Catalog# HA723483
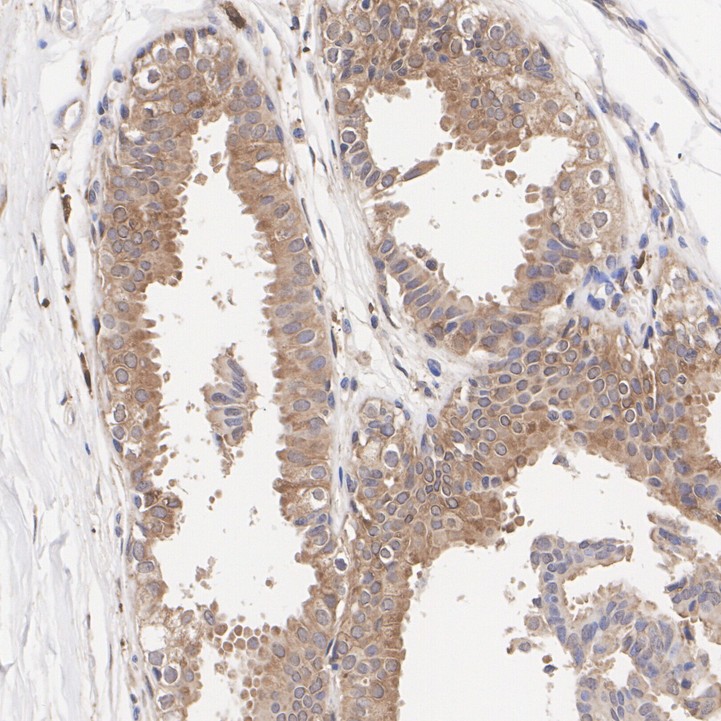
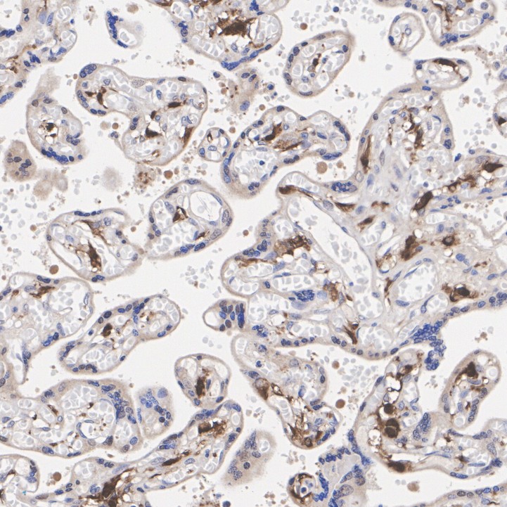
Livin Recombinant Rabbit Monoclonal Antibody [PSH12-72]
Application
-
WB
-
IHC-P
-
IP
Reactivity
-
Human
BSA and Azide free
-
HA751448
不含抗保成分
Conjugation
-
unconjugated

浙公网安备 33019202000643号