-
☑ Relative expression (RE)
Western blot analysis of VISTA on different lysates with Rabbit anti-VISTA antibody (HA721452) at 1/1,000 dilution and competitor's antibody at 1/1,000 dilution.
Lane 1: A431 cell lysate (20 µg/Lane)
Lane 2: A375 cell lysate (20 µg/Lane)
Lane 3: K-562 cell lysate (20 µg/Lane)
Lane 4: TF-1 cell lysate (20 µg/Lane)
Lane 5: MCF7 cell lysate (low expression) (20 µg/Lane)
Lane 6: HEK-293 cell lysate (low expression) (20 µg/Lane)
Lane 7: Human lung tissue lysate (30 µg/Lane)
Predicted band size: 34 kDa
Observed band size: 45-60 kDa (Glycosylated)
Exposure time: 30 seconds; ECL: K1801;
4-20% SDS-PAGE gel.
Proteins were transferred to a PVDF membrane and blocked with 5% NFDM/TBST for 1 hour at room temperature. The primary antibody (HA721452) at 1/1,000 dilution and competitor's antibody at 1/1,000 dilution were used in 5% NFDM/TBST at 4℃ overnight. Goat Anti-Rabbit IgG - HRP Secondary Antibody (HA1001) at 1/50,000 dilution was used for 1 hour at room temperature.
-
☑ Knockdown (KD)
Western blot analysis of VISTA on different lysates with Rabbit anti-VISTA antibody (HA721452) at 1/1,000 dilution.
Lane 1: A431-si NT cell lysate
Lane 2: A431-si VISTA cell lysate
Lysates/proteins at 10 µg/Lane.
Predicted band size: 34 kDa
Observed band size: 45-60 kDa (Glycosylated)
Exposure time: 28 seconds; ECL: K1801;
4-20% SDS-PAGE gel.
Proteins were transferred to a PVDF membrane and blocked with 5% NFDM/TBST for 1 hour at room temperature. The primary antibody (HA721452) at 1/1,000 dilution was used in 5% NFDM/TBST at 4℃ overnight. Goat Anti-Rabbit IgG - HRP Secondary Antibody (HA1001) at 1/50,000 dilution was used for 1 hour at room temperature.
-
☑ Cell treatment (CT)
Western blot analysis of VISTA on different lysates with Rabbit anti-VISTA antibody (HA721452) at 1/1,000 dilution.
Lane 1: THP-1 cell lysate
Lane 2: THP-1 cell lysate treated with deglycosylation
Lysates/proteins at 20 µg/Lane.
Predicted band size: 34 kDa
Observed band size: 34/45-60 kDa (Glycosylated)
Exposure time: 40 seconds; ECL: K1801;
4-20% SDS-PAGE gel.
Proteins were transferred to a PVDF membrane and blocked with 5% NFDM/TBST for 1 hour at room temperature. The primary antibody (HA721452) at 1/1,000 dilution was used in 5% NFDM/TBST at 4℃ overnight. Goat Anti-Rabbit IgG - HRP Secondary Antibody (HA1001) at 1/50,000 dilution was used for 1 hour at room temperature.
-
Immunohistochemical analysis of paraffin-embedded human brain tissue with Rabbit anti-VISTA antibody (HA721452) at 1/1,000 dilution.
The section was pre-treated using heat mediated antigen retrieval with Tris-EDTA buffer (pH 9.0) for 20 minutes. The tissues were blocked in 1% BSA for 20 minutes at room temperature, washed with ddH2O and PBS, and then probed with the primary antibody (HA721452) at 1/1,000 dilution for 1 hour at room temperature. The detection was performed using an HRP conjugated compact polymer system. DAB was used as the chromogen. Tissues were counterstained with hematoxylin and mounted with DPX.
-
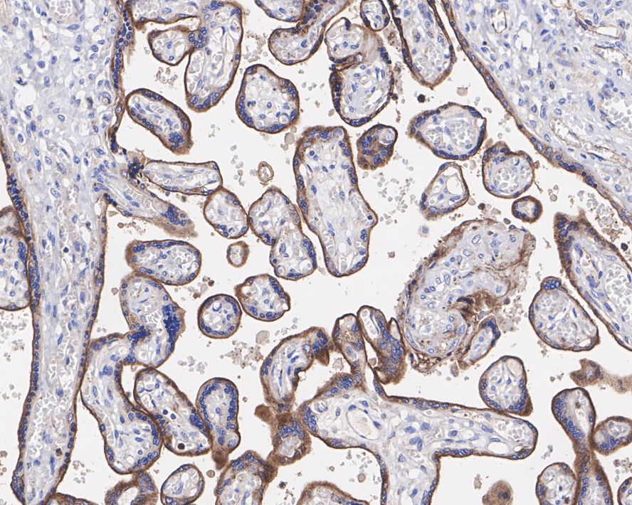
Immunohistochemical analysis of paraffin-embedded human placenta tissue with Rabbit anti-VISTA antibody (HA721452) at 1/1,000 dilution.
The section was pre-treated using heat mediated antigen retrieval with Tris-EDTA buffer (pH 9.0) for 20 minutes. The tissues were blocked in 1% BSA for 20 minutes at room temperature, washed with ddH2O and PBS, and then probed with the primary antibody (HA721452) at 1/1,000 dilution for 1 hour at room temperature. The detection was performed using an HRP conjugated compact polymer system. DAB was used as the chromogen. Tissues were counterstained with hematoxylin and mounted with DPX.
-
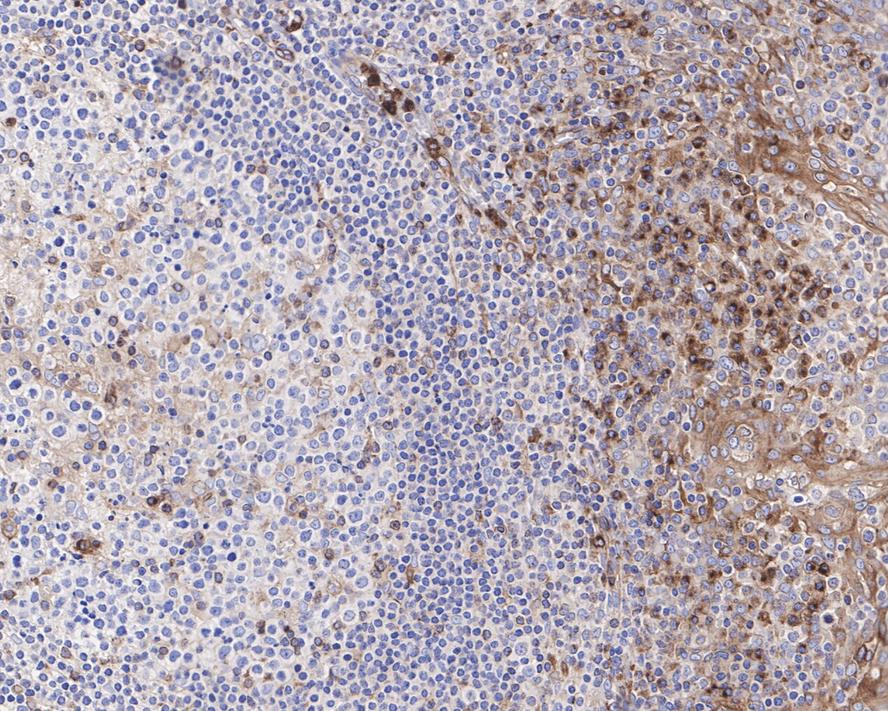
Immunohistochemical analysis of paraffin-embedded human tonsil tissue with Rabbit anti-VISTA antibody (HA721452) at 1/1,000 dilution.
The section was pre-treated using heat mediated antigen retrieval with Tris-EDTA buffer (pH 9.0) for 20 minutes. The tissues were blocked in 1% BSA for 20 minutes at room temperature, washed with ddH2O and PBS, and then probed with the primary antibody (HA721452) at 1/1,000 dilution for 1 hour at room temperature. The detection was performed using an HRP conjugated compact polymer system. DAB was used as the chromogen. Tissues were counterstained with hematoxylin and mounted with DPX.
-
Application: IF-Tissue
Species: Human
Site: tonsil
Sample: Paraffin-embedded section
Antibody concentration: 1/500
请注意: All products are "FOR RESEARCH USE ONLY AND ARE NOT INTENDED FOR DIAGNOSTIC OR THERAPEUTIC USE"