inhibitory Immune Checkpoint Antibody Sampler Kit
概述
Kit Components
| Product Includes | Specification | Application | Reactivity | Mw |
|---|---|---|---|---|
| CTLA-4[HA721269] | 20µl | IHC-P,mIHC | Human,Mouse | Predicted band size: 25 kDa |
| LAG-3[HA721358] | 20µl | IHC-P,IF-Cell,WB,mIHC | Human | Predicted band size: 57 kDa |
| PD-L1[HA721176] | 20µl | IHC-P,mIHC,WB | Human | Predicted band size: 33 kDa |
| PD1[ET1606-41] | 20µl | WB,IHC-P | Human | 32 kDa |
| TIM 3[HA723854] | 20µl | WB,IHC-P,IP | Human,Mouse,Rat | Predicted band size: 33 kDa |
| VISTA[HA721452] | 20µl | WB,IHC-P,IF-Tissue | Human | Predicted band size: 34 kDa |
| Goat anti-Rabbit IgG UltraPolymer[HA1119] | 5ml | IHC-P | Rabbit |
Product Description
The Inhibitory Immune Checkpoint Antibody Sampler Kit offers a cost-effective solution for detecting key proteins involved in inhibitory immune checkpoint pathways.The kit includes enough antibodies to perform two western blot experiments with each primary antibody.
Product Features
Storage Buffer
1*TBS (pH7.4), 0.05% BSA, 40% Glycerol. Preservative: 0.05% Sodium Azide.
Storage Instructions
Store at +4℃ after thawing. Aliquot store at -20℃. Avoid repeated freeze / thaw cycles.
Background
The Inhibitory Immune Checkpoint pathway is a critical immune regulatory mechanism that tumors exploit to evade immune destruction. <br>CTLA-4 functions as a critical regulator of early T-cell activation, primarily within lymph nodes. PD-1/PD-L1 represents a major pathway driving T-cell exhaustion, and its blockade has become a cornerstone of modern immunotherapy. LAG-3, a transmembrane member of the immunoglobulin superfamily, inhibits T-cell maturation, differentiation, and proliferation. This suppression ultimately facilitates immune evasion in tumor cells. TIM-3 serves as a key marker of T-cell exhaustion, and ligand binding to TIM-3 inhibits effector cytokine production. VISTA is predominantly expressed on myeloid cells and acts to suppress T-cell activation within the tumor microenvironment.
Background References
1. Burke KP, Patterson DG, Liang D, Sharpe AH. Immune checkpoint receptors in autoimmunity. Curr Opin Immunol. 2023 Feb;80:102283.
2. Pardoll DM. The blockade of immune checkpoints in cancer immunotherapy. Nat Rev Cancer. 2012 Mar 22;12(4):252-64.
3. Curdy N, Lanvin O, Laurent C, Fournié JJ, Franchini DM. Regulatory Mechanisms of Inhibitory Immune Checkpoint Receptors Expression. Trends Cell Biol. 2019 Oct;29(10):777-790.
4. Borgeaud M, Sandoval J, Obeid M, Banna G, Michielin O, Addeo A, Friedlaender A. Novel targets for immune-checkpoint inhibition in cancer. Cancer Treat Rev. 2023 Nov;120:102614.
5. Dermani FK, Samadi P, Rahmani G, Kohlan AK, Najafi R. PD-1/PD-L1 immune checkpoint: Potential target for cancer therapy. J Cell Physiol. 2019 Feb;234(2):1313-1325.
图片
-
Immunohistochemical analysis of paraffin-embedded human tonsils tissue with Rabbit anti-CTLA-4 antibody (HA721269) at 1/1,000 dilution.
The section was pre-treated using heat mediated antigen retrieval with Tris-EDTA buffer (pH 9.0) for 20 minutes. The tissues were blocked in 1% BSA for 20 minutes at room temperature, washed with ddH2O and PBS, and then probed with the primary antibody (HA721269) at 1/1,000 dilution for 1 hour at room temperature. The detection was performed using an HRP conjugated compact polymer system. DAB was used as the chromogen. Tissues were counterstained with hematoxylin and mounted with DPX. -
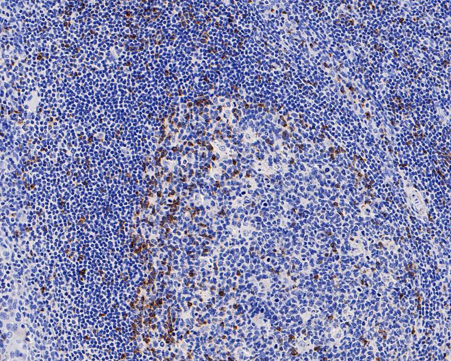
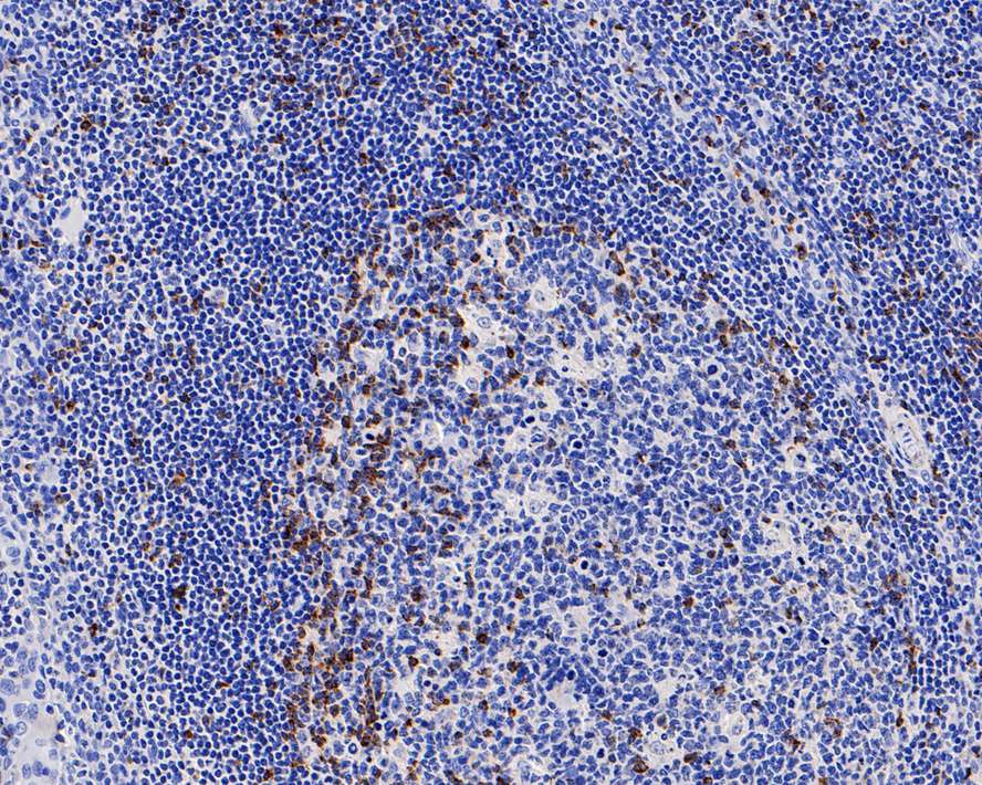
Immunohistochemical analysis of paraffin-embedded human lymph nodes tissue with Rabbit anti-CTLA-4 antibody (HA721269) at 1/1,000 dilution.
The section was pre-treated using heat mediated antigen retrieval with Tris-EDTA buffer (pH 9.0) for 20 minutes. The tissues were blocked in 1% BSA for 20 minutes at room temperature, washed with ddH2O and PBS, and then probed with the primary antibody (HA721269) at 1/1,000 dilution for 1 hour at room temperature. The detection was performed using an HRP conjugated compact polymer system. DAB was used as the chromogen. Tissues were counterstained with hematoxylin and mounted with DPX. -
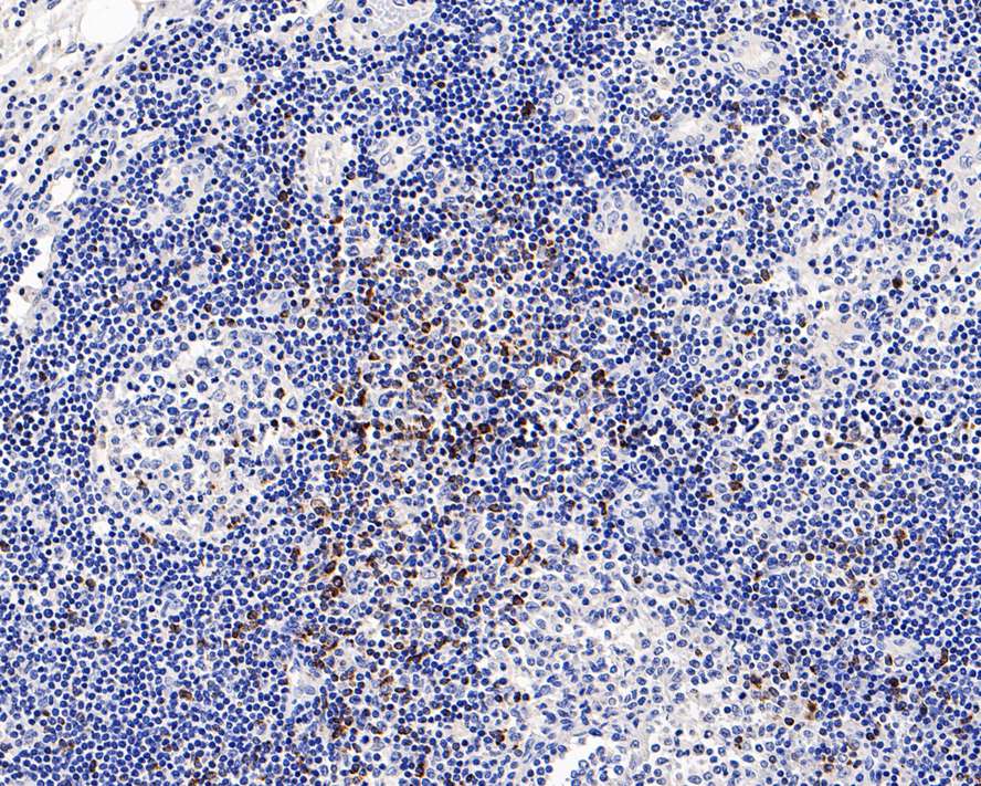
Immunohistochemical analysis of paraffin-embedded human tonsils tissue with Rabbit anti-LAG-3 antibody (HA721358) at 1/200 dilution.
The section was pre-treated using heat mediated antigen retrieval with Tris-EDTA buffer (pH 9.0) for 20 minutes. The tissues were blocked in 1% BSA for 20 minutes at room temperature, washed with ddH2O and PBS, and then probed with the primary antibody (HA721358) at 1/200 dilution for 1 hour at room temperature. The detection was performed using an HRP conjugated compact polymer system. DAB was used as the chromogen. Tissues were counterstained with hematoxylin and mounted with DPX. -
Immunocytochemistry analysis of NIH/3T3 cells transfected with or without LAG-3 labeling LAG-3 with Rabbit anti-LAG-3 antibody (HA721358) at 1/100 dilution.
Cells were fixed in 4% paraformaldehyde for 10 minutes at 37 ℃, permeabilized with 0.1% Triton X-100 in PBS for 15 minutes, and then blocked with 1% BSA for 30 minutes at room temperature. Cells were then incubated with Rabbit anti-LAG-3 antibody (HA721358) at 1/100 dilution in 2% negative goat serum overnight at 4 ℃. Goat Anti-Rabbit IgG H&L (iFluor™ 488, HA1121) was used as the secondary antibody at 1/1,000 dilution. Nuclear DNA was labelled in blue with DAPI.
Beta tubulin (M1305-2, red) was stained at 1/100 dilution overnight at +4℃. Goat Anti-Mouse IgG H&L (iFluor™ 594, HA1126) was used as the secondary antibody at 1/1,000 dilution. -
mIHC analysis of human tonsils tissue (Formalin/PFA-fixed paraffin-embedded sections) with Rabbit anti-LAG-3 antibody (HA721358) at 1/400 dilution. The immunostaining was performed with the IRISKitCmTSA Kit (900808). Heat mediated antigen retrieval with Tris-EDTA buffer (pH 9.0) for 30 mins at 95℃. DAPI (blue) was used as a nuclear counter stain. Image acquisition was performed with Olympus VS200 Slide Scanner.
-
Fluorescence multiplex immunohistochemical analysis of the human non-small cell lung cancer (Formalin/PFA-fixed paraffin-embedded sections). Panel A: the merged image of anti-CD20 (HA721138, green), anti-CD68 (HA601115, gray), anti-PD-L1 (HA721176, cyan), anti-panCK (HA601138, magenta) and anti-CD3 (HA720082, yellow) on human non-small cell lung cancer. Panel B: anti- CD20 stained on B cells. Panel C: anti-CD68 stained on macrophage M1 and macrophage M2. Panel D: anti-PD-L1 stained on dendritic cells and macrophages cells. Panel E: anti-panCK stained on cancer cells. Panel F: anti-CD3 stained on T cells. HRP Conjugated UltraPolymer Goat Polyclonal Antibody HA1119/HA1120 was used as a secondary antibody. The immunostaining was performed with the Sequential Immuno-staining Kit (IRISKit™MH010101, www.luminiris.cn). The section was incubated in five rounds of staining: in the order of HA721138 (1/1,500 dilution), HA601115 (1/2,000 dilution), HA721176 (1/1,000 dilution), HA601138 (1/3,000 dilution), and HA720082 (1/500 dilution) for 20 mins at room temperature. Each round was followed by a separate fluorescent tyramide signal amplification system. Heat mediated antigen retrieval with Tris-EDTA buffer (pH 9.0) for 30 mins at 95℃. DAPI (blue) was used as a nuclear counter stain. Image acquisition was performed with Olympus VS200 Slide Scanner.
-
Fluorescence multiplex immunohistochemical analysis of Tertiary Lymphoid Structures in Human Small Cell Lung Cancer (Formalin/PFA-fixed paraffin-embedded sections). Panel A: the merged image of anti-CD20 (HA721138, green), anti-PD-L1 (HA721176, cyan), anti-CD56 (ET1702-43, magenta) and anti-CD3 (HA720082, yellow) on tertiary lymphoid structures. Panel B: anti- CD20 stained on B cells. Panel C: anti-PD-L1 stained on dendritic cells and macrophages cells. Panel D: anti-CD56 stained on NKT cells. Panel E: anti-CD3 stained on T cells. HRP Conjugated UltraPolymer Goat Polyclonal Antibody HA1119/HA1120 was used as a secondary antibody. The immunostaining was performed with the Sequential Immuno-staining Kit (IRISKit™MH010101, www.luminiris.cn). The section was incubated in four rounds of staining: in the order of HA721138 (1/1,500 dilution), HA721176 (1/1,000 dilution), ET1702-43 (1/1,000 dilution), and HA720082 (1/500 dilution) for 20 mins at room temperature. Each round was followed by a separate fluorescent tyramide signal amplification system. Heat mediated antigen retrieval with Tris-EDTA buffer (pH 9.0) for 30 mins at 95℃. DAPI (blue) was used as a nuclear counter stain. Image acquisition was performed with Olympus VS200 Slide Scanner.
-
Western blot analysis of PD-L1 on different lysates with Rabbit anti-PD-L1 antibody (HA721176) at 1/2,000 dilution and competitor's antibody at 1/1,000 dilution.
Lane 1: MDA-MB-231 cell lysate
Lane 2: MCF7 cell lysate (negative)
Lane 3: U-87 MG cell lysate
Lane 4: HepG2 cell lysate (low expression)
Lane 5: HeLa cell lysate
Lane 6: A549 cell lysate
Lane 7: A549 treated with 100ng/mL IFN gamma for 48 hours cell lysate
Lysates/proteins at 20 µg/Lane.
Predicted band size: 33 kDa
Observed band size: 45-50 kDa
Exposure time: 25 seconds; ECL: K1802;
4-20% SDS-PAGE gel.
Proteins were transferred to a PVDF membrane and blocked with 5% NFDM/TBST for 1 hour at room temperature. The primary antibody (HA721176) at 1/2,000 dilution and competitor's antibody at 1/1,000 dilution were used in 5% NFDM/TBST at 4℃ overnight. Goat Anti-Rabbit IgG - HRP Secondary Antibody (HA1001) at 1/50,000 dilution was used for 1 hour at room temperature. -
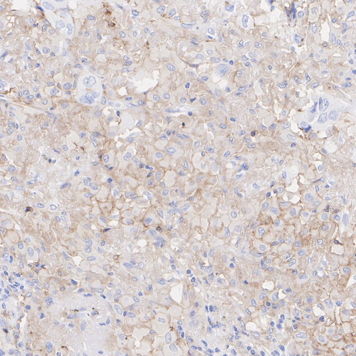
Immunohistochemical analysis of paraffin-embedded human lung cancer tissue with Rabbit anti-TIM 3 antibody (HA723854) at 1/1,000 dilution.
The section was pre-treated using heat mediated antigen retrieval with Tris-EDTA buffer (pH 9.0) for 20 minutes. The tissues were blocked in 1% BSA for 20 minutes at room temperature, washed with ddH2O and PBS, and then probed with the primary antibody (HA723854) at 1/1,000 dilution for 1 hour at room temperature. The detection was performed using an HRP conjugated compact polymer system. DAB was used as the chromogen. Tissues were counterstained with hematoxylin and mounted with DPX. -
Western blot analysis of VISTA on different lysates with Rabbit anti-VISTA antibody (HA721452) at 1/1,000 dilution and competitor's antibody at 1/1,000 dilution.
Lane 1: A431 cell lysate (20 µg/Lane)
Lane 2: A375 cell lysate (20 µg/Lane)
Lane 3: K-562 cell lysate (20 µg/Lane)
Lane 4: TF-1 cell lysate (20 µg/Lane)
Lane 5: MCF7 cell lysate (low expression) (20 µg/Lane)
Lane 6: HEK-293 cell lysate (low expression) (20 µg/Lane)
Lane 7: Human lung tissue lysate (30 µg/Lane)
Predicted band size: 34 kDa
Observed band size: 45-60 kDa (Glycosylated)
Exposure time: 30 seconds; ECL: K1801;
4-20% SDS-PAGE gel.
Proteins were transferred to a PVDF membrane and blocked with 5% NFDM/TBST for 1 hour at room temperature. The primary antibody (HA721452) at 1/1,000 dilution and competitor's antibody at 1/1,000 dilution were used in 5% NFDM/TBST at 4℃ overnight. Goat Anti-Rabbit IgG - HRP Secondary Antibody (HA1001) at 1/50,000 dilution was used for 1 hour at room temperature. -
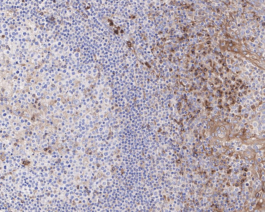
Immunohistochemical analysis of paraffin-embedded human tonsil tissue with Rabbit anti-VISTA antibody (HA721452) at 1/1,000 dilution.
The section was pre-treated using heat mediated antigen retrieval with Tris-EDTA buffer (pH 9.0) for 20 minutes. The tissues were blocked in 1% BSA for 20 minutes at room temperature, washed with ddH2O and PBS, and then probed with the primary antibody (HA721452) at 1/1,000 dilution for 1 hour at room temperature. The detection was performed using an HRP conjugated compact polymer system. DAB was used as the chromogen. Tissues were counterstained with hematoxylin and mounted with DPX. -
Application: IF-Tissue
Species: Human
Site: tonsil
Sample: Paraffin-embedded section
Antibody concentration: 1/500
请注意: All products are "FOR RESEARCH USE ONLY AND ARE NOT INTENDED FOR DIAGNOSTIC OR THERAPEUTIC USE"
Related Products
CTLA-4 Recombinant Rabbit Monoclonal Antibody
Application: mIHC
Reactivity: Human
Conjugate: unconjugated
Human CTLA-4/CD152 Protein
Application:
Reactivity: Human
Conjugate:
Human CTLA-4 Recombinant Rabbit Monoclonal Antibody [PSH08-13] - BSA and Azide free (Capture)
Application: ELISA(Cap)
Reactivity: Human
Conjugate: unconjugated
CTLA4 Rabbit Polyclonal Antibody
Application: WB,FC
Reactivity: Human,Mouse,Rat
Conjugate: unconjugated
CTLA-4 Recombinant Rabbit Monoclonal Antibody [PS01-34] - BSA and Azide free
Application: IHC-P
Reactivity: Human,Mouse
Conjugate: unconjugated
Human CTLA-4 DTSet enzyme-linked immunoassay kit
Application: ELISA
Reactivity: Human
Conjugate:
浙公网安备 33019202000643号