Epithelial-Mesenchymal Transition (EMT) Antibody Sampler Kit
概述
Kit Components
| Product Includes | Specification | Application | Reactivity | Mw |
|---|---|---|---|---|
| Vimentin[ET1610-39] | 20µl | WB,IHC-P,IHC-Fr,IF-Tissue,IF-Cell,FC,IP | Human,Mouse,Rat | Predicted band size: 54 kDa |
| N Cadherin[ET1607-37] | 20µl | WB,IHC-P,IHC-Fr,IF-Tissue | Human,Mouse,Rat | Predicted band size: 100 kDa |
| Claudin 1[HA721999] | 20µl | WB,IHC-P | Human,Mouse,Rat | Predicted band size: 23 kDa |
| Beta Catenin[ET1601-5] | 20µl | WB,IHC-P,IF-Tissue,IP,mIHC,IF-Cell,IHC-Fr,FC | Human,Mouse,Rat | Predicted band size: 85 kDa |
| SNAIL[ER1706-22] | 20µl | WB,IF-Cell | Human,Mouse,Rat | Predicted band size: 29 kDa |
| SLUG[HA722828] | 20µl | WB,IF-Cell | Human | Predicted band size: 30 kDa |
| ZEB[HA721438] | 20µl | WB,IHC-P,FC | Human,Mouse,Rat | Predicted band size: 124 kDa |
| E-Cadherin[HA723564] | 20µl | WB,IHC-Fr,IHC-P,IF-Cell,FC,IP | Human,Mouse,Rat | Predicted band size: 98 kDa |
| ZO1[HA722797] | 20µl | WB,IF-Cell | Human,Mouse,Monkey | Predicted band size: 195 kDa |
| Goat Anti-Rabbit IgG (H+L)[HA1001] | 100µl | WB,ELISA,IHC-P | Rabbit |
Product Description
The Epithelial-Mesenchymal Transition (EMT) Antibody Sampler Kit provides an economical means of evaluating EMT. The kit contains enough primary antibody to perform two western blots per primary.
Product Features
Storage Buffer
1*TBS (pH7.4), 0.05% BSA, 40% Glycerol. Preservative: 0.05% Sodium Azide.
Storage Instructions
Store at +4℃ after thawing. Aliquot store at -20℃. Avoid repeated freeze / thaw cycles.
Background
Epithelial-mesenchymal transition (EMT) is an essential process during development whereby epithelial cells aquire mesenchymal, fibroblast-like properties and display reduced intracellular adhesion and increased motility.EMT depends on a reduction in expression of cell adhesion molecules. </br>Cadherins mediate calcium-dependent cell-cell adhesion and play critical roles in normal tissue development. E-cadherin is considered an active suppressor of invasion and growth of many epithelial cancers . Recent studies indicate that cancer cells have up-regulated N-cadherin in addition to loss of E-cadherin. Zona occludens proteins ZO-1, 2, and 3 are peripheral membrane adaptor proteins that link junctional transmembrane proteins such as occludin and claudin to the actin cytoskeleton. ZO-1 and -2 are required for tight junction formation and function ; mutations in ZO-1 and Claudin induce EMT. </br>Vimentin's dynamic structural changes and spatial re-organization in response to extracellular stimuli helps to coordinate various signaling pathways . β-catenin is a key downstream effector in the Wnt signaling pathway .β-catenin also activates Slug. Slug (SNAI2) is a widely expressed transcriptional repressor and member of the Snail family of zinc finger transcription factors . The binding of Slug to integrin promoter sequences represses integrin expression and results in reduced cell adhesion . One of the targets suppressed by ZEB proteins is E-cadherin.
Data Links
Background References
1. Aigner K, Dampier B, Descovich L, Mikula M, Sultan A, Schreiber M, Mikulits W, Brabletz T, Strand D, Obrist P, Sommergruber W, Schweifer N, Wernitznig A, Beug H, Foisner R, Eger A. The transcription factor ZEB1 (deltaEF1) promotes tumour cell dedifferentiation by repressing master regulators of epithelial polarity. Oncogene. 2007 Oct 25;26(49):6979-88.
2. Moreno-Bueno G, Portillo F, Cano A. Transcriptional regulation of cell polarity in EMT and cancer. Oncogene. 2008 Nov 24;27(55):6958-69.
3. Manfioletti G, Fedele M. Epithelial-Mesenchymal Transition (EMT) 2021. Int J Mol Sci. 2022 May 23;23(10):5848.
图片
-
Western blot analysis of Vimentin on different lysates with Rabbit anti-Vimentin antibody (ET1610-39) at 1/20,000 dilution and competitor's antibody at 1/1,000 dilution.
Lane 1: HeLa cell lysate (10 µg/Lane)
Lane 2: HEK-293 cell lysate (10 µg/Lane)
Lane 3: Jurkat cell lysate (10 µg/Lane)
Lane 4: C2C12 cell lysate (10 µg/Lane)
Lane 5: RAW264.7 cell lysate (10 µg/Lane)
Lane 6: C6 cell lysate (10 µg/Lane)
Predicted band size: 54 kDa
Observed band size: 54 kDa
Exposure time: 14 seconds;
4-20% SDS-PAGE gel.
Proteins were transferred to a PVDF membrane and blocked with 5% NFDM/TBST for 1 hour at room temperature. The primary antibody (ET1610-39) at 1/20,000 dilution and competitor's antibody at 1/1,000 dilution were used in 5% NFDM/TBST at 4℃ overnight. Goat Anti-Rabbit IgG - HRP Secondary Antibody (HA1001) at 1:50,000 dilution was used for 1 hour at room temperature. -
Western blot analysis of N Cadherin on different lysates with Rabbit anti-N Cadherin antibody (ET1607-37) at 1/5,000 dilution and competitor's antibody at 1/1,000 dilution.
Lane 1: 293T cell lysate
Lane 2: A549 cell lysate
Lane 3: HeLa cell lysate
Lane 4: A-172 cell lysate
Lane 5: MCF7 cell lysate (negative)
Lane 6: C2C12 cell lysate
Lane 7: C6 cell lysate
Lysates/proteins at 15 µg/Lane.
Predicted band size: 100 kDa
Observed band size: 140-150 kDa
Exposure time: 2 minutes 6 seconds;
4-20% SDS-PAGE gel.
Proteins were transferred to a PVDF membrane and blocked with 5% NFDM/TBST for 1 hour at room temperature. The primary antibody (ET1607-37) at 1/5,000 dilution and competitor's antibody at 1/1,000 dilution were used in 5% NFDM/TBST at 4℃ overnight. Goat Anti-Rabbit IgG - HRP Secondary Antibody (HA1001) at 1/50,000 dilution was used for 1 hour at room temperature. -
Western blot analysis of E-Cadherin on different lysates with Rabbit anti-E-Cadherin antibody (HA723564) at 1/5,000 dilution.
Lane 1: 4T1 cell lysate (20 µg/Lane)
Lane 2: C2C12 cell lysate (negative) (20 µg/Lane)
Lane 3: Mouse small intestine tissue lysate (30 µg/Lane)
Lane 4: Mouse colon tissue lysate (30 µg/Lane)
Lane 5: Mouse pancreas tissue lysate (30 µg/Lane)
Lane 6: Rat pancreas tissue lysate (30 µg/Lane)
Lane 7: Rat lung tissue lysate (30 µg/Lane)
Lane 8: Rat colon tissue lysate (30 µg/Lane)
Lane 9: MCF7 cell lysate (20 µg/Lane)
Lane 10: MDA-MB-231 cell lysate (negative) (20 µg/Lane)
Lane 11: HT-29 cell lysate (20 µg/Lane)
Lane 12: Caco-2 cell lysate (20 µg/Lane)
Predicted band size: 98 kDa
Observed band size: 75-130 kDa
Exposure time: Lane 1-5: 10 seconds; Lane 3: 1 minute 16 seconds; ECL: K1801;
4-20% SDS-PAGE gel.
Proteins were transferred to a PVDF membrane and blocked with 5% NFDM/TBST for 1 hour at room temperature. The primary antibody (HA723564) at 1/5,000 dilution was used in primary antibody dilution (K1803) at 4℃ overnight. Goat Anti-Rabbit IgG - HRP Secondary Antibody (HA1001) at 1/50,000 dilution was used for 1 hour at room temperature. -
Application: IHC-Fr
Species: Mouse
Site: colon
Sample: Frozen section
Antibody concentration: 1/500
Antigen retrieval: Not required -
Application: IHC-Fr
Species: Rat
Site: colon
Sample: Frozen section
Antibody concentration: 1/500
Antigen retrieval: Not required -
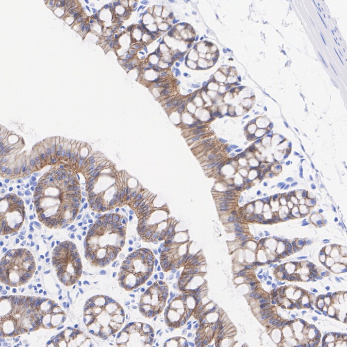
Immunohistochemical analysis of paraffin-embedded mouse colon tissue with Rabbit anti-E-Cadherin antibody (HA723564) at 1/5,000 dilution.
The section was pre-treated using heat mediated antigen retrieval with Tris-EDTA buffer (pH 9.0) for 20 minutes. The tissues were blocked in 1% BSA for 20 minutes at room temperature, washed with ddH2O and PBS, and then probed with the primary antibody (HA723564) at 1/5,000 dilution for 1 hour at room temperature. The detection was performed using an HRP conjugated compact polymer system. DAB was used as the chromogen. Tissues were counterstained with hematoxylin and mounted with DPX. -
Immunocytochemistry analysis of 4T1 (positive) and C2C12 (negative) labeling E-Cadherin with Rabbit anti-E-Cadherin antibody (HA723564) at 1/500 dilution.
Cells were fixed in 4% paraformaldehyde for 15 minutes at room temperature, permeabilized with 0.1% Triton X-100 in PBS for 15 minutes at room temperature, then blocked with 1% BSA in 10% negative goat serum for 1 hour at room temperature. Cells were then incubated with Rabbit anti-E-Cadherin antibody (HA723564) at 1/500 dilution in 1% BSA in PBST overnight at 4 ℃. Goat Anti-Rabbit IgG H&L (iFluor™ 488, HA1121) was used as the secondary antibody at 1/1,000 dilution. PBS instead of the primary antibody was used as the secondary antibody only control. Nuclear DNA was labelled in blue with DAPI.
Beta tubulin (HA601187, red) was stained at 1/100 dilution overnight at +4℃. Goat Anti-Mouse IgG H&L (iFluor™ 594, HA1126) was used as the secondary antibody at 1/1,000 dilution. -
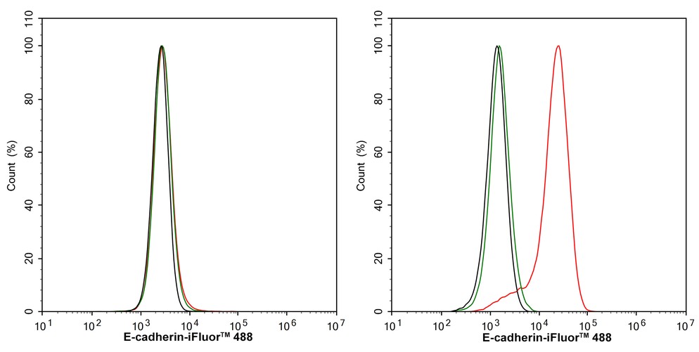
Flow cytometric analysis of C2C12 (left, negative) and 4T1 (right, positive) cells labeling E-Cadherin.
Cells were washed twice with cold PBS and resuspend. Then stained with the primary antibody (HA723564, 1/1,000) (red) compared with Rabbit IgG Isotype Control (green). After incubation of the primary antibody at +4℃ for an hour, the cells were stained with a iFluor™ 488 conjugate-Goat anti-Rabbit IgG Secondary antibody (HA1121) at 1/1,000 dilution for 30 minutes at +4℃. Unlabelled sample was used as a control (cells without incubation with primary antibody; black). -
E-Cadherin was immunoprecipitated from 0.2 mg 4T1 cell lysate with HA723564 at 2 µg/10 µl beads. Western blot was performed from the immunoprecipitate using HA723564 at 1/5,000 dilution. HRP Conjugated Anti-Rabbit IgG for IP Nano-secondary antibody at 1/5,000 dilution was used for 1 hour at room temperature.
Lane 1: 4T1 cell lysate (input)
Lane 2: HA723564 IP in 4T1 cell lysate
Lane 3: Rabbit IgG instead of HA723564 in 4T1 cell lysate
Blocking/Dilution buffer: 5% NFDM/TBST
Exposure time: 46 seconds; ECL: K1801
请注意: All products are "FOR RESEARCH USE ONLY AND ARE NOT INTENDED FOR DIAGNOSTIC OR THERAPEUTIC USE"
Related Products
Vimentin Recombinant Mouse Monoclonal Antibody [A6-C1-R] - BSA and Azide free
Application: WB,IF-Cell,IHC-P
Reactivity: Human,Mouse,Rat
Conjugate: unconjugated
Vimentin Recombinant Rabbit Monoclonal Antibody [SC60-05]
Application: WB,IHC-P,IHC-Fr,IF-Tissue,IF-Cell,FC,IP
Reactivity: Human,Mouse,Rat,Cynomolgus monkey,Pig
Conjugate: unconjugated
Vimentin Recombinant Antibody - Rat IgG1 (Chimeric)
Application: mIHC
Reactivity: Human
Conjugate: unconjugated
Phospho-Vimentin (S39) Recombinant Rabbit Monoclonal Antibody [JE43-26]
Application: WB,IF-Cell
Reactivity: Human,Mouse,Rat
Conjugate: unconjugated
iFluor™ 488 Conjugated Vimentin Recombinant Rabbit Monoclonal Antibody [SC60-05]
Application: IF-Cell,IF-Tissue,FC
Reactivity: Human,Mouse,Rat
Conjugate: iFluor™ 488
Vimentin Recombinant Mouse Monoclonal Antibody [A6-C1-R]
Application: WB,IF-Cell,IHC-P
Reactivity: Human,Mouse,Rat
Conjugate: unconjugated
浙公网安备 33019202000643号