-
Western blot analysis of DYKDDDDK Tag (FLAG) on different lysates with Rabbit anti-DYKDDDDK Tag (FLAG) antibody (HA751766) at 1/20,000 dilution.
Lane 1: 293T transfected with empty control cell lysate
Lane 2: 293T transfected with Flag-tagged MYRF (N-terminal) cell lysate
Lane 3: 293T transfected with Flag-tagged IFNA2 (C-terminal) cell lysate
Lysates/proteins at 10 µg/Lane.
Exposure time: 4 seconds; ECL: K1801;
4-20% SDS-PAGE gel.
Proteins were transferred to a PVDF membrane and blocked with 5% NFDM/TBST for 1 hour at room temperature. The primary antibody (HA751766) at 1/20,000 dilution was used in 5% NFDM/TBST at 4℃ overnight. Goat Anti-Rabbit IgG - HRP Secondary Antibody (HA1001) at 1/50,000 dilution was used for 1 hour at room temperature.
-
Immunocytochemistry analysis of HeLa cells labeling DYKDDDDK Tag (FLAG) with Rabbit anti-DYKDDDDK Tag (FLAG) antibody (HA751766) at 1/1,000 dilution.
HeLa cells, transfected with empty control (top, negative) / Flag-tagged Claudin 18.2 (C-terminal) (middle, positive) / 2*Flag-tagged Histon H3.1 (N-terminal) (bottom, positive) expression vector, respectively, were fixed in 4% paraformaldehyde for 15 minutes at room temperature, permeabilized with 0.1% Triton X-100 in PBS for 15 minutes at room temperature, then blocked with 1% BSA in 10% negative goat serum for 1 hour at room temperature. Cells were then incubated with Rabbit anti-DYKDDDDK Tag (FLAG) antibody (HA751766) at 1/1,000 dilution in 1% BSA in PBST overnight at 4 ℃. Goat Anti-Rabbit IgG H&L (iFluor™ 488, HA1121) was used as the secondary antibody at 1/1,000 dilution. PBS instead of the primary antibody was used as the secondary antibody only control. Nuclear DNA was labelled in blue with DAPI.
DYKDDDDK Tag (FLAG) (HA601167, red) was stained at 1/1,000 dilution overnight at +4℃. Goat Anti-Mouse IgG H&L (iFluor™ 594, HA1126) was used as the secondary antibody at 1/1,000 dilution.
-
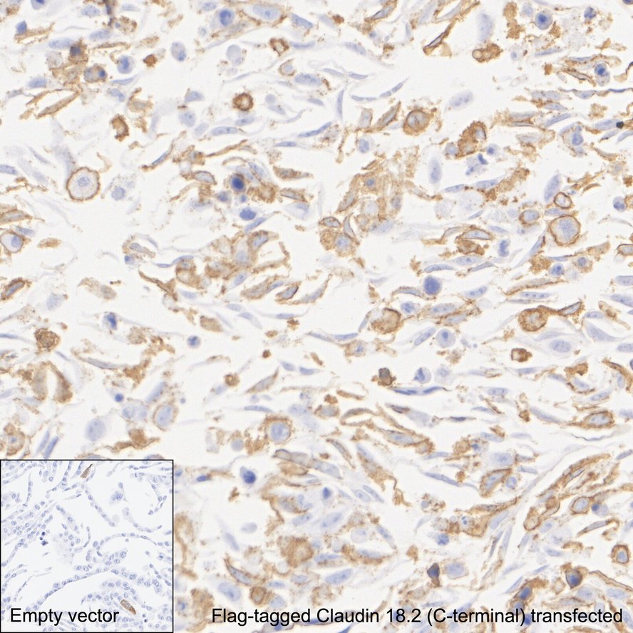
Immunohistochemical analysis of paraffin-embedded HeLa transfected with FLAG-tagged Claudin 18.2 (C-terminal) cells with Rabbit anti-DYKDDDDK Tag (FLAG) antibody (HA751766) at 1/40,000 dilution.
The section was pre-treated using heat mediated antigen retrieval with Tris-EDTA buffer (pH 9.0) for 20 minutes. The tissues were blocked in 1% BSA for 20 minutes at room temperature, washed with ddH2O and PBS, and then probed with the primary antibody (HA751766) at 1/40,000 dilution for 1 hour at room temperature. The detection was performed using an HRP conjugated compact polymer system. DAB was used as the chromogen. Tissues were counterstained with hematoxylin and mounted with DPX.
-
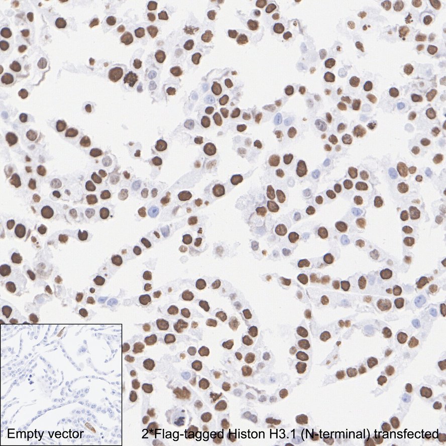
Immunohistochemical analysis of paraffin-embedded HeLa transfected with 2*FLAG-tagged Histone H3.1 (N-terminal) cells with Rabbit anti-DYKDDDDK Tag (FLAG) antibody (HA751766) at 1/40,000 dilution.
The section was pre-treated using heat mediated antigen retrieval with Tris-EDTA buffer (pH 9.0) for 20 minutes. The tissues were blocked in 1% BSA for 20 minutes at room temperature, washed with ddH2O and PBS, and then probed with the primary antibody (HA751766) at 1/40,000 dilution for 1 hour at room temperature. The detection was performed using an HRP conjugated compact polymer system. DAB was used as the chromogen. Tissues were counterstained with hematoxylin and mounted with DPX.
-
DYKDDDDK Tag (FLAG) was immunoprecipitated from 0.2 mg 293T transfected with FLAG-tagged PD-L1 (C-terminal) cell lysate with HA751766 at 2 µg/10 µl beads. Western blot was performed from the immunoprecipitate using HA751766 at 1/20,000 dilution. HRP Conjugated Anti-Rabbit IgG for IP Nano-secondary antibody at 1/5,000 dilution was used for 1 hour at room temperature.
Lane 1: 293T transfected with FLAG-tagged PD-L1 (C-terminal) cell lysate (input)
Lane 2: HA751766 IP in 293T transfected with FLAG-tagged PD-L1 (C-terminal) cell lysate
Lane 3: Rabbit IgG instead of HA751766 in 293T transfected with FLAG-tagged PD-L1 (C-terminal) cell lysate
Blocking/Dilution buffer: primary antibody dilution (K1803)
Exposure time: 2 seconds; ECL: K1801
-
DYKDDDDK Tag (FLAG) was immunoprecipitated from 0.2 mg 293T transfected with FLAG-tagged MYRF (N-terminal) cell lysate with HA751766 at 2 µg/10 µl beads. Western blot was performed from the immunoprecipitate using HA751766 at 1/20,000 dilution. HRP Conjugated Anti-Rabbit IgG for IP Nano-secondary antibody at 1/5,000 dilution was used for 1 hour at room temperature.
Lane 1: 293T transfected with FLAG-tagged MYRF (N-terminal) cell lysate (input)
Lane 2: HA751766 IP in 293T transfected with FLAG-tagged MYRF (N-terminal) cell lysate
Lane 3: Rabbit IgG instead of HA751766 in 293T transfected with FLAG-tagged MYRF (N-terminal) cell lysate
Blocking/Dilution buffer: primary antibody dilution (K1803)
Exposure time: 2 seconds; ECL: K1801
请注意: All products are "FOR RESEARCH USE ONLY AND ARE NOT INTENDED FOR DIAGNOSTIC OR THERAPEUTIC USE"