HeLa cell lysate, A549 cell lysate, MDA-MB-231 cell lysate, human breast cancer tissue, human colon cancer tissue, human spleen tissue, human skin tissue.
Cell adhesion molecules (CAMs) are a family of closely related, cell surface glycoproteins that are involved in cell-cell interactions and are thought to play an important role in embryogenesis and development. HCAM, also known as CD44, LHR, MDU2, MDU3, MIC4, Pgp1, HCELL, MUTCH-I or ECMR-III, is a 742 amino acid single-pass type I membrane protein that is involved in hematopoiesis, lymphocyte activation and tumor metastasis. Functioning as a receptor for hyaluronic acid (HA) and interacting with ligands such as osteopontin (OPN), HCAM mediates both cell-cell and cell-matrix interactions, thereby playing an essential role in cell adhesion and cell migration. HCAM contains one Link domain and, due to alternative splicing events, is expressed as multiple isoforms, some of which are designated CD44R, CDw44, CD44S, CD44H (hematopoietic) and CD44E (epithelial). While most of the HCAM splice varients are expressed in tissues throughout the body, one specific isoform, namely CD44H, is expressed at high levels in cancer tissue, suggesting an important role for the CD44H splice varient in tumor progression.
背景文献
1. Chen Z et al. Stem cell protein Piwil1 endowed endometrial cancer cells with stem-like properties via inducing epithelial-mesenchymal transition. BMC Cancer 15:811 (2015).
2. Collet B et al. Proteomic analysis underlines the usefulness of both primary adherent and stem-like cell lines for studying proteins involved in human glioblastoma. J Proteomics 110C:7-19 (2014).
组织特异性
Isoform 10 (epithelial isoform) is expressed by cells of epithelium and highly expressed by carcinomas. Expression is repressed in neuroblastoma cells.
翻译后修饰
Proteolytically cleaved in the extracellular matrix by specific proteinases (possibly MMPs) in several cell lines and tumors.; N-glycosylated.; O-glycosylated. O-glycosylation contains more-or-less-sulfated chondroitin sulfate glycans, whose number may affect the accessibility of specific proteinases to their cleavage site(s). It is uncertain if O-glycosylation occurs on Thr-637 or Thr-638.; Phosphorylated; activation of PKC results in the dephosphorylation of Ser-706 (constitutive phosphorylation site), and the phosphorylation of Ser-672.
Western blot analysis of CD44 on different lysates with Rabbit anti-CD44 antibody (ET1609-74) at 1/1,000 dilution.
Lane 1: HeLa cell lysate Lane 2: MCF7 cell lysate (negative) Lane 3: A549 cell lysate Lane 4: Jurkat cell lysate (negative) Lane 5: MDA-MB-231 cell lysate Lane 6: LNCaP cell lysate (negative)
Lysates/proteins at 20 µg/Lane.
Predicted band size: 82 kDa Observed band size: 82 kDa
Exposure time: 6 seconds; ECL: K1801;
4-20% SDS-PAGE gel.
Proteins were transferred to a PVDF membrane and blocked with 5% NFDM/TBST for 1 hour at room temperature. The primary antibody (ET1609-74) at 1/1,000 dilution was used in 5% NFDM/TBST at 4℃ overnight. Goat Anti-Rabbit IgG - HRP Secondary Antibody (HA1001) at 1/50,000 dilution was used for 1 hour at room temperature.
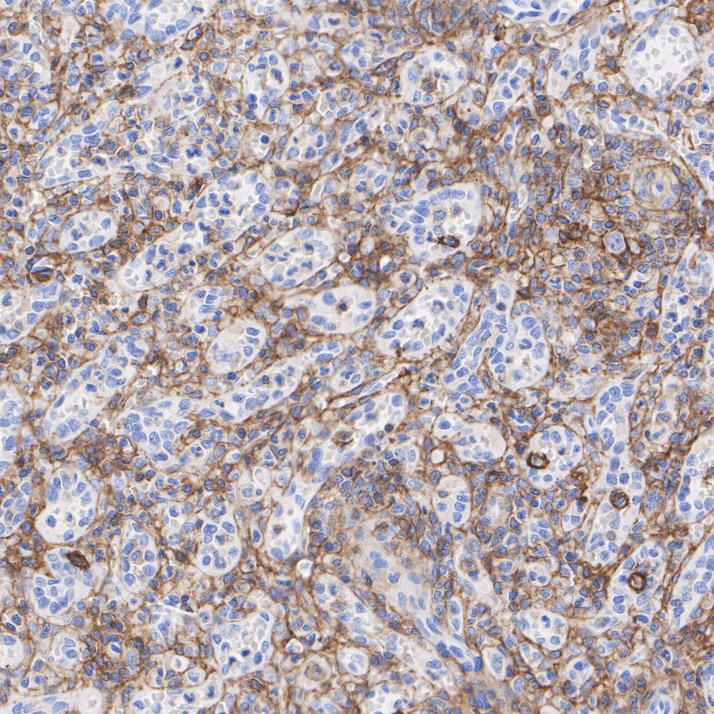
Immunohistochemical analysis of paraffin-embedded human breast cancer tissue with Rabbit anti-CD44 antibody (ET1609-74) at 1/1,000 dilution.
The section was pre-treated using heat mediated antigen retrieval with Tris-EDTA buffer (pH 9.0) for 20 minutes. The tissues were blocked in 1% BSA for 20 minutes at room temperature, washed with ddH2O and PBS, and then probed with the primary antibody (ET1609-74) at 1/1,000 dilution for 1 hour at room temperature. The detection was performed using an HRP conjugated compact polymer system. DAB was used as the chromogen. Tissues were counterstained with hematoxylin and mounted with DPX.
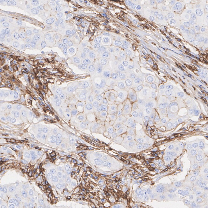
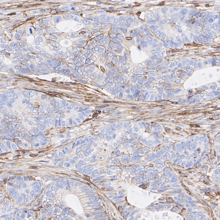
Immunohistochemical analysis of paraffin-embedded human colon cancer tissue with Rabbit anti-CD44 antibody (ET1609-74) at 1/1,000 dilution.
The section was pre-treated using heat mediated antigen retrieval with Tris-EDTA buffer (pH 9.0) for 20 minutes. The tissues were blocked in 1% BSA for 20 minutes at room temperature, washed with ddH2O and PBS, and then probed with the primary antibody (ET1609-74) at 1/1,000 dilution for 1 hour at room temperature. The detection was performed using an HRP conjugated compact polymer system. DAB was used as the chromogen. Tissues were counterstained with hematoxylin and mounted with DPX.
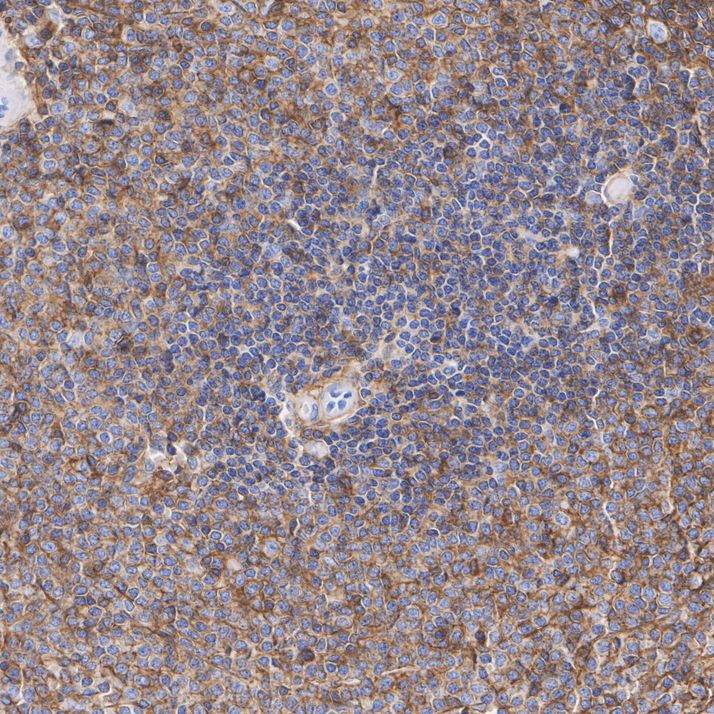
Immunohistochemical analysis of paraffin-embedded human spleen tissue with Rabbit anti-CD44 antibody (ET1609-74) at 1/1,000 dilution.
The section was pre-treated using heat mediated antigen retrieval with Tris-EDTA buffer (pH 9.0) for 20 minutes. The tissues were blocked in 1% BSA for 20 minutes at room temperature, washed with ddH2O and PBS, and then probed with the primary antibody (ET1609-74) at 1/1,000 dilution for 1 hour at room temperature. The detection was performed using an HRP conjugated compact polymer system. DAB was used as the chromogen. Tissues were counterstained with hematoxylin and mounted with DPX.
Immunohistochemical analysis of paraffin-embedded human spleen tissue with Rabbit anti-CD44 antibody (ET1609-74) at 1/1,000 dilution.
The section was pre-treated using heat mediated antigen retrieval with Tris-EDTA buffer (pH 9.0) for 20 minutes. The tissues were blocked in 1% BSA for 20 minutes at room temperature, washed with ddH2O and PBS, and then probed with the primary antibody (ET1609-74) at 1/1,000 dilution for 1 hour at room temperature. The detection was performed using an HRP conjugated compact polymer system. DAB was used as the chromogen. Tissues were counterstained with hematoxylin and mounted with DPX.
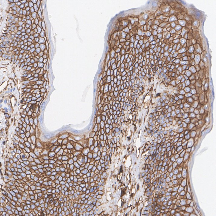
Immunohistochemical analysis of paraffin-embedded human skin tissue with Rabbit anti-CD44 antibody (ET1609-74) at 1/1,000 dilution.
The section was pre-treated using heat mediated antigen retrieval with Tris-EDTA buffer (pH 9.0) for 20 minutes. The tissues were blocked in 1% BSA for 20 minutes at room temperature, washed with ddH2O and PBS, and then probed with the primary antibody (ET1609-74) at 1/1,000 dilution for 1 hour at room temperature. The detection was performed using an HRP conjugated compact polymer system. DAB was used as the chromogen. Tissues were counterstained with hematoxylin and mounted with DPX.
Application: IF-Tissue
Species: Human
Site: spleen
Sample: Paraffin-embedded section
Antibody concentration: 1/100
请注意: All products are "FOR RESEARCH USE ONLY AND ARE NOT INTENDED FOR DIAGNOSTIC OR THERAPEUTIC USE"