Catalog# EM010805
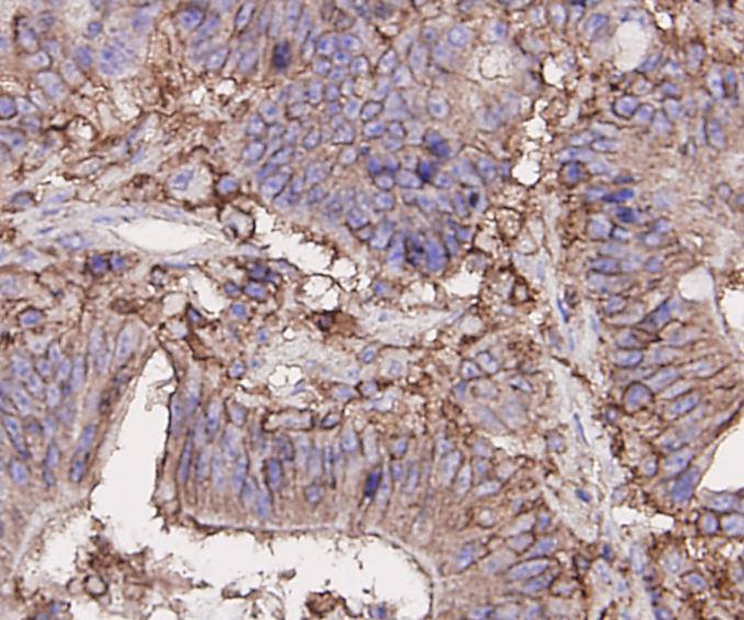
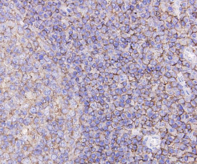
CD44 Mouse Monoclonal Antibody [A7-1]
Application
-
WB
-
IHC-P
-
FC
Reactivity
-
Human
Conjugation
-
unconjugated
This product has been cited in peer reviewed publications, see list HERE

浙公网安备 33019202000643号