Src Family Antibody Sampler Kit
概述
Kit Components
| Product Includes | Specification | Application | Reactivity | Mw |
|---|---|---|---|---|
| Src[ET1702-03] | 20µl | WB,IF-Cell,IF-Tissue,IHC-P,IP,FC | Human,Mouse,Rat,Monkey | Predicted band size: 60 kDa |
| CSK[HA722403] | 20µl | WB,IHC-P | Human,Mouse,Rat | Predicted band size: 51 kDa |
| Fyn[HA721577] | 20µl | WB | Human,Mouse,Rat | Predicted band size: 61 kDa |
| Lck[HA500280] | 20µl | WB,FC | Human,Rat | 58 kDa |
| Lyn[HA721991] | 20µl | WB,FC | Human,Mouse,Rat | Predicted band size: 59 kDa |
| Yes1[HA721563] | 20µl | WB,IHC-P | Human,Mouse | Predicted band size: 61 kDa |
| Goat Anti-Rabbit IgG (H+L)[HA1001] | 100µl | WB,ELISA,IHC-P | Rabbit |
Product Description
The Src Family Antibody Sampler Kit provides an economical means of evaluating total levels of Src family member proteins.
Product Features
Storage Buffer
PBS (pH7.4), 0.05% BSA, 40% Glycerol. Preservative: 0.05% Sodium Azide.
Storage Instructions
Store at +4℃ after thawing. Aliquot store at -20℃. Avoid repeated freeze / thaw cycles.
Background
The Src family of protein tyrosine kinases, which includes Src, Lyn, Fyn, Yes, Lck, Blk, and Hck, are important in the regulation of growth and differentiation of eukaryotic cells. Src activity is regulated by tyrosine phosphorylation at two sites, but with opposing effects. While phosphorylation at Tyr416 in the activation loop of the kinase domain upregulates enzyme activity, phosphorylation at Tyr527 in the carboxy-terminal tail by Csk renders the enzyme less active. The kinase Fyn plays a role in T-cell receptor signaling and also helps in memory formation and adhesion mediated signaling. Lymphocyte specific kinase Lck is essential in the differentiation and activation of T-cells. Hematopoietic Lyn kinase, also phosphorylated by Csk, is involved in the regulation of B-cell function, migration and development. The ubiquitously expressed kinase Yes acts downstream of several different cell surface receptors, including G-protein-coupled receptors, and is involved in the regulation of angiogenesis, the cell cycle and cell adhesion.
Data Links
Background References
1. Thomas, S.M. and Brugge, J.S. (1997) Annu Rev Cell Dev Biol 13, 513-609.
2. Hunter, T. (1987) Cell 49, 1-4.
3. Palacios, E.H. and Weiss, A. (2004) Oncogene 23, 7990-8000.
4. Isosaka, T. et al. (2008) Eur. J. Neurosci. 28, 973-981.
5. Seo, S. et al. (2001) J. Immunol. 166, 3710-3716.
6. Summy, J.M. et al. (2003) J. Cell Sci. 116, 2585-2598.
7. Werdich, X.Q. and Penn, J.S. (2005) Angiogenesis 8, 315-326.
图片
-
Western blot analysis of Src on different lysates with Rabbit anti-Src antibody (ET1702-03) at 1/1,000 dilution.
Lane 1: SK-OV-3 cell lysate, 20 µg/Lane
Lane 2: A549 cell lysate, 20 µg/Lane
Lane 3: NIH/3T3 cell lysate, 20 µg/Lane
Lane 4: 4T1 cell lysate, 20 µg/Lane
Lane 5: PC-12 cell lysate, 20 µg/Lane
Lane 6: C6 cell lysate, 20 µg/Lane
Lane 7: COS-1 cell lysate, 20 µg/Lane
Predicted band size: 60 kDa
Observed band size: 60 kDa
Exposure time: 16 seconds;
4-20% SDS-PAGE gel.
Proteins were transferred to a PVDF membrane and blocked with 5% NFDM/TBST for 1 hour at room temperature. The primary antibody (ET1702-03) at 1/1,000 dilution was used in 5% NFDM/TBST at 4℃ overnight. Goat Anti-Rabbit IgG - HRP Secondary Antibody (HA1001) at 1/50,000 dilution was used for 1 hour at room temperature. -
Immunocytochemistry analysis of SK-OV-3 cells labeling Src with Rabbit anti-Src antibody (ET1702-03) at 1/100 dilution.
Cells were fixed in 4% paraformaldehyde for 20 minutes at room temperature, permeabilized with 0.1% Triton X-100 in PBS for 5 minutes at room temperature, then blocked with 1% BSA in 10% negative goat serum for 1 hour at room temperature. Cells were then incubated with Rabbit anti-Src antibody (ET1702-03) at 1/100 dilution in 1% BSA in PBST overnight at 4 ℃. Goat Anti-Rabbit IgG H&L (iFluor™ 488, HA1121) was used as the secondary antibody at 1/1,000 dilution. PBS instead of the primary antibody was used as the secondary antibody only control. Nuclear DNA was labelled in blue with DAPI.
Beta tubulin (M1305-2, red) was stained at 1/100 dilution overnight at +4℃. Goat Anti-Mouse IgG H&L (iFluor™ 594, HA1126) was used as the secondary antibody at 1/1,000 dilution. -
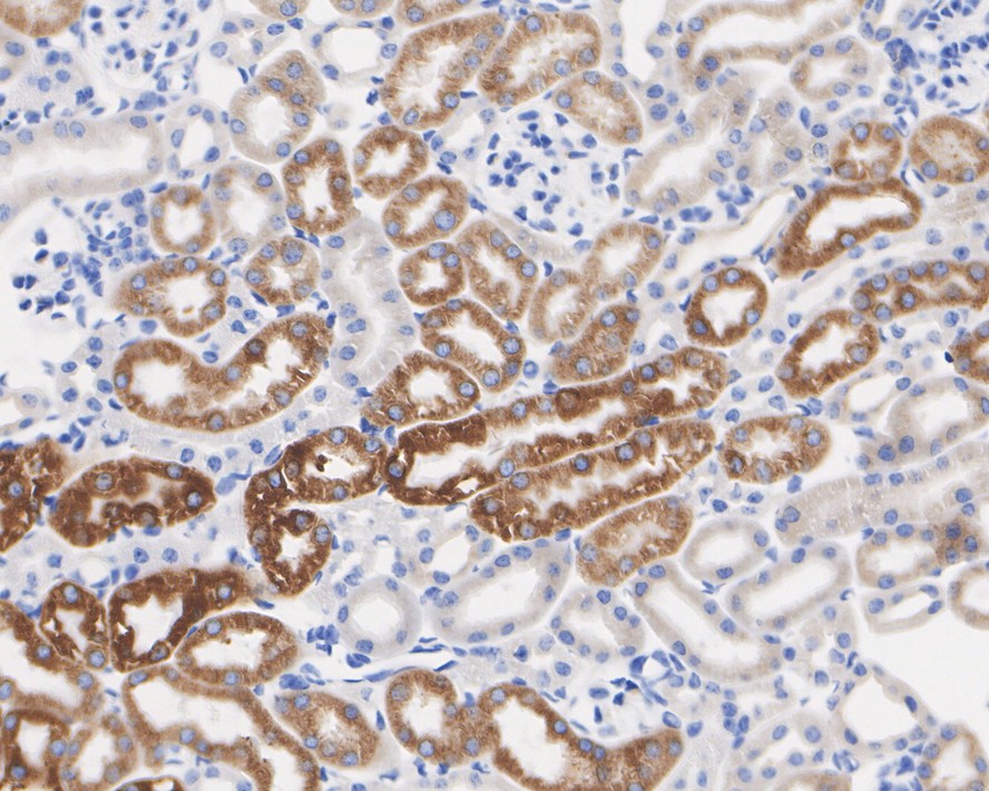
Immunohistochemical analysis of paraffin-embedded mouse kidney tissue with Rabbit anti-Src antibody (ET1702-03) at 1/1,000 dilution.
The section was pre-treated using heat mediated antigen retrieval with Tris-EDTA buffer (pH 9.0) for 20 minutes. The tissues were blocked in 1% BSA for 20 minutes at room temperature, washed with ddH2O and PBS, and then probed with the primary antibody (ET1702-03) at 1/1,000 dilution for 1 hour at room temperature. The detection was performed using an HRP conjugated compact polymer system. DAB was used as the chromogen. Tissues were counterstained with hematoxylin and mounted with DPX. -
Src was immunoprecipitated in 0.2mg A549 cell lysate with (ET1702-03) at 2 µg/10 µl beads. Western blot was performed from the immunoprecipitate using (ET1702-03) at 1/2,000 dilution. Anti-Rabbit IgG for IP Nano-secondary antibody (NBI01H) at 1/5,000 dilution was used for 1 hour at room temperature.
Lane 1: A549 cell lysate (input)
Lane 2: (ET1702-03) IP in A549 cell lysate
Lane 3: Rabbit IgG instead of (ET1702-03) in A549 cell lysate
Blocking/Dilution buffer: 5% NFDM/TBST
Exposure time: 6s -
Western blot analysis of Fyn on different lysates with Rabbit anti-Fyn antibody (HA721577) at 1/1,000 dilution.
Lane 1: Rat testis tissue lysate, 40 µg/Lane
Lane 2: Mouse testis tissue lysate, 40 µg/Lane
Lane 3: Human brain tissue lysate, 40 µg/Lane
Predicted band size: 61 kDa
Observed band size: 59 kDa
Exposure time: 3 minutes;
4-20% SDS-PAGE gel.
Proteins were transferred to a PVDF membrane and blocked with 5% NFDM/TBST for 1 hour at room temperature. The primary antibody (HA721577) at 1/1,000 dilution was used in 5% NFDM/TBST at room temperature for 2 hours. Goat Anti-Rabbit IgG - HRP Secondary Antibody (HA1001) at 1:100,000 dilution was used for 1 hour at room temperature. -
Western blot analysis of Fyn on different lysates with Rabbit anti-Fyn antibody (HA721577) at 1/1,000 dilution.
Lane 1: Mouse lung tissue lysate, 40 µg/Lane
Lane 2: Mouse brain tissue lysate, 40 µg/Lane
Lane 3: Rat brain tissue lysate 40 µg/Lane
Predicted band size: 61 kDa
Observed band size: 59 kDa
Exposure time: 3 minutes;
4-20% SDS-PAGE gel.
Proteins were transferred to a PVDF membrane and blocked with 5% NFDM/TBST for 1 hour at room temperature. The primary antibody (HA721577) at 1/1,000 dilution was used in 5% NFDM/TBST at room temperature for 2 hours. Goat Anti-Rabbit IgG - HRP Secondary Antibody (HA1001) at 1:100,000 dilution was used for 1 hour at room temperature. -
Western blot analysis of Lck on different lysates. Proteins were transferred to a PVDF membrane and blocked with 5% NFDM/TBST for 1 hour at room temperature. The primary antibody (HA500280, 1/1,000) was used in 5% NFDM/TBST at room temperature for 2 hours. Goat Anti-Rabbit IgG - HRP Secondary Antibody (HA1001) at 1:200,000 dilution was used for 1 hour at room temperature.
Positive control:
Lane 1: Rat thymus tissue lysate
Lane 2: Jurkat cell lysate -
Western blot analysis of Lyn on different lysates with Rabbit anti-Lyn antibody (HA721991) at 1/1,000 dilution.
Lane 1: Ramos cell lysate (15 µg/Lane)
Lane 2: A431 cell lysate (15 µg/Lane)
Lane 3: Jurkat cell lysate (15 µg/Lane)
Lane 4: THP-1 cell lysate (15 µg/Lane)
Lane 5: Raji cell lysate (15 µg/Lane)
Lane 6: K-562 cell lysate (15 µg/Lane)
Lane 7: U-937 cell lysate (15 µg/Lane)
Lane 8: Mouse lung tissue lysate (30 µg/Lane)
Lane 9: Rat lung tissue lysate (30 µg/Lane)
Predicted band size: 59 kDa
Observed band size: 55 kDa
Exposure time: 30 seconds;
4-20% SDS-PAGE gel.
Proteins were transferred to a PVDF membrane and blocked with 5% NFDM/TBST for 1 hour at room temperature. The primary antibody (HA721991) at 1/1,000 dilution was used in 5% NFDM/TBST at 4℃ overnight. Goat Anti-Rabbit IgG - HRP Secondary Antibody (HA1001) at 1/50,000 dilution was used for 1 hour at room temperature. -
Western blot analysis of Lyn on different lysates with Rabbit anti-Lyn antibody (HA721991) at 1/2,000 dilution.
Lane 1: A549-si NT cell lysate
Lane 2: A549-si Lyn cell lysate
Lysates/proteins at 10 µg/Lane.
Predicted band size: 59 kDa
Observed band size: 55 kDa
Exposure time: 1 minute; ECL: K1802;
4-20% SDS-PAGE gel.
Proteins were transferred to a PVDF membrane and blocked with 5% NFDM/TBST for 1 hour at room temperature. The primary antibody (HA721991) at 1/2,000 dilution was used in 5% NFDM/TBST at 4℃ overnight. Goat Anti-Rabbit IgG - HRP Secondary Antibody (HA1001) at 1/50,000 dilution was used for 1 hour at room temperature. -
Western blot analysis of Yes1 on different lysates with Rabbit anti-Yes1 antibody (HA721563) at 1/1,000 dilution.
Lane 1: HEK-293 cell lysate
Lane 2: HepG2 cell lysate
Lane 3: HeLa cell lysate
Lane 4: A549 cell lysate
Lysates/proteins at 20 µg/Lane.
Predicted band size: 61 kDa
Observed band size: 61 kDa
Exposure time: 3 minutes;
4-20% SDS-PAGE gel.
Proteins were transferred to a PVDF membrane and blocked with 5% NFDM/TBST for 1 hour at room temperature. The primary antibody (HA721563) at 1/1,000 dilution was used in 5% NFDM/TBST at 4℃ overnight. Goat Anti-Rabbit IgG - HRP Secondary Antibody (HA1001) at 1:100,000 dilution was used for 1 hour at room temperature. -
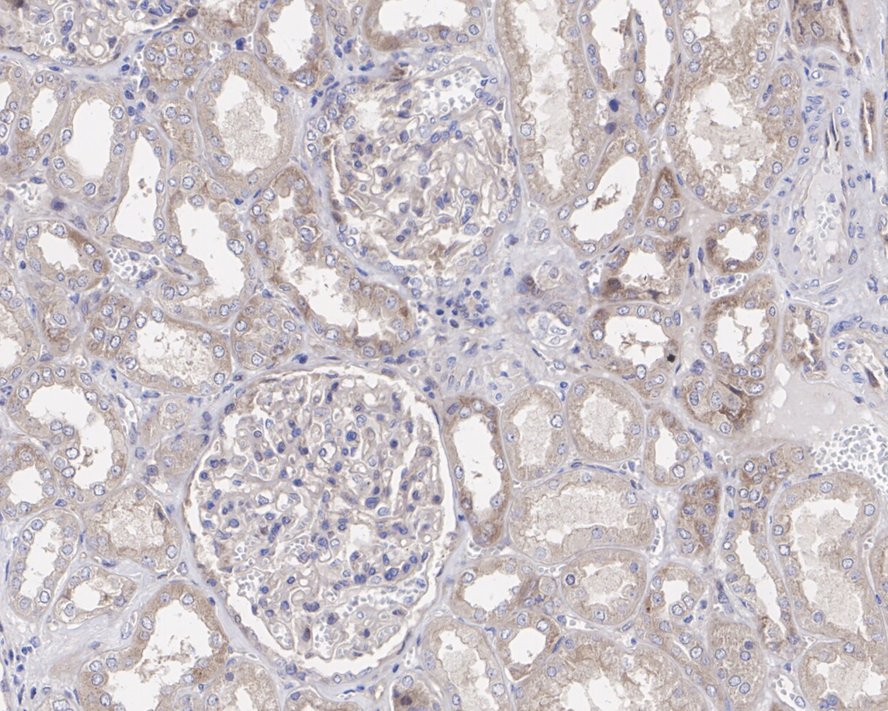
Immunohistochemical analysis of paraffin-embedded human kidney tissue with Rabbit anti-Yes1 antibody (HA721563) at 1/200 dilution.
The section was pre-treated using heat mediated antigen retrieval with Tris-EDTA buffer (pH 9.0) for 20 minutes. The tissues were blocked in 1% BSA for 20 minutes at room temperature, washed with ddH2O and PBS, and then probed with the primary antibody (HA721563) at 1/200 dilution for 1 hour at room temperature. The detection was performed using an HRP conjugated compact polymer system. DAB was used as the chromogen. Tissues were counterstained with hematoxylin and mounted with DPX.
请注意: All products are "FOR RESEARCH USE ONLY AND ARE NOT INTENDED FOR DIAGNOSTIC OR THERAPEUTIC USE"
Related Products
SRC Rabbit Polyclonal Antibody
Application: WB,IF-Cell
Reactivity: Human,Mouse,Rat
Conjugate: unconjugated
Phospho-Src (S17) Recombinant Rabbit Monoclonal Antibody [PSH11-03]
Application: WB,IF-Cell,IHC-P,FC,IP
Reactivity: Human,Mouse,Rat,Monkey
Conjugate: unconjugated
Src Recombinant Rabbit Monoclonal Antibody [JF0947] - BSA and Azide free
Application: WB,IF-Cell,IF-Tissue,IHC-P,IP,FC
Reactivity: Human,Mouse,Rat,Monkey
Conjugate: unconjugated
Phospho-Src (S17) Recombinant Rabbit Monoclonal Antibody [PSH11-03] - BSA and Azide free
Application: WB,IF-Cell,IHC-P,FC,IP
Reactivity: Human,Mouse,Rat,Monkey
Conjugate: unconjugated
Phospho-Src (Y419) Recombinant Rabbit Monoclonal Antibody [ST0800]
Application: WB,FC,IF-Cell
Reactivity: Human,Mouse,Rat
Conjugate: unconjugated
Src Recombinant Rabbit Monoclonal Antibody [JF0947]
Application: WB,IF-Cell,IF-Tissue,IHC-P,IP,FC
Reactivity: Human,Mouse,Rat,Monkey
Conjugate: unconjugated
浙公网安备 33019202000643号