjugate: unconjugated
Phospho-p53 (T55) Recombinant Rabbit Monoclonal Antibody [ST0439]
Application: WB,IHC-P
Reactivity: Human
Conjugate: unconjugated
p53 Recombinant Rabbit Monoclonal Antibody [PD01-32] - BSA and Azide free
Application: IHC-P
Reactivity: Human
Conjugate: unconjugated
p53 Mouse Monoclonal Antibody [6B5]
Application: WB
Reactivity: Human
Conjugate: unconjugated
p53 Mouse Monoclonal Antibody [6B2]
Application: WB,IF-Cell
Reactivity: Human,Mouse
Conjugate: unconjugated
p53 Recombinant Mouse Monoclonal Antibody [6B2-R] - BSA and Azide free
Application: WB,IF-Cell
Reactivity: Human,Monkey
Conjugate: unconjugated
p53 (acetyl K370) Recombinant Rabbit Monoclonal Antibody [SR40-09] - BSA and Azide free
Application: WB,IF-Cell,IF-Tissue,FC
Reactivity: Human,Mouse,Rat
Conjugate: unconjugated
p53 Recombinant Rabbit Monoclonal Antibody [SA39-07] - BSA and Azide free
Application: WB,IF-Cell,ChIP
Reactivity: Human
Conjugate: unconjugated
Phospho-p53 (S376) Recombinant Rabbit Monoclonal Antibody [ST0440]
Application: WB
Reactivity: Human,Mouse
Conjugate: unconjugated
p53 (acetyl K370) Recombinant Rabbit Monoclonal Antibody [SR40-09]
Application: WB,IF-Cell,IF-Tissue,FC
Reactivity: Human,Mouse,Rat
Conjugate: unconjugated
p53 Recombinant Mouse Monoclonal Antibody [6B2-R]
Application: WB,IF-Cell
Reactivity: Human,Monkey
Conjugate: unconjugated
Phospho-p53 (S33) Recombinant Rabbit Monoclonal Antibody [JE41-97]
Application: WB,IF-Cell,IHC-P
Reactivity: Human,Mouse,Rat
Conjugate: unconjugated
p53 Rabbit Polyclonal Antibody
Application: WB,IF-Cell
Reactivity: Human
Conjugate: unconjugated
p53 Recombinant Rabbit Monoclonal Antibody [JB42-26]
Application: WB,IHC-P,FC,IF-Cell,IF-Tissue,IP
Reactivity: Human
Conjugate: unconjugated
p53 Mouse Monoclonal Antibody [7-5]
Application: WB,IF-Cell,IHC-P,FC
Reactivity: Human
Conjugate: unconjugated
Phospho-p53 (S392) Recombinant Rabbit Monoclonal Antibody [SI17-04]
Application: WB,IHC-P,IP
Reactivity: Human,Mouse,Rat
Conjugate: unconjugated
p53 Recombinant Mouse Monoclonal Antibody [6B5-R]
Application: WB,IF-Cell
Reactivity: Human,Mouse,Monkey
Conjugate: unconjugated
p53 Recombinant Mouse Monoclonal Antibody [6B5-R] - BSA and Azide free
Application: WB,IF-Cell
Reactivity: Human,Mouse,Monkey
Conjugate: unconjugated
p53 (acetyl K382) Recombinant Rabbit Monoclonal Antibody [PSH06-88]
Application: WB,IF-Cell
Reactivity: Human
Conjugate: unconjugated
Phospho-p53 (S15) Recombinant Rabbit Monoclonal Antibody [PSH01-98]
Application: WB,IF-Cell
Reactivity: Human
Conjugate: unconjugated
Phospho-p53 (S20) Recombinant Rabbit Monoclonal Antibody [PSH06-86] - BSA and Azide free
Application: WB
Reactivity: Human
Conjugate: unconjugated
p53 (acetyl K382) Recombinant Rabbit Monoclonal Antibody [PSH06-87] - BSA and Azide free
Application: WB,IF-Cell
Reactivity: Human,Mouse
Conjugate: unconjugated
p53 (acetyl K382) Recombinant Rabbit Monoclonal Antibody [PSH06-88] - BSA and Azide free
Application: WB,IF-Cell
Reactivity: Human
Conjugate: unconjugated
p53 (acetyl K382) Recombinant Rabbit Monoclonal Antibody [PSH06-87]
Application: WB,IF-Cell
Reactivity: Human,Mouse
Conjugate: unconjugated
p53 Recombinant Rabbit Monoclonal Antibody [SY010-6]
Application: WB,IF-Cell,IF-Tissue,IHC-P,IP,FC
Reactivity: Human
Conjugate: unconjugated
Phospho-p53 (S20) Recombinant Rabbit Monoclonal Antibody [PSH06-86]
Application: WB
Reactivity: Human
Conjugate: unconjugated
p53 Recombinant Rabbit Monoclonal Antibody [PD01-32]
Application: IHC-P
Reactivity: Human
Conjugate: unconjugated
p53 Mouse Monoclonal Antibody [C8-A11]
Application: WB,IF-Cell,IHC-P
Reactivity: Human
Conjugate: unconjugated
p53 Recombinant Rabbit Monoclonal Antibody [SA39-07]
Application: WB,IF-Cell,ChIP
Reactivity: Human
Conjugate: unconjugated
浙公网安备 33019202000643号