Catalog# HA724169
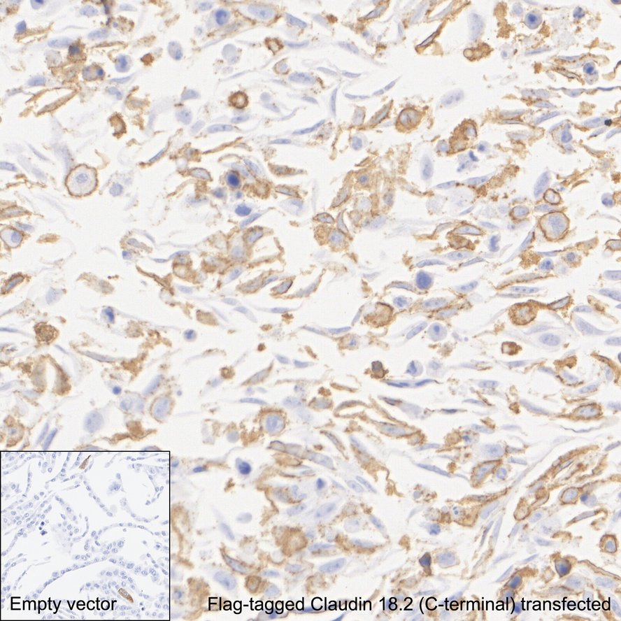
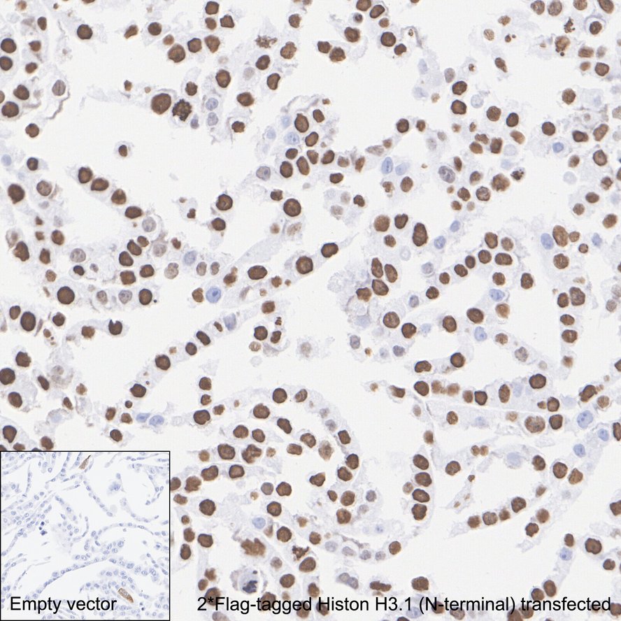
DYKDDDDK Tag (FLAG) Recombinant Rabbit Monoclonal Antibody [PSH20-71]
Application
-
WB
-
IHC-P
-
IF-Cell
-
IP
Reactivity
-
Species independent
Conjugation
-
unconjugated
This product has been cited in peer reviewed publications, see list HERE

浙公网安备 33019202000643号