RMB: 950 特惠 1500 1500
产品规格
Catalog# ET1601-29
ERK1/2 Recombinant Rabbit Monoclonal Antibody [SA43-03]
-
WB
-
IF-Cell
-
IF-Tissue
-
IP
-
FC
-
IHC-P
-
IHC-Fr
-
Human
-
Mouse
-
Rat
-
HA750019
不含抗保成分
-
Zebrafish
-
unconjugated
概述
产品名称
ERK1/2 Recombinant Rabbit Monoclonal Antibody [SA43-03]
抗体类型
Recombinant Rabbit monoclonal Antibody
免疫原
Recombinant protein within human ERK2 aa 180-379.
种属反应性
Human, Mouse, Rat (Predicted: Zebrafish)
验证应用
WB, IF-Cell, IF-Tissue, IP, FC, IHC-P, IHC-Fr
分子量
Predicted band size: 43/41 kDa
阳性对照
HeLa cell lysate, Jurkat cell lysate, HepG2 cell lysate, NIH/3T3 cell lysate, PC-12 cell lysate, C6 cell lysate, Jurkat, human breast carcinoma tissue, mouse esophagus tissue, mouse stomach tissue, Hela, MCF-7, NIH/3T3, A549.
偶联
unconjugated
克隆号
SA43-03
RRID
产品特性
形态
Liquid
浓度
存放说明
Shipped at 4℃. Store at +4℃ short term (1-2 weeks). It is recommended to aliquot into single-use upon delivery. Store at -20℃ long term.
存储缓冲液
1*TBS (pH7.4), 0.05% BSA, 40% Glycerol. Preservative: 0.05% Sodium Azide.
亚型
IgG
纯化方式
Protein A affinity purified.
应用稀释度
-
WB
-
1:5,000-1:20,000
-
IF-Cell
-
1:2,000
-
IHC-P
-
1:20,000
-
IHC-Fr
-
1:200-1:500
-
IF-Tissue
-
1:500
-
FC
-
1:1,000
-
IP
-
Use at an assay dependent concentration.
靶点
功能
The first mitogen-activated protein kinase to be discovered was ERK1 (MAPK3) in mammals. Since ERK1 and its close relative ERK2 (MAPK1) are both involved in growth factor signaling, the family was termed "mitogen-activated". With the discovery of other members, even from distant organisms (e.g. plants), it has become increasingly clear that the name is a misnomer, since most MAPKs are actually involved in the response to potentially harmful, abiotic stress stimuli (hyperosmosis, oxidative stress, DNA damage, low osmolarity, infection, etc.). Because plants cannot "flee" from stress, terrestrial plants have the highest number of MAPK genes per organism ever found[citation needed]. Thus the role of mammalian ERK1/2 kinases as regulators of cell proliferation is not a generic, but a highly specialized function.
背景文献
1. Ye, Q. et al. 2014. Lactoferrin deficiency promotes colitis-associated colorectal dysplasia in mice. PloS one. 9: e103298.
2. Polidoro, L. et al. 2013. Vitamin D protects human endothelial cells from H O oxidant injury through the Mek/Erk-Sirt1 axis activation. Journal of cardiovascular translational research. 6: 221-31.
序列相似性
Belongs to the protein kinase superfamily. CMGC Ser/Thr protein kinase family. MAP kinase subfamily.
翻译后修饰
Phosphorylated upon KIT and FLT3 signaling (By similarity). Dually phosphorylated on Thr-202 and Tyr-204, which activates the enzyme. Ligand-activated ALK induces tyrosine phosphorylation. Dephosphorylated by PTPRJ at Tyr-204.
亚细胞定位
Cytoplasm, Nucleus.
UNIPROT
别名
ERK 1 antibody
ERK 2 antibody
ERK-2 antibody
ERK1 antibody
erk1/2 antibody
ERK2 antibody
ERT1 antibody
ERT2 antibody
Extracellular signal regulated kinase 1 antibody
Extracellular signal-regulated kinase 2 antibody
展开ERK 1 antibody
ERK 2 antibody
ERK-2 antibody
ERK1 antibody
erk1/2 antibody
ERK2 antibody
ERT1 antibody
ERT2 antibody
Extracellular signal regulated kinase 1 antibody
Extracellular signal-regulated kinase 2 antibody
MAP kinase 1 antibody
MAP kinase 2 antibody
MAP kinase isoform p42 antibody
MAP kinase isoform p44 antibody
MAPK 1 antibody
MAPK 2 antibody
MAPK 3 antibody
Mapk1 antibody
MAPK2 antibody
MAPK3 antibody
Mitogen-activated protein kinase 1 antibody
Mitogen-activated protein kinase 2 antibody
MK01_HUMAN antibody
p38 antibody
p40 antibody
p41 antibody
p42-MAPK antibody
PRKM 2 antibody
折叠图片
-
Western blot analysis of ERK1/2 on different lysates with Rabbit anti-ERK1/2 antibody (ET1601-29) at 1/5,000 dilution and competitor's antibody at 1/1,000 dilution.
Lane 1: HeLa cell lysate
Lane 2: Jurkat cell lysate
Lane 3: HepG2 cell lysate
Lane 4: NIH/3T3 cell lysate
Lane 5: PC-12 cell lysate
Lane 6: C6 cell lysate
Lysates/proteins at 15 µg/Lane.
Predicted band size: 43/41 kDa
Observed band size: 43/41 kDa
Exposure time: 19 seconds; ECL: K1801;
4-20% SDS-PAGE gel.
Proteins were transferred to a PVDF membrane and blocked with 5% NFDM/TBST for 1 hour at room temperature. The primary antibody (ET1601-29) at 1/5,000 dilution and competitor's antibody at 1/1,000 dilution were used in 5% NFDM/TBST at 4℃ overnight. Goat Anti-Rabbit IgG - HRP Secondary Antibody (HA1001) at 1/50,000 dilution was used for 1 hour at room temperature. -
Immunocytochemistry analysis of Jurkat cells labeling ERK1/2 with Rabbit anti-ERK1/2 antibody (ET1601-29) at 1/2,000 dilution and competitor's antibody at 1/1,600 dilution.
Cells were fixed in 4% paraformaldehyde for 20 minutes at room temperature, permeabilized with 0.1% Triton X-100 in PBS for 5 minutes at room temperature, then blocked with 1% BSA in 10% negative goat serum for 1 hour at room temperature. Cells were then incubated with Rabbit anti-ERK1/2 antibody (ET1601-29) at 1/2,000 dilution and competitor's antibody at 1/1,600 dilution in 1% BSA in PBST overnight at 4 ℃. Goat Anti-Rabbit IgG H&L (iFluor™ 488, HA1121) was used as the secondary antibody at 1/1,000 dilution. PBS instead of the primary antibody was used as the secondary antibody only control. Nuclear DNA was labelled in blue with DAPI.
Beta tubulin (M1305-2, red) was stained at 1/100 dilution overnight at +4℃. Goat Anti-Mouse IgG H&L (iFluor™ 594, HA1126) was used as the secondary antibody at 1/1,000 dilution. -
☑ Knockdown (KD)
Western blot analysis of ERK1/2 on different lysates with Rabbit anti-ERK1/2 antibody (ET1601-29) at 1/5,000 dilution.
Lane 1: HEK-293-si NT cell lysate
Lane 2: HEK-293-si ERK1/2 cell lysate
Lysates/proteins at 10 µg/Lane.
Predicted band size: 41/43 kDa
Observed band size: 41/43kDa
Exposure time: 20 seconds; ECL: K1801;
4-20% SDS-PAGE gel.
Proteins were transferred to a PVDF membrane and blocked with 5% NFDM in TBST for 1 hour at room temperature. The primary antibody (ET1601-29, 1/5,000) and Loading control antibody (Rabbit anti-GAPDH, ET1601-4, 1/10,000) were used in 5% NFDM/TBST at 4℃ overnight. Goat Anti-rabbit IgG-HRP Secondary Antibody (HA1001) at 1/50,000 dilution was used for 1 hour at room temperature. -
Flow cytometric analysis of Jurkat cells labeling ERK1/2.
Cells were fixed and permeabilized. Then stained with the primary antibody (ET1601-29, red) at 1/1,000 dilution and competitor's antibody (red) at 1/800 dilution, compared with Rabbit IgG Isotype Control (green). After incubation of the primary antibody at +4℃ for an hour, the cells were stained with a iFluor™ 488 conjugate-Goat anti-Rabbit IgG Secondary antibody (HA1121) at 1/1,000 dilution for 30 minutes at +4℃. Unlabelled sample was used as a control (cells without incubation with primary antibody; black). -
Immunohistochemical analysis of paraffin-embedded human breast carcinoma tissue with Rabbit anti-ERK1/2 antibody (ET1601-29) at 1/20,000 dilution.
The section was pre-treated using heat mediated antigen retrieval with sodium citrate buffer (pH 6.0) (high pressure) for 2 minutes. The tissues were blocked in 1% BSA for 20 minutes at room temperature, washed with ddH2O and PBS, and then probed with the primary antibody (ET1601-29) at 1/20,000 dilution for 1 hour at room temperature. The detection was performed using an HRP conjugated compact polymer system. DAB was used as the chromogen. Tissues were counterstained with hematoxylin and mounted with DPX. -
Immunohistochemical analysis of paraffin-embedded mouse esophagus tissue with Rabbit anti-ERK1/2 antibody (ET1601-29) at 1/20,000 dilution.
The section was pre-treated using heat mediated antigen retrieval with sodium citrate buffer (pH 6.0) (high pressure) for 2 minutes. The tissues were blocked in 1% BSA for 20 minutes at room temperature, washed with ddH2O and PBS, and then probed with the primary antibody (ET1601-29) at 1/20,000 dilution for 1 hour at room temperature. The detection was performed using an HRP conjugated compact polymer system. DAB was used as the chromogen. Tissues were counterstained with hematoxylin and mounted with DPX. -
Immunohistochemical analysis of paraffin-embedded mouse stomach tissue with Rabbit anti-ERK1/2 antibody (ET1601-29) at 1/20,000 dilution.
The section was pre-treated using heat mediated antigen retrieval with sodium citrate buffer (pH 6.0) (high pressure) for 2 minutes. The tissues were blocked in 1% BSA for 20 minutes at room temperature, washed with ddH2O and PBS, and then probed with the primary antibody (ET1601-29) at 1/20,000 dilution for 1 hour at room temperature. The detection was performed using an HRP conjugated compact polymer system. DAB was used as the chromogen. Tissues were counterstained with hematoxylin and mounted with DPX. -
Immunohistochemical analysis of paraffin-embedded rat esophagus tissue with Rabbit anti-ERK1/2 antibody (ET1601-29) at 1/1,000 dilution.
The section was pre-treated using heat mediated antigen retrieval with sodium citrate buffer (pH 6.0) (high pressure) for 2 minutes. The tissues were blocked in 1% BSA for 20 minutes at room temperature, washed with ddH2O and PBS, and then probed with the primary antibody (ET1601-29) at 1/1,000 dilution for 1 hour at room temperature. The detection was performed using an HRP conjugated compact polymer system. DAB was used as the chromogen. Tissues were counterstained with hematoxylin and mounted with DPX. -
Immunohistochemical analysis of paraffin-embedded rat stomach tissue with Rabbit anti-ERK1/2 antibody (ET1601-29) at 1/3,000 dilution.
The section was pre-treated using heat mediated antigen retrieval with sodium citrate buffer (pH 6.0) (high pressure) for 2 minutes. The tissues were blocked in 1% BSA for 20 minutes at room temperature, washed with ddH2O and PBS, and then probed with the primary antibody (ET1601-29) at 1/3,000 dilution for 1 hour at room temperature. The detection was performed using an HRP conjugated compact polymer system. DAB was used as the chromogen. Tissues were counterstained with hematoxylin and mounted with DPX. -
Application: IHC-Fr
Species: Mouse
Site: Hippocampus
Sample: Frozen section
Antibody concentration: 1/200
Antigen retrieval: The section was pre-treated using 1% SDS buffer (in PBS, pH 7.4) for 5 minutes at room temperature. -
Application: IHC-Fr
Species: Mouse
Site: Cerebral cortex
Sample: Frozen section
Antibody concentration: 1/200
Antigen retrieval: The section was pre-treated using 1% SDS buffer (in PBS, pH 7.4) for 5 minutes at room temperature. -
ERK1/2 was immunoprecipitated in 0.2mg Jurkat cell lysate with ET1601-29 at 2 µg/10 µl beads. Western blot was performed from the immunoprecipitate using ET1601-29 at 1/5,000 dilution. Anti-Rabbit IgG for IP Nano-secondary antibody (NBI01H) at 1/5,000 dilution was used for 1 hour at room temperature.
Lane 1: Jurkat cell lysate (input)
Lane 2: Rabbit IgG instead of ET1601-29 in Jurkat cell lysate
Lane 3: ET1601-29 IP in Jurkat cell lysate
Blocking/Dilution buffer: 5% NFDM/TBST
Exposure time: 43 seconds; ECL: K1801 -
Immunocytochemistry analysis of PC-12 cells labeling ERK1/2 with Rabbit anti-ERK1/2 antibody (ET1601-29) at 1/100 dilution.
Cells were fixed in 4% paraformaldehyde for 20 minutes at room temperature, permeabilized with 0.1% Triton X-100 in PBS for 5 minutes at room temperature, then blocked with 1% BSA in 10% negative goat serum for 1 hour at room temperature. Cells were then incubated with Rabbit anti-ERK1/2 antibody (ET1601-29) at 1/100 dilution in 1% BSA in PBST overnight at 4 ℃. Goat Anti-Rabbit IgG H&L (iFluor™ 488, HA1121) was used as the secondary antibody at 1/1,000 dilution. PBS instead of the primary antibody was used as the secondary antibody only control. Nuclear DNA was labelled in blue with DAPI.
Beta tubulin (M1305-2, red) was stained at 1/100 dilution overnight at +4℃. Goat Anti-Mouse IgG H&L (iFluor™ 594, HA1126) was used as the secondary antibody at 1/1,000 dilution. -
Immunocytochemistry analysis of NIH/3T3 cells labeling ERK1/2 with Rabbit anti-ERK1/2 antibody (ET1601-29) at 1/500 dilution.
Cells were fixed in 4% paraformaldehyde for 20 minutes at room temperature, permeabilized with 0.1% Triton X-100 in PBS for 5 minutes at room temperature, then blocked with 1% BSA in 10% negative goat serum for 1 hour at room temperature. Cells were then incubated with Rabbit anti-ERK1/2 antibody (ET1601-29) at 1/500 dilution in 1% BSA in PBST overnight at 4 ℃. Goat Anti-Rabbit IgG H&L (iFluor™ 488, HA1121) was used as the secondary antibody at 1/1,000 dilution. PBS instead of the primary antibody was used as the secondary antibody only control. Nuclear DNA was labelled in blue with DAPI.
Beta tubulin (M1305-2, red) was stained at 1/100 dilution overnight at +4℃. Goat Anti-Mouse IgG H&L (iFluor™ 594, HA1126) was used as the secondary antibody at 1/1,000 dilution.
请注意: All products are "FOR RESEARCH USE ONLY AND ARE NOT INTENDED FOR DIAGNOSTIC OR THERAPEUTIC USE"
引文
-
Gut Metabolite Indoleacrylic Acid Suppresses Osteoclast Formation by AHR mediated NF-κB Signaling Pathway
期刊: International Journal Of Biological Sciences
DOI: 10.7150/ijbs.124766
IF: 10
应用: WB
反应种属: Mouse
发表时间: 2026 Jan
-
Suppression of ASNS expression by VHL-mediated ubiquitination hinders the progression of renal cell carcinoma through enhancing JUP expression and inhibiting PI3K-AKT and MAPK pathways
期刊: International Journal Of Biological Sciences
DOI: 10.7150/ijbs.129332
IF: 10
应用: WB
反应种属: Human
发表时间: 2026 Feb
-
CD168 in lung adenocarcinoma: prognostic relevance, immune feature associations, and MAPK/ERK pathway enrichment
期刊: Medical Oncology
DOI: 10.1007/s12032-026-03248-z
IF: 3.5
应用: WB
反应种属: Human
发表时间: 2026 Feb
-
Hawthorn fruit extracts alleviate high-fat diet-induced NAFLD by inhibiting ERK and regulating hepatic purine metabolism
期刊: Food & Function
DOI: 10.1039/D5FO03640B
IF: 5.4
应用: WB
反应种属: Human
发表时间: 2026 Feb
-
Kukoamine A attenuates allergic rhinitis via H1R antagonism: Dual suppression of inflammatory signaling and epithelial barrier disruption
期刊: Biochemical Pharmacology
DOI: 10.1016/j.bcp.2026.117792
IF: 5.6
应用: WB
反应种属: Human
发表时间: 2026 Feb
-
Acceleration of Lactate Uptake and Utilization Contributes to Neuroprotective Action of FGF21 Involved in Naturally Aging Mice
期刊: Aging Cell
DOI: 10.1111/acel.70423
IF: 7.1
应用: WB
反应种属: Mouse,Rat
发表时间: 2026 Feb
-
Omentin-1 promotes diabetic wound healing by regulating macrophage efferocytosis and M2 polarization
期刊: International Journal Of Biological Macromolecules
DOI: 10.1016/j.ijbiomac.2026.150757
IF: 8.5
应用: WB
反应种属: Human
发表时间: 2026 Feb
-
Overexpression, clinical significance and potential mechanisms of protein kinase D1 in hepatocellular carcinoma: multi-omic analyses and pharmacological insights
期刊: Functional & Integrative Genomics
DOI: 10.1007/s10142-026-01825-z
IF: 3.1
应用: WB
反应种属: Human
发表时间: 2026 Feb
-
Collagen peptides derived from sea bass scales (Lateolabrax maculatus) relieve photoaging through MAPK, NF-κB and TGF-β signaling pathways and modulating gut microbiota composition
期刊: Food Research International
DOI: 10.1016/j.foodres.2025.117521
IF: 8
应用: WB,IF
反应种属: Mouse
发表时间: 2025 Sept
-
ECM Protein CYR61 Promotes Migration and Osteoblastic Differentiation of Irradiation BMSCs via Migrasomes
期刊: Stem Cells International
DOI: 10.1155/sci/8825935
IF: 3.3
应用: WB
反应种属: Human
发表时间: 2025 Sept
-
Synergistic Promotion of Triple-Negative Breast Cancer Tumorigenesis and Metastasis by Oral Polystyrene Nanoplastics Exposure via Alloprevotella-Derived Glutamate and Platelet Activation
期刊: Advanced Science
DOI: 10.1002/advs.202508310
IF: 14.1
应用: WB
反应种属: Mouse
发表时间: 2025 Sept
-
Amentoflavone as a dual-target inhibitor of IL11 signaling alleviates intervertebral disc fibrosis
期刊: International Immunopharmacology
DOI: 10.1016/j.intimp.2025.115450
IF: 4.7
应用: WB
反应种属: Human,Mouse
发表时间: 2025 Sept
-
A novel protein cRERE encoded by a circular RNA directly targets ERK signaling to alleviate chemotherapy-induced neuropathic pain
期刊: Cell Communication And Signaling
DOI: 10.1186/s12964-025-02455-x
IF: 8.9
应用: WB
反应种属: Rat
发表时间: 2025 Oct
-
FAK-Induced Time Dependent Cell Response Profiling: Prediction, Identification, and Analysis of Anti-Tumor Immune Natural Products
期刊: Drug Design Development And Therapy
DOI: 10.2147/DDDT.S533551
IF: 5.1
应用: WB
反应种属: Chlorocebus aethiops
发表时间: 2025 Oct
-
Agonism of PIEZO1 prevents aggravated periodontitis with traumatic occlusion via MAPK signaling pathway
期刊: iScience
DOI: 10.1016/j.isci.2025.113688
IF: 4.1
应用: WB
反应种属: Human
发表时间: 2025 Oct
-
Gut Acetic Acid Alleviates Cognitive Impairment by Inhibiting Tau Hyperphosphorylation via Regulating FFAR3/Erk Pathway in Chronic Cerebral Ischemia Mice
期刊: Molecular Neurobiology
DOI: 10.1007/s12035-025-05412-4
IF: 4.3
应用: WB
反应种属: Mouse
发表时间: 2025 Nov
-
Multidimensional Immunomodulation by Abelmoschi Corolla Polysaccharide: Gut Barrier Restoration, Microbiota Remodelling, and Systemic Metabolic Regulation
期刊: Phytomedicine
DOI: 10.1016/j.phymed.2025.157545
IF: 8.3
应用: WB
反应种属: Mouse
发表时间: 2025 Nov
-
Atractylenolide III Ameliorates Ulcerative Colitis By Targeting IL-17RA to Suppress Macrophage M1 Polarization
期刊: Journal Of Agricultural And Food Chemistry
DOI: 10.1021/acs.jafc.5c09397
IF: 6.2
应用: WB
反应种属: Mouse
发表时间: 2025 Nov
-
Paeoniflorin Alleviates LPS-Induced Inflammation and Acute Myocardial Injury by Inhibiting PI3K/Akt/ERK-Mediated HIF-1α and TLR4/MyD88/NF-κB Inflammatory Signaling
期刊: Mediators of Inflammation
DOI: 10.1155/mi/2346163
IF: 4.2
应用: WB
反应种属: Rat
发表时间: 2025 Nov
-
Distinct roles of melatonin receptors in spermatogenesis in vitro in four-eyed sleeper (Bostrychus sinensis)
期刊: Aquaculture Reports
DOI: 10.1016/j.aqrep.2025.103204
IF: 3.7
应用: WB
反应种属: Sheep
发表时间: 2025 Nov
-
Platform-based BST-2-targeted microbubbles enhance HIFU therapy and effectively inhibit prostate cancer residual growth
期刊: International Journal of Hyperthermia
DOI: 10.1080/02656736.2025.2511035
IF: 3
应用: WB
反应种属: Mouse
发表时间: 2025 May
-
The activation of CB2 enhances bone remodeling in periodontitis
期刊: BMC Oral Health
DOI: 10.1186/s12903-025-06101-3
IF: 2.6
应用: WB
反应种属: Human
发表时间: 2025 May
-
Activation of the MEK1-CHK2 axis in macrophages by Staphylococcus aureus promotes mitophagy, resulting in a reduction in bactericidal efficacy
期刊: Molecular Medicine
DOI: 10.1186/s10020-025-01274-7
IF: 6
应用: WB
反应种属: Mouse
发表时间: 2025 May
-
SLP65/SLP76 Csk-interacting membrane protein promotes hepatic ischemia-reperfusion injury by activating TLR4/Erk1/2-mediated macrophages M1 polarization
期刊: Biochimica Et Biophysica Acta (Bba) - Molecular Basis Of Disease
DOI: 10.1016/j.bbadis.2025.167916
IF: 4.2
应用: WB
反应种属: Mouse
发表时间: 2025 May
-
DNMT3A facilitates breast cancer progression via regulating ADAMTS8 mediated EGFR-MEK-ERK activation
期刊: Public Library Of Science One
DOI: 10.1371/journal.pone.0321889
IF: 2.9
应用: WB
反应种属: Human
发表时间: 2025 May
-
Huangkui capsule, an extract from Abelmoschus manihot (L.) medic, inhibits adrenal aldosterone synthesis and renal ERK/EGR1 pathway in the treatment of diabetic kidney disease
期刊: Journal Of Ethnopharmacology
DOI: 10.1016/j.jep.2025.119936
IF: 4.8
应用: WB
反应种属: Mouse
发表时间: 2025 May
-
EGR1-Driven Re-Epithelialization Enabled by Rutin-Based Self-Assembled Hydrogel Platform for Oral Ulcer Therapy
期刊: Advanced Healthcare Materials
DOI: 10.1002/adhm.202500996
IF: 10
应用: WB
反应种属: Human
发表时间: 2025 May
-
Smilax china L. Rhizome Extract Enhances Anti-Tumor Immune Responses by Resetting M2-Like Macrophages and Tumor-Associated Macrophages to M1-Like via ERK1/2 Signaling
期刊: Journal Of Ethnopharmacology
DOI: 10.1016/j.jep.2025.119983
IF: 4.8
应用: WB
反应种属: Mouse
发表时间: 2025 May
-
High mobility group box 1, a novel serotonin receptor-7 negative modulator, contributes to M2 microglial ferroptosis and neuroinflammation in post-stroke depression
期刊: Free Radical Biology And Medicine
DOI: 10.1016/j.freeradbiomed.2025.06.025
IF: 8.2
应用: WB
反应种属: Mouse
发表时间: 2025 Jun
-
The Piezo1/Extracellular Signal-Regulated Kinase Signal Pathway Regulates Proliferation and Migration of Aortic Vascular Smooth Muscle Cells and Participates in Thoracic Aortic Aneurysm
期刊: Heart Lung and Circulation
DOI: 10.1016/j.hlc.2025.03.012
IF: 2.2
应用: WB
反应种属: Human,Rat
发表时间: 2025 Jun
-
Glia maturation factor-β in hepatocytes enhances liver regeneration and mitigates steatosis and ballooning in zebrafish
期刊: American Journal of Physiology-Gastrointestinal and Liver
DOI: 10.1152/ajpgi.00407.2024
IF: 3.3
应用: WB
反应种属: Zebrafish
发表时间: 2025 Jul
-
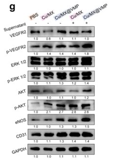
Quinolinone Derivatives Suppress Angiogenesis in Human Umbilical Vein Endothelial Cells by Blocking the VEGF-Induced VEGFR2 Signaling Pathway
期刊: Archiv Der Pharmazie
DOI: 10.1002/ardp.70040
IF: 3.6
应用: WB
反应种属: Human
发表时间: 2025 Jul
-
Neuronal TRPV1-CGRP axis regulates peripheral nerve regeneration through ERK/HIF-1 signaling pathway
期刊: Journal Of Neurochemistry
DOI:
IF: 4.2
应用: WB
反应种属: Rat
发表时间: 2025 Jan
-
Neuronal TRPV1-CGRP axis regulates peripheral nerve regeneration through ERK/HIF-1 signaling pathway
期刊: JOURNAL OF NEUROCHEMISTRY
DOI: 10.1111/jnc.16281
IF: 4
应用: WB
反应种属: Rat
发表时间: 2025 Jan
-
Ginsenoside Ro ameliorates cognitive impairment and neuroinflammation in APP/PS1 mice via the IBA1/GFAP-MAPK signaling pathway
期刊: Frontiers In Pharmacology
DOI: 10.3389/fphar.2025.1528590
IF: 4.4
应用: WB
反应种属: Mouse
发表时间: 2025 Feb
-
S-methylmethionine ameliorates renal injury in diabetic mice by modulating macrophage inflammaging via ERK/NF-κb signaling pathway
期刊: International Immunopharmacology
DOI: 10.1016/j.intimp.2025.116038
IF: 4.7
应用: WB
反应种属: Mouse
发表时间: 2025 Dec
-
Flavonoid-Rich Extract from Bombyx batryticatus Alleviate LPS-Induced Acute Lung Injury via the PI3K/MAPK/NF-κB Pathway
期刊: International Journal Of Molecular Sciences
DOI: 10.3390/ijms262412057
IF: 4.9
应用: WB
反应种属: Mouse
发表时间: 2025 Dec
-
DR8 (DHNNPQIR), a rapeseed-derived peptide, mitigates fibrosis and muscle atrophy in chronic kidney disease by targeting CNR1–ERK/ELK-1 signaling
期刊: Peptides
DOI: 10.1016/j.peptides.2025.171456
IF: 2.9
应用: WB
反应种属: Mouse,Human
发表时间: 2025 Dec
-
Melanoidins From Prunus mume Fruit-Juice Concentrate: Polarity-Driven Differences in Immunomodulatory Activity
期刊: Journal of Food Science
DOI: 10.1111/1750-3841.70749
IF: 3.4
应用: WB
反应种属: Mouse
发表时间: 2025 Dec
-
Integrating network pharmacology and experimental validation to explore the mechanism of Yiqi Ziyin in treating immune thrombocytopenia
期刊: Scientific Reports
DOI: 10.1038/s41598-025-14105-w
IF: 3.9
应用: WB
反应种属: Mouse
发表时间: 2025 Aug
-
USP44 Regulates Chemoresistance Induced by ROS and the MAPK/NF-κB Pathway Through the Stabilization of ITGB4 in Gastric Cancer
期刊: FASEB Journal
DOI: 10.1096/fj.202501369R
IF: 4.2
应用: WB
反应种属: Human
发表时间: 2025 Aug
-
Enhanced migration and adhesion protein expression by polyethylene glycol 4-modified SVVYGLR peptide in an in vitro human gingival fibroblast wound healing model
期刊: Folia Histochemica Et Cytobiologica
DOI: 10.5603/fhc.104010
IF: 1.7
应用: WB
反应种属: Mouse
发表时间: 2025 Apr
-
The Polarization of Macrophages Regulated by KCNG3 via the Activation of ASK1 Mediated by Potassium Ion Efflux
期刊: Cell Biology International
DOI: 10.1002/cbin.70022
IF: 3.3
应用: WB
反应种属: Mouse
发表时间: 2025 Apr
-
“The role of mitogen-activated protein kinase signaling pathway in bone formation during mid-palatal suture expansion”
期刊: Connective Tissue Research
DOI: 10.1080/03008207.2025.2498509
IF: 2.8
应用: WB
反应种属: Rat
发表时间: 2025 Apr
-
FGF21 Ameliorates Fibroblasts Activation and Systemic Sclerosis by Inhibiting CK2α/GLI2 Signaling Axis
期刊: Journal Of Investigative Dermatology
DOI: 10.1016/j.jid.2024.07.026
IF: 5.7
应用: WB
反应种属: Mouse,Human
发表时间: 2024 Sept
-
Possible involvement of a MEG3-miR-21-SPRY1-NF-κB feedback loop in spermatogenic cells proliferation, autophagy and apoptosis
期刊: iScience
DOI: 10.1016/j.isci.2024.110904
IF: 4.6
应用: WB
反应种属: Human,Mouse
发表时间: 2024 Sept
-
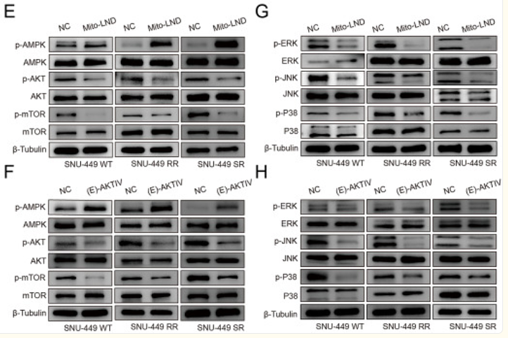
Mito-LND and (E)-Akt inhibitor-IV: novel compounds inducing endoplasmic reticulum stress and ROS accumulation against hepatocellular carcinoma
期刊: Journal Of Translational Medicine
DOI:
IF: 6.1
应用: WB
反应种属: Human
发表时间: 2024 Sep
-
The CD163/TWEAK/Fn14 axis: A potential therapeutic target for alleviating inflammatory bone loss
期刊: Journal Of Orthopaedic Translation
DOI:
IF: 5.9
应用: WB
反应种属: Mouse
发表时间: 2024 Oct
-
Schisandrin A alleviates non-alcoholic fatty liver disease by improving liver metabolic disorders and suppressing the GSK3β signaling pathway
期刊: Food Bioscience
DOI:
IF: 4.8
应用: WB
反应种属: Mouse
发表时间: 2024 Oct
-
Dan-shen Yin attenuates myocardial fibrosis after myocardial infarction in rats: molecular mechanism insights by integrated transcriptomics and network pharmacology analysis and experimental validation
期刊: Journal Of Ethnopharmacology
DOI:
IF: 4.8
应用: WB
反应种属: Rat
发表时间: 2024 Nov
-
Coptidis rhizoma extract alleviates oropharyngeal candidiasis by gC1qR-EGFR/ERK/c-Fos axis-induced endocytosis of oral epithelial cells
期刊: Journal Of Ethnopharmacology
DOI:
IF: 5.4
应用: WB
反应种属: Mouse
发表时间: 2024 May
-
MiRNA-145-5p inhibits gastric cancer progression via the serpin family E member 1-extracellular signal-regulated kinase-1/2 axis
期刊: World Journal Of Gastrointestinal Oncology
DOI:
IF: 3
应用: WB
反应种属: Human
发表时间: 2024 May
-
IGFBP7 promotes gastric cancer by facilitating epithelial-mesenchymal transition of gastric cells
期刊: Heliyon
DOI:
IF: 4
应用: WB
反应种属: Human
发表时间: 2024 May
-
Hypomethylation of theLncRNA H19 promoteraccelerates osteogenicdifferentiation of vascularsmooth muscle cells byactivating the Erk1/2pathways
期刊: Journal Of International Medical Research
DOI:
IF: 1.9
应用: WB
反应种属: Human
发表时间: 2024 Mar
-
CD147‐K148me2‐Driven Tumor Cell‐Macrophage Crosstalk Provokes NSCLC Immunosuppression via the CCL5/CCR5 Axis
期刊: Advanced Science
DOI:
IF: 15.1
应用: WB
反应种属: Human
发表时间: 2024 Jun
-
Docosahexaenoic Acid Coordinating with Sodium Selenite Promotes Paraptosis in Colorectal Cancer Cells by Disrupting the Redox Homeostasis and Activating the MAPK Pathway
期刊: Nutrients
DOI: 10.3390/nu16111737
IF: 4.8
应用: WB
反应种属: Human
发表时间: 2024 Jun
-
Extracellular Vesicles Containing GAS6 Protect the Liver from Ischemia-Reperfusion Injury by Enhancing Macrophage Efferocytosis via MerTK-ERK-COX2 Signaling
期刊: Preprint And Has Not Been Certified By Peer Review
DOI:
IF:
应用: WB
反应种属: Mouse
发表时间: 2024 Jun
-
Production of recombinant human epidermal growth factor fused with HaloTag protein and characterisation of its biological functions
期刊: Peer J
DOI:
IF: 2.3
应用: WB
反应种属: Human
发表时间: 2024 Jul
-
Effects of tanshinone IIA on endothelial cell dysfunction in uremic condition
期刊: Journal Of Biochemical And Molecular Toxicology
DOI: 10.1002/jbt.23785
IF: 3.2
应用: WB
反应种属: Human
发表时间: 2024 Jul
-
Enhancing the therapeutic efficacy of gefitinib on subcutaneously transplanted SKOV3 ovarian cancer tumors in nude mice via ultrasound‑stimulated microbubble cavitation
期刊: Experimental And Therapeutic Medicine
DOI:
IF: 2.4
应用: WB
反应种属: Mouse
发表时间: 2024 Jul
-
ETS1 and RBPJ transcriptionally regulate METTL14 to suppress TGF-β1-induced epithelial-mesenchymal transition in human bronchial epithelial cells
期刊: Biochimica Et Biophysica Acta-Molecular Basis Of Disease
DOI:
IF: 4.2
应用: WB
反应种属: Human,Mouse
发表时间: 2024 Jul
-
Enhanced In Vitro Efficacy of Verbascoside in Suppressing Hepatic Stellate Cell Activation via ROS Scavenging with Reverse Microemulsion
期刊: Antioxidants
DOI: 10.3390/antiox13080907
IF: 6
应用: WB
反应种属: Human
发表时间: 2024 Jul
-
Effect of Sonic hedgehog gene-modified bone marrow mesenchymal stem cells on graft-induced retinal gliosis and retinal ganglion cells survival in diabetic mice
期刊: International Journal Of Ophthalmology
DOI: 10.18240/ijo.2024.01.05
IF: 1.9
应用: WB
反应种属: Mouse
发表时间: 2024 Jan
-
Targeting DAD1 gene with CRISPR-Cas9 system transmucosally delivered by fluorinated polylysine nanoparticles for bladder cancer intravesical gene therapy
期刊: Theranostics
DOI: 10.7150/thno.88550
IF: 12.4
应用: WB
反应种属: Human
发表时间: 2024 Jan
-
Novel inhibitors targeting the PGK1 metabolic enzyme in glycolysis exhibit effective antitumor activity against kidney renal clear cell carcinoma in vitro and in vivo
期刊: European Journal Of Medicinal Chemistry
DOI: 10.1016/j.ejmech.2024.116209
IF: 6
应用: WB
反应种属: Human
发表时间: 2024 Feb
-
FGF18 alleviates sepsis-induced acute lung injury by inhibiting the NF-κB pathway
期刊: Respiratory Research
DOI: 10.1186/s12931-024-02733-1
IF: 4.7
应用:
反应种属:
发表时间: 2024 Feb
-
Effect and mechanism of recombinant human fibroblast growth factor 18 on osteoporosis in OVX mice
期刊: Climacteric
DOI:
IF: 2.8
应用: WB
反应种属: Mouse
发表时间: 2024 Feb
-
Zinc Attenuates Bisphenol A-Induced Reproductive Toxicity in Male Mice by Inhibiting Ferroptosis and Apoptosis Through Improving Zinc Homeostasis
期刊: Biological Trace Element Research
DOI:
IF: 3.4
应用: WB
反应种属: Mouse
发表时间: 2024 Dec
-
GLP-1RAs attenuated obesity and reversed leptin resistance partly via activating the microbiome-derived inosine/A2A pathway
期刊: Acta Pharmaceutica Sinica B
DOI:
IF: 14.7
应用: WB
反应种属: Mouse
发表时间: 2024 Dec
-
BPA Exacerbates Zinc Deficiency–Induced Testicular Tissue Inflammation in Male Mice Through the TNF-α/NF-κB/Caspase8 Signaling Pathway
期刊: Biological Trace Element Research
DOI:
IF: 3.4
应用: WB
反应种属: Mouse
发表时间: 2024 Dec
-
Cyclic tensile stress promotes osteogenic differentiation via upregulation of Piezo1 in human dental follicle stem cells
期刊: Human Cell
DOI:
IF: 3.4
应用: WB
反应种属: Human
发表时间: 2024 Aug
-
Injectable hydrogel encapsulating siMMP13 with anti-ROS and anti-apoptotic functions for osteoarthritis treatment
期刊: Journal Of Nanobiotechnology
DOI:
IF: 10.6
应用: WB
反应种属: Mouse
发表时间: 2024 Aug
-
Aquaporin-3 is down-regulated by LMP1 in nasopharyngeal carcinoma cells to regulate cell migration and affect EBV latent infection
期刊: Virus Genes
DOI:
IF: 1.9
应用: WB
反应种属: Human
发表时间: 2024 Aug
-
Gallic Acid Can Promote Low-Density Lipoprotein Uptake in HepG2 Cells via Increasing Low-Density Lipoprotein Receptor Accumulation
期刊: Molecules
DOI: 10.3390/molecules29091999
IF: 4.2
应用: WB
反应种属: Human
发表时间: 2024 Apr
-
Psoralen and Isopsoralen, Two Estrogen-Like Natural Products from Psoraleae Fructus, Induced Cholestasis via Activation of ERK1/2
期刊: Chemical Research In Toxicology
DOI:
IF: 4.1
应用: WB
反应种属: Zebrafish
发表时间: 2024 Apr
-
LncRNA RP11-93B14. 5 promotes gastric cancer cell growth through PI3K/AKT signaling pathway
期刊: Molecular Biotechnology
DOI:
IF: 2.6
应用: WB
反应种属: Human
发表时间: 2023 Sept
-
PD-1/PD-L1 Interaction Upregulates YAP1 Expression in HepG2 Cells Through MAPK/ERK Pathway
期刊: Natural Product Communications
DOI:
IF: 1.8
应用: WB
反应种属: Human
发表时间: 2023 Oct
-
D-mannose induces TFE3-dependent lysosomal degradation of EGFR and inhibits the progression of NSCLC
期刊: Oncogene
DOI:
IF: 8
应用: WB
反应种属: Human
发表时间: 2023 Oct
-
Antibacterial and Angiogenic (2A) Bio-Heterojunctions Facilitate Infectious Ischemic Wound Regeneration via an Endogenous-Exogenous Bistimulatory Strategy
期刊: Advanced Materials
DOI:
IF: 29.4
应用: WB
反应种属: Mouse
发表时间: 2023 Oct
-
Scutellarin ameliorates diabetic nephropathy via TGF-β1 signaling pathway
期刊: Biological & Pharmaceutical Bulletin
DOI:
IF: 2.0
应用: WB
反应种属: Mouse
发表时间: 2023 Oct
-
DARS2 promotes the occurrence of lung adenocarcinoma via the ERK/c-Myc signaling pathway
期刊: Thoracic Cancer
DOI:
IF: 2.9
应用: WB
反应种属: Mouse
发表时间: 2023 Nov
-
mTOR signaling pathway regulates embryonic development and rapid growth of triploid crucian carp
期刊: Aquaculture Reports
DOI: 10.1016/j.aqrep.2023.101860
IF: 3.7
应用: WB
反应种属: Mouse
发表时间: 2023 Nov
-
NSD3, a member of nuclear receptor-binding SET domain family, is a potential prognostic biomarker for pancreatic cancer
期刊: Cancer Medicine
DOI:
IF: 4.711
应用: WB
反应种属: Human
发表时间: 2023 May
-
Identification of a Specific Phage as Growth Factor Alternative Promoting the Recruitment and Differentiation of MSCs in Bone Tissue Regeneration
期刊: ACS Biomaterials Science & Engineering
DOI:
IF: 5.8
应用: WB
反应种属: Mouse
发表时间: 2023 May
-
Downregulation of a CT10 regulator of kinase (Crk) promotes the formation of diapause embryos in the brine shrimp Artemia
期刊: Gene
DOI:
IF: 3.5
应用: WB
反应种属: Brine shrimp Artemia
发表时间: 2023 May
-
miR-27a-3p relieves heat stress-induced mitochondrial damage and aberrant milk protein synthesis through MEK/ERK pathway in BMECs
期刊: Cell Stress & Chaperones
DOI:
IF: 3.8
应用: WB
反应种属: Mouse
发表时间: 2023 May
-
SETDB1-mediated CD147-K71 di-methylation promotes cell apoptosis in non-small cell lung cancer
期刊: Genes & Diseases
DOI:
IF: 6.8
应用: WB
反应种属: Human
发表时间: 2023 Mar
-
An oral phenylacrylic acid derivative suppressed hepatic stellate cell activation and ameliorated liver fibrosis by blocking TGF‐β1 signalling
期刊: Liver International
DOI:
IF: 6.7
应用: WB
反应种属: Human
发表时间: 2023 Mar
-
Multifunctional gold nanorods in low-temperature photothermal interactions for combined tumor starvation and RNA interference therapy
期刊: Acta Biomaterialia
DOI:
IF: 10.633
应用: WB
反应种属: Mouse
发表时间: 2023 Mar
-
Cyclic tensile force modifies calvarial osteoblast function via the interplay between ERK1/2 and STAT3
期刊: BMC Molecular and Cell Biology
DOI:
IF: 2.813
应用: WB,IF-cell
反应种属: Mouse
发表时间: 2023 Mar
-
Apigenin Inhibits the Progression of Osteoarthritis by Mediating Macrophage Polarization
期刊: Molecules
DOI:
IF: 4.927
应用: WB
反应种属: Mouse
发表时间: 2023 Mar
-
dCas9-Based PDGFR-β Activation ADSCs Accelerate Wound Healing in Diabetic Mice through Angiogenesis and ECM Remodeling
期刊: International Journal Of Molecular Sciences
DOI:
IF: 6.208
应用: WB
反应种属: Mouse,Human
发表时间: 2023 Mar
-
MDM2 upregulation induces mitophagy deficiency via Mic60 ubiquitination in fetal microglial inflammation and consequently neuronal DNA damage caused by exposure to ZnO-NPs during pregnancy
期刊: Journal Of Hazardous Materials
DOI:
IF: 13.6
应用: WB
反应种属: Mouse
发表时间: 2023 Jun
-
PACAP inhibition alleviates neuropathic pain by modulating Nav1. 7 through the MAPK/ERK signaling pathway in a rat model of chronic constriction injury
期刊: Neuropeptides
DOI:
IF: 2.9
应用: WB
反应种属: Rat
发表时间: 2023 Jun
-
Intracellular angiopoietin-1 promotes TKI-resistance via activation of JAK/STAT5 pathway in chronic myeloid leukemia
期刊: Oncogene
DOI:
IF: 8
应用: WB
反应种属: Human
发表时间: 2023 Jan
-
Analyses of Transcriptomics upon IL-1β-Stimulated Mouse Chondrocytes and the Protective Effect of Catalpol through the NOD2/NF-κB/MAPK Signaling Pathway
期刊: Molecules
DOI:
IF: 4.927
应用: WB
反应种属: Mouse
发表时间: 2023 Feb
-
SUMOylation of AnxA6 facilitates EGFR-PKCα complex formation to suppress epithelial cancer growth
期刊: Cell Communication And Signaling
DOI:
IF:
应用: WB
反应种属: Human
发表时间: 2023 Aug
-
Lycium barbarum polysaccharide‐glycoprotein promotes osteogenesis in hPDLSCs via ERK activation
期刊: Oral Diseases
DOI:
IF: 3.8
应用: WB
反应种属: Human
发表时间: 2022 Oct
-
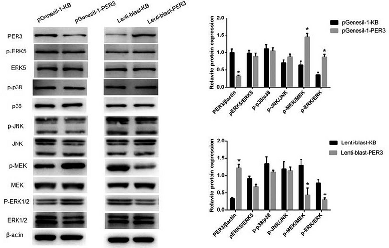
PER3 plays anticancer roles in the oncogenesis and progression of breast cancer via regulating MEK/ERK signaling pathway
期刊: Journal Of The Chinese Medical Association
DOI:
IF: 3
应用: WB
反应种属: Human
发表时间: 2022 Nov
-
Maternal consumption of a fermented diet protects offspring against intestinal inflammation by regulating the gut microbiota
期刊: Gut Microbes
DOI:
IF: 10.245
应用: WB
反应种属: Pig
发表时间: 2022 May
-
Single-Cell Sequencing Yields Insights in the Evolution of Foot-and-Mouth Disease Virus Persistent Infection
期刊: Frontiers In Cellular And Infection Microbiology
DOI:
IF: 6.073
应用: WB
反应种属: Hamster
发表时间: 2022 Jul
-
Production of functional sperm from in vitro-cultured premeiotic spermatogonia in a marine fish
期刊: Zoological Research
DOI:
IF: 6.975
应用: WB
反应种属: Fish
发表时间: 2022 Jul
-
A Tetrahedral Framework DNA-Based Bioswitchable miRNA Inhibitor Delivery System: Application to Skin Anti-Aging
期刊: Advanced Materials
DOI:
IF: 32.086
应用: WB
反应种属: Mouse
发表时间: 2022 Jul
-
CD147 Mediates 5-Fluorouracil Resistance in Colorectal Cancer by Reprogramming Glycolipid Metabolism
期刊: Frontiers In Oncology
DOI:
IF: 5.738
应用: WB
反应种属: Human
发表时间: 2022 Jul
-
PGK1 contributes to tumorigenesis and sorafenib resistance of renal clear cell carcinoma via activating CXCR4/ERK signaling pathway and accelerating glycolysis
期刊: Cell Death & Disease
DOI:
IF: 8.469
应用: WB
反应种属: Human
发表时间: 2022 Feb
-
Orexin-A exerts neuroprotective effect in experimental intracerebral hemorrhage by suppressing autophagy via OXR1-mediated ERK/mTOR signaling pathway
期刊: Frontiers In Cellular Neuroscience
DOI:
IF: 6.147
应用: WB
反应种属: Rat
发表时间: 2022 Dec
-
Orelabrutinib and venetoclax synergistically induce cell death in double hit lymphoma by interfering with the crosstalk between the PI3K/AKT and p38/MAPK signaling
期刊: Journal Of Cancer Research And Clinical Oncology
DOI:
IF: 4.322
应用: WB
反应种属: Human
发表时间: 2022 Dec
-
Periplaneta americana extract promotes osteoblast differentiation of human alveolar bone marrow mesenchymal stem cells
期刊: Oral Diseases
DOI:
IF:
应用: WB
反应种属: Human
发表时间: 2022 Dec
-
CALR-TLR4 Complex Inhibits Non-Small Cell Lung Cancer Progression by Regulating the Migration and Maturation of Dendritic Cells
期刊: Frontiers In Oncology
DOI:
IF: 6.243
应用: WB
反应种属: Mouse
发表时间: 2021 Oct
-
Hyperglycemia modulates M1/M2 macrophage polarization via reactive oxygen species overproduction in ligature-induced periodontitis
期刊: Journal Of Periodontal Research
DOI:
IF: 4.42
应用: WB
反应种属: Mouse
发表时间: 2021 Oct
-
Riboflavin as a Mucosal Adjuvant for Nasal Influenza Vaccine
期刊: Vaccine
DOI:
IF: 4.090
应用: WB
反应种属: Mouse
发表时间: 2021 Nov
-
Inhibition of mu-opioid receptor suppresses proliferation of hepatocellular carcinoma cells via CD147-p53-MAPK cascade signaling pathway. American journal of translational research, 13(5), 3967–3986.
期刊: American Journal Of Translational Research
DOI:
IF: 4.06
应用: WB
反应种属: Human
发表时间: 2021 May
-
MAPK, AKT/FoxO3a and mTOR pathways are involved in cadmium regulating the cell cycle, proliferation and apoptosis of chicken follicular granulosa cells. Ecotoxicology and environmental safety, 214, 112091.
期刊: Ecotoxicology And Environmental Safety
DOI:
IF: 4.872
应用: WB
反应种属: Chicken
发表时间: 2021 May
-
Transient Receptor Potential Melastatin 7 Promotes Vascular Adventitial Fibroblasts Phenotypic Transformation and Inflammatory Reaction Induced by Mechanical Stretching Stress via p38 MAPK/JNK Pathway
期刊: Journal Of Vascular Research
DOI:
IF: 1.7
应用: WB
反应种属: Rat
发表时间: 2021 Jan
-
Alkannin induces cytotoxic autophagy and apoptosis by promoting ROS-mediated mitochondrial dysfunction and activation of JNK pathway
期刊: Biochemical Pharmacology
DOI:
IF: 5.8
应用: WB
反应种属: Human
发表时间: 2020 Oct
-
Napabucasin,a novel inhibitor of STAT3,inhibits growth and synergises with doxorubicin in diffuse large B-cell lymphoma
期刊: Cancer Letters
DOI:
IF: 7.36
应用: WB
反应种属: Human
发表时间: 2020 Oct
-
MSCs-derived exosomes attenuate acute brain injury and inhibit microglial inflammation by reversing CysLT2R-ERK1/2 mediated microglia M1 polarization
期刊: Neurochemical Research
DOI:
IF: 4.4
应用: WB
反应种属: Rat
发表时间: 2020 May
-
Molecular hydrogen attenuates methamphetamine-induced behavioral sensitization and activation of ERK-ΔFosB signaling in the mouse nucleus accumbens
期刊: Progress In Neuro-Psychopharmacology & Biological Psychiatry
DOI:
IF: 4.315
应用: WB
反应种属: Mouse
发表时间: 2020 Mar
-
Exopolysaccharide from Cryptococcus heimaeyensis S20 induces autophagic cell death in non-small cell lung cancer cells via ROS/p38 and ROS/ERK signalling
期刊: Cell Proliferation
DOI:
IF: 5.753
应用: WB
反应种属: Human
发表时间: 2020 Aug
-
Intermittent parathyroid hormone promotes cementogenesis in a PKA- and ERK1/2-dependent manner
期刊: Journal Of Periodontology
DOI:
IF: 2.77
应用: WB
反应种属: Mouse
发表时间: 2019 Sep
-
Purification of recombinant human fibroblast growth factor 13 in E. coli and its molecular mechanism of mitogenesis
期刊: Applied Microbiology And Biotechnology
DOI:
IF: 3.67
应用: WB
反应种属: Mouse
发表时间: 2019 Sep
-
Sini decoction ameliorates sepsis-induced acute lung injury via regulating ACE2-Ang (1-7)-Mas axis and inhibiting the MAPK signaling pathway
期刊: Biomedicine & Pharmacotherapy
DOI:
IF: 3.457
应用: WB
反应种属: Human
发表时间: 2019 Jul
-
Mettl3 Deficiency Sustains Long-Chain Fatty Acid Absorption through Suppressing Traf6-Dependent Inflammation Response
期刊: The Journal Of Immunology
DOI:
IF: 4.54
应用: WB
反应种属: Pig
发表时间: 2019 Jan
-
CXCL2 attenuates osteoblast differentiation by inhibiting the ERK1/2 signaling pathway
期刊: Journal Of Cell Science
DOI:
IF: 4
应用: WB
反应种属: Mouse
发表时间: 2019 Aug
同靶点 & 同通路的产品
ERK1/2 Rabbit Polyclonal Antibody
Application: WB,IF-Cell,IHC-P
Reactivity: Human,Mouse,Rat
Conjugate: unconjugated
ERK1/2 Recombinant Rabbit Monoclonal Antibody [SA43-03] - BSA and Azide free
Application: WB,IF-Cell,IF-Tissue,IP,FC,IHC-P,IHC-Fr
Reactivity: Human,Mouse,Rat,Zebrafish
Conjugate: unconjugated
Erk1/2 Mouse Monoclonal Antibody [2G1]
Application: WB,IP,IF
Reactivity: Human,Mouse,Rat
Conjugate: unconjugated


浙公网安备 33019202000643号