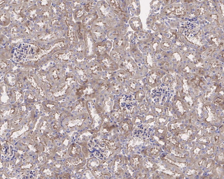
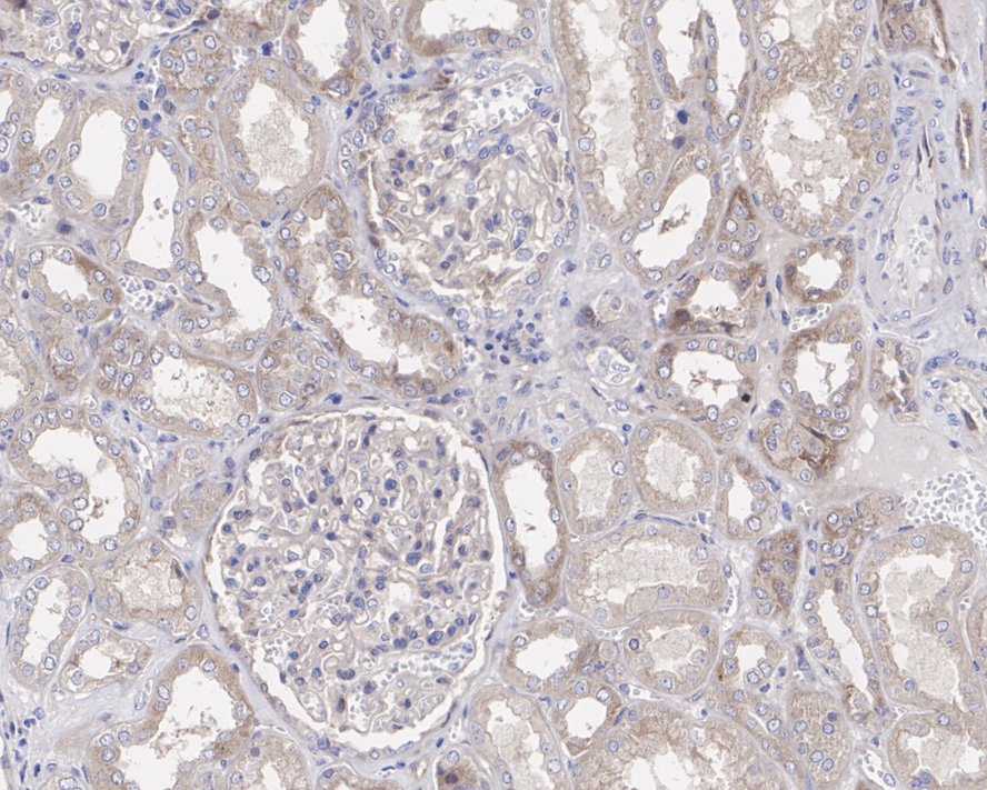
Catalog# HA721563
Yes1 Recombinant Rabbit Monoclonal Antibody [JE37-26]
Application
-
WB
-
IHC-P
Reactivity
-
Human
-
Mouse
Conjugation
-
unconjugated

浙公网安备 33019202000643号