RMB: 599 特惠 1500 1500
产品规格
Catalog# ET1601-4
GAPDH Recombinant Rabbit Monoclonal Antibody [SA30-01] - Loading control
-
WB
-
IF-Cell
-
IF-Tissue
-
IHC-P
-
FC
-
IP
-
Human
-
Mouse
-
Rat
-
Chicken
-
Drosophila melanogaster
-
HA750022
不含抗保成分
-
Zebrafish
-
unconjugated
概述
产品名称
GAPDH Recombinant Rabbit Monoclonal Antibody [SA30-01] - Loading control
抗体类型
Recombinant Rabbit monoclonal Antibody
免疫原
Recombinant protein within mouse GAPDH aa 94-333 / 333.
种属反应性
Human, Mouse, Rat, Chicken, Drosophila melanogaster (Predicted: Zebrafish)
验证应用
WB, IF-Cell, IF-Tissue, IHC-P, FC, IP
分子量
Predicted band size: 36 kDa
阳性对照
Rat liver tissue lysate, rat lung tissue lysate, rat heart tissue lysate, rat cerebellum tissue lysate, rat skeletal muscle tissue lysate, rat spleen tissue lysate, rat small intestine tissue lysate, hybrid fish (crucian-carp) brain tissue lysates, PC-3 cell lysate, mouse colon tissue lysate, SH-SY5Y cell lysate, NIH/3T3 cell lysate, SK-Br-3 cell lysate, rat brain tissue lysate, A549, HepG2, human liver tissue, mouse liver tissue, mouse spleen tissue, DF-1 cell lysate.
偶联
unconjugated
克隆号
SA30-01
RRID
同源性数据
产品特性
形态
Liquid
存放说明
Shipped at 4℃. Store at +4℃ short term (1-2 weeks). It is recommended to aliquot into single-use upon delivery. Store at -20℃ long term.
存储缓冲液
1*TBS (pH7.4), 0.05% BSA, 40% Glycerol. Preservative: 0.05% Sodium Azide.
亚型
IgG
纯化方式
Protein A affinity purified.
应用稀释度
-
WB
-
1:50,000-1:200,000
-
IF-Cell
-
1:1,000
-
IF-Tissue
-
1:200-1:500
-
IHC-P
-
1:1,000
-
FC
-
1:1,000
-
IP
-
1-2μg/sample
靶点
功能
Has both glyceraldehyde-3-phosphate dehydrogenase and nitrosylase activities, thereby playing a role in glycolysis and nuclear functions, respectively. Participates in nuclear events including transcription, RNA transport, DNA replication and apoptosis. Nuclear functions are probably due to the nitrosylase activity that mediates cysteine S-nitrosylation of nuclear target proteins such as SIRT1, HDAC2 and PRKDC. Modulates the organization and assembly of the cytoskeleton. Facilitates the CHP1-dependent microtubule and membrane associations through its ability to stimulate the binding of CHP1 to microtubules. Glyceraldehyde-3-phosphate dehydrogenase is a key enzyme in glycolysis that catalyzes the first step of the pathway by converting D-glyceraldehyde 3-phosphate (G3P) into 3-phospho-D-glyceroyl phosphate. Component of the GAIT (gamma interferon-activated inhibitor of translation) complex which mediates interferon-gamma-induced transcript-selective translation inhibition in inflammation processes. Upon interferon-gamma treatment assembles into the GAIT complex which binds to stem loop-containing GAIT elements in the 3'-UTR of diverse inflammatory mRNAs (such as ceruplasmin) and suppresses their translation.
背景文献
1. "High-resolution structure of human D-glyceraldehyde-3-phosphate dehydrogenase."Jenkins J.L., Tanner J.J.Acta Crystallogr. D 62:290-301(2006)
2. "Structural analysis of human liver glyceraldehyde-3-phosphate dehydrogenase."Ismail S.A., Park H.W.Acta Crystallogr. D 61:1508-1513(2005)
序列相似性
Belongs to the glyceraldehyde-3-phosphate dehydrogenase family.
翻译后修饰
S-nitrosylation of Cys-152 leads to interaction with SIAH1, followed by translocation to the nucleus (By similarity). S-nitrosylation of Cys-247 is induced by interferon-gamma and LDL(ox) implicating the iNOS-S100A8/9 transnitrosylase complex and seems to prevent interaction with phosphorylated RPL13A and to interfere with GAIT complex activity.; ISGylated.; Sulfhydration at Cys-152 increases catalytic activity.; Oxidative stress can promote the formation of high molecular weight disulfide-linked GAPDH aggregates, through a process called nucleocytoplasmic coagulation. Such aggregates can be observed in vivo in the affected tissues of patients with Alzheimer disease or alcoholic liver cirrhosis, or in cell cultures during necrosis. Oxidation at Met-46 may play a pivotal role in the formation of these insoluble structures. This modification has been detected in vitro following treatment with free radical donor (+/-)-(E)-4-ethyl-2-[(E)-hydroxyimino]-5-nitro-3-hexenamide. It has been proposed to destabilize nearby residues, increasing the likelihood of secondary oxidative damages, including oxidation of Tyr-45 and Met-105. This cascade of oxidations may augment GAPDH misfolding, leading to intermolecular disulfide cross-linking and aggregation.; Succination of Cys-152 and Cys-247 by the Krebs cycle intermediate fumarate, which leads to S-(2-succinyl)cysteine residues, inhibits glyceraldehyde-3-phosphate dehydrogenase activity. Fumarate concentration as well as succination of cysteine residues in GAPDH is significantly increased in muscle of diabetic mammals. It was proposed that the S-(2-succinyl)cysteine chemical modification may be a useful biomarker of mitochondrial and oxidative stress in diabetes and that succination of GAPDH and other thiol proteins by fumarate may contribute to the metabolic changes underlying the development of diabetes complications.
亚细胞定位
Cytoplasm, cytosol, Nucleus perinuclear region, Membrane, cytoskeleton.
别名
38 kDa BFA-dependent ADP-ribosylation substrate antibody
aging associated gene 9 protein antibody
Aging-associated gene 9 protein antibody
BARS-38 antibody
cb609 antibody
EC 1.2.1.12 antibody
Epididymis secretory sperm binding protein Li 162eP antibody
G3P_HUMAN antibody
G3PD antibody
G3PDH antibody
展开38 kDa BFA-dependent ADP-ribosylation substrate antibody
aging associated gene 9 protein antibody
Aging-associated gene 9 protein antibody
BARS-38 antibody
cb609 antibody
EC 1.2.1.12 antibody
Epididymis secretory sperm binding protein Li 162eP antibody
G3P_HUMAN antibody
G3PD antibody
G3PDH antibody
GAPD antibody
GAPDH antibody
Glyceraldehyde 3 phosphate dehydrogenase antibody
Glyceraldehyde-3-phosphate dehydrogenase antibody
HEL-S-162eP antibody
KNC-NDS6 antibody
MGC102544 antibody
MGC102546 antibody
MGC103190 antibody
MGC103191 antibody
MGC105239 antibody
MGC127711 antibody
MGC88685 antibody
OCAS, p38 component antibody
OCT1 coactivator in S phase, 38-KD component antibody
peptidyl cysteine S nitrosylase GAPDH antibody
Peptidyl-cysteine S-nitrosylase GAPDH antibody
wu:fb33a10 antibody
折叠图片
-
Western blot analysis of GAPDH on Hela cell lysates with Rabbit anti-GAPDH antibody (ET1601-4).
Hela cell lysates at 10 µg/Lane.
Predicted band size: 36 kDa
Observed band size: 36 kDa
12% SDS-PAGE gel.
Proteins were transferred to a PVDF membrane and blocked with 5% NFDM/TBST for 1 hour at room temperature. The primary antibody (ET1601-4) at serial dilution was used in 5% NFDM/TBST at room temperature for 2 hours. Goat Anti-Rabbit IgG - HRP Secondary Antibody (HA1001) at 1:300,000 dilution was used for 1 hour at room temperature. -
Western blot analysis of GAPDH on different lysates. Proteins were transferred to a PVDF membrane and blocked with 5% NFDM/TBST for 1 hour at room temperature. The primary antibody (ET1601-4, 1/100,000) was used in 5% NFDM/TBST at room temperature for 1 hour. Goat Anti-Rabbit IgG - HRP Secondary Antibody (HA1001) at 1/200,000 dilution was used for 45 mins at room temperature.
Positive control:
Lane 1: Rat liver tissue lysate, 20 µg/Lane
Lane 2: Rat lung tissue lysate, 20 µg/Lane
Lane 3: Rat lung tissue lysate, 20 µg/Lane
Lane 4: Rat heart tissue lysate, 20 µg/Lane
Lane 5: Rat cerebellum tissue lysate, 20 µg/Lane
Lane 6: Rat skeletal muscle tissue lysate, 20 µg/Lane
Lane 7: Rat spleen tissue lysate, 20 µg/Lane
Lane 8: Rat small intestine tissue lysate, 20 µg/Lane -
Western blot analysis of GAPDH on different lysates with Rabbit anti-GAPDH antibody (ET1601-4) at 1/80,000 dilution.
Cell lysates at 10 µg/Lane.
Predicted band size: 36 kDa
Observed band size: 36 kDa
Exposure time: 1 minute;
12% SDS-PAGE gel.
Proteins were transferred to a PVDF membrane and blocked with 5% NFDM/TBST for 1 hour at room temperature. The primary antibody (ET1601-4) at 1/80,000 dilution was used in 5% NFDM/TBST at room temperature for 2 hours. Goat Anti-Rabbit IgG - HRP Secondary Antibody (HA1001) at 1:300,000 dilution was used for 1 hour at room temperature. -
Western blot analysis of GAPDH on DF-1 cell lysates with Rabbit anti-GAPDH antibody (ET1601-4) at 1/100,000 dilution.
Cell lysates at 15 µg/Lane.
Predicted band size: 36 kDa
Observed band size: 36 kDa
Exposure time: 1 second;
4-20% SDS-PAGE gel.
Proteins were transferred to a PVDF membrane and blocked with 5% NFDM/TBST for 2 hour at room temperature. The primary antibody (ET1601-4) at 1/100,000 dilution was used in 5% NFDM/TBST at 4 ℃ overnight. Goat Anti-Rabbit IgG - HRP Secondary Antibody at 1/50,000 dilution was used for 2 hour at room temperature. -
Western blot analysis of GAPDH on zebrafish tissue lysates with Rabbit anti-GAPDH antibody (ET1601-4) at 1/50,000 dilution.
Lysates/proteins at 40 µg/Lane.
Predicted band size: 36 kDa
Observed band size: 36 kDa
Exposure time: 14 seconds;
4-20% SDS-PAGE gel.
Proteins were transferred to a PVDF membrane and blocked with 5% NFDM/TBST for 1 hour at room temperature. The primary antibody (ET1601-4) at 1/50,000 dilution was used in 5% NFDM/TBST at 4℃ overnight. Goat Anti-Rabbit IgG - HRP Secondary Antibody (HA1001) at 1/50,000 dilution was used for 1 hour at room temperature. -
Western blot analysis of GAPDH on fruit flies tissue lysates with Rabbit anti-GAPDH antibody (ET1601-4) at 1/100,000 dilution.
Lysates/proteins at 8 µg/Lane.
Predicted band size: 36 kDa
Observed band size: 36 kDa
Exposure time: 20 seconds; ECL: K1801;
4-20% SDS-PAGE gel.
Proteins were transferred to a PVDF membrane and blocked with 5% NFDM/TBST for 1 hour at room temperature. The primary antibody (ET1601-4) at 1/100,000 dilution was used in 5% NFDM/TBST at 4℃ overnight. Goat Anti-Rabbit IgG - HRP Secondary Antibody (HA1001) at 1/50,000 dilution was used for 1 hour at room temperature. -
Immunohistochemical analysis of paraffin-embedded human liver tissue with Rabbit anti-GAPDH antibody (ET1601-4) at 1/1,000 dilution.
The section was pre-treated using heat mediated antigen retrieval with sodium citrate buffer (pH 6.0) (high pressure) for 2 minutes. The tissues were blocked in 1% BSA for 20 minutes at room temperature, washed with ddH2O and PBS, and then probed with the primary antibody (ET1601-4) at 1/1,000 dilution for 1 hour at room temperature. The detection was performed using an HRP conjugated compact polymer system. DAB was used as the chromogen. Tissues were counterstained with hematoxylin and mounted with DPX. -
Immunohistochemical analysis of paraffin-embedded mouse liver tissue with Rabbit anti-GAPDH antibody (ET1601-4) at 1/5,000 dilution.
The section was pre-treated using heat mediated antigen retrieval with Tris-EDTA buffer (pH 9.0) for 20 minutes. The tissues were blocked in 1% BSA for 20 minutes at room temperature, washed with ddH2O and PBS, and then probed with the primary antibody (ET1601-4) at 1/5,000 dilution for 1 hour at room temperature. The detection was performed using an HRP conjugated compact polymer system. DAB was used as the chromogen. Tissues were counterstained with hematoxylin and mounted with DPX. -
Immunohistochemical analysis of paraffin-embedded rat liver tissue with Rabbit anti-GAPDH antibody (ET1601-4) at 1/5,000 dilution.
The section was pre-treated using heat mediated antigen retrieval with Tris-EDTA buffer (pH 9.0) for 20 minutes. The tissues were blocked in 1% BSA for 20 minutes at room temperature, washed with ddH2O and PBS, and then probed with the primary antibody (ET1601-4) at 1/5,000 dilution for 1 hour at room temperature. The detection was performed using an HRP conjugated compact polymer system. DAB was used as the chromogen. Tissues were counterstained with hematoxylin and mounted with DPX. -
Immunocytochemistry analysis of HeLa cells labeling GAPDH with Rabbit anti-GAPDH antibody (ET1601-4) at 1/1,000 dilution.
Cells were fixed in 4% paraformaldehyde for 20 minutes at room temperature, permeabilized with 0.1% Triton X-100 in PBS for 5 minutes at room temperature, then blocked with 1% BSA in 10% negative goat serum for 1 hour at room temperature. Cells were then incubated with Rabbit anti-GAPDH antibody (ET1601-4) at 1/1,000 dilution in 1% BSA in PBST overnight at 4 ℃. Goat Anti-Rabbit IgG H&L (iFluor™ 488, HA1121) was used as the secondary antibody at 1/1,000 dilution. PBS instead of the primary antibody was used as the secondary antibody only control. Nuclear DNA was labelled in blue with DAPI.
Beta tubulin (M1305-2, red) was stained at 1/100 dilution overnight at +4℃. Goat Anti-Mouse IgG H&L (iFluor™ 594, HA1126) was used as the secondary antibody at 1/1,000 dilution. -
Immunocytochemistry analysis of NIH/3T3 cells labeling GAPDH with Rabbit anti-GAPDH antibody (ET1601-4) at 1/2,500 dilution.
Cells were fixed in 4% paraformaldehyde for 20 minutes at room temperature, permeabilized with 0.1% Triton X-100 in PBS for 5 minutes at room temperature, then blocked with 1% BSA in 10% negative goat serum for 1 hour at room temperature. Cells were then incubated with Rabbit anti-GAPDH antibody (ET1601-4) at 1/2,500 dilution in 1% BSA in PBST overnight at 4 ℃. Goat Anti-Rabbit IgG H&L (iFluor™ 488, HA1121) was used as the secondary antibody at 1/1,000 dilution. PBS instead of the primary antibody was used as the secondary antibody only control. Nuclear DNA was labelled in blue with DAPI.
Beta tubulin (M1305-2, red) was stained at 1/100 dilution overnight at +4℃. Goat Anti-Mouse IgG H&L (iFluor™ 594, HA1126) was used as the secondary antibody at 1/1,000 dilution. -
Flow cytometric analysis of HeLa cells labeling GAPDH.
Cells were fixed and permeabilized. Then stained with the primary antibody (ET1601-4, 1μg/mL) (red) compared with Rabbit IgG Isotype Control (green). After incubation of the primary antibody at +4℃ for an hour, the cells were stained with a iFluor™ 488 conjugate-Goat anti-Rabbit IgG Secondary antibody (HA1121) at 1/1,000 dilution for 30 minutes at +4℃. Unlabelled sample was used as a control (cells without incubation with primary antibody; black). -
GAPDH was immunoprecipitated from 0.2 mg A549 cell lysate with ET1601-4 at 2 µg/10 µl beads. Western blot was performed from the immunoprecipitate using ET1601-4 at 1/20,000 dilution. HRP Conjugated Anti-Rabbit IgG for IP Nano-secondary antibody at 1/5,000 dilution was used for 1 hour at room temperature.
Lane 1: A549 cell lysate (input)
Lane 2: ET1601-4 IP in A549 cell lysate
Lane 3: Rabbit IgG instead of ET1601-4 in A549 cell lysate
Blocking/Dilution buffer: 5% NFDM/TBST
Exposure time: 7 seconds; ECL: K1801
请注意: All products are "FOR RESEARCH USE ONLY AND ARE NOT INTENDED FOR DIAGNOSTIC OR THERAPEUTIC USE"
引文
-
Collagen peptides derived from sea bass scales (Lateolabrax maculatus) relieve photoaging through MAPK, NF-κB and TGF-β signaling pathways and modulating gut microbiota composition
期刊: Food Research International
DOI: 10.1016/j.foodres.2025.117521
IF: 8
应用: WB
反应种属: Mouse
发表时间: 2025 Sept
-
Unveiling PoPFP: A short-chain pentraxin involving antibacterial immunity in marine teleost
期刊: INTERNATIONAL JOURNAL OF BIOLOGICAL MACROMOLECULES
DOI: 10.1016/j.ijbiomac.2025.147703
IF: 8.5
应用: WB
反应种属: Paralichthys olivaceus
发表时间: 2025 Sept
-
Crocin facilitates peripheral nerve regeneration through modulation of the STAT3/Bcl-2/Beclin-1 signaling axis-mediated autophagic pathway
期刊: International Immunopharmacology
DOI: 10.1016/j.intimp.2025.115437
IF: 4.7
应用: WB
反应种属: Rat
发表时间: 2025 Sept
-
The Effects and Mechanisms of Patchouli Alcohol on Experimental Periodontitis Rats Based on the OPG/RANK/RANKL/P38 MAPK Signaling Pathway
期刊: Journal Of Inflammation Research
DOI: 10.2147/JIR.S530534
IF: 4.1
应用: WB
反应种属: Rat
发表时间: 2025 Sept
-
Local abaloparatide administration promotes in situ alveolar bone augmentation via FAK-mediated periosteal osteogenesis
期刊: International Journal Of Oral Science
DOI: 10.1038/s41368-025-00392-6
IF: 12.2
应用: WB
反应种属: Rat
发表时间: 2025 Sept
-
Phosvitin Alleviates Dextran Sulfate Sodium-Induced Colitis in Mice via Gut Microbiota Modulation
期刊: Journal Of Agricultural And Food Chemistry
DOI: 10.1021/acs.jafc.5c09135
IF: 6.2
应用: WB
反应种属: Mouse
发表时间: 2025 Sept
-
Wubi Shanyao pills ameliorate diet-induced postmenopausal osteoporosis in mice by enhancing calcium absorption
期刊: Frontiers In Pharmacology
DOI: 10.3389/fphar.2025.1660284
IF: 4.8
应用: WB
反应种属: Mouse
发表时间: 2025 Oct
-
The protective role of adiponectin in acute aortic dissection through regulating the Calcineurin-NFAT/miR-133a signaling pathway: electrochemical sensor protein detection
期刊: Microchemical Journal
DOI: 10.1016/j.microc.2025.115736
IF: 5.1
应用: WB
反应种属: Mouse
发表时间: 2025 Oct
-
Molecular Dynamics of Immortalized Chicken Fibroblasts from Adherent Cultivation to Carrier-Free Suspension Culture
期刊: Food Bioscience
DOI: 10.1016/j.fbio.2025.107716
IF: 5.9
应用: WB
反应种属: Chicken
发表时间: 2025 Oct
-
Modulating phosphodiesterase-5 activity to suppress the immunosuppressive mechanisms of myeloid-derived suppressor cells in breast cancer
期刊: Breast Cancer Research
DOI: 10.1186/s13058-025-02131-5
IF: 5.6
应用: WB
反应种属: Mouse
发表时间: 2025 Oct
-
The Nano-system Combines Mitochondrial Damage with Microtubule Stabilization for Cancer Metastasis Suppression
期刊: Journal Of Materials Chemistry B
DOI: 10.1039/D5TB01515D
IF: 5.7
应用: WB
反应种属: Mouse,Cricetulus griseus
发表时间: 2025 Oct
-
Plectin promotes bone formation via phase separation and sequestering annexin A2
期刊: Biochemical Pharmacology
DOI: 10.1016/j.bcp.2025.117403
IF: 5.6
应用: WB
反应种属: Mouse
发表时间: 2025 Oct
-
CYSTM1 is a potential diagnostic and prognostic biomarker and correlated with immune infiltrates in hepatocellular carcinoma
期刊: Journal of Gastrointestinal Oncology
DOI: 10.21037/jgo-2025-353
IF: 2
应用: WB
反应种属: Human
发表时间: 2025 Oct
-
Tailored brain metastatic tumor cells-derived apoptotic bodies ameliorate Alzheimer’s disease by promoting microglia efferocytosis and neuroinflammation mitigation
期刊: Journal Of Nanobiotechnology
DOI: 10.1186/s12951-025-03750-y
IF: 12.6
应用: WB
反应种属: Mouse
发表时间: 2025 Oct
-
Silicified strontium-curcumin chelated nanospheres mitigate inflammatory vicious cycles to accelerate diabetic wound healing
期刊: Materials Today Bio
DOI: 10.1016/j.mtbio.2025.102407
IF: 10.2
应用: WB
反应种属: Mouse
发表时间: 2025 Oct
-
Brain abundant membrane attached signal protein 1 regulates macrophage polarization through EGFR/PI3K/AKT signaling in renal cell carcinoma
期刊: International Journal Of Biological Macromolecules
DOI: 10.1016/j.ijbiomac.2025.148268
IF: 8.5
应用: WB
反应种属: Mouse
发表时间: 2025 Oct
-
Study on the unique effects of Wubi Shanyao Pills in improving postmenopausal osteoporosis via the “gut-bone” axis
期刊: Phytomedicine
DOI: 10.1016/j.phymed.2025.157447
IF: 8.3
应用: WB
反应种属: Mouse
发表时间: 2025 Oct
-
Deciphering macrophage heterogeneity and factors driving M2 polarization in lung adenocarcinoma through single-cell RNA sequencing
期刊: Apoptosis
DOI: 10.1007/s10495-025-02172-3
IF: 8.1
应用: WB
反应种属: Human
发表时间: 2025 Oct
-
Injectable proangiogenic hydrogel promotes burn wound healing
期刊: Materials & Design
DOI: 10.1016/j.matdes.2025.114947
IF: 7.9
应用: WB
反应种属: Mouse
发表时间: 2025 Oct
-
Microglial Nr4a1 deficiency and neuronal C3 deposition mediate TMJ inflammation-induced hippocampal excessive synaptic pruning and depression-like behaviors in mice
期刊: Brain, Behavior, And Immunity
DOI: 10.1016/j.bbi.2025.106128
IF: 7.6
应用: WB
反应种属: Mouse
发表时间: 2025 Oct
-
Chamazulene Induces Metabolic Reprogramming and Mitigates Inflammation in Photoaged Skin: PPARα/γ as Potential Regulators
期刊: Antioxidants
DOI: 10.3390/antiox14111320
IF: 6.6
应用: WB
反应种属: Mouse
发表时间: 2025 Oct
-
Nicotinamide mononucleotide rescues Di-n-butyl phthalate induced blood-brain barrier damage via NAD+/Sirt1/FOXO1a pathway activation
期刊: Ecotoxicology And Environmental Safety
DOI: 10.1016/j.ecoenv.2025.119290
IF: 6.1
应用: WB
反应种属: Mouse,Human
发表时间: 2025 Oct
-
G protein-coupled Estrogen Receptor Activation Exerts Protective Effects via Modulating Brain and Gut NLRP3 Inflammasome in Parkinson’s Disease
期刊: Experimental Neurobiology
DOI: 10.5607/en25022
IF: 2.1
应用: WB
反应种属: Mouse
发表时间: 2025 Oct
-
Exosomes miR-369-3p Alleviates Early Brain Injury After Subarachnoid Hemorrhage by Promoting Ferroptosis of M1 Microglia via Inhibiting iNOS/GPX4 Axis
期刊: Brain and Behavior
DOI: 10.1002/brb3.70966
IF: 2.7
应用: WB
反应种属: Mouse
发表时间: 2025 Oct
-
LRP11 as a potential predictor of poor prognosis and immune suppression in lung adenocarcinoma
期刊: Discover Oncology
DOI: 10.1007/s12672-025-03821-4
IF: 2.9
应用: WB
反应种属: Human
发表时间: 2025 Oct
-
Indocyanine Green-Labeled Antibody-NOTCH2 as a New Fluorescent Molecular Imaging Probe for Gastric Cancer
期刊: Bioconjugate Chemistry
DOI: 10.1021/acs.bioconjchem.5c00465
IF: 3.9
应用: WB
反应种属: Human
发表时间: 2025 Oct
-
Holistic modulation of TLR4, MAPK, and apoptosis signalings and gut microbiota by Sihuangzhili granule: a herbal strategy against avian colibacillosis
期刊: Poultry Science
DOI: 10.1016/j.psj.2025.106032
IF: 4.2
应用: WB
反应种属: Chicken
发表时间: 2025 Oct
-
Dual metabolic targeting liposomes potentiate triple-negative breast cancer radiosensitivity via glucose and glutathione starvation
期刊: Nanomedicine: Nanotechnology, Biology and Medicine
DOI: 10.1016/j.nano.2025.102870
IF: 4.6
应用: WB
反应种属: Mouse
发表时间: 2025 Oct
-
Urolithin A promotes peripheral nerve regeneration via TFEB-mediated mitophagy and NLRP3 inflammasome suppression
期刊: International Immunopharmacology
DOI: 10.1016/j.intimp.2025.115723
IF: 4.7
应用: WB
反应种属: Rat
发表时间: 2025 Oct
-
Deubiquitinating Enzyme UCHL1 Modulates FHL2 to Block Ferroptosis and Counteract CD8+ T Cell Anti-Tumour Immunity in Lung Adenocarcinoma
期刊: Immunology
DOI: 10.1111/imm.70057
IF: 5
应用: WB
反应种属: Human
发表时间: 2025 Oct
-
Cationic Nanoparticle Targets cGAS-STING Axis to Drive Functional Orofacial Muscle Regeneration
期刊: Biomaterials
DOI: 10.1016/j.biomaterials.2025.123831
IF: 12.9
应用: WB
反应种属: Mouse
发表时间: 2025 Nov
-
Comprehensive Bioinformatics and Functional Analysis Identified MCM5 Facilitates Glioblastoma Progression Through Cell Cycle Regulation
期刊: Biochemical Genetics
DOI: 10.1007/s10528-025-11295-w
IF: 1.6
应用: WB
反应种属: Human
发表时间: 2025 Nov
-
Gastrodin produces therapeutic effects against preeclampsia by activating Wnt 3a signaling and inhibiting ferroptosis
期刊: Experimental Cell Research
DOI: 10.1016/j.yexcr.2025.114827
IF: 3.5
应用: WB
反应种属: Human
发表时间: 2025 Nov
-
A novel sulfonamide derivative suppresses gastrointestinal cancer progression by targeting Axin2 and β-catenin
期刊: Scientific Reports
DOI: 10.1038/s41598-025-25904-6
IF: 3.9
应用: WB
反应种属: Human
发表时间: 2025 Nov
-
Biphasic Regulation of TLR7/MyD88/IRF7-IFN-β Axis by Toxoplasma gondii Facilitates Immune Evasion
期刊: FASEB Journal
DOI: 10.1096/fj.202501808RR
IF: 4.2
应用: WB
反应种属: Mouse
发表时间: 2025 Nov
-
PICK1 modulates the proliferation and migration of gastric cancer cells by regulating TLR4
期刊: Journal of Zhejiang University-SCIENCE B
DOI: 10.1631/jzus.B2400167
IF: 4.9
应用: WB
反应种属: Human
发表时间: 2025 Nov
-
1,2,3-Triazole-modified sorafenib derivatives induce DNA damage, apoptosis, and PI3K/AKT pathway suppression in hepatocellular carcinoma: Design, synthesis, and evaluation
期刊: Bioorganic Chemistry
DOI: 10.1016/j.bioorg.2025.109210
IF: 4.7
应用: WB
反应种属: Human
发表时间: 2025 Nov
-
AATF alleviates cerebral ischemia-reperfusion injury by suppressing endoplasmic reticulum stress-induced ferroptosis through upregulating the PI3K/Akt pathway
期刊: Neurological Research
DOI: 10.1080/01616412.2025.2564226
IF: 1.5
应用: WB
反应种属: Rat
发表时间: 2025 Nov
-
Trimetazidine alleviates heart failure after myocardial infarction by promoting PINK1/parkin-mediated mitophagy and suppressing GPX4-dependent ferroptosis
期刊: European Journal Of Pharmacology
DOI: 10.1016/j.ejphar.2025.178376
IF: 4.7
应用: WB
反应种属: Mouse
发表时间: 2025 Nov
-
Integrated Transcriptomic and Metabolomic Analysis Reveals VASH1 Influences Pork Quality by Regulating Skeletal Muscle Glycolysis
期刊: Foods
DOI: 10.3390/foods14223840
IF: 5.1
应用: WB
反应种属: Pig
发表时间: 2025 Nov
-
Olfactory ensheathing cells exosomes enhance neurological recovery in brain-injured rats by modulating Nrf2-ferroptosis pathway
期刊: Bioengineering & Translational Medicine
DOI: 10.1002/btm2.70097
IF: 5.7
应用: WB
反应种属: Rat
发表时间: 2025 Nov
-
CD94/NKG2A-Qa-1b axis as a key modulator of vaccine responsiveness in aging populations
期刊: Cell Reports
DOI: 10.1016/j.celrep.2025.116514
IF: 6.9
应用: WB
反应种属: Mouse
发表时间: 2025 Nov
-
Ginsenoside F2-modified liposomes delivering FTY720 enhance glioblastoma targeting and antitumor activity via ferroptosis
期刊: Phytomedicine
DOI: 10.1016/j.phymed.2025.156917
IF: 6.7
应用: WB
反应种属: Mouse,Human
发表时间: 2025 May
-
Iodine-131 induces ferroptosis and synergizes with sulfasalazine in differentiated thyroid cancer cells via suppressing SLC7A11
期刊: Frontiers In Oncology
DOI: 10.3389/fonc.2025.1580828
IF: 3.5
应用: WB
反应种属: Human
发表时间: 2025 May
-
Evaluation of anti-leukemic activity and underlying mechanisms of the novel GSPT1 degrader AB138 in acute myeloid leukemia
期刊: Investigational New Drugs
DOI: 10.1007/s10637-025-01541-8
IF: 3
应用: WB
反应种属: Human
发表时间: 2025 May
-
HBV core protein enhances WDR46 stabilization to upregulate NUSAP1 and promote HCC progression
期刊: Hepatology Communications
DOI: 10.1097/HC9.0000000000000680
IF: 5.6
应用: WB
反应种属: Human
发表时间: 2025 May
-
Highly Soluble Mussel Foot Protein Enhances Antioxidant Defense and Cytoprotection via PI3K/Akt and Nrf2/HO-1 Pathways
期刊: Antioxidants
DOI: 10.3390/antiox14060644
IF: 6
应用: WB
反应种属: Mouse
发表时间: 2025 May
-
Piezo1 activation protects against sepsis-induced myocardial dysfunction in a pilot study
期刊: Scientific Reports
DOI: 10.1038/s41598-025-00829-2
IF: 3.8
应用: WB
反应种属: Mouse
发表时间: 2025 May
-
IL-6-induced long noncoding RNA MIR3142HG promotes tumorigenesis by interacting with thioredoxin-1 and STAT3 in human colorectal cancer
期刊: Cellular & Molecular Biology Letters
DOI: 10.1186/s11658-025-00742-6
IF: 9.2
应用: WB
反应种属: Human
发表时间: 2025 May
-
Discovery of Selective HDAC6 Inhibitors Driven by Artificial Intelligence and Molecular Dynamics Simulation Approaches
期刊: Journal Of Pharmaceutical Analysis
DOI: 10.1016/j.jpha.2025.101338
IF: 6.1
应用: WB
反应种属: Human
发表时间: 2025 May
-
Swietenine improved the progression of diabetic nephropathy through inhibiting ferroptosis via activating Akt/GSK-3β/Nrf2 signaling pathway
期刊: Journal Of Ethnopharmacology
DOI: 10.1016/j.jep.2025.119981
IF: 4.8
应用: WB
反应种属: Rat,Mouse
发表时间: 2025 May
-
Anticonvulsant effect of Stachydrine on pentylenetetrazole-induced kindling seizure mouse model via Notch and NMDAR signaling pathways
期刊: Journal Of Ethnopharmacology
DOI: 10.1016/j.jep.2025.119975
IF: 4.8
应用: WB
反应种属: Mouse
发表时间: 2025 May
-
Glycyrrhiza glabra Extract as a Skin-whitening Agent: Identification of Active Components and CRTC1/MITF Pathway-Inhibition Mechanism
期刊: Journal Of Ethnopharmacology
DOI: 10.1016/j.jep.2025.119948
IF: 4.8
应用: WB
反应种属: Mouse
发表时间: 2025 May
-
RBX1 mitigates ferroptosis by inhibiting NCOA4-mediated ferritinophagy and contributes to the attenuation of intervertebral disc degeneration
期刊: Journal Of Translational Medicine
DOI: 10.1186/s12967-025-06412-7
IF: 6.1
应用: WB
反应种属: Human
发表时间: 2025 May
-
Lactobacillus brevis YNH inhibits proliferation of HeLa cells and promotes their apoptosis by modulating the PI3K/AKT pathway
期刊: Contemporary Oncology
DOI: 10.5114/wo.2025.148642
IF: 2.9
应用: WB
反应种属: Human
发表时间: 2025 Mar
-
Mitigating Doxorubicin-Induced Cardiotoxicity and Enhancing Anti-Tumor Efficacy with a Metformin-Integrated Self-Assembled Nanomedicine
期刊: Advanced Science
DOI: 10.1002/advs.202415227
IF: 14.1
应用: WB
反应种属: Mouse
发表时间: 2025 Mar
-
Gut-Brain Axis-Based Polygala Tenuifolia and Magnolia Officinalis Improve D-gal-Induced Cognitive Impairment in Mice Through cAMP and NF-κB Signaling Pathways
期刊: Drug Design Development and Therapy
DOI: 10.2147/DDDT.S506545
IF: 5.1
应用: WB
反应种属: Mouse
发表时间: 2025 Mar
-
Lactobacillus brevis YNH inhibits proliferation of HeLa cells and promotes their apoptosis by modulating the PI3K/AKT pathway
期刊: Wspolczesna Onkologia-Contemporary Oncology
DOI: 10.5114/wo.2025.148642
IF: 1.3
应用: WB
反应种属: Human
发表时间: 2025 Mar
-
Chemokine CXCL14 Inhibits the Survival of Mycobacterium smegmatis inside Macrophages by Upregulating A20 to Promote ROS Production
期刊: ACS Infectious Diseases
DOI: 10.1021/acsinfecdis.4c00856
IF: 3.8
应用: WB
反应种属: Mouse
发表时间: 2025 Mar
-
Transcription Activator FgDDT Interacts With FgISW1 to Regulate Fungal Development and Pathogenicity in the Global Pathogen Fusarium graminearum
期刊: MOLECULAR PLANT PATHOLOGY
DOI: 10.1111/mpp.70076
IF: 4.9
应用: CoIP
反应种属: PH-1 strain
发表时间: 2025 Mar
-
Gut microbiota-derived UDCA enhanced by metformin inhibits FXR to activate autophagy against MCD diet-induced NAFLD in mice
期刊: International Immunopharmacology
DOI: 10.1016/j.intimp.2025.114471
IF: 4.8
应用: WB
反应种属: Mouse
发表时间: 2025 Mar
-
Interleukin-35 inhibits NETs to ameliorate Th17/Treg immune imbalance during the exacerbation of cigarette smoke exposed-asthma via gp130/STAT3/ferroptosis axis
期刊: Redox Biology
DOI: 10.1016/j.redox.2025.103594
IF: 10.7
应用: WB
反应种属: Mouse,Human
发表时间: 2025 Mar
-
Klotho senses mechanical stimuli and modulates tension-induced osteogenesis
期刊: Bone
DOI: 10.1016/j.bone.2025.117464
IF: 3.5
应用: WB
反应种属: Human
发表时间: 2025 Mar
-
c-Kit+ cells that intercalate with crypt Lgr5+ cells are distinctively multipotent in colonic epithelium renewal and repair
期刊: Cell Death & Differentiation
DOI: 10.1038/s41418-025-01471-1
IF: 13.7
应用: WB
反应种属: Mouse
发表时间: 2025 Mar
-
Developing and validating a prognostic disulfidptosis-related signature for glioblastoma: predicting radioresistance and synergestic effect with immunotherapy
期刊: Journal Of Cancer Research And Clinical Oncology
DOI: 10.1007/s00432-025-06159-0
IF: 2.7
应用: WB
反应种属: Human
发表时间: 2025 Mar
-
Implant derived high local concentration of magnesium inhibits tumorigenicity of osteosarcoma
期刊: Biomaterials
DOI: 10.1016/j.biomaterials.2025.123263
IF: 12.8
应用: WB
反应种属: Rat
发表时间: 2025 Mar
-
Chronic sleep deprivation promotes experimental autoimmune uveitis through STAT1 phosphorylation, ISG15 expression and enhanced pathogenicity of macrophages
期刊: International Immunopharmacology
DOI: 10.1016/j.intimp.2025.114556
IF: 4.8
应用: WB
反应种属: Mouse
发表时间: 2025 Mar
-
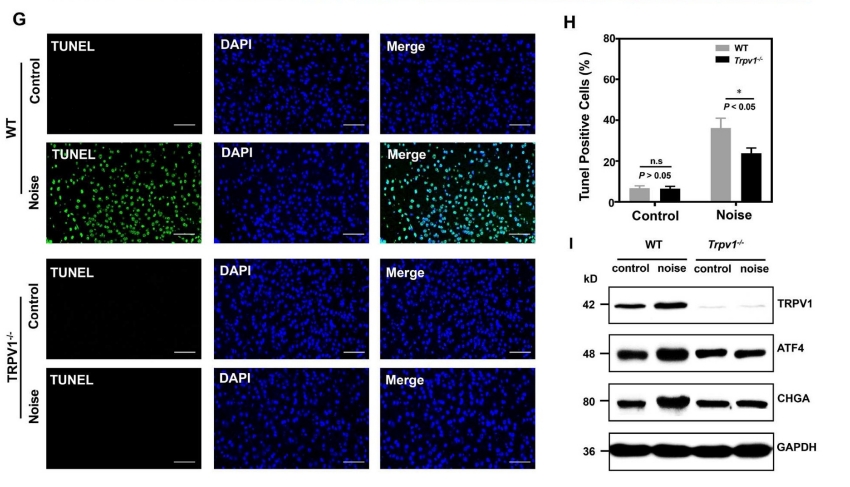
Transient receptor potential vanilloid-1 (TRPV1) is a mediator of noise-induced neural damage in zebrafish and mice
期刊: Science China-Life Sciences
DOI: 10.1007/s11427-024-2798-3
IF: 8
应用: WB
反应种属: Mouse,Human
发表时间: 2025 Mar
-
Self-Adaptive Dynamic Hydrogel Disrupts Ironclad Defense to Augment Photothermal-Catalytic Therapy Against Melanoma Recurrence and Promote Post-Surgical Wound Healing
期刊: Advanced Functional Materials
DOI: 10.1002/adfm.202420553
IF: 18.5
应用: WB
反应种属: Mouse
发表时间: 2025 Mar
-
Study on the Mechanism of QRICH1 Mediating PRMT1 to Regulate the Arginine Methylation Modification of cGAS to Promote Arsenics-Induced Pyroptosis in Hepatocellular Carcinoma Cells
期刊: Journal of Hepatocellular Carcinoma
DOI: 10.2147/JHC.S505266
IF: 4.2
应用: WB
反应种属: Mouse,Human
发表时间: 2025 Mar
-
Urinary extracellular vesicle N-glycomics identifies diagnostic glycosignatures for bladder cancer
期刊: Nature Communications
DOI: 10.1038/s41467-025-57633-9
IF: 14.7
应用: WB
反应种属: Human
发表时间: 2025 Mar
-
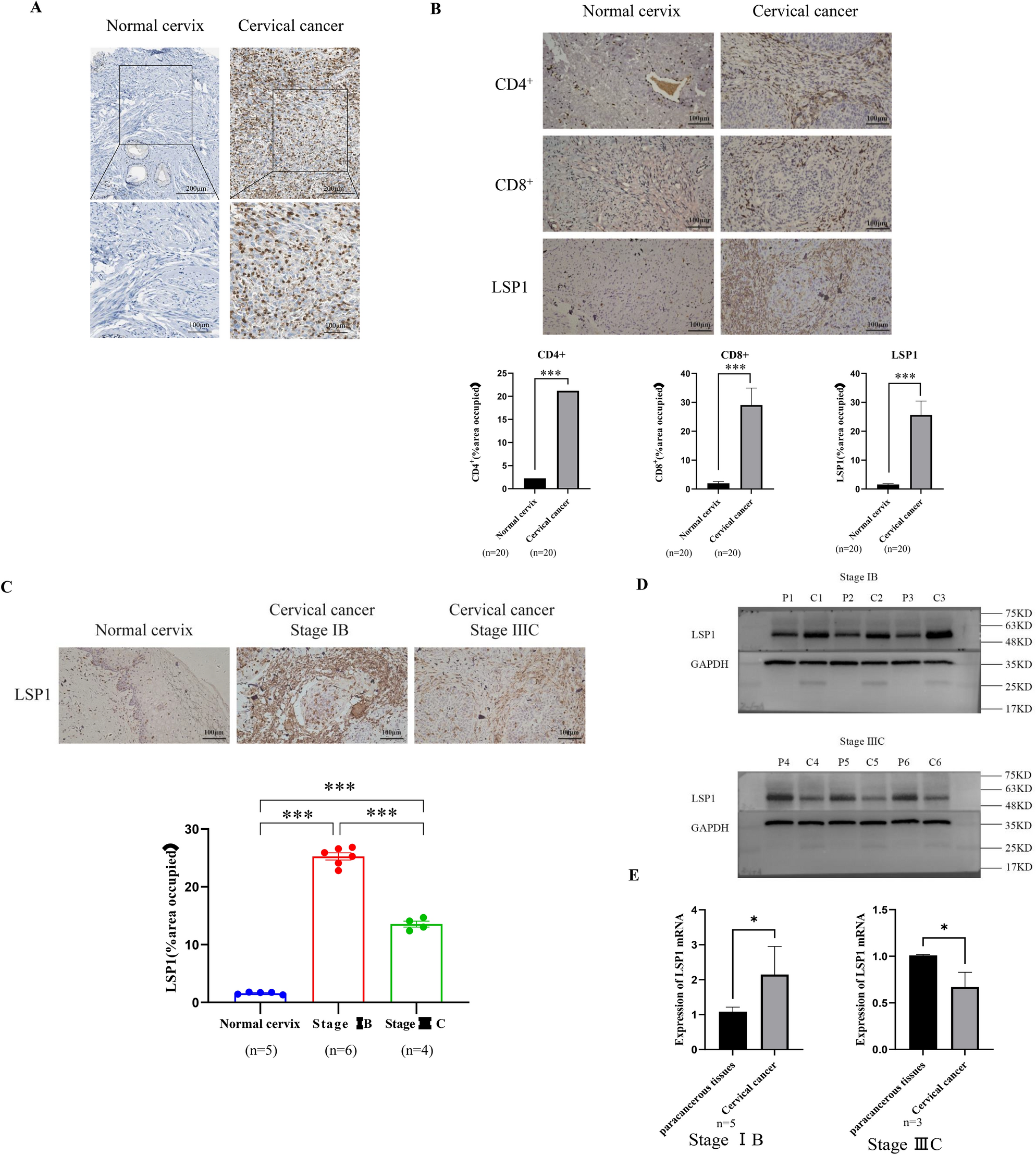
Leukocyte-specific protein 1 is associated with the stage and tumor immune infiltration of cervical cancer
期刊: Scientific Reports
DOI: 10.1038/s41598-025-91066-0
IF: 3.8
应用: WB
反应种属: Human
发表时间: 2025 Mar
-
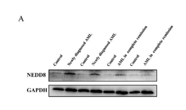
Targeting NEDD8 in pediatric acute myeloid leukemia: an integrated bioinformatics and experimental approach
期刊: Hematology
DOI: 10.1080/16078454.2025.2478650
IF: 2
应用: WB
反应种属: Human
发表时间: 2025 Mar
-
FKBP5 Mediates Alveolar Fibroblast Necroptosis During Acute Respiratory Distress Syndrome
期刊: Cell Proliferation
DOI: 10.1111/cpr.70075
IF: 5.6
应用: WB
反应种属: Mouse,Human
发表时间: 2025 Jun
-
Impaired Synaptic Plasticity Mediated by Decreased GLUT1 in Hippocampal Astrocytes is Involved in Postoperative Cognitive Dysfunction in Elderly Mice
期刊: Molecular Neurobiology
DOI: 10.1007/s12035-025-05167-y
IF: 4.3
应用: WB
反应种属: Mouse
发表时间: 2025 Jun
-
Wenxia Changfu formula inhibits Lewis lung cancer metastasis by reprogramming tumor-associated macrophages through the PPAR-γ/CD36 pathway
期刊: Journal Of Ethnopharmacology
DOI: 10.1016/j.jep.2025.120103
IF: 5.4
应用: WB
反应种属: Mouse
发表时间: 2025 Jun
-
Tumor suppressor SLC9A2 inhibits colorectal cancer metastasis and reverses immunotherapy resistance by suppressing angiogenesis
期刊: Journal Of Experimental & Clinical Cancer Research
DOI: 10.1186/s13046-025-03422-7
IF: 12.8
应用: WB
反应种属: Human
发表时间: 2025 Jun
-
Alpha-Linolenic Acid from Zanthoxylum Seed Powder Regulates Fatty Acid Metabolism and Influences Meat Quality of Pekin Duck via the ADIPOQ/AMPK/CPT-1 Pathway
期刊: JOURNAL OF AGRICULTURAL AND FOOD CHEMISTRY
DOI: 10.1021/acs.jafc.5c01995
IF: 6.2
应用: WB
反应种属: Duck
发表时间: 2025 Jun
-
Jingfang Granules for Diabetic Wound Healing: Insights from Network Pharmacology and Experimental Validation
期刊: Drug Design Development and Therapy
DOI: 10.2147/DDDT.S516298
IF: 5.1
应用: WB
反应种属: Rat
发表时间: 2025 Jun
-
Mechano-sensitive long noncoding RNA AK091765 inhibits bone formation via microRNA-489-3p binding
期刊: Acta Astronautica
DOI: 10.1016/j.actaastro.2025.06.060
IF: 3.4
应用: WB
反应种属: Human
发表时间: 2025 Jun
-
Network pharmacology and UHPLC-HRMS reveal the mechanism of QSFZYL and BMSCs overexpressing IFN-γ against lung adenocarcinoma
期刊: Frontiers In Immunology
DOI: 10.3389/fimmu.2025.1593121
IF: 5.9
应用: WB
反应种属: Mouse
发表时间: 2025 Jun
-
LC-MF-4, a Novel FGFR3 Degrader for Therapeutic Intervention in FGFR3-Altered Cancers
期刊: Journal Of Medicinal Chemistry
DOI: 10.1021/acs.jmedchem.5c00731
IF: 6.8
应用: WB
反应种属: Mouse,Human
发表时间: 2025 Jun
-
POLR2H Serves as a Novel Prognostic Biomarker Correlated with Immune Infiltration in Prostate Cancer
期刊: Biochemical Genetics
DOI: 10.1007/s10528-025-11150-y
IF: 1.6
应用: WB
反应种属: Human
发表时间: 2025 Jun
-
Activin A exacerbates neonatal necrotizing enterocolitis via ALK4-mediated apoptosis and barrier disruption
期刊: International Immunopharmacology
DOI: 10.1016/j.intimp.2025.115043
IF: 4.7
应用: WB
反应种属: Rat
发表时间: 2025 Jun
-
Celastrol alleviates esophageal stricture in rats by inhibiting NLR family pyrin domain containing 3 activation
期刊: World Journal of Gastroenterology
DOI: 10.3748/wjg.v31.i23.106949
IF: 5.4
应用: WB
反应种属: Rat
发表时间: 2025 Jun
-
Exploring the Mechanisms of the Ferroptosis-Related Gene TGFBR1 in Autoimmune Uveitis Based on Machine Learning Models
期刊: ACS Omega
DOI: 10.1021/acsomega.5c00595
IF: 4.3
应用: WB
反应种属: Mouse
发表时间: 2025 Jun
-
Knockdown of MACC1 expression attenuates colorectal cancer cell glucose metabolism by suppressing GLUT4 membrane translocation
期刊: Cancer Biomarkers
DOI: 10.1177/18758592251332426
IF: 1.9
应用: WB
反应种属: Human
发表时间: 2025 Jun
-
Spermidine Exerts Neuroprotective Effects Following Intracerebral Hemorrhage in Mice Through Anti-Inflammation and Blood-Brain Barrier Protection
期刊: Journal of Inflammation Research
DOI: 10.2147/JIR.S515256
IF: 4.1
应用: WB
反应种属: Mouse
发表时间: 2025 Jun
-
Targeting EphA2 suppresses the proliferation, migration and invasion of endometriosis via the AMPK signaling pathway
期刊: European Journal of Histochemistry
DOI: 10.4081/ejh.2025.4168
IF: 2.1
应用: WB
反应种属: Human
发表时间: 2025 Jun
-
Targeting MAN1B1 potently enhances bladder cancer antitumor immunity via deglycosylation of CD47
期刊: Cancer Communications
DOI: 10.1002/cac2.70040
IF: 24.9
应用: WB
反应种属: Human
发表时间: 2025 Jun
-
ATF7IP/SETDB1-mediated epigenetic programming regulates thymic homing and T lymphopoiesis of hematopoietic progenitors during embryogenesis
期刊: Nature Communications
DOI: 10.1038/s41467-025-61680-7
IF: 15.7
应用: WB
反应种属: Zebrafish,Mouse
发表时间: 2025 Jul
-
Targeted Inhibition of Tumor Extracellular Vesicle Secretion Improving the Anti-Tumor Immunity of Lymph Node-Targeted Vaccines
期刊: Advanced Functional Materials
DOI: 10.1002/adfm.202504852
IF: 19
应用: WB
反应种属: Mouse
发表时间: 2025 Jul
-
Therapeutic Potential of PDA@CeO2 in Suppressing Hepatic Stellate Cell Activation and Preventing Liver Fibrosis
期刊: International Journal Of Nanomedicine
DOI: 10.2147/IJN.S521372
IF: 6.5
应用: WB
反应种属: Rat
发表时间: 2025 Jul
-
Evidence for M2 Muscarinic Receptor Antagonist Delay of Myopia Development Through Activation of Kir3.4 Channel in the Retina of Guinea Pigs
期刊: Investigative Ophthalmology & Visual Science
DOI: 10.1167/iovs.66.9.5
IF: 4.7
应用: WB
反应种属: Guinea pig
发表时间: 2025 Jul
-
An unrecognized mechanism of self-protection in degenerating neurons mediated by astrocytic YAP through Wnts/β-catenin/EAAT2 signaling in C9orf72-poly-GA mice
期刊: Theranostics
DOI: 10.7150/thno.113599
IF: 13.3
应用: WB
反应种属: Mouse
发表时间: 2025 Jul
-
Aldometanib mitigates LPS-induced Lung fibroblasts injury through the activation of AMPK-mediated signaling pathways
期刊: Toxicon
DOI: 10.1016/j.toxicon.2025.108489
IF: 2.4
应用: WB
反应种属: Human
发表时间: 2025 Jul
-
SIN1 facilitates glioma progression and is associated with the KRAS/ERK pathway
期刊: Journal of Neuro-Oncology
DOI: 10.1007/s11060-025-05166-y
IF: 3.1
应用: WB
反应种属: Human
发表时间: 2025 Jul
-
TIA1-mediated stress granules promote neurodegeneration by sequestering HSP70 mRNA in C9orf72 mice
期刊: Brain
DOI: 10.1093/brain/awaf248
IF: 11.7
应用: WB
反应种属: Mouse
发表时间: 2025 Jul
-
LncRNA CTD-2555A7.2 promotes bone formation with LncRNA-specific cascade amplification strategy
期刊: Scientific Reports
DOI: 10.1038/s41598-025-05826-z
IF: 3.9
应用: WB
反应种属: Human
发表时间: 2025 Jul
-
Gip1 GPCR regulates two sexual-stage differentiation processes in the ascomycete Fusarium graminearum
期刊: Nature Communications
DOI: 10.1038/s41467-025-61704-2
IF: 15.7
应用: WB
反应种属: Fusarium graminearum
发表时间: 2025 Jul
-
Esketamine mitigates endotoxin-induced acute lung injury by suppressing caspase-11-driven pyroptosis
期刊: BMC Anesthesiology
DOI: 10.1186/s12871-025-03220-w
IF: 2.6
应用: WB
反应种属: Rat
发表时间: 2025 Jul
-
Antineuroblastoma Activity Evaluation and Mechanism of Novel PD-L1 Small Molecule Inhibitors through Immune and Non-Immune Pathways
期刊: ACS Pharmacology & Translational Science
DOI: 10.1021/acsptsci.5c00226
IF: 3.7
应用: WB
反应种属: Human
发表时间: 2025 Jul
-
PTRF Confers Melanoma-Acquired Drug Resistance Through the Upregulation of EGFR
期刊: Cell Proliferation
DOI: 10.1111/cpr.70086
IF: 5.6
应用: WB
反应种属: Human
发表时间: 2025 Jul
-
Metformin carbon dots-based osteogenic and protein delivery system to promote bone regeneration in periodontitis
期刊: Bioactive Materials
DOI: 10.1016/j.bioactmat.2025.07.001
IF: 20.3
应用: WB
反应种属: Human
发表时间: 2025 Jul
-
Development of an mRNA vaccine encoding IHNV glycoprotein protects rainbow trout (Oncorhynchus mykiss) from infection
期刊: npj Vaccines
DOI: 10.1038/s41541-025-01222-w
IF: 6.5
应用: WB
反应种属: Human,Fish
发表时间: 2025 Jul
-
Miconazole alleviates colitis by suppressing colonic senescence, NF-κB Signaling and gut microbiota modulation
期刊: Toxicology And Applied Pharmacology
DOI: 10.1016/j.taap.2025.117488
IF: 3.4
应用: WB
反应种属: Mouse,Human
发表时间: 2025 Jul
-
Novel GSDMD inhibitor GI-Y1 attenuates sepsis-induced myocardial dysfunction by targeting Gasdermin D and inhibiting Gasdermin D-mediated pyroptosis
期刊: European Journal Of Pharmacology
DOI: 10.1016/j.ejphar.2025.178006
IF: 4.7
应用: WB
反应种属: Mouse
发表时间: 2025 Jul
-
FMRP silencing via siRNA lipid nanoparticles to reprogram the tumor microenvironment and enhance anti-PD-1 efficacy in triple-negative breast cancer
期刊: Materials Today Bio
DOI: 10.1016/j.mtbio.2025.102075
IF: 10.2
应用: WB
反应种属: Mouse
发表时间: 2025 Jul
-
OTSSP167 suppresses TNBC brain metastasis via ROS-driven P38/JNK and FAK/ERK pathways
期刊: European Journal Of Pharmacology
DOI: 10.1016/j.ejphar.2025.178017
IF: 4.7
应用: WB
反应种属: Human
发表时间: 2025 Jul
-
ATF7IP/SETDB1-mediated epigenetic programming regulates thymic homing and T lymphopoiesis of hematopoietic progenitors during embryogenesis
期刊: Nature Communications
DOI: 10.1038/s41467-025-61680-7
IF: 15.7
应用: WB
反应种属: Zebrafish,Mouse
发表时间: 2025 Jul
-
The Mechanosensitive Ion Channel Piezo1 Regulates Chondrocyte Homeostasis Through the PI3K/AKT/mTORC1 Pathway in Osteoarthritis
期刊: Journal Of Cellular And Molecular Medicine
DOI: 10.1111/jcmm.70734
IF: 4.2
应用: WB
反应种属: Rat
发表时间: 2025 Jul
-
Sparfloxacin ameliorates DSS-induced ulcerative colitis by suppressing cellular senescence, JAK/NF-κB signaling pathway and modulation of the gut microbiota-metabolite axis
期刊: Biochemical Pharmacology
DOI: 10.1016/j.bcp.2025.117167
IF: 5.6
应用: WB
反应种属: Mouse,Human
发表时间: 2025 Jul
-
Bovine lactoferrin drives cell cycle arrest and alters the transcriptomic profile of NSCLC cells
期刊: Scientific Reports
DOI: 10.1038/s41598-025-13796-5
IF: 3.9
应用: WB
反应种属: Human
发表时间: 2025 Jul
-
Targeting DKC1/NF-κB axis suppresses tumorigenesis and enhances 5-FU sensitivity in gastric cancer
期刊: Cancer Cell International
DOI: 10.1186/s12935-025-03926-4
IF: 6
应用: WB
反应种属: Human
发表时间: 2025 Jul
-
A packaging-regulated adenoviral vector for rAAV production
期刊: Biochemical And Biophysical Research Communications
DOI: 10.1016/j.bbrc.2025.152326
IF: 2.2
应用: WB
反应种属: Human
发表时间: 2025 Jul
-
Candesartan Mitigates Perioperative Neurocognitive Disorders by Modulating Hypertension-Linked Neuroinflammatory Factor
期刊: Neurochemical Research
DOI: 10.1007/s11064-025-04499-4
IF: 3.8
应用: WB
反应种属: Mouse
发表时间: 2025 Jul
-
The activation of NLRP3 inflammasome and its function in anti-infection immunity of largemouth bass (Micropterus salmoides)
期刊: FISH & SHELLFISH IMMUNOLOGY
DOI: 10.1016/j.fsi.2025.110607
IF: 3.9
应用: WB
反应种属: Human
发表时间: 2025 Jul
-
A pH-Sensitive Glutathione Responsive Small-Molecule Probe TZ2 Sensitizes Lung Cancer Cells to Chemotherapy by Targeting Tumor Microenvironment
期刊: MOLECULES
DOI: 10.3390/molecules30153081
IF: 4.6
应用: WB
反应种属: Human
发表时间: 2025 Jul
-
Rescue of CUMS-induced HPA axis hyperfunction and hypothalamic synaptic deficits by Citrus aurantium L. cv. Daidai essential oil via the cAMP/PKA/Grin2b pathway
期刊: JOURNAL OF ETHNOPHARMACOLOGY
DOI: 10.1016/j.jep.2025.119423
IF: 5.4
应用: WB
反应种属: Mouse,Rat
发表时间: 2025 Jan
-
STING1 targets MYH9 to drive adipogenesis through the AKT/GSK3β/β-catenin pathway
期刊: Biochemical And Biophysical Research Communications
DOI:
IF: 2.5
应用: WB
反应种属: Mouse
发表时间: 2025 Jan
-
Gut microbiota protect against colorectal tumorigenesis through lncRNA Snhg9
期刊: Developmental Cell
DOI: 10.1016/j.devcel.2024.12.013
IF: 8.7
应用: WB
反应种属: Mouse,Human
发表时间: 2025 Jan
-
Heparan sulfate acts in synergy with tight junction through STAT3 signaling to maintain the endothelial barrier and prevent lung injury development
期刊: INTERNATIONAL IMMUNOPHARMACOLOGY
DOI: 10.1016/j.intimp.2024.113957
IF: 4.7
应用: WB
反应种属: Mouse,Human
发表时间: 2025 Jan
-
Neuronal TRPV1-CGRP axis regulates peripheral nerve regeneration through ERK/HIF-1 signaling pathway
期刊: JOURNAL OF NEUROCHEMISTRY
DOI: 10.1111/jnc.16281
IF: 4
应用: WB
反应种属: Rat
发表时间: 2025 Jan
-
Liver-Secreted Extracellular Vesicles Promote Cirrhosis-Associated Skeletal Muscle Injury Through mtDNA-cGAS/STING Axis
期刊: Advanced Science
DOI: 10.1002/advs.202410439
IF: 14.1
应用: WB
反应种属: Mouse
发表时间: 2025 Jan
-
STING1 targets MYH9 to drive adipogenesis through the AKT/GSK3β/β-catenin pathway
期刊: BIOCHEMICAL AND BIOPHYSICAL RESEARCH COMMUNICATIONS
DOI: 10.1016/j.bbrc.2025.151352
IF: 2.2
应用: WB
反应种属: Mouse
发表时间: 2025 Jan
-
Mechanism Study of E2F8 Activation of SPC25-Mediated Glutamine Metabolism Promoting Immune Escape in Lung Adenocarcinoma
期刊: IMMUNOLOGY
DOI: 10.1111/imm.13894
IF: 5
应用: WB
反应种属: Human
发表时间: 2025 Jan
-
Suberosin attenuates rheumatoid arthritis by repolarizing macrophages and inhibiting synovitis via the JAK/STAT signaling pathway
期刊: ARTHRITIS RESEARCH & THERAPY
DOI: 10.1186/s13075-025-03481-3
IF: 4.6
应用: WB
反应种属: Mouse,Human
发表时间: 2025 Jan
-
Tumor Microenvironment-Driven Structural Transformation of Vanadium-Based MXenzymes to Amplify Oxidative Stress for Multimodal Tumor Therapy
期刊: Advanced Science
DOI: 10.1002/advs.202408998
IF: 14.1
应用: WB
反应种属: Mouse
发表时间: 2025 Jan
-
Cholic acid inhibits ovarian steroid hormone synthesis and follicular development through farnesoid X receptor signaling in mice
期刊: INTERNATIONAL JOURNAL OF BIOLOGICAL MACROMOLECULES
DOI: 10.1016/j.ijbiomac.2025.140458
IF: 8.5
应用: WB
反应种属: Mouse
发表时间: 2025 Jan
-
Gut microbiota-derived trimethylamine N-oxide involved in methamphetamine-induced depression-like behaviors of male mice
期刊: NEUROPHARMACOLOGY
DOI: 10.1016/j.neuropharm.2025.110339
IF: 4.6
应用: WB
反应种属: Mouse
发表时间: 2025 Jan
-
Liver-Secreted Extracellular Vesicles Promote Cirrhosis-Associated Skeletal Muscle Injury Through mtDNA-cGAS/STING Axis
期刊: Advanced Science
DOI:
IF: 14.3
应用: WB
反应种属: Mouse
发表时间: 2025 Jan
-
Tumor Microenvironment-Driven Structural Transformation of Vanadium-Based MXenzymes to Amplify Oxidative Stress for Multimodal Tumor Therapy
期刊: Advanced Science
DOI:
IF: 14.3
应用: WB
反应种属: Mouse
发表时间: 2025 Jan
-
Suberosin attenuates rheumatoid arthritis by repolarizing macrophages and inhibiting synovitis via the JAK/STAT signaling pathway
期刊: Arthritis Research & Therapy
DOI:
IF: 4.4
应用: WB
反应种属: Mouse,Human
发表时间: 2025 Jan
-
Gut microbiota protect against colorectal tumorigenesis through lncRNA Snhg9
期刊: Developmental Cell
DOI:
IF: 10.7
应用: WB
反应种属: Mouse,Human
发表时间: 2025 Jan
-
Cirsii Herba glycoprotein promotes macrophage M1 polarization through MAPK and NF-κB signaling pathways via interaction with TLR4
期刊: International Journal Of Biological Macromolecules
DOI:
IF: 7.7
应用: WB
反应种属: Mouse
发表时间: 2025 Jan
-
Gut microbiota-derived trimethylamine N-oxide involved in methamphetamine-induced depression-like behaviors of male mice
期刊: Neuropharmacology
DOI:
IF: 4.6
应用: WB
反应种属: Mouse
发表时间: 2025 Jan
-
Rescue of CUMS-induced HPA axis hyperfunction and hypothalamic synaptic deficits by Citrus aurantium L. cv. Daidai essential oil via the cAMP/PKA/Grin2b pathway
期刊: Journal Of Ethnopharmacology
DOI:
IF: 4.8
应用: WB
反应种属: Mouse,Rat
发表时间: 2025 Jan
-
Neuronal TRPV1-CGRP axis regulates peripheral nerve regeneration through ERK/HIF-1 signaling pathway
期刊: Journal Of Neurochemistry
DOI:
IF: 4.2
应用: WB
反应种属: Rat
发表时间: 2025 Jan
-
Exploring the Novel Role and Mechanistic Insights of Skeletal Muscle Relaxant Cyclobenzaprine Hydrochloride in Esophageal Squamous Cell Carcinoma Treatment
期刊: EUROPEAN JOURNAL OF PHARMACEUTICAL SCIENCES
DOI: 10.1016/j.ejps.2025.107051
IF: 4.7
应用: IHC
反应种属: Mouse,Human
发表时间: 2025 Feb
-
Photothermal sensitive nanocomposite hydrogel for infectious bone defects
期刊: Bone Research
DOI: 10.1038/s41413-024-00377-x
IF: 15
应用: WB
反应种属: Rat
发表时间: 2025 Feb
-
Exploring the Effects and Mechanisms of Valerian Volatile Oil in Treating Insomnia Using Network Pharmacology, Molecular Docking, and Molecular Dynamics Simulation-Based Approaches
期刊: INTERNATIONAL JOURNAL OF MOLECULAR SCIENCES
DOI: 10.3390/ijms26041726
IF: 4.9
应用: WB
反应种属: Mouse
发表时间: 2025 Feb
-
LRP8 inhibits bladder cancer cell ferroptosis by activating the Wnt/β-catenin-SCD1 positive feedback loop
期刊: HUMAN MOLECULAR GENETICS
DOI: 10.1093/hmg/ddaf024
IF: 3.2
应用: WB
反应种属: Mouse,Human
发表时间: 2025 Feb
-
Co-host ncRNA MIR503HG/miR-503-5p antagonistically interfere with the crosstalk between fibroblasts and microvascular endothelial cells by affecting the production of LMW FGF2 in pterygium
期刊: International Journal of Ophthalmology
DOI: 10.18240/ijo.2025.02.01
IF: 1.8
应用: WB
反应种属: Human
发表时间: 2025 Feb
-
TRPA1-Activated Peptides from Saiga Antelope Horn: Screening, Interaction Mechanism, and Bioactivity
期刊: International Journal Of Molecular Sciences
DOI: 10.3390/ijms26052119
IF: 4.9
应用: WB
反应种属: Rat
发表时间: 2025 Feb
-
Self-assembling chemically modified siRNA nanorings for RNAi therapy and neuroprotection in Alzheimer’s disease
期刊: Science China-Chemistry
DOI: 10.1007/s11426-024-2497-7
IF: 10.4
应用: WB
反应种属: Zebrafish
发表时间: 2025 Feb
-
Total flavonoids extracted from the leaves of Murraya paniculata (L.) Jack prevents acetaminophen-induced liver injury by activating Keap1/Nrf2 and PI3K/AKT/mTOR signaling pathway
期刊: Journal Of Ethnopharmacology
DOI: 10.1016/j.jep.2025.119562
IF: 4.8
应用: WB
反应种属: Mouse
发表时间: 2025 Feb
-
Ginsenoside Rg2, a principal effective ingredient of Panax ginseng, attenuates DSS-induced ulcerative colitis through NF-κB/NLRP3 pathway
期刊: Journal Of Ginseng Research
DOI: 10.1016/j.jgr.2025.02.001
IF: 6.8
应用: WB
反应种属: Mouse
发表时间: 2025 Feb
-
Neonatal sevoflurane exposures inhibits DHHC5-mediated palmitoylation of TfR1 in oligodendrocytes, leading to hypomyelination and neurological impairments
期刊: Journal Of Advanced Research
DOI: 10.1016/j.jare.2025.02.009
IF: 11.4
应用: WB
反应种属: Mouse,Rat
发表时间: 2025 Feb
-
The GPR30-Mediated BMP-6/HEP/FPN Signaling Pathway Inhibits Ferroptosis in Bone Marrow Mesenchymal Stem Cells to Alleviate Osteoporosis
期刊: International Journal Of Molecular Sciences
DOI: 10.3390/ijms26052027
IF: 4.9
应用: WB
反应种属: Mouse
发表时间: 2025 Feb
-
Acetyltransferase NAT10 promotes gastric cancer progression by regulating the Wnt/β-catenin signaling pathway and enhances chemotherapy resistance
期刊: Discover Oncology
DOI: 10.1007/s12672-025-01917-5
IF: 2.8
应用: WB
反应种属: Human
发表时间: 2025 Feb
-
Aspartic protease 2 from Trichinella spiralis excretion/secretion products hydrolyzes tight junctions of intestinal epithelial cells
期刊: PLoS Neglected Tropical Diseases
DOI: 10.1371/journal.pntd.0013805
IF: 3.4
应用: WB
反应种属: Human
发表时间: 2025 Dec
-
Aminopyrifen, a novel 2-aminonicotinate fungicide, inhibits growth and deoxynivalenol biosynthesis in Fusarium graminearum
期刊: Pesticide Biochemistry and Physiology
DOI: 10.1016/j.pestbp.2025.106907
IF: 4
应用: WB
反应种属: Fusarium graminearum
发表时间: 2025 Dec
-
Lipoxin A4 alleviates sepsis-induced acute liver injury by inhibiting inflammatory response and iron overload via JAK2/STAT3 signaling
期刊: Scientific Reports
DOI: 10.1038/s41598-025-30995-2
IF: 3.9
应用: WB
反应种属: Mouse
发表时间: 2025 Dec
-
Grain proteins ameliorate glucose metabolism disorders by activating intestinal AhR and the hepatic NLK/FOXO1 pathway via gut microbiota-derived indole metabolites
期刊: Journal Of Advanced Research
DOI: 10.1016/j.jare.2025.12.010
IF: 13
应用: WB
反应种属: Mouse
发表时间: 2025 Dec
-
Acupuncture treatment May improve the bone metabolism and pathological ossification by regulating the gut microbiota of AS mice
期刊: Microbial Pathogenesis
DOI: 10.1016/j.micpath.2025.108249
IF: 3.5
应用: WB
反应种属: Mouse
发表时间: 2025 Dec
-
OTUB2 aggravates pathological cardiac hypertrophy through Rac1 activation
期刊: Human Cell
DOI: 10.1007/s13577-025-01326-4
IF: 3.1
应用: WB
反应种属: Mouse,Rat
发表时间: 2025 Dec
-
Design of Anti-Tumor RNA Nanoparticles and Their Inhibitory Effect on Hep3B Liver Cancer
期刊: Biomolecules
DOI: 10.3390/biom16010045
IF: 4.8
应用: WB
反应种属: Human
发表时间: 2025 Dec
-
Almonertinib inhibits liver cancer progression by triggering autophagy-dependent ferroptosis through inhibition of the PI3K/Akt1/mTOR pathway
期刊: Biochemical Pharmacology
DOI: 10.1016/j.bcp.2025.117628
IF: 5.6
应用: WB
反应种属: Human
发表时间: 2025 Dec
-
Os Draconis-Derived Nanoparticles Improve Insomnia Symptoms by Activating Calcium-Dependent 5-HT Release and the Vagal-NTS Pathway
期刊: International Journal Of Nanomedicine
DOI: 10.2147/IJN.S553405
IF: 6.5
应用: WB
反应种属: Rat
发表时间: 2025 Dec
-
Dual defects in HBsAg antigenicity and secretion caused by the C138R mutation in the S gene trigger occult hepatitis B virus infection
期刊: Journal Of Translational Medicine
DOI: 10.1186/s12967-025-07440-z
IF: 7.5
应用: WB
反应种属: Human
发表时间: 2025 Dec
-
Sufentanil preconditioning reduces hepatic ischemia-reperfusion injury in rats by regulating ferroptosis through ATF3
期刊: BMC Anesthesiology
DOI: 10.1186/s12871-025-03568-z
IF: 2.6
应用: WB
反应种属: Rat
发表时间: 2025 Dec
-
Exploring the multiple mechanisms of Hydroxytyrosol in treating obesity
期刊: Archives Of Biochemistry And Biophysics
DOI: 10.1016/j.abb.2025.110703
IF: 3
应用: WB
反应种属: Mouse
发表时间: 2025 Dec
-
Exploration of the mechanism of curcumin in the regulation of apoptosis for the treatment of colorectal cancer
期刊: Translational Cancer Research
DOI: 10.21037/tcr-2025-359
IF: 1.7
应用: WB
反应种属: Human
发表时间: 2025 Aug
-
HDAC6/Trim21 aggravates macrophage inflammatory response and titanium-induced osteolysis via GSDMD signaling pathway
期刊: Journal Of Immunology
DOI: 10.1093/jimmun/vkaf112
IF: 3.4
应用: WB
反应种属: Mouse
发表时间: 2025 Aug
-
Therapeutic Activation of PPARα Inhibits Transformed Follicular Lymphoma Tumorigenesis via the FOXM1 Signaling Pathway
期刊: International Journal Of Biological Sciences
DOI: 10.7150/ijbs.116437
IF: 10
应用: WB
反应种属: Human
发表时间: 2025 Aug
-
Hydrolyzed Chicken Meat Extract and Its Effective Cyclopeptides Promote Neurodevelopment by Activating Dopamine D1 Receptor and cAMP/PKA/CREB Pathway
期刊: Food Bioscience
DOI: 10.1016/j.fbio.2025.107452
IF: 5.9
应用: WB
反应种属: Zebrafish,Human
发表时间: 2025 Aug
-
TCF25 serves as a nutrient sensor to orchestrate metabolic adaptation and cell death by enhancing lysosomal acidification under glucose starvation
期刊: Cell Reports
DOI: 10.1016/j.celrep.2025.116186
IF: 6.9
应用: WB
反应种属: Mouse
发表时间: 2025 Aug
-
RECQ5 mediates pre-rRNA processing in nucleolus
期刊: Nucleic Acids Research
DOI: 10.1093/nar/gkaf766
IF: 13.1
应用: WB
反应种属: Human
发表时间: 2025 Aug
-
The transcription factor FOXA1 upregulates PYCR1-mediated autophagy to suppress antitumor immunity in lung adenocarcinoma
期刊: Cancer Immunology Immunotherapy
DOI: 10.1007/s00262-025-04144-7
IF: 5.1
应用: WB
反应种属: Human
发表时间: 2025 Aug
-
ISGylation of zebrafish STING at Lysines 221 and 276 activates Innate Immunity
期刊: FISH & SHELLFISH IMMUNOLOGY
DOI: 10.1016/j.fsi.2025.110640
IF: 3.9
应用: WB
反应种属: Zebrafish
发表时间: 2025 Aug
-
Targeting adipocyte differentiation with CRT0066101: activation of AMPK signaling in 3T3-L1 cells
期刊: Frontiers In Pharmacology
DOI: 10.3389/fphar.2025.1645587
IF: 4.8
应用: WB
反应种属: Mouse
发表时间: 2025 Aug
-
Beneficial effects and mechanisms of phosvitin on Helicobacter pylori infection-induced gastric injury and abnormal behaviors
期刊: Journal of Future Foods
DOI: 10.1016/j.jfutfo.2025.04.021
IF: 7.2
应用: WB
反应种属: Mouse
发表时间: 2025 Aug
-
Mechanistic Insights into the Anti-Glioma Effects of Exosome-Like Nanoparticles Derived from Garcinia Mangostana L.: A Metabolomics, Network Pharmacology, and Experimental Study
期刊: International Journal Of Nanomedicine
DOI: 10.2147/IJN.S514930
IF: 6.6
应用: WB
反应种属: Mouse
发表时间: 2025 Apr
-
Saturated fatty acid-induced neutrophil extracellular traps contribute to exacerbation and biologic therapy resistance in obesity-related psoriasis
期刊: Cellular & Molecular Immunology
DOI: 10.1038/s41423-025-01278-7
IF: 19.8
应用: WB
反应种属: Mouse
发表时间: 2025 Apr
-
Identification and Functional Validation of ACSL1 and FABP3 as Muscle-Related Genes Screened by Transcriptomics in Crossbred Duroc × Berkshire × Diannan Small-Eared Pigs
期刊: Genes
DOI: 10.3390/genes16050520
IF: 2.8
应用: WB
反应种属: Mouse
发表时间: 2025 Apr
-
Loss of LSD1 ameliorates myocardial infarction by regulating angiogenesis via transcriptional activation of Vegfa
期刊: Life Sciences
DOI: 10.1016/j.lfs.2025.123613
IF: 5.2
应用: WB
反应种属: Mouse
发表时间: 2025 Apr
-
Binding of collagen I to integrins alleviates UVB-caused mitochondrial disorders in human keratinocytes HaCaT through enhancement of F-actin polymerization
期刊: Journal of Photochemistry and Photobiology B: Biology
DOI: 10.1016/j.jphotobiol.2025.113170
IF: 3.9
应用: WB
反应种属: Human
发表时间: 2025 Apr
-
“The role of mitogen-activated protein kinase signaling pathway in bone formation during mid-palatal suture expansion”
期刊: Connective Tissue Research
DOI: 10.1080/03008207.2025.2498509
IF: 2.8
应用: WB
反应种属: Rat
发表时间: 2025 Apr
-
tRF-3019A/STAU1/BECN1 axis promotes autophagy and malignant progression of colon cancer
期刊: Cellular Signalling
DOI: 10.1016/j.cellsig.2025.111813
IF: 4.4
应用: WB
反应种属: Mouse
发表时间: 2025 Apr
-
Harnessing lysosomal genetics: development of a risk stratification panel and unveiling of DPP7 as a biomarker for colon adenocarcinoma
期刊: Journal of Genetics and Genomics
DOI: 10.1016/j.jgg.2025.04.009
IF: 6.6
应用: WB
反应种属: Human
发表时间: 2025 Apr
-
miR-135b-5p/PDE3B Axis Regulates Gemcitabine Resistance in Pancreatic Cancer Through Epithelial-Mesenchymal Transition
期刊: Molecular Carcinogenesis
DOI: 10.1002/mc.23914
IF: 3
应用: WB
反应种属: Human
发表时间: 2025 Apr
-
Demethylase FTO in the Cerebrospinal Fluid-Contacting Nucleus of mice Contributes to Neuropathic Pain via mediating m6A demethylation of P2rx4 mRNA
期刊: Neuropharmacology
DOI: 10.1016/j.neuropharm.2025.110462
IF: 4.6
应用: WB
反应种属: Mouse
发表时间: 2025 Apr
-
FAM20B-Catalyzed Glycosylation Regulates the Chondrogenic and Osteogenic Differentiation of the Embryonic Condyle by Controlling IHH Diffusion and Release
期刊: International Journal Of Molecular Sciences
DOI: 10.3390/ijms26094033
IF: 4.9
应用: WB
反应种属: Mouse
发表时间: 2025 Apr
-
Dysregulated ac4C modification of mRNA in a mouse model of early-stage Alzheimer’s disease
期刊: Cell & Bioscience
DOI: 10.1186/s13578-025-01389-8
IF: 6.1
应用: WB
反应种属: Mouse
发表时间: 2025 Apr
-
Fibroblast growth factor 18 attenuates renal fibrosis via AMPK/NOX4 pathway in mice
期刊: Biochemical And Biophysical Research Communications
DOI: 10.1016/j.bbrc.2025.151913
IF: 2.5
应用: WB
反应种属: Human,Mouse
发表时间: 2025 Apr
-
6-Gingerol, an active compound of ginger, attenuates NASH-HCC progression by reprogramming tumor-associated macrophage via the NOX2/Src/MAPK signaling pathway
期刊: BMC Complementary Medicine and Therapies
DOI: 10.1186/s12906-025-04890-2
IF: 3.3
应用: WB
反应种属: Mouse
发表时间: 2025 Apr
-
The Protective Role of DUSP4 in Retinal Pigment Epithelium Senescence and Degeneration
期刊: International Journal Of Molecular Sciences
DOI: 10.3390/ijms26083735
IF: 4.9
应用: WB
反应种属: Human
发表时间: 2025 Apr
-
Albiflorin inhibits inflammation to improve liver fibrosis by targeting the CXCL12/CXCR4 axis in mice
期刊: Frontiers In Pharmacology
DOI: 10.3389/fphar.2025.1577201
IF: 4.4
应用: WB
反应种属: Mouse
发表时间: 2025 Apr
-
Gallic Acid Inhibits the Proliferation and Migration of Ovarian Cancer Cells via Inhibition of the PI3K-AKT Pathway and Promoting M1-Like Macrophage Polarization
期刊: Analytical Cellular Pathology
DOI: 10.1155/ancp/3880719
IF: 2.6
应用: WB
反应种属: Human,Mouse
发表时间: 2025 Apr
-
METTL3-mediated N6-methyladenosine modification contributes to vascular calcification
期刊: Journal Of Molecular And Cellular Cardiology
DOI: 10.1016/j.yjmcc.2025.04.006
IF: 4.9
应用: WB
反应种属: Human,Mouse
发表时间: 2025 Apr
-
Mechanism of triiodothyronine alleviating acute alcoholic liver injury and delaying alcoholic liver fibrosis progression
期刊: Human & Experimental Toxicology
DOI: 10.1177/09603271251332505
IF: 2.7
应用: WB
反应种属: Mouse
发表时间: 2025 Apr
-
Mannose modified graphene oxide drug-delivery system targets cancer stem cells and tumor-associated macrophages to promote immunotherapeutic efficacy
期刊: Colloids And Surfaces B: Biointerfaces
DOI: 10.1016/j.colsurfb.2025.114710
IF: 5.4
应用: WB
反应种属: Zebrafish,Human
发表时间: 2025 Apr
-
Disruption of intracellular calcium homeostasis drives graphene quantum dots-induced inflammatory response in liver macrophages
期刊:
DOI: 10.1016/j.nantod.2025.102756
IF:
应用: WB
反应种属: Mouse
发表时间: 2025 Apr
-
KIFC1 depends on TRIM37-mediated ubiquitination of PLK4 to promote centrosome amplification in endometrial cancer
期刊: Cell Death Discovery
DOI: 10.1038/s41420-024-02190-1
IF: 6.1
应用: WB
反应种属: Human
发表时间: 2024 Sept
-
5,7,3′,4′,5′-Pentamethoxyflavone, a Flavonoid Monomer Extracted From Murraya paniculata (L.) Jack, Alleviates Anxiety Through the A2AR/Gephyrin/GABRA2 Pathway
期刊: Phytotherapy Research
DOI: 10.1002/ptr.8327
IF: 6.1
应用: WB
反应种属: Mouse
发表时间: 2024 Sept
-
Multifunctionally disordered TiO2 nanoneedles prevent periprosthetic infection and enhance osteointegration by killing bacteria and modulating the osteoimmune microenvironment
期刊: Theranostics
DOI: 10.7150/thno.98219
IF: 12.4
应用: WB
反应种属: Rat
发表时间: 2024 Sept
-
Genipin promotes the apoptosis and autophagy of neuroblastoma cells by suppressing the PI3K/AKT/mTOR pathway
期刊: Scientific Reports
DOI:
IF: 3.8
应用: WB
反应种属: Human
发表时间: 2024 Sep
-
Cuproptosis in microsatellite stable colon cancer cells affects the cytotoxicity of CD8+ T through the WNT signaling pathway
期刊: Chemico-Biological Interactions
DOI:
IF: 4.7
应用: WB
反应种属: Mouse
发表时间: 2024 Sep
-
Pharmacodynamic Insights into Maresin 1: Enhancing Flap Viability via the Keap1/Nrf2 Axis to Control ROS-Driven Apoptosis and Ferroptosis
期刊: European Journal Of Pharmaceutical Sciences
DOI:
IF: 4.3
应用: WB
反应种属: Rat
发表时间: 2024 Oct
-
Dual-tDCS Ameliorates Cerebral Injury and Promotes Motor Function Recovery via cGAS-STING Signaling Pathway in a Rat Model of Ischemic Stroke
期刊: Molecular Neurobiology
DOI:
IF: 4.6
应用: WB
反应种属: Rat
发表时间: 2024 Oct
-
HECTD2 as a target for veratric acid in the regulation of ferroptosis in renal cell carcinoma
期刊: Amino Acids
DOI:
IF: 3
应用: WB
反应种属: Human
发表时间: 2024 Oct
-
Sulindac (K-80003) with nab-paclitaxel and gemcitabine overcomes drug-resistant pancreatic cancer
期刊: Molecular Cancer
DOI:
IF: 27.7
应用: WB
反应种属: Human
发表时间: 2024 Oct
-
The volatile oil of Acorus tatarinowii Schott ameliorates Alzheimer's disease through improving insulin resistance via activating the PI3K/AKT pathway
期刊: Phytomedicine
DOI:
IF: 6.7
应用: WB
反应种属: Mouse
发表时间: 2024 Oct
-
Deletion of Slc1a4 Suppresses Single Mauthner Cell Axon Regeneration In Vivo through Growth-Associated Protein 43
期刊: International Journal Of Molecular Sciences
DOI: 10.3390/ijms252010950
IF: 4.9
应用: WB
反应种属: Zebrafish
发表时间: 2024 Oct
-
The nucleolin MoNsr1 plays pleiotropic roles in the pathogenicity and stress adaptation in the rice blast fungus Magnaporthe oryzae
期刊: Frontiers In Plant Science
DOI: 10.3389/fpls.2024.1482934
IF: 4.1
应用: WB
反应种属: Mouse
发表时间: 2024 Oct
-
tiRNA-Gly-GCC-002 promotes epithelial-mesenchymal transition and fibrosis in lupus nephritis via FKBP5-mediated activation of Smad
期刊: British Journal Of Pharmacology
DOI: 10.1111/bph.17364
IF: 6.8
应用: WB
反应种属: Human
发表时间: 2024 Oct
-
Reduced Proline-Rich Tyrosine Kinase 2 Promotes Tumor Metastasis by Activating Epithelial–Mesenchymal Transition in Colorectal Cancer
期刊: Digestive Diseases And Sciences
DOI:
IF: 2.5
应用: WB
反应种属: Human
发表时间: 2024 Oct
-
Two birds with one stone: Natural polyphenols boosted periodontitis treatment of chlorhexidine via reducing toxicity and regulating microenvironments
期刊: Materials Horizons
DOI: 10.1039/D4MH01137F
IF: 12.2
应用: WB
反应种属: Mouse
发表时间: 2024 Oct
-
Sensing of endogenous retroviruses-derived RNA by ZBP1 triggers PANoptosis in DNA damage and contributes to toxic side effects of chemotherapy
期刊: Research Square
DOI:
IF: 8.1
应用: WB
反应种属: Mouse
发表时间: 2024 Oct
-
Exploring the Mechanisms of the Ferroptosis-Related Gene TGFBR1 in Autoimmune Uveitis Based on Machine Learning Models
期刊: Research Square
DOI:
IF:
应用: WB
反应种属: Mouse
发表时间: 2024 Oct
-
ADAM8 promotes alcoholic liver fibrosis through the MAPK signaling pathway
期刊: Journal Of Physiological Sciences
DOI:
IF: 2.6
应用: WB
反应种属: Mouse
发表时间: 2024 Oct
-
Identification of KW-2449 as a dual inhibitor of ferroptosis and necroptosis reveals that autophagy is a targetable pathway for necroptosis inhibitors to prevent ferroptosis
期刊: Cell Death & Disease
DOI:
IF: 8.1
应用: WB
反应种属: Human
发表时间: 2024 Oct
-
Fusobacterium Nucleatum Promotes Microsatellite Instability in Colorectal Carcinoma Through Up-regulation of miRNA-155-5p-Targeted Inhibition of MSH6 via the TLR4/NF-κB Signaling Pathway.
期刊: Advanced Biology
DOI:
IF: 3.2
应用: WB
反应种属: Mouse
发表时间: 2024 Oct
-
Unleashing AdipoRon's Potential: A Fresh Approach to Tackle Pseudomonas aeruginosa Infections in Bronchiectasis via Sphingosine Metabolism Modulation
期刊: Journal Of Inflammation Research
DOI:
IF: 4.2
应用: IF,WB
反应种属: Mouse
发表时间: 2024 Oct
-
TFAP2C/FLT3 Axis Reduces Ferroptosis in Breast Cancer Cells by Inhibiting Mitochondrial Autophagy
期刊: The International Journal Of Biochemistry & Cell Biology
DOI:
IF: 3.4
应用: WB
反应种属: Human
发表时间: 2024 Nov
-
Decoupling actin assembly from microtubule disassembly by TBC1D3C-mediated direct GEF-H1 activation
期刊: Life Science Alliance
DOI:
IF: 3.3
应用: WB
反应种属: Human
发表时间: 2024 Nov
-
NOP2/Sun RNA Methyltransferase 4 Regulates the Mammalian Target of Rapamycin Signaling Pathway to Promote Hepatocellular Carcinoma Progression
期刊: Turkish Journal Of Gastroenterology
DOI:
IF:
应用: WB
反应种属: Human
发表时间: 2024 Nov
-
Exploring the mechanism of action of Huoermai Essential Oil for plateau insomnia based on the cAMP/CREB/BDNF/GABAergic pathway
期刊: Journal Of Ethnopharmacology
DOI:
IF: 4.8
应用: WB
反应种属: Mouse
发表时间: 2024 Nov
-
Isolinderalactone suppresses pancreatic ductal adenocarcinoma by activating p38 MAPK to promote DDIT3 expression and trigger endoplasmic reticulum stress
期刊: International Immunopharmacology
DOI:
IF: 4.8
应用: WB
反应种属: Human
发表时间: 2024 Nov
-
Shen Qi Wan regulates OPN/CD44/PI3K pathway to improve airway inflammation in COPD: Network pharmacology, bioinformatics, and experimental validation
期刊: International Immunopharmacology
DOI: 10.1016/j.intimp.2024.113624
IF: 4.8
应用: WB
反应种属: Mouse,Human
发表时间: 2024 Nov
-
Integrative Bioinformatics and Experimental Analysis of Curcumin's Role in Regulating Ferroptosis to Combat Osteoporosis
期刊: Biochemical And Biophysical Research Communications
DOI:
IF: 2.5
应用: WB
反应种属: Rat
发表时间: 2024 Nov
-
Silencing CXCR6 promotes epithelial-mesenchymal transition and invasion in colorectal cancer by activating the VEGFA/PI3K/AKT/mTOR pathway
期刊: International Immunopharmacology
DOI:
IF: 4.8
应用: WB,IHC-P
反应种属: Mouse
发表时间: 2024 Nov
-
Plexin-B2 Mediates Orthodontic Tension-Induced Osteogenesis via the RhoA/F-Actin/YAP Pathway
期刊: Journal Of Periodontal Research
DOI: 10.1111/jre.13358
IF: 3.4
应用: WB
反应种属: Mouse
发表时间: 2024 Nov
-
Epac1 activation optimizes cellular functions of BMSCs and promotes wound healing via Erk/ACLY/PGC-1α signaling pathway
期刊: European Journal Of Pharmacology
DOI:
IF: 4.2
应用: WB
反应种属: Rat
发表时间: 2024 Nov
-
Macrophage migration inhibitory factor promotes heterotopic ossification by mediating ROS/HIF-1α positive feedback loop and activating Wnt/β-catenin signaling pathway
期刊: Bone
DOI:
IF: 3.5
应用: WB
反应种属: Mouse
发表时间: 2024 Nov
-
The characterization of BCL-xL displays a non-apoptotic role in suppression of NLRP1 inflammasome assembly in common carp (Cyprinus carpio L.)
期刊: Fish & Shellfish Immunology
DOI:
IF: 4.1
应用: Co-IP,WB
反应种属: Fish
发表时间: 2024 Nov
-
Zinc Finger Protein 263 Augments Autophagy and Promotes Intrahepatic Cholangiocarcinoma Proliferation
期刊: Molecular Carcinogenesis
DOI: 10.1002/mc.23847
IF: 3
应用: WB
反应种属: Mouse
发表时间: 2024 Nov
-
The role of the KEAP1-NRF2 signaling pathway in form deprivation myopia guinea pigs
期刊: BMC Ophthalmology
DOI:
IF: 1.7
应用: WB
反应种属: Guinea pig
发表时间: 2024 Nov
-
Reactivation of senescence-associated endogenous retroviruses by ATF3 drives interferon signaling in aging
期刊: Nature Aging
DOI:
IF: 17
应用: WB
反应种属: Mouse
发表时间: 2024 Nov
-
SP2509, a specific antagonist of LSD1, exhibits antiviral properties against Porcine epidemic diarrhea virus
期刊: BMC Veterinary Research
DOI:
IF: 2.6
应用: WB
反应种属: Human
发表时间: 2024 May
-
Genetic deletion of zinc transporter ZnT3 induces progressive cognitive deficits in mice by impairing dendritic spine plasticity and glucose metabolism
期刊: Frontiers In Molecular Neuroscience
DOI: 10.3389/fnmol.2024.1375925
IF: 3.5
应用: WB
反应种属: Mouse
发表时间: 2024 May
-
Impaired synaptic plasticity and decreased glutamatergic neuron excitability induced by SIRT1/BDNF downregulation in the hippocampal CA1 region are involved in postoperative cognitive dysfunction
期刊: Cellular & Molecular Biology Letters
DOI:
IF: 8.3
应用: WB
反应种属: Mouse
发表时间: 2024 May
-
ARHGAP4 promotes colon cancer metastasis through the TGF-β signaling pathway and may be associated with T cell exhaustion
期刊: Biochemical And Biophysical Research Communications
DOI:
IF: 3.1
应用: WB
反应种属: Human
发表时间: 2024 May
-
A blood-brain barrier- and blood-brain tumor barrier-penetrating siRNA delivery system targeting gliomas for brain tumor immunotherapy
期刊: Journal Of Controlled Release
DOI:
IF: 10.5
应用: WB
反应种属: Mouse
发表时间: 2024 May
-
UBE2T mediates SORBS3 ubiquitination to enhance IL-6/STAT3 signaling and promote lung adenocarcinoma progression
期刊: Journal Of Biochemical And Molecular Toxicology
DOI: 10.1002/jbt.23743
IF: 3.2
应用: WB
反应种属: Human
发表时间: 2024 May
-
Bone-derived PDGF-BB enhances hippocampal non-specific transcytosis through microglia-endothelial crosstalk in HFD-induced metabolic syndrome
期刊: Journal Of Neuroinflammation
DOI:
IF: 9.3
应用: WB
反应种属: Human,Mouse
发表时间: 2024 May
-
Beta-adrenergic receptor antagonist propranolol prevents bisphosphonate-related osteonecrosis of the jaw by promoting osteogenesis
期刊: Journal Of Dental Sciences
DOI:
IF: 3.5
应用: WB
反应种属: Rat
发表时间: 2024 May
-
Investigate the potential impact of Hemagglutinin from the H1N1 strain on severe pneumonia
期刊: Gene
DOI:
IF: 3.5
应用: WB
反应种属: Human
发表时间: 2024 May
-
Tedizolid phosphate alleviates DSS-induced ulcerative colitis by inhibiting senescence of cell and colon tissue through activating AMPK signaling pathway
期刊: International Immunopharmacology
DOI:
IF: 5.6
应用: WB
反应种属: Human
发表时间: 2024 May
-
PD-1 Inhibitor Aggravate Irradiation-Induced Myocardial Fibrosis by Regulating TGF-β1/Smads Signaling Pathway via GSDMD-Mediated Pyroptosis
期刊: Inflammation
DOI:
IF: 5.1
应用: WB
反应种属: Mouse
发表时间: 2024 May
-
Oncogenic HPV-induced high expression of ESM1 predicts poor prognosis and regulates aerobic glycolysis in cervical cancer
期刊: iScience
DOI:
IF: 5.8
应用: WB
反应种属: Human
发表时间: 2024 May
-
Interleukin-1β promotes human metapneumovirus replication via activating the cGAS-STING pathway
期刊: Virus Research
DOI: 10.1016/j.virusres.2024.199344
IF: 2.5
应用: WB
反应种属: Human
发表时间: 2024 Mar
-
Mechanism of Nicotiflorin in San-Ye-Qing rhizome for anti-inflammatory effect in ulcerative colitis
期刊: Phytomedicine
DOI: 10.1016/j.phymed.2024.155564
IF: 6.7
应用: WB
反应种属: Mouse,Human
发表时间: 2024 Mar
-
Lysine specific demethylase 1 inhibits sodium arsenite activation of HSCs by regulating SESN2/AMPK/ULK1 signaling pathway activity
期刊: Environmental Toxicology
DOI: 10.1002/tox.24184
IF: 4.4
应用: WB
反应种属: Mouse
发表时间: 2024 Mar
-
Dexmedetomidine activates the PKA/CREB pathway and inhibits proinflammatory factor expression through β2 adrenergic receptors
期刊: Immunity Inflammation And Disease
DOI:
IF: 3.2
应用: WB
反应种属: Human
发表时间: 2024 Mar
-
Nr4a1 enhances Wnt4 transcription to promote mesenchymal stem cell osteogenesis and alleviates inflammation-inhibited bone regeneration
期刊: Molecular Therapy
DOI:
IF: 12.4
应用: WB
反应种属: Mouse
发表时间: 2024 Mar
-
Dihydrocapsaicin suppresses the STING-mediated accumulation of ROS and NLRP3 inflammasome and alleviates apoptosis after ischemia-reperfusion injury of perforator skin flap
期刊: Phytotherapy Research
DOI:
IF: 7.2
应用: WB
反应种属: Rat
发表时间: 2024 Mar
-
Aberrance of GAP43/p-GAP43 closely associates with the pathology of neuron loss in prion-infected rodent models
期刊: Preprint And Has Not Been Certified By Peer Review
DOI:
IF:
应用: WB
反应种属: Mouse
发表时间: 2024 Mar
-
Resolving neuroinflammatory and social deficits in ASD model mice: Dexmedetomidine downregulates NF-κB/IL-6 pathway via α2AR
期刊: Brain, Behavior, And Immunity
DOI:
IF: 15.1
应用: WB
反应种属: Human
发表时间: 2024 Mar
-
MCM5 is an oncogenic driver in glioma progression through regulating cell cycle
期刊: Preprint And Has Not Been Certified By Peer Review
DOI:
IF:
应用: WB
反应种属: Human
发表时间: 2024 Mar
-
Phosphorylated CPI-17 and MLC2 as Biomarkers of Coronary Artery Spasm–Induced Sudden Cardiac Death
期刊: International Journal Of Molecular Sciences
DOI: 10.3390/ijms25052941
IF: 4.9
应用: WB
反应种属: Human,Rat
发表时间: 2024 Mar
-
Juglone induces ferroptosis in glioblastoma cells by inhibiting the Nrf2-GPX4 axis through the phosphorylation of p38MAPK
期刊: Chinese Medicine
DOI: 10.1186/s13020-024-00920-2
IF: 5.3
应用: WB
反应种属: Human
发表时间: 2024 Mar
-
High methylation of the same promoter of lncRNA ZNF582-AS1/ZNF582 promotes malignant progression of esophageal cancer
期刊: Epigenomics
DOI:
IF: 4.7
应用: WB
反应种属: Human
发表时间: 2024 Jun
-
Exploring the Potential of Thiophene Derivatives as Dual Inhibitors of β-Tubulin and Wnt/β-Catenin Pathways for Gastrointestinal Cancers in Vitro
期刊: Heliyon
DOI:
IF: 4
应用: WB
反应种属: Human
发表时间: 2024 Jun
-
Cepharanthine inhibits migration, invasion, and EMT of bladder cancer cells by activating the Rap1 signaling pathway in vitro
期刊: American Journal Of Translational Research
DOI:
IF: 1.7
应用: WB
反应种属: Human
发表时间: 2024 Jun
-
Elevated expression of ELK1 promotes breast cancer cell growth and correlates with poor prognosis of breast cancer patients
期刊: Annals Of Medicine & Surgery
DOI:
IF: 9
应用: WB
反应种属: Human
发表时间: 2024 Jun
-
Genome-wide enhancer RNA profiling adds molecular links between genetic variation and human cancers
期刊: Military Medical Research
DOI:
IF: 21.1
应用: WB
反应种属: Human
发表时间: 2024 Jun
-
Mechanisms underlying neutrophils adhesion to triple-negative breast cancer cells via CD11b-ICAM1 in promoting breast cancer progression
期刊: Cell Communication And Signaling
DOI:
IF: 8.2
应用: WB
反应种属: Human
发表时间: 2024 Jun
-
Regulating the activity of GABAergic neurons in the ventral pallidum alters the general anesthesia effect of propofol
期刊: Neuropharmacology
DOI:
IF: 4.7
应用: WB
反应种属: Mouse
发表时间: 2024 Jun
-
Total Alkaloids of Sophora alopecuroides Linn. Attenuates Rheumatoid Arthritis Through Regulating Follicular Helper T Cells
期刊: Journal Of Inflammation Research
DOI:
IF: 4.5
应用: WB
反应种属: Human
发表时间: 2024 Jun
-
Effects and mechanisms of puerarin against neuroblastoma: insights from bioinformatics and in vitro experiments
期刊: BMC Complementary Medicine and Therapies
DOI: 10.1186/s12906-024-04569-0
IF: 3.3
应用: WB
反应种属: Human
发表时间: 2024 Jul
-
CM082 suppresses hypoxia-induced retinal neovascularization in larval zebrafish
期刊: Frontiers In Pharmacology
DOI: 10.3389/fphar.2024.1336249
IF: 4.4
应用: WB
反应种属: Zebrafish
发表时间: 2024 Jul
-
Design, synthesis, and biological evaluation of Pyrido[1,2-a]pyrimidin-4-one derivatives as novel allosteric SHP2 inhibitors
期刊: Bioorganic Chemistry
DOI:
IF: 4.5
应用: WB
反应种属: Human
发表时间: 2024 Jul
-
Photothermal Sensitive Nanocomposite Hydrogel for Infectious Bone Defects
期刊: Preprint And Has Not Been Certified By Peer Review
DOI:
IF:
应用: WB
反应种属: Mouse
发表时间: 2024 Jul
-
TNFSF11/TNFRSF11A Axis Amplifies HDM-Induced Airway Remodeling by Strengthening TGFβ1/STAT3 Action
期刊: Allergy Asthma & Immunology Research
DOI:
IF: 4.1
应用: WB
反应种属: Human,Mouse
发表时间: 2024 Jul
-
Integrative analysis identifies region-and sex-specific gene networks and Mef2c as a mediator of anxiety-like behavior
期刊: Cell Reports
DOI:
IF: 7.5
应用: WB
反应种属: Mouse
发表时间: 2024 Jul
-
Liraglutide reduces bone marrow adipogenesis by miR-150-5p/GDF11 axis in diabetic rats
期刊: European Journal Of Pharmacology
DOI:
IF: 4.2
应用: WB
反应种属: Rat
发表时间: 2024 Jul
-
Creatine kinase mitochondrial 2 promotes the growth and progression of colorectal cancer via enhancing Warburg effect through lactate dehydrogenase B
期刊: Peer J
DOI:
IF: 2.3
应用: WB
反应种属: Human
发表时间: 2024 Jul
-
Suppression of STK39 weakens the MASLD/MASH process by protecting the intestinal barrier
期刊: Bioscience Trends
DOI:
IF: 5.7
应用: WB
反应种属: Human
发表时间: 2024 Jul
-
Silencing MFN2 Drives WNT/β-catenin Nucleation to Reduce Sorafenib Sensitivity in Hepatocellular Carcinoma Cells
期刊: Current Medical Science
DOI:
IF: 2
应用: WB
反应种属: Human
发表时间: 2024 Jul
-
HNRNP I promotes IRAK1 degradation to reduce podocyte apoptosis and inflammatory response alleviating renal injury in diabetic nephropathy
期刊: Immunobiology
DOI:
IF: 2.5
应用: WB
反应种属: Human
发表时间: 2024 Jul
-
Atorvastatin exerts a preventive effect against steroid-induced necrosis of the femoral head by modulating Wnt5a release
期刊: Archives Of Toxicology
DOI:
IF: 4.8
应用: WB
反应种属: Rat
发表时间: 2024 Jul
-
Mechanism of action of the Banxia–Xiakucao herb pair in sleep deprivation: New comprehensive evidence from network pharmacology, transcriptomics and molecular biology experiments
期刊: Journal Of Ethnopharmacology
DOI:
IF: 4.8
应用: WB
反应种属: Rat
发表时间: 2024 Jul
-
Effects of tanshinone IIA on endothelial cell dysfunction in uremic condition
期刊: Journal Of Biochemical And Molecular Toxicology
DOI: 10.1002/jbt.23785
IF: 3.2
应用: WB
反应种属: Human
发表时间: 2024 Jul
-
A novel trifluoromethyl quinoline derivative targeting SGK1 inducing autophagy and apoptosis via regulating mTOR/FOXO3a pathway in glioblastoma
期刊: Arabian Journal Of Chemistry
DOI:
IF: 5.3
应用: WB
反应种属: Human
发表时间: 2024 Jul
-
Milk-derived small extracellular vesicles inhibit the MAPK signaling pathway through CD36 in chronic apical periodontitis
期刊: International Journal Of Biological Macromolecules
DOI:
IF: 7.7
应用: WB
反应种属: Mouse
发表时间: 2024 Jul
-
Capsaicin Attenuates LPS-Induced Acute Lung Injury by Inhibiting Inflammation and Autophagy Through Regulation of the TRPV1/AKT Pathway
期刊: Journal Of Inflammation Research
DOI:
IF: 4.5
应用: WB
反应种属: Human
发表时间: 2024 Jan
-
Claudin-18.2 mediated interaction of gastric Cancer cells and Cancer-associated fibroblasts drives tumor progression
期刊: Cell Communication And Signaling
DOI:
IF: 8.4
应用: WB
反应种属: Human,Mouse
发表时间: 2024 Jan
-
HDAC6 inhibitor ACY-1215 enhances STAT1 acetylation to block PD-L1 for colorectal cancer immunotherapy
期刊: Cancer Immunology Immunotherapy
DOI: 10.1007/s00262-023-03624-y
IF: 5.8
应用: WB
反应种属: Mouse
发表时间: 2024 Jan
-
A pancancer analysis of histone deacetylase 3 in human tumors
期刊: Translational Cancer Research
DOI: 10.21037/tcr-23-1228
IF: 1.5
应用: WB
反应种属: Human
发表时间: 2024 Jan
-
IL-17A regulates collagen synthesis after autophagy in bronchial fibroblasts through the PI3K/AKT/mTOR pathway
期刊: Preprint And Has Not Been Certified By Peer Review
DOI:
IF:
应用: WB
反应种属: Rat
发表时间: 2024 Jan
-
Sema3A secreted by sensory nerve induces bone formation under mechanical loads
期刊: International Journal Of Oral Science
DOI:
IF: 14.9
应用: WB
反应种属: Human
发表时间: 2024 Jan
-
Mechanical strain regulates osteogenesis via Antxr1/LncRNA H19/Wnt/β-catenin axis
期刊: Journal Of Cellular Physiology
DOI: 10.1002/jcp.31214
IF: 4.5
应用: WB
反应种属: Rat
发表时间: 2024 Feb
-
OLFM2 promotes epithelial-mesenchymal transition, migration, and invasion in colorectal cancer through the TGF-β/Smad signaling pathway
期刊: BMC Cancer
DOI:
IF: 3.8
应用: WB
反应种属: Human
发表时间: 2024 Feb
-
Multivalent Aptamer-Based Lysosome-Targeting Chimeras (LYTACs) Platform for Mono- or Dual-Targeted Proteins Degradation on Cell Surface
期刊: Advanced Science
DOI: 10.1002/advs.202308924
IF: 14.3
应用: WB
反应种属: Human
发表时间: 2024 Feb
-
Asiaticoside exerts neuroprotection through targeting NLRP3 inflammasome activation
期刊: Phytomedicine
DOI: 10.1016/j.phymed.2024.155494
IF: 6.7
应用: WB
反应种属: Mouse
发表时间: 2024 Feb
-
Hesperetin Inhibits Bladder Cancer Cell Proliferation and Promotes Apoptosis and Cycle Arrest by PI3K/AKT/FoxO3a and ER Stress-mitochondria Pathways
期刊: Current Medicinal Chemistry
DOI: 10.2174/0109298673283888231217174702
IF: 3.5
应用: WB
反应种属: Human
发表时间: 2024 Feb
-
Tenacissoside H repressed the progression of glioblastoma by inhibiting the PI3K/Akt/mTOR signaling pathway
期刊: European Journal Of Pharmacology
DOI:
IF: 5
应用: WB
反应种属: Mouse
发表时间: 2024 Feb
-
FGF18 alleviates sepsis-induced acute lung injury by inhibiting the NF-κB pathway
期刊: Respiratory Research
DOI: 10.1186/s12931-024-02733-1
IF: 4.7
应用: WB
反应种属: Human
发表时间: 2024 Feb
-
BZW2 promotes malignant progression in lung adenocarcinoma through enhancing the ubiquitination and degradation of GSK3β
期刊: Cell Death Discovery
DOI:
IF: 6.1
应用: WB
反应种属: Human
发表时间: 2024 Feb
-
Integrative high-throughput enhancer surveying and functional verification divulges a YY2-condensed regulatory axis conferring risk for osteoporosis
期刊: Cell Genomics
DOI:
IF: 5.4
应用: WB
反应种属: Mouse
发表时间: 2024 Feb
-
CDK1 promotes the phosphorylation of KIFC1 to regulate the tumorgenicity of endometrial carcinoma
期刊: Journal Of Gynecologic Oncology
DOI: 10.3802/jgo.2024.35.e68
IF: 3.4
应用: WB
反应种属: Human
发表时间: 2024 Feb
-
ITGB4/BNIP3 Activates Autophagy and Reduces MHC-I Expression to Mediate Tumour Immune Escape in Pancreatic Cancer Cell Lines
期刊: Immunology
DOI: 10.1111/imm.13890
IF: 4.9
应用: WB
反应种属: Human,Mouse
发表时间: 2024 Dec
-
Dynamic control of RNA-DNA hybrid formation orchestrates DNA2 activation at stalled forks by RNAPII and DDX39A
期刊: Molecular Cell
DOI:
IF: 14.5
应用: WB
反应种属: Human
发表时间: 2024 Dec
-
Hypoxia-induced autophagy in pancreatic cancer counteracts the cytotoxicity of CD8+ T cells by inhibiting the expression of MHC-I
期刊: Genes & Immunity
DOI:
IF: 5
应用: WB
反应种属: Human
发表时间: 2024 Dec
-
Complement factor H drives idiopathic pulmonary fibrosis by autocrine C3 regulation, suppressing macrophage phagocytosis and enhancing fibrotic progression
期刊: Biochemical And Biophysical Research Communications
DOI:
IF: 2.5
应用: WB
反应种属: Mouse
发表时间: 2024 Dec
-
Plasma CircCYP24A1 as a Novel Biomarker of Esophageal Squamous Cell Carcinoma
期刊: Technology In Cancer Research & Treatment
DOI:
IF: 2.7
应用: WB
反应种属: Human
发表时间: 2024 Dec
-
Sparstolonin B potentiates the antitumor activity of nanovesicle-loaded drugs by suppressing the phagocytosis of macrophages in vivo
期刊: Journal Of Nanobiotechnology
DOI:
IF: 10.6
应用: WB
反应种属: Human
发表时间: 2024 Dec
-
Tetrachlorantraniliprole Induces Neurodevelopmental Toxicity Through Oxidative Stress-Mediated Apoptosis and Dysregulation of Wnt Signaling Pathway
期刊: Aquatic Toxicology
DOI:
IF: 4.1
应用: WB
反应种属: Zebrafish
发表时间: 2024 Dec
-
Tomatidine Alleviates Intervertebral Disc Degeneration by Activating the Nrf2/HO-1/GPX4 Signaling Pathway
期刊: Drug Design Development And Therapy
DOI:
IF: 4.7
应用: WB
反应种属: Rat
发表时间: 2024 Dec
-
Design and synthesis of JNK1-targeted PROTACs and research on the activity
期刊: Bioorganic Chemistry
DOI:
IF: 4.5
应用: WB
反应种属: Rat
发表时间: 2024 Dec
-
A Novel Nanoscale Phase-Change Contrast Agent Evaluates the Hepatic Fibrosis Through Targeting Hepatic Stellate Cell Platelet-Derived Factor Beta Receptor by Ultrasound in Vitro
期刊: Ultrasound In Medicine & Biology
DOI:
IF: 2.4
应用: WB
反应种属: Rat
发表时间: 2024 Dec
-
PDIA6 promotes the progression of ESCC via AKT1/mTOR signal pathway by forming disulfide-dependent TRAF4
期刊: Research Square
DOI:
IF:
应用: WB
反应种属: Human
发表时间: 2024 Dec
-
Plateau hypoxia-induced upregulation of reticulon 4 pathway mediates altered autophagic flux involved in blood–brain barrier disruption after traumatic brain injury
期刊: Neuroreport
DOI:
IF: 1.6
应用: WB
反应种属: Mouse
发表时间: 2024 Dec
-
Purinergic P2X7 receptor mediates hyperoxia-induced injury in pulmonary microvascular endothelial cells via NLRP3-mediated pyroptotic pathway
期刊: Open Medicine
DOI: 10.1515/med-2024-1097
IF: 1.7
应用: WB
反应种属: Human
发表时间: 2024 Dec
-
Prenatal dexamethasone exposure reduces osteoprogenitor proliferation in mice via histone modifications at the Mkp-1 gene locus
期刊: Communications Biology
DOI:
IF: 5.2
应用: WB
反应种属: Mouse
发表时间: 2024 Dec
-
A multi-omics approach identifies the key role of disorders of sphingolipid metabolism in Ang II-induced hypertensive cardiomyopathy myocardial remodeling
期刊: Scientific Reports
DOI:
IF: 3.8
应用: WB
反应种属: Rat
发表时间: 2024 Dec
-
A novel theranostic strategy for myocardial infarction through neutralization of endogenous SO2 using an endoplasmic reticulum-targeted fluorescent probe
期刊: European Journal Of Medicinal Chemistry
DOI:
IF: 6
应用: WB
反应种属: Mouse
发表时间: 2024 Aug
-
Glycine Receptor Beta Subunit (GlyR-β) Promotes Potential Angiogenesis and Neurological Regeneration during Early-Stage Recovery after Cerebral Ischemia Stroke/Reperfusion in Mice
期刊: Journal Of Integrative Neuroscience
DOI:
IF: 2.5
应用: WB
反应种属: Mouse
发表时间: 2024 Aug
-
Design, synthesis, anti-tumor activity and mechanism of novel PROTACs as degraders of PD-L1 and inhibitors of PD-1/PD-L1 interaction
期刊: Bioorganic & Medicinal Chemistry
DOI:
IF: 3.3
应用: WB
反应种属: Mouse
发表时间: 2024 Aug
-
Pyroptosis-related gene GSDMC indicates poor prognosis and promotes tumor progression by activating the AKT/mTOR pathway in lung squamous cell carcinoma
期刊: Molecular Carcinogenesis
DOI: 10.1002/mc.23805
IF: 3
应用: WB
反应种属: Mouse
发表时间: 2024 Aug
-
Molecular Characteristics and Pathogenic Mechanisms of KPC-3 Producing Hypervirulent Carbapenem-Resistant Klebsiella Pneumoniae (ST23-K1)
期刊: Frontiers In Cellular And Infection Microbiology
DOI: 10.3389/fcimb.2024.1407219
IF: 4.6
应用: WB
反应种属: Mouse
发表时间: 2024 Aug
-
Blocker-SELEX: a structure-guided strategy for developing inhibitory aptamers disrupting undruggable transcription factor interactions
期刊: Nature Communications
DOI: 10.1038/s41467-024-51197-w
IF: 14.7
应用: WB
反应种属: Human
发表时间: 2024 Aug
-
Discovering New Metallo-Deubiquitinase CSN5 Inhibitors by a Non-Catalytic Activity Assay Platform
期刊: Journal Of Medicinal Chemistry
DOI:
IF: 6.8
应用: WB
反应种属: Human
发表时间: 2024 Aug
-
Soluble TGF-β decoy receptor TGFBR3 exacerbates Alzheimer's disease pathology by modifying microglial function
期刊: Glia
DOI: 10.1002/glia.24606
IF: 5.4
应用: WB
反应种属: Mouse
发表时间: 2024 Aug
-
Monoacylglycerol lipase blockades the senescence-associated secretory phenotype by interfering with NF-κB activation and promotes docetaxel efficacy in prostate cancer
期刊: Oncogene
DOI:
IF: 6.9
应用: WB
反应种属: Human,Mouse
发表时间: 2024 Aug
-
Multifunctional and immunoregulatory microenvironment-responsive hydrogel for whole course management of infected diabetic wounds
期刊: Chemical Engineering Journal
DOI:
IF: 13.3
应用: WB
反应种属: Human
发表时间: 2024 Aug
-
Inhibition of mitochondrial ROS-mediated necroptosis by Dendrobium nobile Lindl. alkaloids in carbon tetrachloride induced acute liver injury
期刊: Journal Of Ethnopharmacology
DOI:
IF: 5.4
应用: WB
反应种属: Mouse
发表时间: 2024 Apr
-
Exploring novel indazole derivatives as ASK1 inhibitors: design, synthesis, biological evaluation and docking studies
期刊: Bioorganic Chemistry
DOI:
IF: 5.1
应用: WB
反应种属: Human
发表时间: 2024 Apr
-
Senescent-like macrophages mediate angiogenesis for endplate sclerosis via IL-10 secretion in male mice
期刊: Nature Communications
DOI:
IF: 16.6
应用: WB
反应种属: Mouse
发表时间: 2024 Apr
-
Discovery of a doublecortin-like kinase 1 inhibitor to prevent inflammatory responses in acute lung injury
期刊:
DOI:
IF: 4.5
应用: WB
反应种属: Mouse
发表时间: 2024 Apr
-
Icariin inhibits chondrocyte ferroptosis and alleviates osteoarthritis by enhancing the SLC7A11/GPX4 signaling
期刊: International Immunopharmacology
DOI:
IF: 5.6
应用: WB
反应种属: Human,Rat
发表时间: 2024 Apr
-
Design, Synthesis, and Evaluation of Dihydropyrimidine Derivatives as Selective PDE1 Inhibitors for the Treatment of Liver Fibrosis
期刊: Journal Of Medicinal Chemistry
DOI:
IF: 7.3
应用: WB
反应种属: Rat
发表时间: 2024 Apr
-
Association of FOXO3A with right ventricular myocardial fibrosis and its detection by speckle-tracking echocardiography in pulmonary hypertension
期刊: Echocardiography-A Journal Of Cardiovascular Ultrasound And Allied Techniques
DOI:
IF: 1.5
应用: WB
反应种属: Rat
发表时间: 2023 Sept
-
Hsa-miR-26a-5p improves OSCC sensitivity to ferroptosis by inhibiting SLC7A11
期刊: Archives Of Oral Biology
DOI: 10.1016/j.archoralbio.2023.105807
IF: 3
应用: WB
反应种属: Human
发表时间: 2023 Sept
-
TRIM28 recruits E2F1 to regulate CBX8-mediated cell proliferation and tumor metastasis of ovarian cancer
期刊: Human Cell
DOI: 10.1007/s13577-023-00983-7
IF: 4.3
应用: WB
反应种属: Human
发表时间: 2023 Sept
-
Heat-inactivated Bifidobacterium adolescentis ameliorates colon senescence through Paneth-like-cell-mediated stem cell activation
期刊: Nature Communications
DOI: 10.1038/s41467-023-41827-0
IF: 16.6
应用: WB
反应种属: Mouse
发表时间: 2023 Sept
-
Acetyl-coenzyme A acetyltransferase 1 promotes brown adipogenesis by activating the AMPK-PGC1α signaling pathway
期刊: Biochimica Et Biophysica Acta-Molecular And Cell Biology Of Lipids
DOI:
IF: 4.8
应用: WB
反应种属: Mouse
发表时间: 2023 Oct
-
Plasma TNFRSF11B as a New Predictive Inflammatory Marker of Sepsis-ARDS with Endothelial Dysfunction
期刊: Journal Of Proteome Research
DOI:
IF: 4.4
应用: WB
反应种属: Mouse,Human
发表时间: 2023 Oct
-
Validation of a physiological type 2 diabetes model in human periodontal ligament stem cells
期刊: Oral Diseases
DOI:
IF: 3.8
应用: WB
反应种属: Human
发表时间: 2023 Oct
-
Potential role of Bcl2 in lipid metabolism and synaptic dysfunction of age-related hearing loss
期刊: Neurobiology Of Disease
DOI:
IF: 6.1
应用: WB
反应种属: Rat
发表时间: 2023 Oct
-
Disrupting endogenous retroelements with a reverse transcriptase inhibitor alleviates DSS-induced colitis in mice
期刊: Mucosal Immunology
DOI: 10.1016/j.mucimm.2023.10.004
IF: 8
应用: WB
反应种属: Mouse
发表时间: 2023 Oct
-
The Effect of JAK Inhibitor Tofacitinib on Chondrocyte Autophagy.
期刊:
DOI:
IF: 4.657
应用: WB
反应种属: Human
发表时间: 2023 Oct
-
Silencing of PD-1 combined with EBV-specific killer T cells for the treatment of EBV-associated B lymphoma
期刊: Translational Oncology
DOI:
IF: 5
应用: WB
反应种属: Mouse
发表时间: 2023 Nov
-
3-AP inhibits the growth of human osteosarcoma by decreasing the activity of the iron-dependent pathway
期刊: Medical Oncology
DOI: 10.1007/s12032-023-02215-2
IF: 3.4
应用: WB
反应种属: Mouse
发表时间: 2023 Nov
-
Abnormal mechanical stress induced chondrocyte senescence by YAP loss-mediated METTL3 upregulation
期刊: Oral Diseases
DOI: 10.1111/odi.14810
IF: 3.8
应用: WB
反应种属: Human,Rat
发表时间: 2023 Nov
-
IL-37 counteracts inflammatory injury in the temporomandibular joint via the intracellular pathway
期刊: Frontiers In Pharmacology
DOI: 10.3389/fphar.2023.1250216
IF: 5.6
应用: WB
反应种属: Human
发表时间: 2023 Nov
-
The anticancer mechanisms of exopolysaccharide from Weissella cibaria D-2 on colorectal cancer via apoptosis induction
期刊: Scientific Reports
DOI: 10.1038/s41598-023-47943-7
IF: 4.6
应用: WB
反应种属: Human
发表时间: 2023 Nov
-
IRE1α/XBP-1 promotes β-catenin signaling activation of airway epithelium in lipopolysaccharide-induced acute lung injury
期刊: Pulmonary Pharmacology & Therapeutics
DOI:
IF: 3.2
应用: WB
反应种属: Mouse
发表时间: 2023 Nov
-
Circular RNA ZBTB46 depletion alleviates the progression of Atherosclerosis by regulating the ubiquitination and degradation of hnRNPA2B1 via the AKT/mTOR pathway
期刊: Immunity & Ageing
DOI: 10.1186/s12979-023-00386-0
IF: 7.9
应用: WB
反应种属: Human
发表时间: 2023 Nov
-
Human TFF2-Fc fusion protein alleviates DSS-induced ulcerative colitis in C57BL/6 mice by promoting intestinal epithelial cells repair and inhibiting macrophage inflammation
期刊: Inflammopharmacology
DOI:
IF: 5.093
应用: WB
反应种属: Mouse
发表时间: 2023 May
-
Glucagon-Like Peptide-1 Inhibits the Progression of Abdominal Aortic Aneurysm in Mice: The Earlier, the Better
期刊: Cardiovascular Drugs And Therapy
DOI:
IF: 3.4
应用: WB
反应种属: Mouse
发表时间: 2023 May
-
DSS-induced acute colitis causes dysregulated tryptophan metabolism in brain: an involvement of gut microbiota
期刊: Journal Of Nutritional Biochemistry
DOI:
IF: 5.6
应用: WB
反应种属: Mouse
发表时间: 2023 May
-
TPP1 inhibits DNA damage response and chemosensitivity in esophageal cancer
期刊: Critical Reviews In Eukaryotic Gene Expression
DOI:
IF: 1.6
应用: WB
反应种属: Human
发表时间: 2023 May
-
Apatinib Inhibits Bladder Cancer through Suppression of the VEGFR2-PI3K-AKT Signaling Pathway as Revealed by Network Pharmacology and in vitro Experimental Verification
期刊: Combinatorial Chemistry & High Throughput Screening
DOI:
IF: 1.8
应用: WB
反应种属: Human
发表时间: 2023 Mar
-
LAMP5 may promote MM progression by activating p38
期刊: Pathology & Oncology Research
DOI:
IF: 2.874
应用: WB
反应种属: Human
发表时间: 2023 Mar
-
Mangiferin relieves CCl4-induced liver fibrosis in mice
期刊: Scientific Reports
DOI:
IF: 4.996
应用: WB
反应种属: Mouse
发表时间: 2023 Mar
-
Design, Synthesis, and Biological Evaluation of Sulfonamide Methoxypyridine Derivatives as Novel PI3K/mTOR Dual Inhibitors
期刊: Pharmaceuticals
DOI:
IF: 5.215
应用: WB
反应种属: Human
发表时间: 2023 Mar
-
Methylprednisolone Promotes Mycobacterium smegmatis Survival in Macrophages through NF-κB/DUSP1 Pathway
期刊: Microorganisms
DOI:
IF: 4.926
应用: WB
反应种属: Mouse
发表时间: 2023 Mar
-
dCas9-Based PDGFR-β Activation ADSCs Accelerate Wound Healing in Diabetic Mice through Angiogenesis and ECM Remodeling
期刊: International Journal Of Molecular Sciences
DOI:
IF: 6.208
应用: WB
反应种属: Mouse,Human
发表时间: 2023 Mar
-
Cyclic tensile force modifies calvarial osteoblast function via the interplay between ERK1/2 and STAT3
期刊: BMC Molecular and Cell Biology
DOI:
IF: 2.813
应用: WB
反应种属: Mouse
发表时间: 2023 Mar
-
Lactobacillus plantarum LLY-606 supplementation ameliorates hyperuricemia via modulating intestinal homeostasis and relieving inflammation.
期刊:
DOI:
IF: 6.317
应用: WB
反应种属: Mouse
发表时间: 2023 Jun
-
Stratifin promotes the growth and proliferation of hepatocellular carcinoma
期刊: Tissue & Cell
DOI:
IF: 2.6
应用: WB
反应种属: Human
发表时间: 2023 Jun
-
The Mechanosensitive Piezo1 Channel Mediates Mechanochemical Transmission in Myopic Eyes
期刊: Investigative Ophthalmology & Visual Science
DOI:
IF: 4.925
应用: WB
反应种属: Guinea pig
发表时间: 2023 Jun
-
Identification of a novel role for TL1A/DR3 deficiency in acute respiratory distress syndrome that exacerbates alveolar epithelial disruption
期刊: Respiratory Research
DOI:
IF: 5.8
应用: WB
反应种属: Mouse
发表时间: 2023 Jul
-
Aminopeptidase MNP-1 triggers intestine protease production by activating daf-16 nuclear location to degrade pore-forming toxins in Caenorhabditis elegans
期刊: PLoS Pathogens
DOI:
IF: 6.7
应用: WB
反应种属: C.elegans
发表时间: 2023 Jul
-
Andrographolide induced ferroptosis in multiple myeloma cells by regulating the P38/Nrf2/HO-1 pathway
期刊: Archives Of Biochemistry And Biophysics
DOI:
IF: 3.9
应用: WB
反应种属: Human
发表时间: 2023 Jul
-
Bone marrow mesenchymal stem cell-derived exosomes loaded with miR-26a through the novel immunomodulatory peptide DP7-C can promote osteogenesis
期刊: Biotechnology Letters
DOI:
IF: 2.7
应用: WB
反应种属: Rat
发表时间: 2023 Jul
-
EYE-503: A Novel Retinoic Acid Drug for Treating Retinal Neurodegeneration
期刊: Pharmaceuticals
DOI:
IF: 4.6
应用: WB
反应种属: Mouse
发表时间: 2023 Jul
-
METTL3‐dependent m6A modification mediates bladder remodeling after partial bladder outlet obstruction through CCN2 activation
期刊: Neurourology And Urodynamics
DOI:
IF: 2
应用: WB
反应种属: Rat
发表时间: 2023 Jul
-
Renal ectopic lipid deposition in rats with early-stage diabetic nephropathy evaluated by the MR mDixon-Quant technique: association with the expression of SREBP-1 and PPARα in renal tissue
期刊: Quantitative Imaging In Medicine And Surgery
DOI:
IF: 5.8
应用: WB
反应种属: Mouse
发表时间: 2023 Jul
-
Roles of PADI4 in the expression of cytokines involved in inflammation and adhesion in differentiated NB4 cells treated with ATRA
期刊: Experimental And Therapeutic Medicine
DOI:
IF: 2.751
应用: WB
反应种属: Human
发表时间: 2023 Jan
-
Carvedilol exhibits anti-acute T lymphoblastic leukemia effect in vitro and in vivo via inhibiting β-ARs signaling pathway
期刊: Biochemical And Biophysical Research Communications
DOI:
IF: 3.1
应用: WB
反应种属: Human
发表时间: 2023 Jan
-
PD-1/PD-L1 blockade is a potent adjuvant in treatment of Staphylococcus aureus osteomyelitis in mice
期刊: Molecular Therapy
DOI:
IF: 12.4
应用: WB
反应种属: Mouse
发表时间: 2023 Jan
-
Analysis of the expression and prognostic significance of DDK complex in Hepatocarcinoma
期刊: BMC Cancer
DOI:
IF: 4.638
应用: WB
反应种属: Human
发表时间: 2023 Jan
-
Overexpression of the FERONIA receptor kinase MdMRLK2 confers apple drought tolerance by regulating energy metabolism and free amino acids production
期刊: Tree Physiology
DOI:
IF: 4
应用: WB
反应种属: Plant
发表时间: 2023 Jan
-
(Pro)renin receptor promotes colorectal cancer progression through inhibiting the NEDD4L-mediated Wnt3 ubiquitination and modulating gut microbiota
期刊: Cell Communication And Signaling
DOI:
IF: 7.525
应用: WB
反应种属: Human
发表时间: 2023 Jan
-
Transcription factor ETS proto-oncogene 1 contributes to neuropathic pain by regulating histone deacetylase 1 in primary afferent neurons
期刊: Molecular Pain
DOI:
IF: 3.370
应用: WB
反应种属: Mouse
发表时间: 2023 Jan
-
DSS-induced colitis activates the kynurenine pathway in serum and brain by affecting IDO-1 and gut microbiota
期刊: Frontiers In Immunology
DOI:
IF: 8.786
应用: WB
反应种属: Mouse
发表时间: 2023 Jan
-
Spatial and temporal alterations of developing oligodendrocytes induced by repeated sevoflurane exposure in neonatal mice
期刊: Biochemical And Biophysical Research Communications
DOI:
IF:
应用: WB
反应种属: Mouse
发表时间: 2023 Jan
-
NCOA2-induced secretion of leptin leads to fetal growth restriction via the NF-κB signaling pathway
期刊: Annals Of Translational Medicine
DOI:
IF: 3.616
应用: WB
反应种属: Human
发表时间: 2023 Feb
-
Alpha-Asarone Ameliorates Neurological Dysfunction of Subarachnoid Hemorrhagic Rats in Both Acute and Recovery Phases via Regulating the CaMKII-Dependent Pathways
期刊: Translational Stroke Research
DOI:
IF: 6.800
应用: WB
反应种属: Rat
发表时间: 2023 Feb
-
Characterization of early myocardial inflammation in ischemia-reperfusion injury
期刊: Frontiers In Immunology
DOI:
IF: 8.786
应用: WB
反应种属: Mouse
发表时间: 2023 Feb
-
Palmitoyl Transferase FonPAT2-Catalyzed Palmitoylation of the FonAP-2 Complex Is Essential for Growth, Development, Stress Response, and Virulence in Fusarium oxysporum f. sp. niveum
期刊: Microbiology Spectrum
DOI:
IF: 9.043
应用: WB
反应种属: Fusarium oxysporum
发表时间: 2023 Feb
-
Tunicamycin induces depression-like behaviors in male rats, accompanied by initiated chaperon-mediated autophagy and decreased synaptic protein expression in the hippocampus
期刊: Neuroscience Letters
DOI:
IF:
应用: WB
反应种属: Rat
发表时间: 2023 Feb
-
Overexpression of SLC35F2 is a potential prognostic biomarker for lung adenocarcinoma
期刊: Heliyon
DOI: 10.1016/j.heliyon.2023.e23828
IF: 4
应用: WB
反应种属: Human
发表时间: 2023 Dec
-
Down-regulation of EZH2 genes targeting RUNX3 affects proliferation, invasion, and metastasis of human colon cancer cells by Wnt/β-catenin signaling pathway
期刊: Aging-Us
DOI: 10.18632/aging.205197
IF: 5.2
应用: WB
反应种属: Human
发表时间: 2023 Dec
-
A novel L-shaped ortho-quinone analog as PLK1 inhibitor blocks prostate cancer cells in G2 phase
期刊: Biochemical Pharmacology
DOI: 10.1016/j.bcp.2023.115960
IF: 5.8
应用: WB
反应种属: Human
发表时间: 2023 Dec
-
Cucurbitacin E reduces IL-1β-induced inflammation and cartilage degeneration by inhibiting the PI3K/Akt pathway in osteoarthritic chondrocytes
期刊: Journal Of Translational Medicine
DOI: 10.1186/s12967-023-04771-7
IF: 7.4
应用: WB
反应种属: Human
发表时间: 2023 Dec
-
RCN1 deficiency inhibits oral squamous cell carcinoma progression and THP-1 macrophage M2 polarization
期刊: Scientific Reports
DOI: 10.1038/s41598-023-48801-2
IF: 4.6
应用: WB
反应种属: Human
发表时间: 2023 Dec
-
Pre‐rRNA Facilitates TopBP1‐Mediated DNA Double‐Strand Break Response
期刊: Advanced Science
DOI:
IF: 15.1
应用: WB
反应种属: Human,Mouse
发表时间: 2023 Aug
-
Saikosaponin-D induces the pyroptosis of lung cancer by increasing ROS and activating the NF-κB/NLRP3/caspase-1/GSDMD pathway
期刊: Journal Of Biochemical And Molecular Toxicology
DOI:
IF: 3.6
应用: WB
反应种属: Human
发表时间: 2023 Aug
-
Protein-level mutant p53 reporters identify druggable rare precancerous clones in noncancerous tissues
期刊: Nature Cancer
DOI:
IF: 22.7
应用: WB
反应种属: Mouse
发表时间: 2023 Aug
-
Discovery of Novel 1,2,3,4-Tetrahydrobenzofuro[2,3-c]pyridine Histone Deacetylase Inhibitors for Efficient Treatment of Hepatocellular Carcinoma
期刊: Journal Of Medicinal Chemistry
DOI:
IF: 7.3
应用: WB
反应种属: Human
发表时间: 2023 Aug
-
Deletion of the chd7 Hinders Oligodendrocyte Progenitor Cell Development and Myelination in Zebrafish
期刊: International Journal Of Molecular Sciences
DOI:
IF: 5.6
应用: WB
反应种属: Zebrafish
发表时间: 2023 Aug
-
A programmed cell death-related model based on machine learning for predicting prognosis and immunotherapy responses in patients with lung adenocarcinoma
期刊: Frontiers In Immunology
DOI:
IF: 7.3
应用: WB
反应种属: Human
发表时间: 2023 Aug
-
DNA-Based Hydrogels with Multidrug Sequential Release for Promoting Diabetic Wound Regeneration
期刊: Journal Of The American Chemical Society Aurum
DOI: 10.1021/jacsau.3c00408
IF: 8
应用: WB
反应种属: Mouse
发表时间: 2023 Aug
-
CILP2: A prognostic biomarker associated with immune infiltration in colorectal cancer
期刊: Heliyon
DOI:
IF: 3.776
应用: WB
反应种属: Human
发表时间: 2023 Apr
-
Renal tubule-targeted dexrazoxane suppresses ferroptosis in acute kidney injury by inhibiting ACMSD
期刊: Nano Research
DOI: 10.1007/s12274-023-5547-8
IF: 9.9
应用: WB
反应种属: Human
发表时间: 2023 Apr
-
Fibroblast Growth Factor 6 Promotes Adipocyte Progenitor Cell Proliferation for Adipose Tissue Homeostasis
期刊: Diabetes
DOI:
IF:
应用: WB
反应种属: Mouse
发表时间: 2023 Apr
-
Sustained delivery of IL-10 by self-assembling peptide hydrogel to reprogram macrophages and promote diabetic alveolar bone defect healing
期刊: Dental Materials
DOI:
IF: 5
应用: WB
反应种属: Mouse
发表时间: 2023 Apr
-
The Cytidine N-Acetyltransferase NAT10 Participates in Peripheral Nerve Injury-Induced Neuropathic Pain by Stabilizing SYT9 Expression in Primary Sensory Neurons
期刊: Journal Of Neuroscience
DOI:
IF: 5.3
应用: WB
反应种属: Mouse
发表时间: 2023 Apr
-
miR-210-3p suppresses osteogenic differentiation of MC3T3-E1 by targeting brain derived neurotrophic factor (BDNF)
期刊: Journal Of Orthopaedic Surgery And Research
DOI:
IF: 2.677
应用: WB
反应种属: Mouse
发表时间: 2022 Sept
-
Downregulation of fibulin-4 inhibits autophagy and promotes the sensitivity of esophageal squamous cell carcinoma cells to apatinib by activating the Akt-mTOR signaling pathway
期刊: Thoracic Cancer
DOI:
IF: 3.223
应用: WB
反应种属: Human
发表时间: 2022 Sept
-
NORAD promotes multiple myeloma cell progression via BMP6/P-ERK1/2 axis
期刊: Cellular Signalling
DOI:
IF: 4.850
应用: WB
反应种属: Mouse
发表时间: 2022 Sept
-
Effect of Kaempferol on the Biological Behavior of Human Colon Cancer via Regulating MMP1, MMP2, and MMP9
期刊: Journal Of Oncology
DOI:
IF: 4.501
应用: WB
反应种属: Human
发表时间: 2022 Sept
-
Development of a highly sensitive Gaussia luciferase immunoprecipitation assay for the detection of antibodies against African swine fever virus
期刊: Frontiers In Cellular And Infection Microbiology
DOI:
IF: 6.073
应用: WB
反应种属: Human
发表时间: 2022 Sept
-
Integrative analysis reveals histone demethylase LSD1 promotes RNA polymerase II pausing
期刊: iScience
DOI:
IF: 6.107
应用: WB
反应种属: Mouse
发表时间: 2022 Sept
-
MYOZ1 Gene Promotes Muscle Growth and Development in Meat Ducks
期刊: Genes
DOI:
IF: 4.141
应用: WB
反应种属: Duck
发表时间: 2022 Sept
-
Modified Montmorillonite Improved Growth Performance of Broilers by Modulating Intestinal Microbiota and Enhancing Intestinal Barriers, Anti-Inflammatory Response, and Antioxidative Capacity
期刊: Antioxidants
DOI:
IF: 7.675
应用: WB
反应种属: Chicken
发表时间: 2022 Sept
-
Mitochondrial Porin Is Involved in Development, Virulence, and Autophagy in Fusarium graminearum
期刊: Journal Of Fungi
DOI:
IF: 5.724
应用: WB
反应种属: Strain
发表时间: 2022 Sept
-
Hypomethylated gene RAC3 induces cell proliferation and invasion by increasing FASN expression in endometrial cancer
期刊: International Journal Of Biochemistry And Cell Biology
DOI:
IF: 4
应用: WB
反应种属: Human
发表时间: 2022 Sep
-
Identification of nanoparticle-mediated siRNA-ASPN as a key gene target in the treatment of keloids
期刊: Frontiers In Bioengineering And Biotechnology
DOI:
IF: 6.064
应用: WB
反应种属: Mouse
发表时间: 2022 Oct
-
Lycium barbarum polysaccharide‐glycoprotein promotes osteogenesis in hPDLSCs via ERK activation
期刊: Oral Diseases
DOI:
IF: 3.8
应用: WB
反应种属: Human
发表时间: 2022 Oct
-
Chemoprevention of 4NQO-Induced Mouse Tongue Carcinogenesis by AKT Inhibitor through the MMP-9/RhoC Signaling Pathway and Autophagy
期刊: Analytical Cellular Pathology
DOI:
IF: 4.133
应用: WB
反应种属: Human
发表时间: 2022 Oct
-
Overexpression of adrenomedullin (ADM) alleviates the senescence of human dental pulp stem cells by regulating the miR-152/CCNA2 pathway
期刊: Cell Cycle
DOI:
IF: 5.173
应用: WB
反应种属: Human
发表时间: 2022 Oct
-
Dynamin-Related Protein 1 Is Involved in Mitochondrial Damage, Defective Mitophagy, and NLRP3 Inflammasome Activation Induced by MSU Crystals
期刊: Oxidative Medicine And Cellular Longevity
DOI:
IF: 7.310
应用: WB
反应种属: Mouse
发表时间: 2022 Oct
-
Icariin alleviates osteoarthritis through PI3K/Akt/mTOR/ULK1 signaling pathway
期刊: European Journal Of Medical Research
DOI:
IF: 4.981
应用: WB
反应种属: Human
发表时间: 2022 Oct
-
Shikonin induces ferroptosis in multiple myeloma via GOT1-mediated ferritinophagy
期刊: Frontiers In Oncology
DOI:
IF: 5.738
应用: WB
反应种属: Human
发表时间: 2022 Oct
-
Glycyrrhetinic acid restricts mitochondrial energy metabolism by targeting SHMT2
期刊: iScience
DOI:
IF: 5.458
应用: WB
反应种属: Human
发表时间: 2022 May
-
SGK1‐targeted TRPV1 regulates bladder smooth muscle cell proliferation due to BOO in mice via NFAT2
期刊: International Union Of Biochemistry And Molecular Biology Life
DOI:
IF: 3.885
应用: WB
反应种属: Mouse
发表时间: 2022 May
-
Human UFSP1 translated from an upstream near-cognate initiation codon functions as an active UFM1-specific protease
期刊: Journal Of Biological Chemistry
DOI:
IF: 5.157
应用: WB
反应种属: Human
发表时间: 2022 May
-
N-acetylcholine receptors regulate cytokines expression and neutrophils recruitment via MAPK/ERK signaling in zebrafish
期刊: Developmental And Comparative Immunology
DOI:
IF: 2.9
应用: WB
反应种属: Zebrafish
发表时间: 2022 Mar
-
TL1A/DR3 Axis, A Key Target of TNF-a, Augments the Epithelial–Mesenchymal Transformation of Epithelial Cells in OVA-Induced Asthma
期刊: Frontiers In Immunology
DOI:
IF: 7.561
应用: WB
反应种属: Human
发表时间: 2022 Mar
-
A Temporal PROTAC Cocktail-Mediated Sequential Degradation of AURKA Abrogates Acute Myeloid Leukemia Stem Cells
期刊: Advanced Science
DOI:
IF: 16.806
应用: WB
反应种属: Mouse
发表时间: 2022 Jun
-
Hypoxia regulates cytokines expression and neutrophils migration by ERK signaling in zebrafish
期刊: Fish & Shellfish Immunology
DOI:
IF: 4.7
应用: WB
反应种属: Zebrafish
发表时间: 2022 Jun
-
LncRNA KCNQ1OT1 promotes osteogenic differentiation via miR-205-5p/RICTOR axis
期刊: Experimental Cell Research
DOI:
IF: 3.7
应用: WB
反应种属: Human
发表时间: 2022 Jun
-
Dietary Supplement of Anoectochilus roxburghii (Wall.) Lindl. Polysaccharides Ameliorates Cognitive Dysfunction Induced by High Fat Diet via “Gut-Brain” Axis
期刊: Drug Design Development And Therapy
DOI:
IF: 4.162
应用: WB
反应种属: Mouse
发表时间: 2022 Jun
-
The LAMMER Kinase MoKns1 Regulates Growth, Conidiation and Pathogenicity in Magnaporthe oryzae
期刊: International Journal Of Molecular Sciences
DOI:
IF: 6.208
应用: WB
反应种属: M. Oryzae
发表时间: 2022 Jul
-
Identification and validation of HOXD3 and UNC5C as molecular signatures in keloid based on weighted gene co-expression network analysis
期刊: Genomics
DOI:
IF: 4.4
应用: WB
反应种属: Human
发表时间: 2022 Jul
-
Vitamin D Receptor Genetic Polymorphisms Associate With a Decreased Susceptibility to Extremity Osteomyelitis Partly by Inhibiting Macrophage Apoptosis Through Inhibition of Excessive ROS Production via VDR-Bmi1 Signaling
期刊: Front Physiology
DOI:
IF: 4.755
应用: WB
反应种属: S.aureus,Human
发表时间: 2022 Jul
-
Agrimonolide inhibits cancer progression and induces ferroptosis and apoptosis by targeting SCD1 in ovarian cancer cells
期刊: Phytomedicine
DOI:
IF: 7.9
应用: WB
反应种属: Human
发表时间: 2022 Jul
-
The Role of microRNA-133 in Hemocyte Proliferation and Innate Immunity of Scylla paramamosain
期刊: Frontiers In Immunology
DOI:
IF: 7.561
应用: WB
反应种属: Crab
发表时间: 2022 Jan
-
Natural Flavonoid Pectolinarigenin Alleviated Hyperuricemic Nephropathy via Suppressing TGFβ/SMAD3 and JAK2/STAT3 Signaling Pathways
期刊: Frontiers In Pharmacology
DOI:
IF: 5.810
应用: WB
反应种属: Mouse
发表时间: 2022 Jan
-
The autophagy protein BcAtg2 regulates growth, development and pathogenicity in the gray mold fungus Botrytis cinerea
期刊: Phytopathology Research
DOI: 10.1186/s42483-022-00108-2
IF: 3.955
应用: WB
反应种属: Botrytis cinerea
发表时间: 2022 Feb
-
The Food Additive β-Caryophyllene Exerts Its Neuroprotective Effects Through the JAK2-STAT3-BACE1 Pathway
期刊: Frontiers In Aging Neuroscience
DOI:
IF: 5.750
应用: WB
反应种属: Mouse
发表时间: 2022 Feb
-
Comprehensive Pan-Cancer Analyses of Immunogenic Cell Death as a Biomarker in Predicting Prognosis and Therapeutic Response
期刊: Cancers
DOI:
IF: 6.575
应用: WB
反应种属: Human
发表时间: 2022 Dec
-
From Initiation to Maintenance: HIV-1 Gp120-induced Neuropathic Pain Exhibits Different Molecular Mechanisms in the Mouse Spinal Cord Via Bioinformatics Analysis Based on RNA Sequencing
期刊: Journal Of Neuroimmune Pharmacology
DOI:
IF: 6.2
应用: WB
反应种属: Mouse
发表时间: 2022 Dec
-
Targeted Inhibition of Tumor Inflammation and Tumor-Platelet Crosstalk by Nanoparticle-Mediated Drug Delivery Mitigates Cancer Metastasis
期刊: ACS Applied Nano Materials
DOI:
IF: 15.88
应用: WB
反应种属: Mouse
发表时间: 2022 Dec
-
Effect of SNHG11/miR-7-5p/PLCB1 Axis on Acute Pancreatitis through Inhibiting p38MAPK Pathway
期刊: Cells
DOI:
IF: 7.666
应用: WB
反应种属: Human
发表时间: 2022 Dec
-
Suppression of VEGFD expression by S-nitrosylation promotes the development of lung adenocarcinoma
期刊: Journal Of Experimental & Clinical Cancer Research
DOI:
IF: 12.658
应用: WB
反应种属: Mouse
发表时间: 2022 Aug
-
Canonical Wnt signaling works downstream of iron overload to prevent ferroptosis from damaging osteoblast differentiation
期刊: Free Radical Biology And Medicine
DOI:
IF: 7.4
应用: WB
反应种属: Mouse
发表时间: 2022 Aug
-
miRNA-10a-5p Targeting the BCL6 Gene Regulates Proliferation, Differentiation and Apoptosis of Chicken Myoblasts
期刊: International Journal Of Molecular Sciences
DOI:
IF: 6.208
应用: WB
反应种属: Chicken
发表时间: 2022 Aug
-
PGK1-coupled HSP90 stabilizes GSK3β expression to regulate the stemness of breast cancer stem cells
期刊: Cancer Biology & Medicine
DOI:
IF: 5.5
应用: WB
反应种属: Human
发表时间: 2022 Aug
-
Negative Regulatory Role of the Spring Viremia of Carp Virus Matrix Protein in the Host Interferon Response by Targeting the MAVS/TRAF3 Signaling Axis
期刊: Journal Of Virology
DOI:
IF: 6.549
应用: WB
反应种属: Zebrafish
发表时间: 2022 Aug
-
Intra-bone marrow injection of magnesium isoglyrrhizinate inhibits inflammation and delays osteoarthritis progression through the NF-κB pathway
期刊: Journal Of Orthopaedic Surgery And Research
DOI:
IF: 2.677
应用: WB
反应种属: Rabbit
发表时间: 2022 Aug
-
Effect of fecal microbiota transplantation on the TGF-β1/Smad signaling pathway in rats with TNBS-induced colitis
期刊: Annals Of Translational Medicine
DOI:
IF: 3.616
应用: WB
反应种属: Rat
发表时间: 2022 Aug
-
Antioxidant and Anticancer Activities of Synthesized Methylated and Acetylated Derivatives of Natural Bromophenols
期刊: Antioxidants
DOI:
IF: 7.675
应用: WB
反应种属: Human
发表时间: 2022 Apr
-
Fraxinellone Induces Hepatotoxicity in Zebrafish through Oxidative Stress and the Transporters Pathway
期刊: Molecules
DOI:
IF: 4.412
应用: WB
反应种属: Zebrafish
发表时间: 2022 Apr
-
A sustained release of BMP2 in urine-derived stem cells enhances the osteogenic differentiation and the potential of bone regeneration
期刊: Regenerative Biomaterials
DOI:
IF: 6.353
应用: WB
反应种属: Human
发表时间: 2022 Apr
-
A Subunit of ESCRT-III, MoIst1, Is Involved in Fungal Development, Pathogenicity, and Autophagy in Magnaporthe oryzae
期刊: Frontiers In Plant Science
DOI:
IF: 5.75
应用: WB
反应种属: Pyricularia Oryzae
发表时间: 2022 Apr
-
Bromophenol Bis (2,3,6-Tribromo-4,5-dihydroxybenzyl) Ether Protects HaCaT Skin Cells from Oxidative Damage via Nrf2-Mediated Pathways
期刊: Antioxidants
DOI:
IF: 6.31
应用: WB
反应种属: Human
发表时间: 2021 Sep
-
Marine Bromophenol Bis(2,3,6-Tribromo-4,5-Dihydroxybenzyl)ether Inhibits Angiogenesis in Human Umbilical Vein Endothelial Cells and Reduces Vasculogenic Mimicry in Human Lung Cancer A549 Cells
期刊: Marine Drugs
DOI:
IF: 5.11
应用: WB
反应种属: Human
发表时间: 2021 Nov
-
Cordycepin inhibits inflammatory responses through suppression of ERK activation in zebrafish. Developmental and comparative immunology, 124, 104178. Advance online publication.
期刊: Developmental And Comparative Immunology
DOI:
IF:
应用: WB
反应种属: Zebrafish
发表时间: 2021 Nov
-
Syndecan-1 Shedding by Matrix Metalloproteinase-9 Signaling Regulates Alveolar Epithelial Tight Junction in Lipopolysaccharide-Induced Early Acute Lung Injury
期刊: Journal Of Inflammation Research
DOI:
IF: 6.922
应用: WB
反应种属: Mouse
发表时间: 2021 Nov
-
Bacillus subtilis revives conventional antibiotics against Staphylococcus aureus osteomyelitis. Microbial cell factories, 20(1), 102.
期刊: Microbial Cell Factories
DOI:
IF:
应用: WB
反应种属: Mouse
发表时间: 2021 May
-
Protective effects of berberine in a rat model of polycystic ovary syndrome mediated via the PI3K/AKT pathway
期刊: Journal Of Obstetrics And Gynaecology Research
DOI:
IF: 1.73
应用: WB
反应种属: Rat
发表时间: 2021 May
-
CDK9 Inhibitor Induces the Apoptosis of B-Cell Acute Lymphocytic Leukemia by Inhibiting c-Myc-Mediated Glycolytic Metabolism
期刊: Frontiers In Cell And Developmental Biology
DOI: 10.3389/fcell.2021.641271
IF: 6.684
应用: WB
反应种属: Human
发表时间: 2021 Mar
-
Comprehensive evaluation of the metabolic effects of porcine CRTC3 overexpression on subcutaneous adipocytes with metabolomic and transcriptomic analyses
期刊: Journal Of Animal Science And Biotechnology
DOI:
IF: 4.17
应用: WB
反应种属: Mouse
发表时间: 2021 Mar
-
Study on the transcriptome for breast muscle of chickens and the function of key gene RAC2 on fibroblasts proliferation
期刊: BMC Genomics
DOI:
IF: 3.97
应用: WB
反应种属: Chicken
发表时间: 2021 Mar
-
Nano-selenium alleviating the lipid metabolism disorder of LMH cells induced by potassium dichromate via down-regulating ACACA and FASN
期刊: Environmental Science And Pollution Research
DOI: 10.1007/s11356-021-14775-9
IF: 4.223
应用: WB
反应种属: Chicken
发表时间: 2021 Jul
-
Exosomal ANGPTL1 attenuates colorectal cancer liver metastasis by regulating Kupffer cell secretion pattern and impeding MMP9 induced vascular leakiness
期刊: Journal Of Experimental & Clinical Cancer Research
DOI:
IF: 11.16
应用: WB
反应种属: Human
发表时间: 2021 Jan
-
Neuropathic pain-induced cognitive dysfunction and down-regulation of neuronal pentraxin 2 in the cortex and hippocampus
期刊: Neuroreport
DOI:
IF: 1.83
应用: WB
反应种属: Mouse
发表时间: 2021 Feb
-
PNSA, a Novel C-Terminal Inhibitor of HSP90, Reverses Epithelial–Mesenchymal Transition and Suppresses Metastasis of Breast Cancer Cells In Vitro
期刊: Marine Drugs
DOI:
IF: 5.12
应用: WB
反应种属: Human
发表时间: 2021 Feb
-
MicroRNA-27b-3p Targets the Myostatin Gene to Regulate Myoblast Proliferation and Is Involved in Myoblast Differentiation
期刊: Cells
DOI:
IF: 6.60
应用: WB
反应种属: Chicken
发表时间: 2021 Feb
-
AMPK-PINK1/Parkin Mediated Mitophagy Is Necessary for Alleviating Oxidative Stress-Induced Intestinal Epithelial Barrier Damage and Mitochondrial Energy Metabolism Dysfunction in IPEC-J2
期刊: Antioxidants
DOI:
IF: 6.31
应用: WB
反应种属: Pig
发表时间: 2021 Dec
-
Gsα deficiency facilitates cardiac remodeling via CREB/ Bmp10-mediated signaling
期刊: Cell Death Discovery
DOI:
IF: 5.24
应用: WB
反应种属: Mouse
发表时间: 2021 Dec
-
The Antioxidant Phytochemical Schisandrin A Promotes Neural Cell Proliferation and Differentiation after Ischemic Brain Injury
期刊: Molecules
DOI:
IF: 5.03
应用: WB
反应种属: Mouse
发表时间: 2021 Dec
-
Identification of the molecular targets and mechanisms of compound mylabris capsules for hepatocellular carcinoma treatment through network pharmacology and bioinformatics analysis
期刊: Journal Of Ethnopharmacology
DOI:
IF: 4.36
应用: WB
反应种属: Rat
发表时间: 2021 Aug
-
Drinking Non-nutritive Sweetness Solution of Sodium Saccharin or Rebaudioside a for Guinea Pigs: Influence on Histologic Change and Expression of Sweet Taste Receptors in Testis and Epididymis
期刊: Frontiers In Nutrition
DOI:
IF: 6.57
应用: WB
反应种属: Pig
发表时间: 2021 Aug
-
Expression, clinical significance and correlation of RUNX3 and HER2 in colorectal cancer
期刊: Journal Of Gastrointestinal Oncology
DOI:
IF: 2.892
应用: WB
反应种属: Human
发表时间: 2021 Aug
-
Tumor-derived HMGB1 induces CD62Ldim neutrophil polarization and promotes lung metastasis in triple-negative breast cancer
期刊: Oncogenesis
DOI:
IF: 6.119
应用: WB
反应种属: Mouse
发表时间: 2020 Sep
-
Cereblon Promotes the Ubiquitination and Proteasomal Degradation of Interleukin Enhancer-Binding Factor 2
期刊: Protein Journal
DOI: 10.1007/s10930-020-09918-9
IF: 1.317
应用: WB
反应种属: Human
发表时间: 2020 Oct
-
Pharmacological targeting of MCL-1 promotes mitophagy and improves disease pathologies in an Alzheimer’s disease mouse model
期刊: Nature Communications
DOI:
IF: 12.121
应用: WB,Co-IP
反应种属: Human
发表时间: 2020 Nov
-
Dual effects of JNK activation in blood-milk barrier damage induced by zinc oxide nanoparticles
期刊: Journal Of Hazardous Materials
DOI: 10.1016/j.jhazmat.2020.122809
IF: 9.038
应用: WB
反应种属: Mouse,Rat
发表时间: 2020 May
-
Myricetin Modulates Macrophage Polarization and Mitigates Liver Inflammation and Fibrosis in a Murine Model of Nonalcoholic Steatohepatitis
期刊: Frontiers In Medicine
DOI:
IF: 3.11
应用: WB
反应种属: Mouse
发表时间: 2020 Mar
-
Iron Oxide Nanoparticles as Autophagy Intervention Agents Suppress Hepatoma Growth by Enhancing Tumoricidal Autophagy
期刊: Advanced Science
DOI:
IF: 15.84
应用: WB
反应种属: Human
发表时间: 2020 Jun
-
EGFR/FAK and c-Src signalling pathways mediate the internalisation of Staphylococcus aureus by osteoblasts
期刊: Cellular Microbiology
DOI: 10.1111/cmi.13240
IF: 3.43
应用: WB
反应种属: Mouse
发表时间: 2020 Jun
-
LASS2 regulates hepatocyte steatosis by interacting with NDUFS2/ OXPHOS related proteins
期刊: Biochemical And Biophysical Research Communications
DOI:
IF: 2.71
应用: WB
反应种属: Mouse
发表时间: 2020 Jun
-
The Effect of Shen Qi Wan Medicated Serum on NRK-52E Cells Proliferation and Migration by Targeting Aquaporin 1 (AQP1)
期刊: Medical Science Monitor
DOI:
IF: 1.92
应用: WB
反应种属: Rat
发表时间: 2020 Jun
-
Identification of Gliotoxin isolated from marine fungus as a new pyruvate kinase M2 inhibitor
期刊: Biochemical And Biophysical Research Communications
DOI:
IF: 2.99
应用: WB
反应种属: Human
发表时间: 2020 Jul
-
MicroRNA-125a-mediated regulation of the mevalonate signaling pathway contributes to high glucose-induced proliferation and migration of vascular smooth muscle cells
期刊: Molecular Medicine Reports
DOI:
IF: 1.851
应用: WB
反应种属: Human
发表时间: 2020 Jul
-
CAMKIIγ is a targetable driver of multiple myeloma through CaMKIIγ/ Stat3 axis
期刊: Aging (Albany Ny)
DOI:
IF: 4.83
应用: WB
反应种属: Human
发表时间: 2020 Jul
-
Luteolin-7-methylether from Leonurus japonicus inhibits estrogen biosynthesis in human ovarian granulosa cells by suppression of aromatase (CYP19)
期刊: European Journal Of Pharmacology
DOI:
IF: 5
应用: WB
反应种属: Human
发表时间: 2020 Jul
-
FgRad50 Regulates Fungal Development, Pathogenicity, Cell Wall Integrity and the DNA Damage Response in Fusarium graminearum
期刊: Frontiers In Microbiology
DOI:
IF: 4.26
应用: WB
反应种属: Fusarium graminearum
发表时间: 2020 Jan
-
Influences of non‐nutritive sweeteners on ovarian and uterine expression of T1R2 and T1R3 in peripubertal female guinea pigs
期刊: Animal Science Journal
DOI:
IF: 2
应用: WB
反应种属: Guinea pig
发表时间: 2020 Feb
-
Couplet medicines of leech and centipede granules improve erectile dysfunction via inactivation of the CaSR/PLC/PKC signaling in streptozotocin-induced diabetic rats
期刊: Bioscience Reports
DOI:
IF: 2.54
应用: WB
反应种属: Rat
发表时间: 2020 Feb
-
Antenatal Corticosteroid Therapy Attenuates Angiogenesis Through Inhibiting Osteoclastogenesis in Young Mice
期刊: Frontiers In Cell And Developmental Biology
DOI:
IF: 5.201
应用: WB
反应种属: Mouse
发表时间: 2020 Dec
-
MoSec61β, the beta subunit of Sec61, is involved in fungal development and pathogenicity, plant immunity, and ER-phagy in Magnaporthe oryzae
期刊: Virulence
DOI:
IF: 5.54
应用: WB
反应种属: M. Oryzae
发表时间: 2020 Dec
-
Breed difference and regulatory role of CRTC3 in porcine intramuscular adipocyte
期刊: Animal Genetics
DOI:
IF: 2.4
应用: WB
反应种属: Guinea pig
发表时间: 2020 Aug
-
The E3 ubiquitin ligase STUB1 attenuates cell senescence bypromoting the ubiquitination and degradation of the corecircadian regulator BMAL1
期刊: Journal Of Biological Chemistry
DOI:
IF: 4.24
应用: WB
反应种属: Human
发表时间: 2020 Apr
-
UTMD inhibit EMT of breast cancer through the ROS/miR-200c/ZEB1 axis
期刊: Scientific Reports
DOI:
IF: 4.01
应用: WB
反应种属: Human
发表时间: 2020 Apr
-
Coptisine from Coptis chinensis blocks NLRP3 inflammasome activation by inhibiting caspase-1.
期刊: Pharmacological Research
DOI:
IF: 5.57
应用: WB
反应种属: Mouse
发表时间: 2019 Sep
-
Elevated expression of GNAS promotes breast cancer cell proliferation and migration via the PI3K/AKT/Snail1/E-cadherin axis.
期刊: Clinical & Translational Oncology
DOI:
IF: 2.44
应用: WB
反应种属: Human
发表时间: 2019 Sep
-
The role of EGFR signaling in age-related osteoporosis in mouse cortical bone
期刊: FASEB Journal
DOI:
IF: 5.192
应用: WB
反应种属: Mouse
发表时间: 2019 Oct
-
Mitochondria-localised ZNFX1 functions as a dsRNA sensor to initiate antiviral responses through MAVS
期刊: Nature Cell Biology
DOI:
IF: 21.3
应用: WB
反应种属: Human
发表时间: 2019 Nov
-
Cereblon attenuates DNA damage-induced apoptosis by regulating the transcriptionindependent function of p53
期刊: Cell Death & Disease
DOI:
IF: 5.64
应用: WB
反应种属: Mouse
发表时间: 2019 Jan
-
p53 Protects Cells from Death at the Heatstroke Threshold Temperature
期刊: Cell Reports
DOI: 10.1016/j.celrep.2019.11.032
IF: 7.815
应用: WB
反应种属: Human
发表时间: 2019 Dec
-
Theaflavin attenuates cerebral ischemia/reperfusion injury by abolishing miRNA-128-3p-mediated Nrf2 inhibition and reducing oxidative stress
期刊: Molecular Medicine Reports
DOI:
IF: 1.851
应用: WB
反应种属: Rat
发表时间: 2019 Dec
-
Chronic intermittent hypobaric hypoxia attenuates skeletal muscle ischemia-reperfusion injury in mice.
期刊: Life Sciences
DOI:
IF: 3.45
应用: WB
反应种属: Mouse
发表时间: 2019 Aug
-
Bilirubin alleviates alum-induced peritonitis through inactivation of NLRP3 inflammasome.
期刊: Biomedicine & Pharmacotherapy
DOI:
IF: 3.74
应用: WB
反应种属: Mouse
发表时间: 2019 Aug
-
AMSC-derived exosomes alleviate lipopolysaccharide/d-galactosamine-induced acute liver failure by miR-17-mediated reduction of TXNIP/NLRP3 inflammasome activation in macrophages
期刊: eBioMedicine
DOI:
IF: 6.18
应用: WB
反应种属: Mouse
发表时间: 2018 Oct
-
Planar Chiral Ferrocene Cyclopalladated Derivatives Induce Caspase-Dependent Apoptosis and Antimetastasis in Cancer Cells
期刊: Organometallics
DOI: 10.1021/acs.organomet.7b00897
IF: 4.051
应用: WB
反应种属: Human
发表时间: 2018 Mar
-
Proteomic and Biochemical Analyses Reveal a Novel Mechanism for Promoting Protein Ubiquitination and Degradation by UFBP1, a Key Component of Ufmylation
期刊: Journal Of Proteome Research
DOI: 10.1021/acs.jproteome.7b00843
IF: 3.95
应用: WB
反应种属: Human
发表时间: 2018 Mar
-
Rapid Communication: Porcine CRTC3 gene clone, expression pattern, and its regulatory role in intestinal epithelial cells
期刊: Journal Of Animal Science
DOI:
IF: 1.70
应用: WB
反应种属: Pig
发表时间: 2018 Jun
-
Increase of PRPP enhances chemosensitivity of PRPS1 mutant acute lymphoblastic leukemia cells to 5‐Fluorouracil
期刊: Journal Of Cellular And Molecular Medicine
DOI:
IF: 4.30
应用: WB
反应种属: Human
发表时间: 2018 Dec
-
Let-7c-5p inhibits cell proliferation and induces cell apoptosis by targeting ERCC6 in breast cancer
期刊: Oncology Reports
DOI:
IF: 3.04
应用: WB
反应种属: Human
发表时间: 2017 Sep
-
Histone H3 lysine 9 methyltransferase FvDim5 regulates fungal development, pathogenicity and osmotic stress responses in Fusarium verticillioides
期刊: Fems Microbiology Letters
DOI:
IF: 2.1
应用: WB
反应种属: Fusarium verticillioides
发表时间: 2017 Oct
-
Hepatitis B Virus Core Antigen Stimulates IL-6 Expression via p38, ERK and NF-κB Pathways in Hepatocytes
期刊: Cellular Physiology And Biochemistry
DOI: 10.1159/000455954
IF: 5.104
应用: WB
反应种属: Human
发表时间: 2017 Jan
-
Cereblon suppresses the formation of pathogenic protein aggregates in a p62-dependent manner
期刊: Human Molecular Genetics
DOI: 10.1093/hmg/ddx433
IF: 5.34
应用: WB
反应种属: Mouse,Human
发表时间: 2017 Dec
-
Down-Regulation of Protein Kinase C-ε by Prolonged Incubation with PMA Inhibits the Proliferation of Vascular Smooth Muscle Cells
期刊: Cellular Physiology And Biochemistry
DOI: 10.1159/000452553
IF: 4.652
应用: WB
反应种属: Rat
发表时间: 2016 Nov
同靶点 & 同通路的产品
GAPDH Rabbit Polyclonal Antibody
Application: WB,IHC-P,IF-Cell,FC
Reactivity: Human,Mouse,Rat
Conjugate: unconjugated
HRP Conjugated GAPDH Recombinant Rabbit Monoclonal Antibody [SA30-01] - Loading control
Application: WB
Reactivity: Human,Mouse,Rat,Monkey
Conjugate: HRP
GAPDH Rabbit Polyclonal Antibody
Application: WB,IF-Cell,IHC-P,FC
Reactivity: Human,Mouse,Rat,Oryza sativa
Conjugate: unconjugated
HRP Conjugated GAPDH Recombinant Rabbit Monoclonal Antibody [JF81-04]
Application: WB
Reactivity: Human,Mouse,Rat,Monkey,Chicken,Fish
Conjugate: HRP
GAPDH Mouse Monoclonal Antibody [12D6]
Application: WB,IF-Cell,IHC-P
Reactivity: Human,Mouse,Rat,Zebrafish,Escherichia coli
Conjugate: unconjugated
GAPDH Recombinant Rabbit Monoclonal Antibody [SA30-01] - BSA and Azide free
Application: WB,IF-Cell,IF-Tissue,IHC-P,FC,IP
Reactivity: Human,Mouse,Rat,Chicken,Drosophila melanogaster,Zebrafish
Conjugate: unconjugated
GAPDH Recombinant Rabbit Monoclonal Antibody [PD00-07] - BSA and Azide free
Application: WB,IHC-P,IF-Cell,FC
Reactivity: Human,Mouse,Rat,Escherichia coli,Zebrafish,Drosophila melanogaster
Conjugate: unconjugated
GAPDH Mouse Monoclonal Antibody [12D7]
Application: WB,IHC-P,FC
Reactivity: Human,Mouse,Rat,Zebrafish
Conjugate: unconjugated
GAPDH Mouse Monoclonal Antibody [5-E10]
Application: WB,IF-Cell,IHC-P
Reactivity: Human,Mouse,Rat,Zebrafish,Rabbit
Conjugate: unconjugated
GAPDH Rabbit Polyclonal Antibody
Application: WB
Reactivity: Magnaporthe oryzae,Zebrafish
Conjugate: unconjugated
GAPDH Recombinant Rabbit Monoclonal Antibody [PD00-07]
Application: WB,IHC-P,IF-Cell,FC
Reactivity: Human,Mouse,Rat,Escherichia coli,Zebrafish,Drosophila melanogaster
Conjugate: unconjugated
HRP Conjugated GAPDH Recombinant Rabbit Monoclonal Antibody [SA30-01]
Application: WB,IHC-P
Reactivity: Human,Mouse,Rat
Conjugate: HRP
GAPDH Rabbit Polyclonal Antibody
Application: WB,IF-Cell,IHC-P,FC
Reactivity: Human,Mouse,Rat
Conjugate: unconjugated

浙公网安备 33019202000643号