Recombinant protein within human CD44 aa22-250/742
种属反应性
Human, Mouse, Rat
验证应用
WB, IF-Cell, IHC-P, IF-Tissue, FC
分子量
Predicted band size: 82 kDa
阳性对照
HeLa cell lysate, A549 cell lysate, MDA-MB-231 cell lysate, C2C12 cell lysate, J774A.1 cell lysate, RAW264.7 cell lysate, C6 cell lysate, HeLa, human breast cancer tissue, human colon cancer tissue, human skin tissue, human spleen tissue.
偶联
unconjugated
克隆号
JE64-01
产品特性
形态
Liquid
浓度
批次浓度查询
存放说明
Shipped at 4℃. Store at +4℃ short term (1-2 weeks). It is recommended to aliquot into single-use upon delivery. Store at -20℃ long term.
The CD44 antigen is a cell-surface glycoprotein involved in cell–cell interactions, cell adhesion and migration. In humans, the CD44 antigen is encoded by the CD44 gene on chromosome 11. CD44 has been referred to as HCAM (homing cell adhesion molecule), Pgp-1 (phagocytic glycoprotein-1), Hermes antigen, lymphocyte homing receptor, ECM-III, and HUTCH-1.
背景文献
1. Weng X et al. The membrane receptor CD44: novel insights into metabolism. Trends Endocrinol Metab. 2022 May
2. Hassn Mesrati M et al. CD44: A Multifunctional Mediator of Cancer Progression. Biomolecules. 2021 Dec
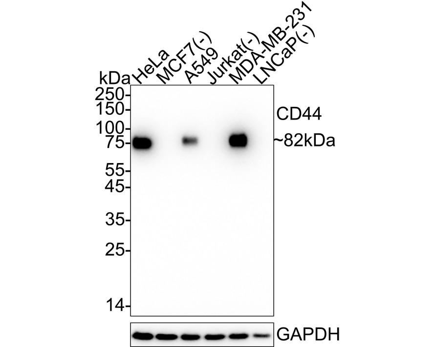
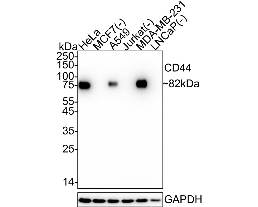
Western blot analysis of CD44 on different lysates with Rabbit anti-CD44 antibody (HA722845) at 1/5,000 dilution.
Lane 1: HeLa cell lysate Lane 2: MCF7 cell lysate (negative) Lane 3: A549 cell lysate Lane 4: Jurkat cell lysate (negative) Lane 5: MDA-MB-231 cell lysate Lane 6: LNCaP cell lysate (negative) Lane 7: C2C12 cell lysate Lane 8: J774A.1 cell lysate Lane 9: RAW264.7 cell lysate Lane 10: C6 cell lysate
Lysates/proteins at 20 µg/Lane.
Predicted band size: 82 kDa Observed band size: 82 kDa
Proteins were transferred to a PVDF membrane and blocked with 5% NFDM/TBST for 1 hour at room temperature. The primary antibody (HA722845) at 1/5,000 dilution was used in 5% NFDM/TBST at 4℃ overnight. Goat Anti-Rabbit IgG - HRP Secondary Antibody (HA1001) at 1/50,000 dilution was used for 1 hour at room temperature.
☑ Knockdown (KD)
Western blot analysis of CD44 on different lysates with Rabbit anti-CD44 antibody (HA722845) at 1/5,000 dilution.
Lane 1: HAP1-si NT cell lysate (10 µg/Lane) Lane 2: HAP1-si CD44 cell lysate (10 µg/Lane)
Predicted band size: 82 kDa Observed band size: 82 kDa
Proteins were transferred to a PVDF membrane and blocked with 5% NFDM/TBST for 1 hour at room temperature. The primary antibody (HA722845) at 1/5,000 dilution was used in 5% NFDM/TBST at room temperature for 2 hours. Goat Anti-Rabbit IgG - HRP Secondary Antibody (HA1001) at 1/50,000 dilution was used for 1 hour at room temperature.
☑ Relative expression (RE)
Immunocytochemistry analysis of HeLa (positive) and Jurkat (negative) labeling CD44 with Rabbit anti-CD44 antibody (HA722845) at 1/100 dilution.
Cells were fixed in 4% paraformaldehyde for 20 minutes at room temperature, permeabilized with 0.1% Triton X-100 in PBS for 5 minutes at room temperature, then blocked with 1% BSA in 10% negative goat serum for 1 hour at room temperature. Cells were then incubated with Rabbit anti-CD44 antibody (HA722845) at 1/100 dilution in 1% BSA in PBST overnight at 4 ℃. Goat Anti-Rabbit IgG H&L (iFluor™ 488, HA1121) was used as the secondary antibody at 1/1,000 dilution. PBS instead of the primary antibody was used as the secondary antibody only control. Nuclear DNA was labelled in blue with DAPI.
Beta tubulin (M1305-2, red) was stained at 1/100 dilution overnight at +4℃. Goat Anti-Mouse IgG H&L (iFluor™ 594, HA1126) was used as the secondary antibody at 1/1,000 dilution.
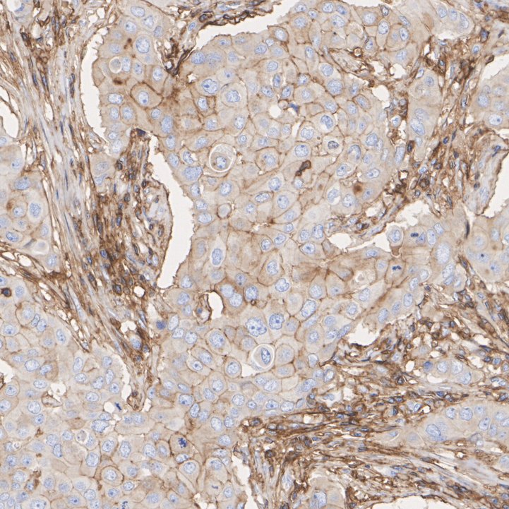
Immunohistochemical analysis of paraffin-embedded human breast cancer tissue with Rabbit anti-CD44 antibody (HA722845) at 1/2,000 dilution.
The section was pre-treated using heat mediated antigen retrieval with Tris-EDTA buffer (pH 9.0) for 20 minutes. The tissues were blocked in 1% BSA for 20 minutes at room temperature, washed with ddH2O and PBS, and then probed with the primary antibody (HA722845) at 1/2,000 dilution for 1 hour at room temperature. The detection was performed using an HRP conjugated compact polymer system. DAB was used as the chromogen. Tissues were counterstained with hematoxylin and mounted with DPX.
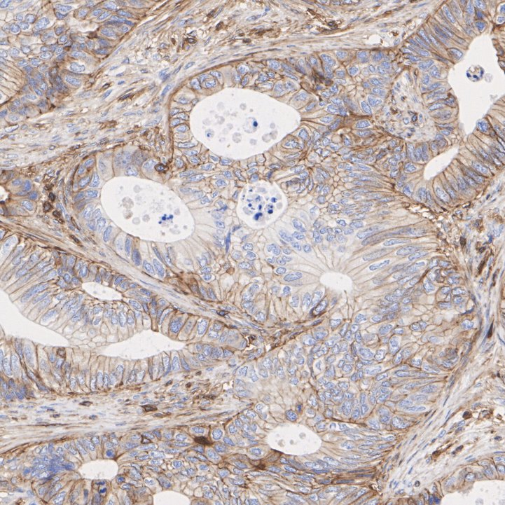
Immunohistochemical analysis of paraffin-embedded human colon cancer tissue with Rabbit anti-CD44 antibody (HA722845) at 1/2,000 dilution.
The section was pre-treated using heat mediated antigen retrieval with Tris-EDTA buffer (pH 9.0) for 20 minutes. The tissues were blocked in 1% BSA for 20 minutes at room temperature, washed with ddH2O and PBS, and then probed with the primary antibody (HA722845) at 1/2,000 dilution for 1 hour at room temperature. The detection was performed using an HRP conjugated compact polymer system. DAB was used as the chromogen. Tissues were counterstained with hematoxylin and mounted with DPX.
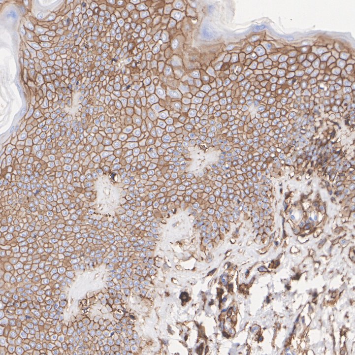
Immunohistochemical analysis of paraffin-embedded human skin tissue with Rabbit anti-CD44 antibody (HA722845) at 1/5,000 dilution.
The section was pre-treated using heat mediated antigen retrieval with Tris-EDTA buffer (pH 9.0) for 20 minutes. The tissues were blocked in 1% BSA for 20 minutes at room temperature, washed with ddH2O and PBS, and then probed with the primary antibody (HA722845) at 1/5,000 dilution for 1 hour at room temperature. The detection was performed using an HRP conjugated compact polymer system. DAB was used as the chromogen. Tissues were counterstained with hematoxylin and mounted with DPX.
Immunohistochemical analysis of paraffin-embedded human spleen tissue with Rabbit anti-CD44 antibody (HA722845) at 1/5,000 dilution.
The section was pre-treated using heat mediated antigen retrieval with Tris-EDTA buffer (pH 9.0) for 20 minutes. The tissues were blocked in 1% BSA for 20 minutes at room temperature, washed with ddH2O and PBS, and then probed with the primary antibody (HA722845) at 1/5,000 dilution for 1 hour at room temperature. The detection was performed using an HRP conjugated compact polymer system. DAB was used as the chromogen. Tissues were counterstained with hematoxylin and mounted with DPX.
Application: Immunohistochemistry (IHC-P)
Species: Human Tissue: Liver Sample: Paraffin-embedded section
Wash buffer: 1× TBST Endogenous peroxidase blocking: 3% H₂O₂, 10 minutes at room temperature. Blocking: 1% BSA + 10% normal goat serum, 10 minutes at room temperature. Primary antibody: HA722845, 1/2,000, 1 hour at room temperature. Secondary antibody: HA1119, 20 minutes at room temperature.
Immunofluorescence analysis of paraffin-embedded human skin tissue labeling CD44 with Rabbit anti-CD44 antibody (HA722845) at 1/500 dilution.
The section was pre-treated using heat mediated antigen retrieval with Tris-EDTA buffer (pH 9.0) for 20 minutes. The tissues were blocked in 10% negative goat serum for 1 hour at room temperature, washed with PBS, and then probed with the primary antibody (HA722845, green) at 1/500 dilution overnight at 4 ℃, washed with PBS. Goat Anti-Rabbit IgG H&L (iFluor™ 488, HA1121) was used as the secondary antibody at 1/1,000 dilution. Nuclei were counterstained with DAPI (blue).
Flow cytometric analysis of HeLa cells labeling CD44.
Cells were fixed and permeabilized. Then stained with the primary antibody (HA722845, 1/1,000) (red) compared with Rabbit IgG Isotype Control (green). After incubation of the primary antibody at +4℃ for an hour, the cells were stained with a iFluor™ 488 conjugate-Goat anti-Rabbit IgG Secondary antibody (HA1121) at 1/1,000 dilution for 30 minutes at +4℃. Unlabelled sample was used as a control (cells without incubation with primary antibody; black).
请注意: All products are "FOR RESEARCH USE ONLY AND ARE NOT INTENDED FOR DIAGNOSTIC OR THERAPEUTIC USE"