-
☑ Relative expression (RE)
Western blot analysis of CSK on different lysates with Rabbit anti-CSK antibody (HA722403) at 1/1,000 dilution.
Lane 1: Ramos cell lysate (20 µg/Lane)
Lane 2: Jurkat cell lysate (20 µg/Lane)
Lane 3: Raji cell lysate (20 µg/Lane)
Lane 4: HeLa cell lysate (low expression) (20 µg/Lane)
Lane 5: Mouse spleen tissue lysate (40 µg/Lane)
Lane 6: Rat spleen tissue lysate (40 µg/Lane)
Lane 7: Mouse lung tissue lysate (40 µg/Lane)
Predicted band size: 51 kDa
Observed band size: 48 kDa
Exposure time: 2 minutes 22 seconds; ECL: K1801;
4-20% SDS-PAGE gel.
Proteins were transferred to a PVDF membrane and blocked with 5% NFDM/TBST for 1 hour at room temperature. The primary antibody (HA722403) at 1/1,000 dilution was used in 5% NFDM/TBST at 4℃ overnight. Goat Anti-Rabbit IgG - HRP Secondary Antibody (HA1001) at 1/50,000 dilution was used for 1 hour at room temperature.
-
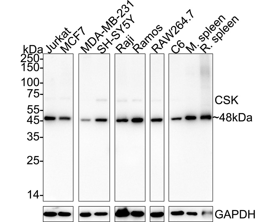
Western blot analysis of CSK on different lysates with Rabbit anti-CSK antibody (HA722403) at 1/1,000 dilution.
Lane 1: Jurkat cell lysate (20 µg/Lane)
Lane 2: MCF7 cell lysate (20 µg/Lane)
Lane 3: MDA-MB-231 cell lysate (20 µg/Lane)
Lane 4: SH-SY5Y cell lysate (20 µg/Lane)
Lane 5: Raji cell lysate (20 µg/Lane)
Lane 6: Ramos cell lysate (20 µg/Lane)
Lane 7: RAW264.7 cell lysate (20 µg/Lane)
Lane 8: C6 cell lysate (20 µg/Lane)
Lane 9: Mouse spleen tissue lysate (40 µg/Lane)
Lane 10: Rat spleen tissue lysate (40 µg/Lane)
Predicted band size: 51 kDa
Observed band size: 48 kDa
Exposure time: 59 seconds; ECL: K1801;
4-20% SDS-PAGE gel.
Proteins were transferred to a PVDF membrane and blocked with 5% NFDM/TBST for 1 hour at room temperature. The primary antibody (HA722403) at 1/1,000 dilution was used in 5% NFDM/TBST at 4℃ overnight. Goat Anti-Rabbit IgG - HRP Secondary Antibody (HA1001) at 1/50,000 dilution was used for 1 hour at room temperature.
-
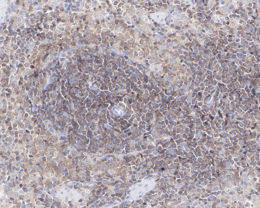
Immunohistochemical analysis of paraffin-embedded human tonsil tissue with Rabbit anti-CSK antibody (HA722403) at 1/200 dilution.
The section was pre-treated using heat mediated antigen retrieval with Tris-EDTA buffer (pH 9.0) for 20 minutes. The tissues were blocked in 1% BSA for 20 minutes at room temperature, washed with ddH2O and PBS, and then probed with the primary antibody (HA722403) at 1/200 dilution for 1 hour at room temperature. The detection was performed using an HRP conjugated compact polymer system. DAB was used as the chromogen. Tissues were counterstained with hematoxylin and mounted with DPX.
-
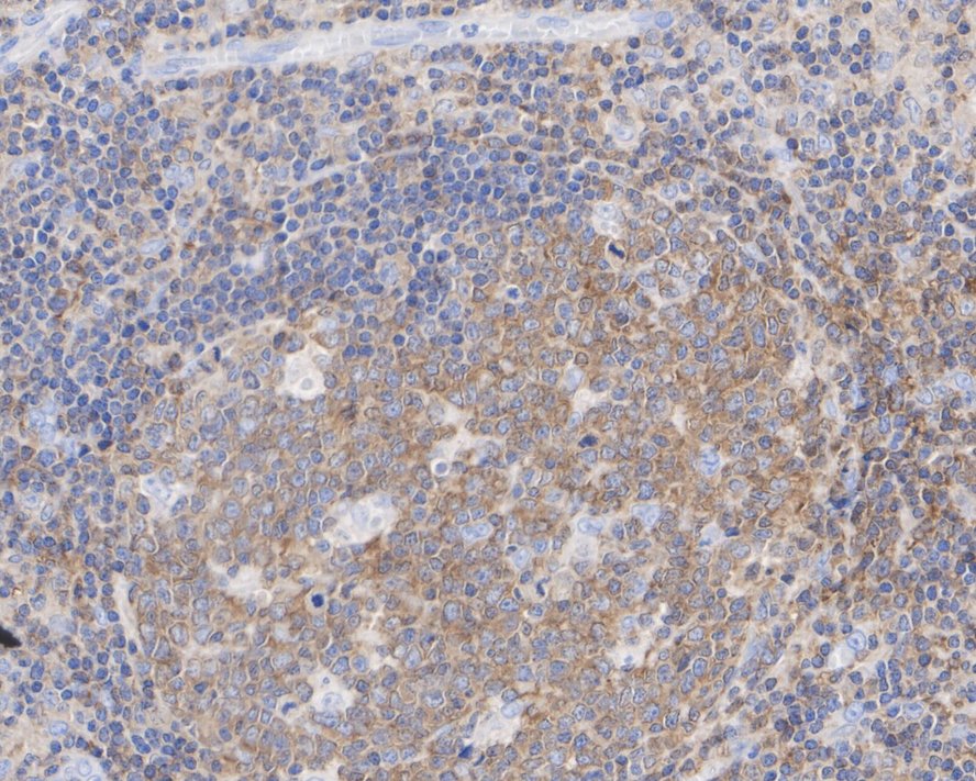
Immunohistochemical analysis of paraffin-embedded mouse spleen tissue with Rabbit anti-CSK antibody (HA722403) at 1/200 dilution.
The section was pre-treated using heat mediated antigen retrieval with Tris-EDTA buffer (pH 9.0) for 20 minutes. The tissues were blocked in 1% BSA for 20 minutes at room temperature, washed with ddH2O and PBS, and then probed with the primary antibody (HA722403) at 1/200 dilution for 1 hour at room temperature. The detection was performed using an HRP conjugated compact polymer system. DAB was used as the chromogen. Tissues were counterstained with hematoxylin and mounted with DPX.
-
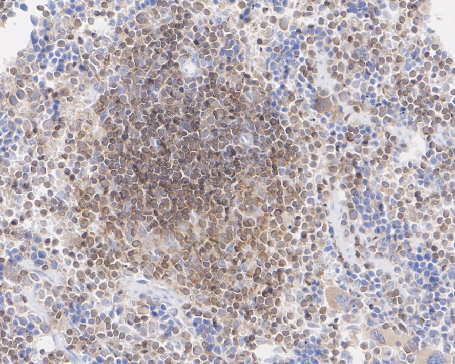
Immunohistochemical analysis of paraffin-embedded rat spleen tissue with Rabbit anti-CSK antibody (HA722403) at 1/200 dilution.
The section was pre-treated using heat mediated antigen retrieval with Tris-EDTA buffer (pH 9.0) for 20 minutes. The tissues were blocked in 1% BSA for 20 minutes at room temperature, washed with ddH2O and PBS, and then probed with the primary antibody (HA722403) at 1/200 dilution for 1 hour at room temperature. The detection was performed using an HRP conjugated compact polymer system. DAB was used as the chromogen. Tissues were counterstained with hematoxylin and mounted with DPX.
-
☑ Relative expression (RE)
Immunohistochemical analysis of paraffin-embedded human heart tissue (negative) with Rabbit anti-CSK antibody (HA722403) at 1/200 dilution.
The section was pre-treated using heat mediated antigen retrieval with Tris-EDTA buffer (pH 9.0) for 20 minutes. The tissues were blocked in 1% BSA for 20 minutes at room temperature, washed with ddH2O and PBS, and then probed with the primary antibody (HA722403) at 1/200 dilution for 1 hour at room temperature. The detection was performed using an HRP conjugated compact polymer system. DAB was used as the chromogen. Tissues were counterstained with hematoxylin and mounted with DPX.
请注意: All products are "FOR RESEARCH USE ONLY AND ARE NOT INTENDED FOR DIAGNOSTIC OR THERAPEUTIC USE"