概述
产品名称
Cathepsin D Recombinant Mouse Monoclonal Antibody [13F3-R]
抗体类型
Mouse Monoclonal Antibody
免疫原
Recombinant protein within Human Cathepsin D aa 1-432.
种属反应性
Human
验证应用
WB, IHC-P
分子量
Predicted band size: 45 kDa
阳性对照
MCF7 cell lysate, U-937 cell lysate, SK-Br-3 cell lysate, HepG2 cell lysate, A431 cell lysate, Human liver tissue lysate, human liver tissue, human liver cancer tissue, human breast cancer tissue.
偶联
unconjugated
克隆号
13F3-R
RRID
产品特性
形态
Liquid
存放说明
Shipped at 4℃. Store at +4℃ short term (1-2 weeks). It is recommended to aliquot into single-use upon delivery. Store at -20℃ long term.
存储缓冲液
PBS (pH7.4), 0.05% BSA, 40% Glycerol. Preservative: 0.05% Sodium Azide.
亚型
IgG1
纯化方式
Protein A affinity purified.
应用稀释度
-
WB
-
1:1,000
-
IHC-P
-
1:2,000-1:5,000
靶点
功能
The cathepsin family of proteolytic enzymes contains several diverse classes of proteases. These products include the cathepsin D light and heavy chains, which heterodimerize to form the mature enzyme. This enzyme exhibits pepsin-like activity and plays a role in protein turnover and in the proteolytic activation of hormones and growth factors. The cysteine protease class comprises cathepsins B, L, H, K, S, and O. The aspartyl protease class is composed of cathepsins D and E. Cathepsin G is in the serine protease class. Most cathepsins are lysosomal and each is involved in cellular metabolism, participating in various events such as peptide biosynthesis and protein degradation. Cathepsins may also cleave some protein precursors, thereby releasing regulatory peptides. The promoter region of the cathepsin D gene contains five Sp1 binding sites and four AP-2 binding sites. Mutations in this gene play a causal role in neuronal ceroid lipofuscinosis-10 and may be involved in the pathogenesis of several other diseases, including breast cancer and possibly Alzheimer's disease.
背景文献
1. Sadleir KR et al. Presynaptic dystrophic neurites surrounding amyloid plaques are sites of microtubule disruption, BACE1 elevation, and increased Aß generation in Alzheimer\'s disease. Acta Neuropathol 132:235-56 (2016).
2. Santaguida S et al. Aneuploidy-induced cellular stresses limit autophagic degradation. Genes Dev 29:2010-21 (2015).
序列相似性
Belongs to the peptidase A1 family.
组织特异性
Expressed in the aorta extracellular space (at protein level). Expressed in liver (at protein level).
翻译后修饰
N- and O-glycosylated.; Undergoes proteolytic cleavage and activation by ADAM30.; As well as the major heavy chain which starts at Leu-169, 2 minor forms starting at Gly-170 and Gly-171 have been identified. An additional form starting at Ala-168 has also been identified.
亚细胞定位
Lysosome. Melanosome. Secreted, extracellular space.
UNIPROT
别名
CatD antibody
CATD_HUMAN antibody
Cathepsin D antibody
Cathepsin D heavy chain antibody
CD antibody
Ceroid lipofuscinosis neuronal 10 antibody
CLN10 antibody
CPSD antibody
ctsd antibody
Epididymis secretory sperm binding protein Li 130P antibody
展开CatD antibody
CATD_HUMAN antibody
Cathepsin D antibody
Cathepsin D heavy chain antibody
CD antibody
Ceroid lipofuscinosis neuronal 10 antibody
CLN10 antibody
CPSD antibody
ctsd antibody
Epididymis secretory sperm binding protein Li 130P antibody
HEL S 130P antibody
Lysosomal aspartyl peptidase antibody
Lysosomal aspartyl protease antibody
MGC2311 antibody
折叠图片
-
Western blot analysis of Cathepsin D on different lysates with Mouse anti-Cathepsin D antibody (EM1901-02) at 1/1,000 dilution.
Lane 1: MCF7 cell lysate (20 µg/Lane)
Lane 2: U-937 cell lysate (20 µg/Lane)
Lane 3: SK-Br-3 cell lysate (20 µg/Lane)
Lane 4: HepG2 cell lysate (20 µg/Lane)
Lane 5: A431 cell lysate (20 µg/Lane)
Lane 6: Human liver tissue lysate (40 µg/Lane)
Predicted band size: 45 kDa
Observed band size: 45/28 kDa
Exposure time: 25 seconds; ECL: K1801;
4-20% SDS-PAGE gel.
Proteins were transferred to a PVDF membrane and blocked with 5% NFDM/TBST for 1 hour at room temperature. The primary antibody (EM1901-02) at 1/1,000 dilution was used in 5% NFDM/TBST at 4℃ overnight. Goat Anti-Mouse IgG - HRP Secondary Antibody (HA1006) at 1/50,000 dilution was used for 1 hour at room temperature. -
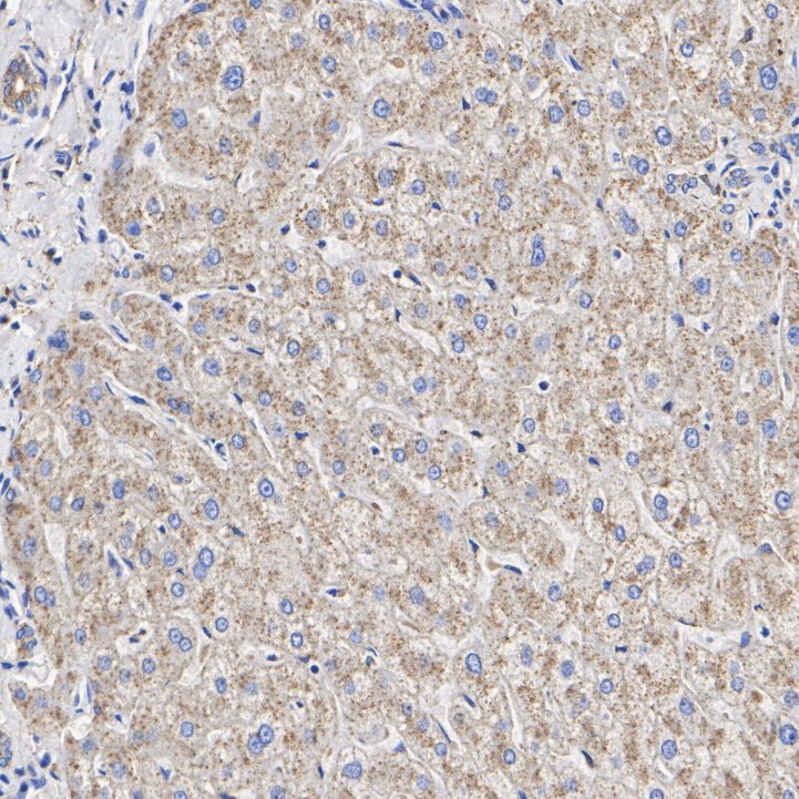
Immunohistochemical analysis of paraffin-embedded human liver tissue with Mouse anti-Cathepsin D antibody (EM1901-02) at 1/5,000 dilution.
The section was pre-treated using heat mediated antigen retrieval with Tris-EDTA buffer (pH 9.0) for 20 minutes. The tissues were blocked in 1% BSA for 20 minutes at room temperature, washed with ddH2O and PBS, and then probed with the primary antibody (EM1901-02) at 1/5,000 dilution for 1 hour at room temperature. The detection was performed using an HRP conjugated compact polymer system. DAB was used as the chromogen. Tissues were counterstained with hematoxylin and mounted with DPX. -
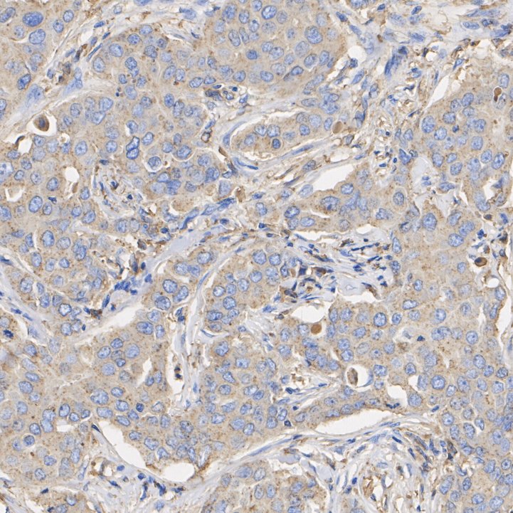
Immunohistochemical analysis of paraffin-embedded human liver cancer tissue with Mouse anti-Cathepsin D antibody (EM1901-02) at 1/2,000 dilution.
The section was pre-treated using heat mediated antigen retrieval with Tris-EDTA buffer (pH 9.0) for 20 minutes. The tissues were blocked in 1% BSA for 20 minutes at room temperature, washed with ddH2O and PBS, and then probed with the primary antibody (EM1901-02) at 1/2,000 dilution for 1 hour at room temperature. The detection was performed using an HRP conjugated compact polymer system. DAB was used as the chromogen. Tissues were counterstained with hematoxylin and mounted with DPX. -
Immunohistochemical analysis of paraffin-embedded human breast cancer tissue with Mouse anti-Cathepsin D antibody (EM1901-02) at 1/5,000 dilution.
The section was pre-treated using heat mediated antigen retrieval with Tris-EDTA buffer (pH 9.0) for 20 minutes. The tissues were blocked in 1% BSA for 20 minutes at room temperature, washed with ddH2O and PBS, and then probed with the primary antibody (EM1901-02) at 1/5,000 dilution for 1 hour at room temperature. The detection was performed using an HRP conjugated compact polymer system. DAB was used as the chromogen. Tissues were counterstained with hematoxylin and mounted with DPX.
请注意: All products are "FOR RESEARCH USE ONLY AND ARE NOT INTENDED FOR DIAGNOSTIC OR THERAPEUTIC USE"
同靶点 & 同通路的产品
Cathepsin D Mouse Monoclonal Antibody [13F2]
Application: WB,IHC-P
Reactivity: Human
Conjugate: unconjugated
Cathepsin D Mouse Monoclonal Antibody [13F4]
Application: WB,IHC-P
Reactivity: Human
Conjugate: unconjugated
Cathepsin D Rabbit Polyclonal Antibody
Application: WB,IF-Cell,IHC-P,FC
Reactivity: Human,Mouse
Conjugate: unconjugated
Cathepsin D Recombinant Mouse Monoclonal Antibody [13F3-R] - BSA and Azide free
Application: WB,IHC-P
Reactivity: Human
Conjugate: unconjugated
Cathepsin D Recombinant Mouse Monoclonal Antibody [13F4-R] - BSA and Azide free
Application: WB,IHC-P
Reactivity: Human
Conjugate: unconjugated
Cathepsin D Recombinant Rabbit Monoclonal Antibody [SU0360] - BSA and Azide free
Application: WB,IF-Cell,IHC-P,IP
Reactivity: Human,Mouse,Rat
Conjugate: unconjugated
Cathepsin D Mouse Monoclonal Antibody [13F3]
Application: WB,IHC-P
Reactivity: Human
Conjugate: unconjugated
Cathepsin D
Application:
Reactivity:
Conjugate:
Cathepsin D Recombinant Rabbit Monoclonal Antibody [JE24-31]
Application: IF-Cell,IHC-P
Reactivity: Human
Conjugate: unconjugated
Cathepsin D Rabbit Polyclonal Antibody
Application: WB,IHC-P,FC
Reactivity: Human,Mouse,Rat
Conjugate: unconjugated
Cathepsin D Recombinant Rabbit Monoclonal Antibody [SU0360]
Application: WB,IF-Cell,IHC-P,IP
Reactivity: Human,Mouse,Rat
Conjugate: unconjugated
Cathepsin D Recombinant Mouse Monoclonal Antibody [13F4-R]
Application: WB,IHC-P
Reactivity: Human
Conjugate: unconjugated

