-
☑ Relative expression (RE)
Western blot analysis of TIM 3 on different lysates with Rabbit anti-TIM 3 antibody (HA723854) at 1/2,000 dilution.
Lane 1: RPMI 8226 cell lysate (20 µg/Lane)
Lane 2: HT-29 cell lysate (negative) (20 µg/Lane)
Predicted band size: 33 kDa
Observed band size: 55 kDa
Exposure time: 5 seconds; ECL: K1801;
4-20% SDS-PAGE gel.
Proteins were transferred to a PVDF membrane and blocked with 5% NFDM/TBST for 1 hour at room temperature. The primary antibody (HA723854) at 1/2,000 dilution was used in primary antibody dilution (K1803) at 4℃ overnight. Goat Anti-Rabbit IgG - HRP Secondary Antibody (HA1001) at 1/50,000 dilution was used for 1 hour at room temperature.
-
Western blot analysis of TIM 3 on RAW264.7 cell lysates with Rabbit anti-TIM 3 antibody (HA723854) at 1/2,000 dilution.
Lysates/proteins at 20 µg/Lane.
Predicted band size: 33 kDa
Observed band size: 70 kDa
Exposure time: 1 minute; ECL: K1802;
4-20% SDS-PAGE gel.
Proteins were transferred to a PVDF membrane and blocked with 5% NFDM/TBST for 1 hour at room temperature. The primary antibody (HA723854) at 1/2,000 dilution was used in 5% NFDM/TBST at 4℃ overnight. Goat Anti-Rabbit IgG - HRP Secondary Antibody (HA1001) at 1/50,000 dilution was used for 1 hour at room temperature.
-
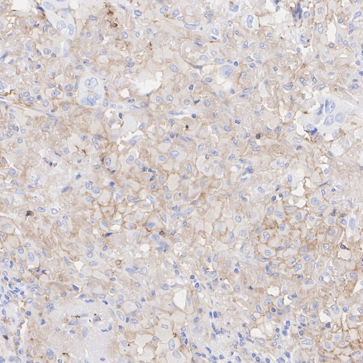
Immunohistochemical analysis of paraffin-embedded human lung cancer tissue with Rabbit anti-TIM 3 antibody (HA723854) at 1/1,000 dilution.
The section was pre-treated using heat mediated antigen retrieval with Tris-EDTA buffer (pH 9.0) for 20 minutes. The tissues were blocked in 1% BSA for 20 minutes at room temperature, washed with ddH2O and PBS, and then probed with the primary antibody (HA723854) at 1/1,000 dilution for 1 hour at room temperature. The detection was performed using an HRP conjugated compact polymer system. DAB was used as the chromogen. Tissues were counterstained with hematoxylin and mounted with DPX.
-
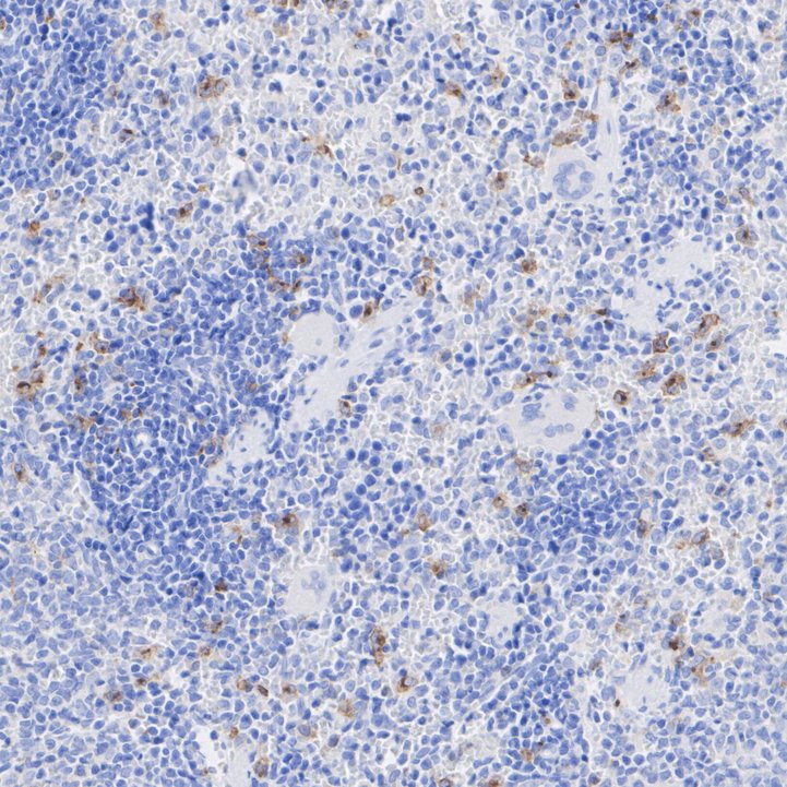
Immunohistochemical analysis of paraffin-embedded mouse spleen tissue with Rabbit anti-TIM 3 antibody (HA723854) at 1/1,000 dilution.
The section was pre-treated using heat mediated antigen retrieval with Tris-EDTA buffer (pH 9.0) for 20 minutes. The tissues were blocked in 1% BSA for 20 minutes at room temperature, washed with ddH2O and PBS, and then probed with the primary antibody (HA723854) at 1/1,000 dilution for 1 hour at room temperature. The detection was performed using an HRP conjugated compact polymer system. DAB was used as the chromogen. Tissues were counterstained with hematoxylin and mounted with DPX.
-
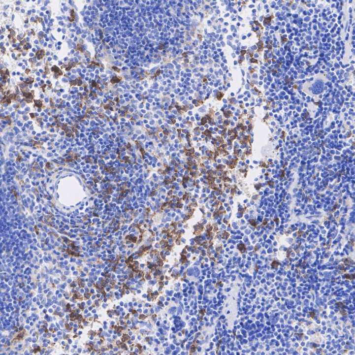
Immunohistochemical analysis of paraffin-embedded rat spleen tissue with Rabbit anti-TIM 3 antibody (HA723854) at 1/200 dilution.
The section was pre-treated using heat mediated antigen retrieval with Tris-EDTA buffer (pH 9.0) for 20 minutes. The tissues were blocked in 1% BSA for 20 minutes at room temperature, washed with ddH2O and PBS, and then probed with the primary antibody (HA723854) at 1/200 dilution for 1 hour at room temperature. The detection was performed using an HRP conjugated compact polymer system. DAB was used as the chromogen. Tissues were counterstained with hematoxylin and mounted with DPX.
-
TIM 3 was immunoprecipitated from 0.2 mg RPMI 8226 cell lysate with HA723854 at 2 µg/10 µl beads. Western blot was performed from the immunoprecipitate using HA723854 at 1/2,000 dilution. HRP Conjugated Anti-Rabbit IgG for IP Nano-secondary antibody at 1/5,000 dilution was used for 1 hour at room temperature.
Lane 1: RPMI 8226 cell lysate (input)
Lane 2: HA723854 IP in RPMI 8226 cell lysate
Lane 3: Rabbit IgG instead of HA723854 in RPMI 8226 cell lysate
Blocking/Dilution buffer: primary antibody dilution (K1803)
Exposure time: 3 seconds; ECL: K1801
-
TIM 3 was immunoprecipitated from 0.2 mg RAW264.7 cell lysate with HA723854 at 2 µg/10 µl beads. Western blot was performed from the immunoprecipitate using HA723854 at 1/2,000 dilution. HRP Conjugated Anti-Rabbit IgG for IP Nano-secondary antibody at 1/5,000 dilution was used for 1 hour at room temperature.
Lane 1: RAW264.7 cell lysate (input)
Lane 2: HA723854 IP in RAW264.7 cell lysate
Lane 3: Rabbit IgG instead of HA723854 in RAW264.7 cell lysate
Blocking/Dilution buffer: primary antibody dilution (K1803)
Exposure time: 46 seconds; ECL: K1802
请注意: All products are "FOR RESEARCH USE ONLY AND ARE NOT INTENDED FOR DIAGNOSTIC OR THERAPEUTIC USE"