Catalog# R1512-9
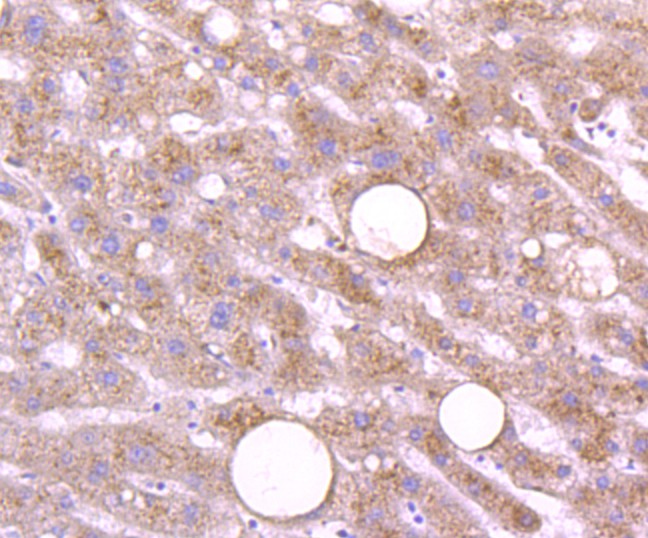
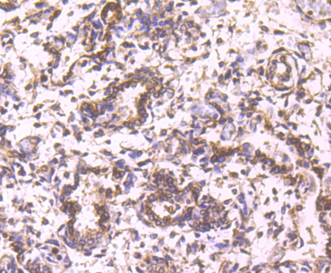
Cathepsin D Rabbit Polyclonal Antibody
Application
-
WB
-
IF-Cell
-
IHC-P
-
FC
Reactivity
-
Human
Predicted reactivity
预测的种属支持售后
-
Mouse
Conjugation
-
unconjugated

浙公网安备 33019202000643号