IAP Family Antibody Sampler Kit
概述
Kit Components
| Product Includes | Specification | Application | Reactivity | Mw |
|---|---|---|---|---|
| cIAP1[HA722744] | 20µl | WB,IF-Cell,FC | Human,Mouse,Rat | Predicted band size: 70 kDa |
| cIAP2[HA722767] | 20µl | WB | Human | Predicted band size: 68 kDa |
| XIAP[HA722113] | 20µl | WB,IHC-P | Human,Mouse,Rat,Monkey | Predicted band size: 57 kDa |
| Livin[HA723483] | 20µl | WB,IHC-P,IP | Human | Predicted band size: 33 kDa |
| Survivin[ET1604-34] | 20µl | WB,IF-Cell,IF-Tissue,IHC-P,FC | Human,Mouse,Rat | Predicted band size: 16 kDa |
| Goat Anti-Rabbit IgG (H+L)[HA1001] | 100µl | WB,ELISA,IHC-P | Rabbit |
Product Description
The IAP Family Antibody Sampler Kit provides an economical means to investigate the expression of various IAP family members within the cell. The kit contains enough primary and secondary antibodies to perform two Western blot experiments.
Product Features
Storage Buffer
1*TBS (pH7.4), 0.05% BSA, 40% Glycerol. Preservative: 0.05% Sodium Azide.
Storage Instructions
Store at +4℃ after thawing. Aliquot store at -20℃. Avoid repeated freeze / thaw cycles.
Background
The inhibitor of apoptosis protein (IAP) family consists of an evolutionarily conserved group of apoptosis inhibitors containing a conserved 70 amino acid BIR (baculovirus inhibitor repeat) domain. Human members of this family include c-IAP1, c-IAP2, XIAP, survivin, livin, and NAIP. <BR>Overexpression of IAP family members, particularly survivin and livin, in cancer cell lines and primary tumors suggests an important role for these proteins in cancer progression. In general, the IAP proteins function through direct interactions to inhibit the activity of several caspases, including caspase-3, caspase-7, and caspase-9 . In addition, binding of IAP family members to the mitochondrial protein Smac blocks their interaction with caspase-9, thereby allowing the processing and activation of the caspase.
Background References
1. Tamm I, Kornblau SM, Segall H, Krajewski S, Welsh K, Kitada S, Scudiero DA, Tudor G, Qui YH, Monks A, Andreeff M, Reed JC. Expression and prognostic significance of IAP-family genes in human cancers and myeloid leukemias. Clin Cancer Res. 2000 May;6(5):1796-803.
2. Deveraux QL, Takahashi R, Salvesen GS, Reed JC. X-linked IAP is a direct inhibitor of cell-death proteases. Nature. 1997 Jul 17;388(6639):300-4.
3. Silke J, Vucic D. IAP family of cell death and signaling regulators. Methods Enzymol. 2014;545:35-65.
图片
-
Western blot analysis of cIAP2 on different lysates with Rabbit anti-cIAP2 antibody (HA722767) at 1/2,000 dilution.
Lane 1: Raji cell lysate
Lane 2: Daudi cell lysate
Lane 3: Ramos cell lysate
Lane 4: NCI-H1299 cell lysate
Lysates/proteins at 20 µg/Lane.
Predicted band size: 68 kDa
Observed band size: 70 kDa
Exposure time: 3 minutes; ECL: K1801;
4-20% SDS-PAGE gel.
Proteins were transferred to a PVDF membrane and blocked with 5% NFDM/TBST for 1 hour at room temperature. The primary antibody (HA722767) at 1/2,000 dilution was used in 5% NFDM/TBST at 4℃ overnight. Goat Anti-Rabbit IgG - HRP Secondary Antibody (HA1001) at 1/50,000 dilution was used for 1 hour at room temperature. -
Western blot analysis of cIAP1 on different lysates with Rabbit anti-cIAP1 antibody (HA722744) at 1/2,000 dilution.
Lane 1: TF-1 cell lysate (20 µg/Lane)
Lane 2: HepG2 cell lysate (20 µg/Lane)
Lane 3: HeLa cell lysate (20 µg/Lane)
Lane 4: THP-1 cell lysate (20 µg/Lane)
Lane 5: Jurkat cell lysate (20 µg/Lane)
Lane 6: A549 cell lysate (20 µg/Lane)
Lane 7: HEK-293 cell lysate (20 µg/Lane)
Lane 8: Mouse testis tissue lysate (40 µg/Lane)
Lane 9: Mouse brain tissue lysate (40 µg/Lane)
Predicted band size: 70 kDa
Observed band size: 70 kDa
Exposure time: 3 minutes; ECL: K1802;
4-20% SDS-PAGE gel.
Proteins were transferred to a PVDF membrane and blocked with 5% NFDM/TBST for 1 hour at room temperature. The primary antibody (HA722744) at 1/2,000 dilution was used in 5% NFDM/TBST at 4℃ overnight. Goat Anti-Rabbit IgG - HRP Secondary Antibody (HA1001) at 1/50,000 dilution was used for 1 hour at room temperature. -
Western blot analysis of XIAP on different lysates with Rabbit anti-XIAP antibody (HA722113) at 1/2,000 dilution and competitor's antibody at 1/2,000 dilution.
Lane 1: 293T cell lysate (20 µg/Lane)
Lane 2: MCF7 cell lysate (20 µg/Lane)
Lane 3: HT-29 cell lysate (20 µg/Lane)
Lane 4: A549 cell lysate (20 µg/Lane)
Lane 5: HeLa cell lysate (20 µg/Lane)
Lane 6: COS-1 cell lysate (20 µg/Lane)
Lane 7: NIH/3T3 cell lysate (20 µg/Lane)
Lane 8: PC-12 cell lysate (20 µg/Lane)
Lane 9: Mouse brain tissue lysate (20 µg/Lane)
Lane 10: Rat brain tissue lysate (20 µg/Lane)
Predicted band size: 57 kDa
Observed band size: 50 kDa
Exposure time: Lane 1-10 (left): 20 seconds; Lane 1-10 (right): 3 minutes; ECL: K1801; 4-20% SDS-PAGE gel.
Proteins were transferred to a PVDF membrane and blocked with 5% NFDM/TBST for 1 hour at room temperature. The primary antibody (HA722113) at 1/2,000 dilution and competitor's antibody at 1/2,000 dilution were used in 5% NFDM/TBST at 4℃ overnight. Goat Anti-Rabbit IgG - HRP Secondary Antibody (HA1001) at 1/50,000 dilution was used for 1 hour at room temperature. -
Western blot analysis of XIAP with Rabbit anti-XIAP antibody (HA722113) at 1/2,000 dilution.
Lane 1: Wild-type Caco-2 whole cell lysate (10 µg/Lane)
Lane 2/3: XIAP knockdown Caco-2 whole cell lysate (10 µg/Lane)
Predicted band size: 57 kDa
Observed band size: 50 kDa
Exposure time: 1 minute; ECL: K1801; 4-20% SDS-PAGE gel.
HA722113 was shown to specifically react with XIAP in wild-type Caco-2 cells. Weakened bands were observed when XIAP knockdown samples were tested. Wild-type and XIAP knockdown samples were subjected to SDS-PAGE. Proteins were transferred to a PVDF membrane and blocked with 5% NFDM in TBST for 1 hour at room temperature. The primary antibody (HA722113) at 1/2,000 dilution were used in 5% NFDM/TBST at 4℃ overnight. Goat Anti-Rabbit IgG - HRP Secondary Antibody (HA1001) at 1/50,000 dilution was used for 1 hour at room temperature. -
Western blot analysis of Livin on different lysates with Rabbit anti-Livin antibody (HA723483) at 1/5,000 dilution.
Lane 1: SK-MEL-28 cell lysate
Lane 2: HeLa cell lysate (negative)
Lysates/proteins at 20 µg/Lane.
Predicted band size: 33 kDa
Observed band size: 35 kDa
Exposure time: 30 seconds; ECL: K1801;
4-20% SDS-PAGE gel.
Proteins were transferred to a PVDF membrane and blocked with 5% NFDM/TBST for 1 hour at room temperature. The primary antibody (HA723483) at 1/5,000 dilution was used in 5% NFDM/TBST at 4℃ overnight. Goat Anti-Rabbit IgG - HRP Secondary Antibody (HA1001) at 1/50,000 dilution was used for 1 hour at room temperature. -
Western blot analysis of Survivin on different lysates with Rabbit anti-Survivin antibody (ET1604-34) at 1/1,000 dilution.
Lane 1: Jurkat cell lysate
Lane 2: HeLa cell lysate
Lane 3: 293T cell lysate
Lane 4: RAW264.7 cell lysate
Lane 5: NIH/3T3 cell lysate
Lane 6: C6 cell lysate
Lane 7: PC-12 cell lysate
Lysates/proteins at 20 µg/Lane.
Predicted band size: 16 kDa
Observed band size: 16 kDa
Exposure time: 2 minutes; ECL: K1801;
4-20% SDS-PAGE gel.
Proteins were transferred to a PVDF membrane and blocked with 5% NFDM/TBST for 1 hour at room temperature. The primary antibody (ET1604-34) at 1/1,000 dilution was used in 5% NFDM/TBST at 4℃ overnight. Goat Anti-Rabbit IgG - HRP Secondary Antibody (HA1001) at 1/50,000 dilution was used for 1 hour at room temperature. -
Western blot analysis of Survivin on different lysates with Rabbit anti-Survivin antibody (ET1604-34) at 1/1,000 dilution.
Lane 1: HeLa cell lysate
Lane 2: HeLa treated with 100ng/mL Nocodazole for 18 hours cell lysate
Lane 3: NIH/3T3 cell lysate
Lane 4: NIH/3T3 treated with 100ng/mL Nocodazole for 18 hours cell lysate
Lysates/proteins at 20 µg/Lane.
Predicted band size: 16 kDa
Observed band size: 16 kDa
Exposure time: Lane 1-2: 30 seconds; Lane 3-4: 1 minute 2 seconds; ECL: K1801;
4-20% SDS-PAGE gel.
Proteins were transferred to a PVDF membrane and blocked with 5% NFDM/TBST for 1 hour at room temperature. The primary antibody (ET1604-34) at 1/1,000 dilution was used in primary antibody dilution (K1803) at 4℃ overnight. Goat Anti-Rabbit IgG - HRP Secondary Antibody (HA1001) at 1/50,000 dilution was used for 1 hour at room temperature. -
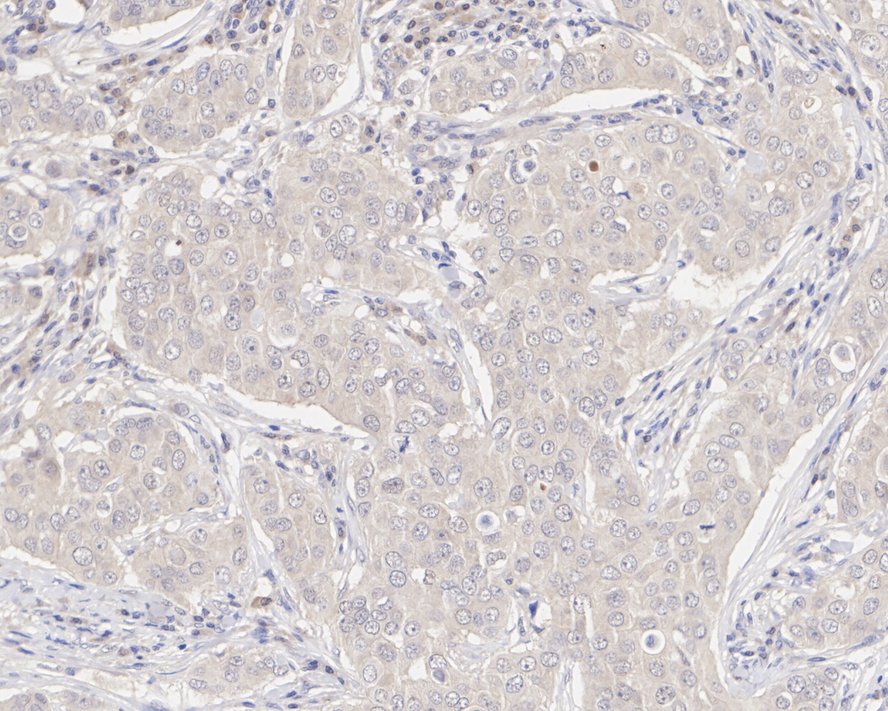
Immunohistochemical analysis of paraffin-embedded human breast cancer tissue with Rabbit anti-XIAP antibody (HA722113) at 1/50 dilution.
The section was pre-treated using heat mediated antigen retrieval with sodium citrate buffer (pH 6.0) (high pressure) for 2 minutes. The tissues were blocked in 1% BSA for 20 minutes at room temperature, washed with ddH2O and PBS, and then probed with the primary antibody (HA722113) at 1/50 dilution for 1 hour at room temperature. The detection was performed using an HRP conjugated compact polymer system. DAB was used as the chromogen. Tissues were counterstained with hematoxylin and mounted with DPX. -
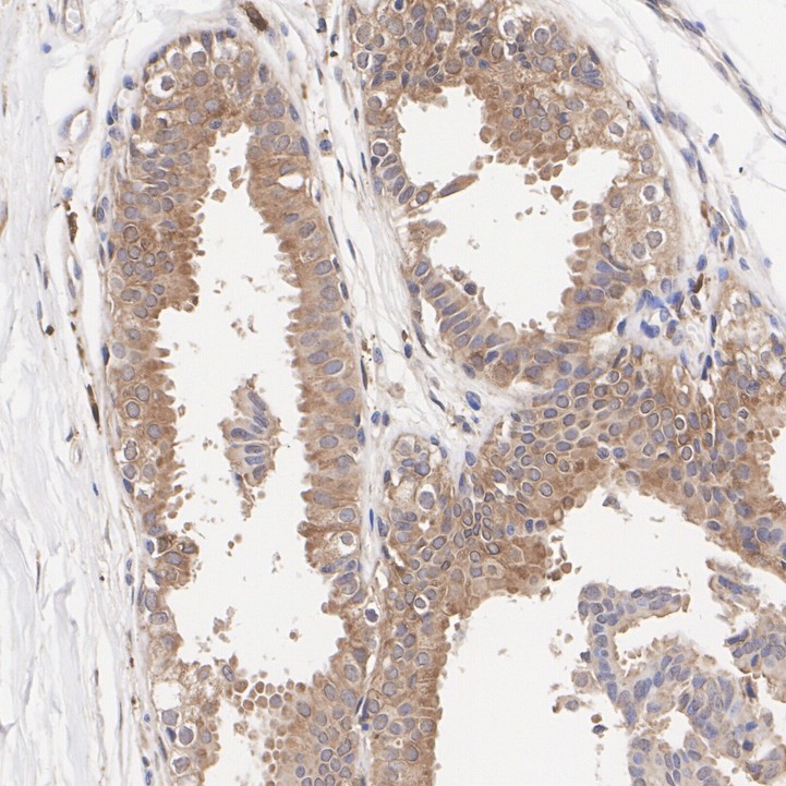
Immunohistochemical analysis of paraffin-embedded human breast cancer tissue with Rabbit anti-Livin antibody (HA723483) at 1/2,000 dilution.
The section was pre-treated using heat mediated antigen retrieval with Tris-EDTA buffer (pH 9.0) for 20 minutes. The tissues were blocked in 1% BSA for 20 minutes at room temperature, washed with ddH2O and PBS, and then probed with the primary antibody (HA723483) at 1/2,000 dilution for 1 hour at room temperature. The detection was performed using an HRP conjugated compact polymer system. DAB was used as the chromogen. Tissues were counterstained with hematoxylin and mounted with DPX. -
Flow cytometric analysis of RAW264.7 cells labeling Survivin.
Cells were fixed and permeabilized. Then stained with the primary antibody (ET1604-34, 1/1,000) (red) compared with Rabbit IgG Isotype Control (green). After incubation of the primary antibody at +4℃ for an hour, the cells were stained with a iFluor™ 488 conjugate-Goat anti-Rabbit IgG Secondary antibody (HA1121) at 1/1,000 dilution for 30 minutes at +4℃. Unlabelled sample was used as a control (cells without incubation with primary antibody; black).
请注意: All products are "FOR RESEARCH USE ONLY AND ARE NOT INTENDED FOR DIAGNOSTIC OR THERAPEUTIC USE"
Related Products
cIAP1 Recombinant Rabbit Monoclonal Antibody [PSH06-71] - BSA and Azide free
Application: WB
Reactivity: Human,Mouse,Rat
Conjugate: unconjugated
cIAP1 Recombinant Rabbit Monoclonal Antibody [PSH02-10] - BSA and Azide free (Capture)
Application: ELISA(Cap)
Reactivity: Human
Conjugate: unconjugated
cIAP1 Recombinant Rabbit Monoclonal Antibody [PSH06-72]
Application: WB,IF-Cell,FC
Reactivity: Human,Mouse,Rat
Conjugate: unconjugated
Biotin Conjugated cIAP1 Recombinant Rabbit Monoclonal Antibody [PSH06-71] - Detector
Application: ELISA(Det),ELISA
Reactivity: Human,Mouse,Rat
Conjugate: Biotin
BIRC2 Rabbit Polyclonal Antibody
Application: WB
Reactivity: Human,Mouse
Conjugate: unconjugated
cIAP1 Recombinant Rabbit Monoclonal Antibody [PSH06-71]
Application: WB
Reactivity: Human,Mouse,Rat
Conjugate: unconjugated
浙公网安备 33019202000643号