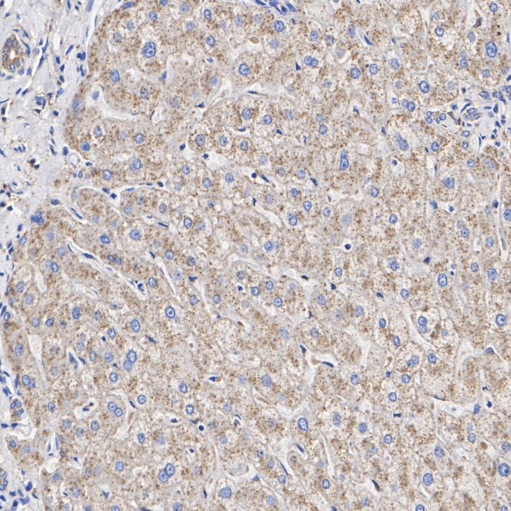
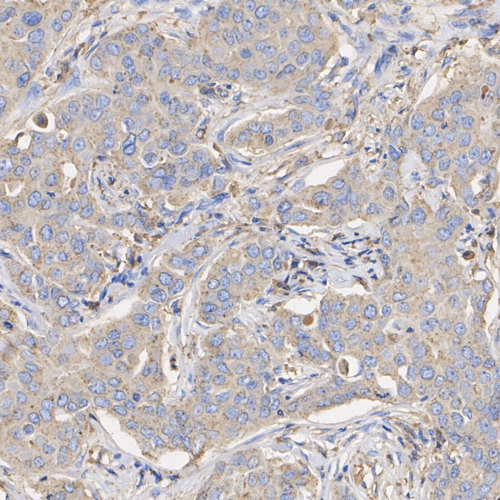
Cathepsin D Recombinant Mouse Monoclonal Antibody [13F3-R] - BSA and Azide free
Catalog# HA610001
Cathepsin D Recombinant Mouse Monoclonal Antibody [13F3-R] - BSA and Azide free
Application
-
WB
-
IHC-P
Reactivity
-
Human
With BSA and Azide
-
EM1901-02
含抗保成分
Conjugation
-
unconjugated
浙公网安备 33019202000643号