图片
-
☑ Cell treatment (CT)
Western blot analysis of Mannose Receptor(CD206) on different lysates with Rabbit anti-Mannose Receptor(CD206) antibody (HA751188) at 1/2,000 dilution.
Lane 1: RAW264.7 cell lysate
Lane 2: RAW264.7 treated with 20ng/mL mIL-4 and 10ng/mL mIL-13 for 24 hours cell lysate (Macrophage M2 polarization, positive)
Lane 3: RAW264.7 cell lysate
Lane 4: RAW264.7 treated with 0.1μg/mL LPS for 6 hours cell lysate (Macrophage M1 polarization, negative)
Lysates/proteins at 20 µg/Lane.
Predicted band size: 165 kDa
Observed band size: 200 kDa
Exposure time: 59 seconds; ECL: K1801;
4-20% SDS-PAGE gel.
Proteins were transferred to a PVDF membrane and blocked with 5% NFDM/TBST for 1 hour at room temperature. The primary antibody (HA751188) at 1/2,000 dilution was used in 5% NFDM/TBST at 4℃ overnight. Goat Anti-Rabbit IgG - HRP Secondary Antibody (HA1001) at 1/50,000 dilution was used for 1 hour at room temperature.
-
Western blot analysis of Mannose Receptor(CD206) on different lysates with Rabbit anti-Mannose Receptor(CD206) antibody (HA751188) at 1/1,000 dilution.
Lane 1: Mouse lung tissue lysate (20 µg/Lane)
Lane 2: Mouse spleen tissue lysate (20 µg/Lane)
Lane 3: Rat brain tissue lysate (20 µg/Lane)
Lane 4: Rat lung tissue lysate (20 µg/Lane)
Lane 5: Rat liver tissue lysate (20 µg/Lane)
Predicted band size: 165 kDa
Observed band size: 200 kDa
Exposure time: 42 seconds; ECL: K1801;
4-20% SDS-PAGE gel.
Proteins were transferred to a PVDF membrane and blocked with 5% NFDM/TBST for 1 hour at room temperature. The primary antibody (HA751188) at 1/1,000 dilution was used in 5% NFDM/TBST at 4℃ overnight. Goat Anti-Rabbit IgG - HRP Secondary Antibody (HA1001) at 1/50,000 dilution was used for 1 hour at room temperature.
-
Application: IHC-Fr
Species: Mouse
Site: Spleen
Sample: Frozen section
Antibody concentration: 1/1,000
Antigen retrieval: Not required
-
Application: IHC-Fr
Species: Mouse
Site: Liver
Sample: Frozen section
Antibody concentration: 1/500
Antigen retrieval: Not required
-
Immunohistochemical analysis of paraffin-embedded mouse spleen tissue with Rabbit anti-Mannose Receptor(CD206) antibody (HA751188) at 1/1,000 dilution.
The section was pre-treated using heat mediated antigen retrieval with Tris-EDTA buffer (pH 9.0) for 20 minutes. The tissues were blocked in 1% BSA for 20 minutes at room temperature, washed with ddH2O and PBS, and then probed with the primary antibody (HA751188) at 1/1,000 dilution for 1 hour at room temperature. The detection was performed using an HRP conjugated compact polymer system. DAB was used as the chromogen. Tissues were counterstained with hematoxylin and mounted with DPX.
-
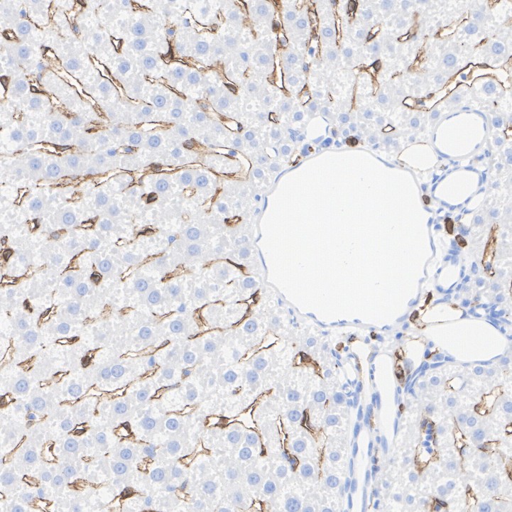
Immunohistochemical analysis of paraffin-embedded mouse liver tissue with Rabbit anti-Mannose Receptor(CD206) antibody (HA751188) at 1/1,000 dilution.
The section was pre-treated using heat mediated antigen retrieval with Tris-EDTA buffer (pH 9.0) for 20 minutes. The tissues were blocked in 1% BSA for 20 minutes at room temperature, washed with ddH2O and PBS, and then probed with the primary antibody (HA751188) at 1/1,000 dilution for 1 hour at room temperature. The detection was performed using an HRP conjugated compact polymer system. DAB was used as the chromogen. Tissues were counterstained with hematoxylin and mounted with DPX.
-
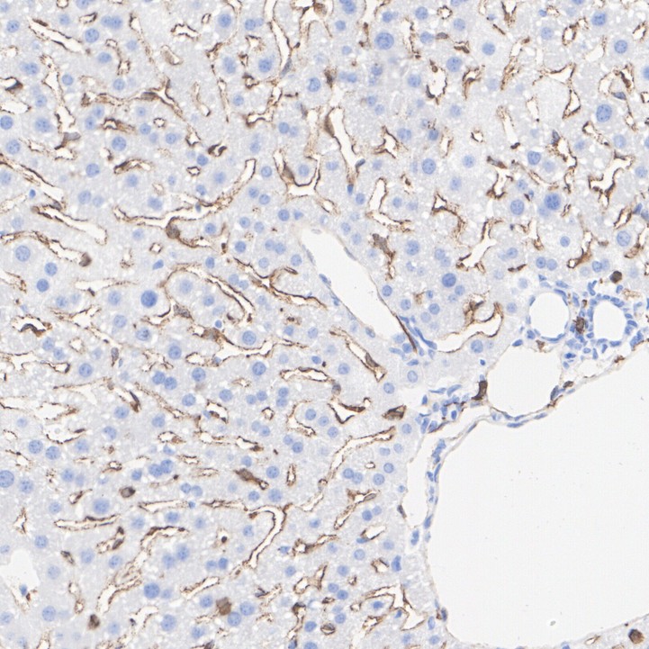
Immunohistochemical analysis of paraffin-embedded rat liver tissue with Rabbit anti-Mannose Receptor(CD206) antibody (HA751188) at 1/1,000 dilution.
The section was pre-treated using heat mediated antigen retrieval with Tris-EDTA buffer (pH 9.0) for 20 minutes. The tissues were blocked in 1% BSA for 20 minutes at room temperature, washed with ddH2O and PBS, and then probed with the primary antibody (HA751188) at 1/1,000 dilution for 1 hour at room temperature. The detection was performed using an HRP conjugated compact polymer system. DAB was used as the chromogen. Tissues were counterstained with hematoxylin and mounted with DPX.
-
☑ Cell treatment (CT)
Immunocytochemistry analysis of RAW264.7 cells treated with 20ng/mL mIL-4 and 10ng/mL mIL-13 for 24 hours (Macrophage M2 polarization, positive) labeling Mannose Receptor(CD206) with Rabbit anti-Mannose Receptor(CD206) antibody (HA751188) at 1/50 dilution.
Cells were fixed in 4% paraformaldehyde for 15 minutes at room temperature, permeabilized with 0.1% Triton X-100 in PBS for 15 minutes at room temperature, then blocked with 1% BSA in 10% negative goat serum for 1 hour at room temperature. Cells were then incubated with Rabbit anti-Mannose Receptor(CD206) antibody (HA751188) at 1/50 dilution in 1% BSA in PBST overnight at 4 ℃. Goat Anti-Rabbit IgG H&L (iFluor™ 488, HA1121) was used as the secondary antibody at 1/1,000 dilution. PBS instead of the primary antibody was used as the secondary antibody only control. Nuclear DNA was labelled in blue with DAPI.
Beta tubulin (M1305-2, red) was stained at 1/100 dilution overnight at +4℃. Goat Anti-Mouse IgG H&L (iFluor™ 594, HA1126) was used as the secondary antibody at 1/1,000 dilution.
-
☑ Cell treatment (CT)
Immunocytochemistry analysis of RAW264.7 cells treated with 0.1μg/mL LPS for 6 hours (Macrophage M1 polarization, negative) labeling Mannose Receptor(CD206) with Rabbit anti-Mannose Receptor(CD206) antibody (HA751188) at 1/50 dilution.
Cells were fixed in 4% paraformaldehyde for 15 minutes at room temperature, permeabilized with 0.1% Triton X-100 in PBS for 15 minutes at room temperature, then blocked with 1% BSA in 10% negative goat serum for 1 hour at room temperature. Cells were then incubated with Rabbit anti-Mannose Receptor(CD206) antibody (HA751188) at 1/50 dilution in 1% BSA in PBST overnight at 4 ℃. Goat Anti-Rabbit IgG H&L (iFluor™ 488, HA1121) was used as the secondary antibody at 1/1,000 dilution. PBS instead of the primary antibody was used as the secondary antibody only control. Nuclear DNA was labelled in blue with DAPI.
Beta tubulin (M1305-2, red) was stained at 1/100 dilution overnight at +4℃. Goat Anti-Mouse IgG H&L (iFluor™ 594, HA1126) was used as the secondary antibody at 1/1,000 dilution.
-
Application: IF-tissue
Species: Mouse
Site: Spleen
Sample: Paraffin-embedded section
Antibody concentration: 1/500
-
Application: IF-tissue
Species: Mouse
Site: Liver
Sample: Paraffin-embedded section
Antibody concentration: 1/500
-
Mannose Receptor(CD206) was immunoprecipitated from 0.2 mg rat lung tissue lysate with HA751188 at 2 µg/10 µl beads. Western blot was performed from the immunoprecipitate using HA751188 at 1/1,000 dilution. Anti-Rabbit IgG for IP Nano-secondary antibody (NBI01H) at 1/5,000 dilution was used for 1 hour at room temperature.
Lane 1: rat lung tissue lysate (input)
Lane 2: HA751188 IP in rat lung tissue lysate
Lane 3: Rabbit IgG instead of HA751188 in rat lung tissue lysate
Blocking/Dilution buffer: 5% NFDM/TBST
Exposure time: 1 minute; ECL: K1801
请注意: All products are "FOR RESEARCH USE ONLY AND ARE NOT INTENDED FOR DIAGNOSTIC OR THERAPEUTIC USE"