Catalog# HA722113
XIAP Recombinant Rabbit Monoclonal Antibody [PSH04-30]
Application
-
WB
-
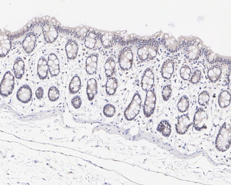
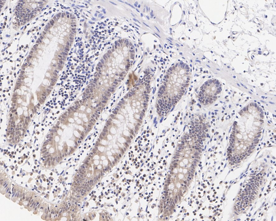
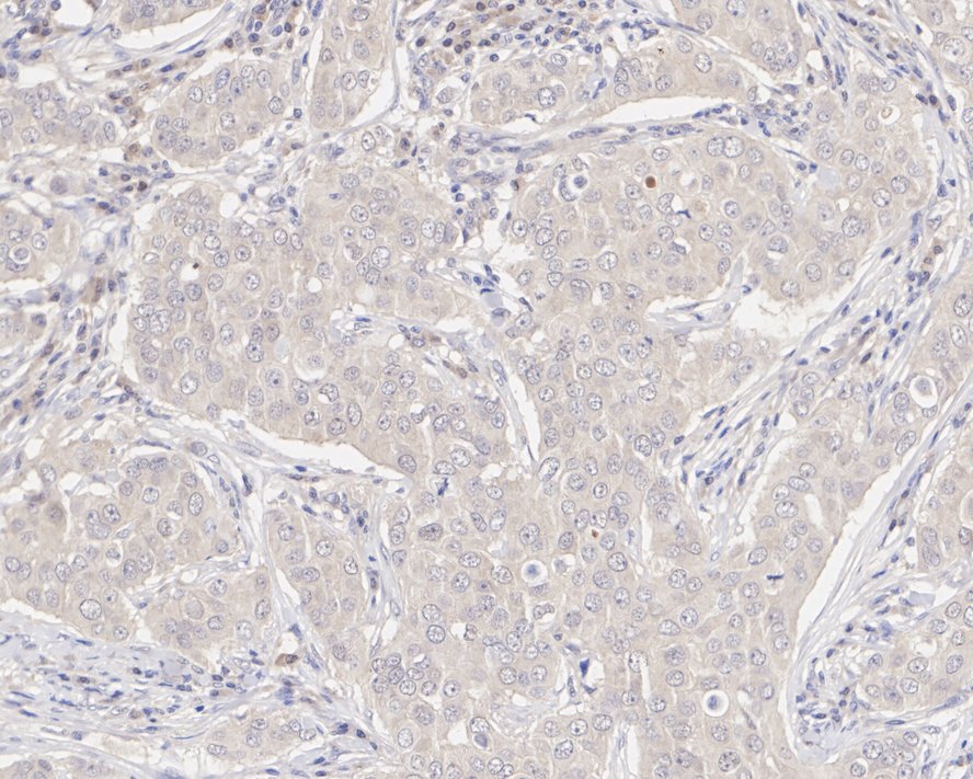
IHC-P
Reactivity
-
Human
-
Mouse
-
Rat
-
Monkey
BSA and Azide free
-
HA750939
不含抗保成分
Conjugation
-
unconjugated

浙公网安备 33019202000643号