p53 Recombinant Rabbit Monoclonal Antibody [PD01-32] - BSA and Azide free
Catalog# HA750545
p53 Recombinant Rabbit Monoclonal Antibody [PD01-32] - BSA and Azide free
-
IHC-P
-
Human
-
HA721213
含抗保成分
-
unconjugated
概述
产品名称
p53 Recombinant Rabbit Monoclonal Antibody [PD01-32] - BSA and Azide free
抗体类型
Recombinant Rabbit monoclonal Antibody
免疫原
Recombinant full length protein within Human p53.
种属反应性
Human
验证应用
IHC-P
分子量
Predicted band size: 53 kDa
阳性对照
Human stomach cancer tissue, human breast cancer tissue.
偶联
unconjugated
克隆号
PD01-32
产品特性
形态
Liquid
浓度
存放说明
Store at +4℃ after thawing. Aliquot store at -20℃. Avoid repeated freeze / thaw cycles.
存储缓冲液
1*PBS (pH7.4).
亚型
IgG
纯化方式
Protein A affinity purified.
应用稀释度
-
IHC-P
-
1:1,000-1:2,000
靶点
功能
Changes in the p53 gene is one of the most common genetic changes associated with cancer, being implicated in a wide range of tumour types. In many types, more than half of the tumours are p53+. Often p53 positivity is correlated with high grade lesions (e.g., carcinoma of breast, prostate and bladder, malignant lymphoma) and poor prognosis. A few tumour types are characterised by strong p53 expression in most cases, e.g., uterine papillary serous carcinoma. In many tumour types (e.g., malignant lymphomas), p53 appear to have prognostic significance , but the data are often conflicting. In dysplastic lesions, e.g., in Barrett's esophagus, p53 expression increases the risk of carcinoma. p53 may be helpful in differentiating between certain reactive and neoplastic lesions, e.g., reactive urothelial changes (patchy and weak) v. urothelial neoplasia (~60% pos.); reactive mesothelial proliferation (~10% pos.) v. malignant mesothelioma (~60% pos.). p53 positivity is a parameter in the identification of tubal intraepithelial carcinoma associated with pelvic serous carcinoma. Tonsil and appendix are the most recommendable external positive and negative tissue controls. As a guideline for an accurate p53 IHC test more than 20% of germinal centre B-cells must show a weak to moderate nuclear staining reaction, while less than 10% of the mantle zone B-cells should be demonstrated in tonsil. In appendix, dispersed epithelial cells in the basal parts of the crypts must show a weak to moderate nuclear staining reaction, while the luminal epithelial cells must be negative. In addition, it has to be emphasized, that stromal cells, lymphocytes and endothelial cells in the clinical samples are essential as internal positive tissue controls especially for carcinomas with TP53 mutations causing absence and loss of p53 expression in the tumour cells.
背景文献
1. "WOX1 is essential for tumor necrosis factor-, UV light-, staurosporine-, and p53-mediated cell death, and its tyrosine 33-phosphorylated form binds and stabilizes serine 46-phosphorylated p53." Chang N.-S., Doherty J., Ensign A., Schultz L., Hsu L.-J., Hong Q. J. Biol. Chem. 280:43100-43108(2005).
2. "Protein kinase C delta regulates Ser46 phosphorylation of p53 tumor suppressor in the apoptotic response to DNA damage." Yoshida K., Liu H., Miki Y. J. Biol. Chem. 281:5734-5740(2006).
亚细胞定位
Cytoplasm, Nucleus, Endoplasmic reticulum, Mitochondrion matrix
UNIPROT
别名
Antigen NY-CO-13 antibody
BCC7 antibody
Cellular tumor antigen p53 antibody
FLJ92943 antibody
LFS1 antibody
Mutant tumor protein 53 antibody
p53 antibody
p53 tumor suppressor antibody
P53_HUMAN antibody
Phosphoprotein p53 antibody
展开Antigen NY-CO-13 antibody
BCC7 antibody
Cellular tumor antigen p53 antibody
FLJ92943 antibody
LFS1 antibody
Mutant tumor protein 53 antibody
p53 antibody
p53 tumor suppressor antibody
P53_HUMAN antibody
Phosphoprotein p53 antibody
Tp53 antibody
Transformation related protein 53 antibody
TRP53 antibody
Tumor protein 53 antibody
Tumor protein p53 antibody
Tumor suppressor p53 antibody
折叠图片
-
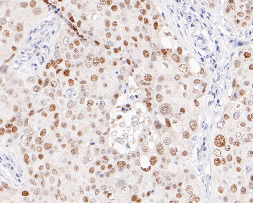
Immunohistochemical analysis of paraffin-embedded human stomach cancer tissue with Rabbit anti-p53 antibody (HA750545) at 1/2,000 dilution.
The section was pre-treated using heat mediated antigen retrieval with Tris-EDTA buffer (pH 9.0) for 20 minutes. The tissues were blocked in 1% BSA for 20 minutes at room temperature, washed with ddH2O and PBS, and then probed with the primary antibody (HA750545) at 1/2,000 dilution for 1 hour at room temperature. The detection was performed using an HRP conjugated compact polymer system. DAB was used as the chromogen. Tissues were counterstained with hematoxylin and mounted with DPX. -
Immunohistochemical analysis of paraffin-embedded human breast cancer tissue with Rabbit anti-p53 antibody (HA750545) at 1/1,000 dilution.
The section was pre-treated using heat mediated antigen retrieval with Tris-EDTA buffer (pH 9.0) for 20 minutes. The tissues were blocked in 1% BSA for 20 minutes at room temperature, washed with ddH2O and PBS, and then probed with the primary antibody (HA750545) at 1/1,000 dilution for 1 hour at room temperature. The detection was performed using an HRP conjugated compact polymer system. DAB was used as the chromogen. Tissues were counterstained with hematoxylin and mounted with DPX.
请注意: All products are "FOR RESEARCH USE ONLY AND ARE NOT INTENDED FOR DIAGNOSTIC OR THERAPEUTIC USE"
同靶点 & 同通路的产品
Phospho-p53 (S15) Recombinant Rabbit Monoclonal Antibody [PSH01-98] - BSA and Azide free
Application: WB,IF-Cell
Reactivity: Human
Conjugate: unconjugated
p53 Recombinant Mouse Monoclonal Antibody [6B2-R] - BSA and Azide free
Application: WB,IF-Cell
Reactivity: Human,Monkey
Conjugate: unconjugated
p53 (acetyl K370) Recombinant Rabbit Monoclonal Antibody [SR40-09] - BSA and Azide free
Application: WB,IF-Cell,IF-Tissue,FC
Reactivity: Human,Mouse,Rat
Conjugate: unconjugated
p53 Recombinant Rabbit Monoclonal Antibody [SA39-07] - BSA and Azide free
Application: WB,IF-Cell,ChIP
Reactivity: Human
Conjugate: unconjugated
p53 Mouse Monoclonal Antibody [6B2]
Application: WB,IF-Cell
Reactivity: Human,Mouse
Conjugate: unconjugated
p53 (acetyl K382) Recombinant Rabbit Monoclonal Antibody [SD0801]
Application: WB,IF-Cell,IHC-P
Reactivity: Human,Mouse
Conjugate: unconjugated
p53 Mouse Monoclonal Antibody [6B5]
Application: WB
Reactivity: Human
Conjugate: unconjugated
p53 Mouse Monoclonal Antibody [7-5]
Application: WB,IF-Cell,IHC-P,FC
Reactivity: Human
Conjugate: unconjugated
p53 Recombinant Mouse Monoclonal Antibody [6B2-R]
Application: WB,IF-Cell
Reactivity: Human,Monkey
Conjugate: unconjugated
Phospho-p53 (S376) Recombinant Rabbit Monoclonal Antibody [ST0440]
Application: WB
Reactivity: Human,Mouse
Conjugate: unconjugated
p53 (acetyl K370) Recombinant Rabbit Monoclonal Antibody [SR40-09]
Application: WB,IF-Cell,IF-Tissue,FC
Reactivity: Human,Mouse,Rat
Conjugate: unconjugated
Phospho-p53 (T55) Recombinant Rabbit Monoclonal Antibody [ST0439]
Application: WB,IHC-P
Reactivity: Human
Conjugate: unconjugated
Phospho-p53 (S392) Recombinant Rabbit Monoclonal Antibody [SI17-04] - BSA and Azide free
Application: WB,IHC-P,IP
Reactivity: Human,Mouse,Rat
Conjugate: unconjugated
Phospho-p53 (S33) Recombinant Rabbit Monoclonal Antibody [JE41-97]
Application: WB,IF-Cell,IHC-P
Reactivity: Human,Mouse,Rat
Conjugate: unconjugated
p53 Rabbit Polyclonal Antibody
Application: WB,IF-Cell
Reactivity: Human
Conjugate: unconjugated
p53 Recombinant Rabbit Monoclonal Antibody [JB42-26]
Application: WB,IHC-P,FC,IF-Cell,IF-Tissue,IP
Reactivity: Human
Conjugate: unconjugated
Phospho-p53 (S392) Recombinant Rabbit Monoclonal Antibody [SI17-04]
Application: WB,IHC-P,IP
Reactivity: Human,Mouse,Rat
Conjugate: unconjugated
p53 Recombinant Mouse Monoclonal Antibody [6B5-R]
Application: WB,IF-Cell
Reactivity: Human,Mouse,Monkey
Conjugate: unconjugated
p53 Recombinant Mouse Monoclonal Antibody [6B5-R] - BSA and Azide free
Application: WB,IF-Cell
Reactivity: Human,Mouse,Monkey
Conjugate: unconjugated
p53 (acetyl K382) Recombinant Rabbit Monoclonal Antibody [PSH06-88]
Application: WB,IF-Cell
Reactivity: Human
Conjugate: unconjugated
Phospho-p53 (S15) Recombinant Rabbit Monoclonal Antibody [PSH01-98]
Application: WB,IF-Cell
Reactivity: Human
Conjugate: unconjugated
Phospho-p53 (S20) Recombinant Rabbit Monoclonal Antibody [PSH06-86] - BSA and Azide free
Application: WB
Reactivity: Human
Conjugate: unconjugated
p53 (acetyl K382) Recombinant Rabbit Monoclonal Antibody [PSH06-87] - BSA and Azide free
Application: WB,IF-Cell
Reactivity: Human,Mouse
Conjugate: unconjugated
p53 (acetyl K382) Recombinant Rabbit Monoclonal Antibody [PSH06-88] - BSA and Azide free
Application: WB,IF-Cell
Reactivity: Human
Conjugate: unconjugated
p53 (acetyl K382) Recombinant Rabbit Monoclonal Antibody [PSH06-87]
Application: WB,IF-Cell
Reactivity: Human,Mouse
Conjugate: unconjugated
p53 Recombinant Rabbit Monoclonal Antibody [SY010-6]
Application: WB,IF-Cell,IF-Tissue,IHC-P,IP,FC
Reactivity: Human
Conjugate: unconjugated
Phospho-p53 (S20) Recombinant Rabbit Monoclonal Antibody [PSH06-86]
Application: WB
Reactivity: Human
Conjugate: unconjugated
p53 Recombinant Rabbit Monoclonal Antibody [PD01-32]
Application: IHC-P
Reactivity: Human
Conjugate: unconjugated
p53 Mouse Monoclonal Antibody [C8-A11]
Application: WB,IF-Cell,IHC-P
Reactivity: Human
Conjugate: unconjugated
p53 Recombinant Rabbit Monoclonal Antibody [SA39-07]
Application: WB,IF-Cell,ChIP
Reactivity: Human
Conjugate: unconjugated
浙公网安备 33019202000643号