概述
产品名称
Cathepsin D Recombinant Rabbit Monoclonal Antibody [SU0360]
抗体类型
Recombinant Rabbit monoclonal Antibody
免疫原
Synthetic peptide within Human Cathepsin D aa 363-412 / 412.
种属反应性
Human, Mouse, Rat
验证应用
WB, IF-Cell, IHC-P, IP
分子量
Predicted band size: 45/28 kDa
阳性对照
HepG2 cell lysate, MCF7 cell lysate, Neuro-2a cell lysate, Mouse brain tissue lysate, C6 cell lysate, Rat brain tissue lysate, human breast cancer tissue, human pancreas tissue, PANC-1, AGS.
偶联
unconjugated
克隆号
SU0360
RRID
产品特性
形态
Liquid
存放说明
Shipped at 4℃. Store at +4℃ short term (1-2 weeks). It is recommended to aliquot into single-use upon delivery. Store at -20℃ long term.
存储缓冲液
1*TBS (pH7.4), 0.05% BSA, 40% Glycerol. Preservative: 0.05% Sodium Azide.
亚型
IgG
纯化方式
Protein A affinity purified.
应用稀释度
-
WB
-
1:1,000-1:2,000
-
IF-Cell
-
1:100-1:500
-
IHC-P
-
1:3,000
-
IP
-
Use at an assay dependent concentration.
发表文章中的应用
| WB | 查看 5 篇文献如下 |
| IF | 查看 2 篇文献如下 |
| IF-Cell | 查看 1 篇文献如下 |
发表文章中的种属
| Human | 查看 3 篇文献如下 |
| Mouse | 查看 3 篇文献如下 |
靶点
功能
Cathepsin D is a protein that in humans is encoded by the CTSD gene. This gene encodes a lysosomal aspartyl protease composed of a protein dimer of disulfide-linked heavy and light chains, both produced from a single protein precursor. Cathepsin D is an aspartic endo-protease that is ubiquitously distributed in lysosomes. The main function of cathepsin D is to degrade proteins and activate precursors of bioactive proteins in pre-lysosomal compartments. This proteinase, which is a member of the peptidase A1 family, has a specificity similar to but narrower than that of pepsin A. Transcription of the CTSD gene is initiated from several sites, including one that is a start site for an estrogen-regulated transcript. Mutations in this gene are involved in the pathogenesis of several diseases, including breast cancer and possibly Alzheimer disease. Homozygous deletion of the CTSD gene leads to early lethality in the postnatal phase. Deficiency of CTSD gene has been reported an underlying cause of neuronal ceroid lipofuscinosis (NCL).
背景文献
1. Santaguida S et al. Aneuploidy-induced cellular stresses limit autophagic degradation. Genes Dev 29:2010-21 (2015).
2. Shen C et al. Global profiling of proteolytically modified proteins in human metastatic hepatocellular carcinoma cell lines reveals CAPN2 centered network. Proteomics 12:1917-27 (2012).
序列相似性
Belongs to the peptidase A1 family.
组织特异性
Expressed in the aorta extracellular space (at protein level). Expressed in liver (at protein level).
翻译后修饰
N- and O-glycosylated.; Undergoes proteolytic cleavage and activation by ADAM30.; As well as the major heavy chain which starts at Leu-169, 2 minor forms starting at Gly-170 and Gly-171 have been identified. An additional form starting at Ala-168 has also been identified.
亚细胞定位
Extracellular space, Lysosome, Melanosome.
别名
CatD antibody
CATD_HUMAN antibody
Cathepsin D antibody
Cathepsin D heavy chain antibody
CD antibody
Ceroid lipofuscinosis neuronal 10 antibody
CLN10 antibody
CPSD antibody
ctsd antibody
Epididymis secretory sperm binding protein Li 130P antibody
展开CatD antibody
CATD_HUMAN antibody
Cathepsin D antibody
Cathepsin D heavy chain antibody
CD antibody
Ceroid lipofuscinosis neuronal 10 antibody
CLN10 antibody
CPSD antibody
ctsd antibody
Epididymis secretory sperm binding protein Li 130P antibody
HEL S 130P antibody
Lysosomal aspartyl peptidase antibody
Lysosomal aspartyl protease antibody
MGC2311 antibody
折叠图片
-
Western blot analysis of Cathepsin D on different lysates with Rabbit anti-Cathepsin D antibody (ET1608-49) at 1/2,000 dilution.
Lane 1: HepG2 cell lysate (15 µg/Lane)
Lane 2: MCF7 cell lysate (15 µg/Lane)
Lane 3: Neuro-2a cell lysate (15 µg/Lane)
Lane 4: Mouse brain tissue lysate (20 µg/Lane)
Predicted band size: 45/28 kDa
Observed band size: 45/28 kDa
Exposure time: 3 minutes; ECL: K1801;
4-20% SDS-PAGE gel.
Proteins were transferred to a PVDF membrane and blocked with 5% NFDM/TBST for 1 hour at room temperature. The primary antibody (ET1608-49) at 1/2,000 dilution was used in 5% NFDM/TBST at 4℃ overnight. Goat Anti-Rabbit IgG - HRP Secondary Antibody (HA1001) at 1/50,000 dilution was used for 1 hour at room temperature. -
Western blot analysis of Cathepsin D on different lysates with Rabbit anti-Cathepsin D antibody (ET1608-49) at 1/1,000 dilution.
Lane 1: C6 cell lysate (20 µg/Lane)
Lane 2: Mouse brain tissue lysate (20 µg/Lane)
Lane 3: Rat brain tissue lysate (20 µg/Lane)
Predicted band size: 45/28 kDa
Observed band size: 45/28 kDa
Exposure time: 6 seconds; ECL: K1801;
4-20% SDS-PAGE gel.
Proteins were transferred to a PVDF membrane and blocked with 5% NFDM/TBST for 1 hour at room temperature. The primary antibody (ET1608-49) at 1/1,000 dilution was used in 5% NFDM/TBST at 4℃ overnight. Goat Anti-Rabbit IgG - HRP Secondary Antibody (HA1001) at 1/50,000 dilution was used for 1 hour at room temperature. -
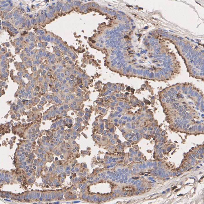
Immunohistochemical analysis of paraffin-embedded human breast cancer tissue with Rabbit anti-Cathepsin D antibody (ET1608-49) at 1/3,000 dilution.
The section was pre-treated using heat mediated antigen retrieval with Tris-EDTA buffer (pH 9.0) for 20 minutes. The tissues were blocked in 1% BSA for 20 minutes at room temperature, washed with ddH2O and PBS, and then probed with the primary antibody (ET1608-49) at 1/3,000 dilution for 1 hour at room temperature. The detection was performed using an HRP conjugated compact polymer system. DAB was used as the chromogen. Tissues were counterstained with hematoxylin and mounted with DPX. -
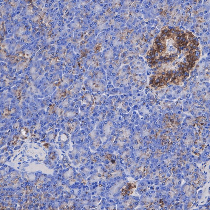
Immunohistochemical analysis of paraffin-embedded human pancreas tissue with Rabbit anti-Cathepsin D antibody (ET1608-49) at 1/3,000 dilution.
The section was pre-treated using heat mediated antigen retrieval with Tris-EDTA buffer (pH 9.0) for 20 minutes. The tissues were blocked in 1% BSA for 20 minutes at room temperature, washed with ddH2O and PBS, and then probed with the primary antibody (ET1608-49) at 1/3,000 dilution for 1 hour at room temperature. The detection was performed using an HRP conjugated compact polymer system. DAB was used as the chromogen. Tissues were counterstained with hematoxylin and mounted with DPX. -
ICC staining of Cathepsin D in PANC-1 cells (green). Formalin fixed cells were permeabilized with 0.1% Triton X-100 in TBS for 10 minutes at room temperature and blocked with 1% Blocker BSA for 15 minutes at room temperature. Cells were probed with the primary antibody (ET1608-49, 1/50) for 1 hour at room temperature, washed with PBS. Alexa Fluor®488 Goat anti-Rabbit IgG was used as the secondary antibody at 1/1,000 dilution. The nuclear counter stain is DAPI (blue).
-
ICC staining of Cathepsin D in AGS cells (green). Formalin fixed cells were permeabilized with 0.1% Triton X-100 in TBS for 10 minutes at room temperature and blocked with 1% Blocker BSA for 15 minutes at room temperature. Cells were probed with the primary antibody (ET1608-49, 1/50) for 1 hour at room temperature, washed with PBS. Alexa Fluor®488 Goat anti-Rabbit IgG was used as the secondary antibody at 1/1,000 dilution. The nuclear counter stain is DAPI (blue).
请注意: All products are "FOR RESEARCH USE ONLY AND ARE NOT INTENDED FOR DIAGNOSTIC OR THERAPEUTIC USE"
引文
-
Puerarin alleviates silicon dioxide-induced pulmonary inflammation and fibrosis via improving Autophagolysosomal dysfunction in alveolar macrophages of murine mice
Author: Wei Su, Shuwen Gong, Yi Luo, Xinyu Ma, Xiaoxi Wei, Yining Song, Qiuyi Chen, Hong Xu, Changyong Ke, Hailan He, Fuhai Shen, Jinlong Li
PMID: 40043356
期刊: International Immunopharmacology
应用: WB
反应种属: Mouse
发表时间: 2025 Mar
-
Citation
-
Exploring the Link Between Autophagy‐Lysosomal Dysfunction and Early Heterotopic Ossification in Tendons
Author: Gao Changhe,et al
PMID: 38741381
期刊: Advanced Science
应用: WB
反应种属: Mouse
发表时间: 2024 May
-
Citation
-
Impaired autophagic flux in the human brain after traumatic brain injury
Author: Lang, Jiadong,et al
PMID: 38526944
期刊: Neurotrauma Report
应用: WB,IF
反应种属: Human
发表时间: 2024 Mar
-
Citation
-
Prosapogenin A induces GSDME-dependent pyroptosis of anaplastic thyroid cancer through vacuolar ATPase activation-mediated lysosomal over-acidification
Author: Liu Yunye,et al
PMID: 39138191
期刊: Cell Death Discovery
应用: IF
反应种属: Human
发表时间: 2024 Aug
-
Citation
-
Tripterygium wilfordii protects against an animal model of autoimmune hepatitis
Author: Zhang, T., Rao, Q., Dai, M., Wu, Z. E., Zhao, Q., & Li, F.
PMID: 36907478
期刊: Journal Of Ethnopharmacology
应用: WB,IF-Cell
反应种属: Mouse
发表时间: 2023 Jun
-
Citation
-
Nano-hydroxyapatite accelerates vascular calcification via lysosome impairment and autophagy dysfunction in smooth muscle cells
Author: Liu, Q., Luo, Y., Zhao, Y., Xiang, P., Zhu, J., Jing, W., Jin, W., Chen, M., Tang, R., & Yu, H.
PMID: 34541414
期刊: Bioactive Materials
应用: WB
反应种属: Human
发表时间: 2021 Jun
-
Citation
同靶点 & 同通路的产品
Cathepsin D Mouse Monoclonal Antibody [13F2]
Application: WB,IHC-P
Reactivity: Human
Conjugate: unconjugated
Cathepsin D Mouse Monoclonal Antibody [13F4]
Application: WB,IHC-P
Reactivity: Human
Conjugate: unconjugated
Cathepsin D Recombinant Mouse Monoclonal Antibody [13F3-R]
Application: WB,IHC-P
Reactivity: Human
Conjugate: unconjugated
Cathepsin D Rabbit Polyclonal Antibody
Application: WB,IF-Cell,IHC-P,FC
Reactivity: Human,Mouse
Conjugate: unconjugated
Cathepsin D Recombinant Mouse Monoclonal Antibody [13F3-R] - BSA and Azide free
Application: WB,IHC-P
Reactivity: Human
Conjugate: unconjugated
Cathepsin D Recombinant Mouse Monoclonal Antibody [13F4-R] - BSA and Azide free
Application: WB,IHC-P
Reactivity: Human
Conjugate: unconjugated
Cathepsin D Recombinant Rabbit Monoclonal Antibody [SU0360] - BSA and Azide free
Application: WB,IF-Cell,IHC-P,IP
Reactivity: Human,Mouse,Rat
Conjugate: unconjugated
Cathepsin D Mouse Monoclonal Antibody [13F3]
Application: WB,IHC-P
Reactivity: Human
Conjugate: unconjugated
Cathepsin D
Application:
Reactivity:
Conjugate:
Cathepsin D Recombinant Rabbit Monoclonal Antibody [JE24-31]
Application: IF-Cell,IHC-P
Reactivity: Human
Conjugate: unconjugated
Cathepsin D Rabbit Polyclonal Antibody
Application: WB,IHC-P,FC
Reactivity: Human,Mouse,Rat
Conjugate: unconjugated
Cathepsin D Recombinant Mouse Monoclonal Antibody [13F4-R]
Application: WB,IHC-P
Reactivity: Human
Conjugate: unconjugated

