Phospho-STAT3 (S727) Recombinant Rabbit Monoclonal Antibody [SY24-09] - BSA and Azide free
概述
产品名称
Phospho-STAT3 (S727) Recombinant Rabbit Monoclonal Antibody [SY24-09] - BSA and Azide free
抗体类型
Recombinant Rabbit monoclonal Antibody
免疫原
Synthetic phospho-peptide corresponding to residues surrounding Ser727 of Human STAT3 aa 701-750 / 770.
种属反应性
Human, Rat, Mouse
验证应用
WB, IF-Cell, IF-Tissue, IHC-P, IP
分子量
Predicted band size: 88 kDa
阳性对照
NIH/3T3 cell lysate, Hela cell lysate, A431 cell lysate, Jurkat cell lysate, Huh7, Hela, NIH/3T3, rat hippocampus tissue, rat brain tissue, human kidney tissue, mouse brain tissue, mouse liver tissue.
偶联
unconjugated
克隆号
SY24-09
产品特性
形态
Liquid
存放说明
Store at +4℃ after thawing. Aliquot store at -20℃ . Avoid repeated freeze / thaw cycles.
存储缓冲液
PBS (pH7.4).
亚型
IgG
纯化方式
Protein A affinity purified.
应用稀释度
-
WB
-
1:1,000-1:2,000
-
IF-Cell
-
1:100-1:200
-
IF-Tissue
-
1:20-1:500
-
IHC-P
-
1:500-1:1,000
-
IP
-
Use at an assay dependent concentration.
靶点
功能
Signal transducer and transcription activator that mediates cellular responses to interleukins, KITLG/SCF, LEP and other growth factors. Once activated, recruits coactivators, such as NCOA1 or MED1, to the promoter region of the target gene. May mediate cellular responses to activated FGFR1, FGFR2, FGFR3 and FGFR4. Upon activation of IL6ST/gp130 signaling by interleukin-6 (IL6), binds to the IL6-responsive elements identified in the promoters of various acute-phase protein genes. Activated by IL31 through IL31RA. Acts as a regulator of inflammatory response by regulating differentiation of naive CD4(+) T-cells into T-helper Th17 or regulatory T-cells (Treg): deacetylation and oxidation of lysine residues by LOXL3, leads to disrupt STAT3 dimerization and inhibit its transcription activity. Involved in cell cycle regulation by inducing the expression of key genes for the progression from G1 to S phase, such as CCND1. Mediates the effects of LEP on melanocortin production, body energy homeostasis and lactation (By similarity). May play an apoptotic role by transctivating BIRC5 expression under LEP activation. Cytoplasmic STAT3 represses macroautophagy by inhibiting EIF2AK2/PKR activity. Plays a crucial role in basal beta cell functions, such as regulation of insulin secretion. Shuttles between the nucleus and the cytoplasm. Translocated into the nucleus upon tyrosine phosphorylation and dimerization, in response to signaling by activated FGFR1, FGFR2, FGFR3 or FGFR4. Constitutive nuclear presence is independent of tyrosine phosphorylation. Predominantly present in the cytoplasm without stimuli. Upon leukemia inhibitory factor (LIF) stimulation, accumulates in the nucleus. The complex composed of BART and ARL2 plays an important role in the nuclear translocation and retention of STAT3. Identified in a complex with LYN and PAG1.
背景文献
1. Chen CH et al. Synergistic interaction between the HDAC inhibitor, MPT0E028, and sorafenib in liver cancer cells in vitro and in vivo. Clin Cancer Res 20:1274-87 (2014).
2. Weigand S et al. Global Quantitative Phosphoproteome Analysis of Human Tumor Xenografts Treated with a CD44 Antagonist. Cancer Res 72:4329-39 (2012).
序列相似性
Belongs to the transcription factor STAT family.
组织特异性
Heart, brain, placenta, lung, liver, skeletal muscle, kidney and pancreas.
翻译后修饰
Tyrosine phosphorylated upon stimulation with EGF. Tyrosine phosphorylated in response to constitutively activated FGFR1, FGFR2, FGFR3 and FGFR4 (By similarity). Activated through tyrosine phosphorylation by BMX. Tyrosine phosphorylated in response to IL6, IL11, LIF, CNTF, KITLG/SCF, CSF1, EGF, PDGF, IFN-alpha, LEP and OSM. Activated KIT promotes phosphorylation on tyrosine residues and subsequent translocation to the nucleus. Phosphorylated on serine upon DNA damage, probably by ATM or ATR. Serine phosphorylation is important for the formation of stable DNA-binding STAT3 homodimers and maximal transcriptional activity. ARL2BP may participate in keeping the phosphorylated state of STAT3 within the nucleus. Upon LPS challenge, phosphorylated within the nucleus by IRAK1. Upon erythropoietin treatment, phosphorylated on Ser-727 by RPS6KA5. Phosphorylation at Tyr-705 by PTK6 or FER leads to an increase of its transcriptional activity. Dephosphorylation on tyrosine residues by PTPN2 negatively regulates IL6/interleukin-6 signaling.; Acetylated on lysine residues by CREBBP. Deacetylation by LOXL3 leads to disrupt STAT3 dimerization and inhibit STAT3 transcription activity. Oxidation of lysine residues to allysine on STAT3 preferentially takes place on lysine residues that are acetylated.; Some lysine residues are oxidized to allysine by LOXL3, leading to disrupt STAT3 dimerization and inhibit STAT3 transcription activity. Oxidation of lysine residues to allysine on STAT3 preferentially takes place on lysine residues that are acetylated.; (Microbial infection) Phosphorylated on Tyr-705 in the presence of S.typhimurium SarA.; S-palmitoylated by ZDHHC19 in SH2 putative lipid-binding pockets, leading to homodimerization. Nuclear STAT3 is highly palmitoylated (about 75%) compared with cytoplasmic STAT3 (about 20%).; S-stearoylated, probably by ZDHHC19.
亚细胞定位
Cytoplasm, Nucleus.
别名
1110034C02Rik antibody
Acute Phase Response Factor antibody
Acute-phase response factor antibody
ADMIO antibody
APRF antibody
AW109958 antibody
DNA binding protein APRF antibody
FLJ20882 antibody
HIES antibody
MGC16063 antibody
展开1110034C02Rik antibody
Acute Phase Response Factor antibody
Acute-phase response factor antibody
ADMIO antibody
APRF antibody
AW109958 antibody
DNA binding protein APRF antibody
FLJ20882 antibody
HIES antibody
MGC16063 antibody
Signal transducer and activator of transcription 3 (acute phase response factor) antibody
Signal transducer and activator of transcription 3 antibody
STAT 3 antibody
Stat3 antibody
STAT3_HUMAN antibody
折叠图片
-
☑ Cell treatment (CT)
Western blot analysis of Phospho-STAT3(S727) on NIH/3T3 cell lysates.
Lane 1: NIH/3T3 cells, whole cell lysates, 10 μg/lane.
Lane 2: NIH/3T3 cells were starved 6h, whole cell lysates, 10 μg/lane.
Lane 3/4: NIH/3T3 cells were starved 6h, then treated with 200 ng/ml EGF for 10 min, whole cell lysates, 10 μg/lane.
Lane 5: NIH/3T3 cells were starved 6h, then treated with 200 ng/ml EGF for 10 min, and then treated with 2.8μg/ul lambda-PP for 30 minutes, whole cell lysates, 10 μg/lane.
Proteins were transferred to a PVDF membrane and blocked with 5% BSA in PBS for 1 hour at room temperature. The primary antibody Anti-Phospho-STAT3(S727)(HA750121, 1/500) , Anti-STAT3 antibody ( ET1607-38, 1/500) and Anti-GAPDH antibody (ET1601-4, 1/10,000)was used in 5% BSA at room temperature for 2 hours. Goat Anti-Rabbit IgG H&L (HRP) Secondary Antibody (HA1001) at 1/200,000 dilution was used for 1 hour at room temperature.
Predicted band size: 88 kDa
Observed band size: 88 kDa
Exposure time: Lane 1/2/3 1 minute 28 seconds
Lane 4/5 30 seconds -
☑ Knockdown (KD)
Western blot analysis of Phospho-STAT3(S727) with anti-Phospho-STAT3(S727) antibody [SY24-09] (HA750121) at 1/1,000 dilution.
Lane 1: Wild-type CT26.wt whole cell lysate.
Lane 2: STAT3 knockdown CT26.wt whole cell lysate.
Proteins were transferred to a PVDF membrane and blocked with 5% NFDM in TBST for 1 hour at room temperature. The primary Anti-Phospho-STAT3(S727) antibody (ET1607-39, 1/1,000) and Anti-HSP90 antibody (ET1605-56, 1/10,000) were used in 5% BSA at room temperature for 2 hours. Goat Anti-Rabbit IgG H&L (HRP) Secondary Antibody (HA1001) at 1/200,000 dilution was used for 1 hour at room temperature.
Cell lysate was provided by Ubigene Biosciences (Ubigene Biosciences Co., Ltd., Guangzhou, China). -
Western blot analysis of Phospho-STAT3(S727) on different lysates. Proteins were transferred to a PVDF membrane and blocked with 5% BSA in PBS for 1 hour at room temperature. The primary antibody (HA750121, 1/1,000) was used in 5% BSA at room temperature for 2 hours. Goat Anti-Rabbit IgG - HRP Secondary Antibody (HA1001) at 1/50,000 dilution was used for 1 hour at room temperature.
Positive control:
Lane 1: Hela cell lysate
Lane 2: A431 cell lysate
Lane 3: NIH/3T3 cell lysate
Lane 4: Jurkat cell lysate -
Immunocytochemistry analysis of Huh7 cells labeling Phospho-STAT3 (S727) with Rabbit anti-Phospho-STAT3 (S727) antibody (HA750121) at 1/100 dilution.
Cells were fixed in 4% paraformaldehyde for 15 minutes at room temperature, permeabilized with 0.1% Triton X-100 in PBS for 15 minutes at room temperature, then blocked with 1% BSA in 10% negative goat serum for 1 hour at room temperature. Cells were then incubated with Rabbit anti-Phospho-STAT3 (S727) antibody (HA750121) at 1/100 dilution in 1% BSA in PBST overnight at 4 ℃. Goat Anti-Rabbit IgG H&L (iFluor™ 488, HA1121) was used as the secondary antibody at 1/1,000 dilution. PBS instead of the primary antibody was used as the secondary antibody only control. Nuclear DNA was labelled in blue with DAPI.
Beta tubulin (HA601187, red) was stained at 1/100 dilution overnight at +4℃. Goat Anti-Mouse IgG H&L (iFluor™ 594, HA1126) was used as the secondary antibody at 1/1,000 dilution. -
ICC staining of Phospho-STAT3 (S727) in Hela cells (green).
Formalin fixed cells were permeabilized with 0.1% Triton X-100 in TBS for 10 minutes at room temperature and blocked with 1% Blocker BSA for 15 minutes at room temperature. Cells were probed with the primary antibody (HA750121, 1/100) for 1 hour at room temperature, washed with PBS. Alexa Fluor®488 Goat anti-Rabbit IgG was used as the secondary antibody at 1/1,000 dilution. The nuclear counter stain is DAPI (blue). -
ICC staining of Phospho-STAT3 (S727) in NIH/3T3 cells (green).
Formalin fixed cells were permeabilized with 0.1% Triton X-100 in TBS for 10 minutes at room temperature and blocked with 1% Blocker BSA for 15 minutes at room temperature. Cells were probed with the primary antibody (HA750121, 1/100) for 1 hour at room temperature, washed with PBS. Alexa Fluor®488 Goat anti-Rabbit IgG was used as the secondary antibody at 1/1,000 dilution. The nuclear counter stain is DAPI (blue). -
Immunohistochemical analysis of paraffin-embedded rat hippocampus tissue with Rabbit anti-Phospho-STAT3 (S727) antibody (HA750121) at 1:500 dilution.
The section was pre-treated using heat mediated antigen retrieval with Tris-EDTA buffer (pH 9.0) for 20 minutes. The tissues were blocked in 1% BSA for 20 minutes at room temperature, washed with ddH2O and PBS, and then probed with the primary antibody (ET1607-39) at 1:500 dilution for 1 hour at room temperature. The detection was performed using an HRP conjugated compact polymer system. DAB was used as the chromogen. Tissues were counterstained with hematoxylin and mounted with DPX. -
Immunohistochemical analysis of paraffin-embedded rat brain tissue with Rabbit anti-Phospho-STAT3 (S727) antibody (HA750121) at 1:500 dilution.
The section was pre-treated using heat mediated antigen retrieval with Tris-EDTA buffer (pH 9.0) for 20 minutes. The tissues were blocked in 1% BSA for 20 minutes at room temperature, washed with ddH2O and PBS, and then probed with the primary antibody (ET1607-39) at 1:500 dilution for 1 hour at room temperature. The detection was performed using an HRP conjugated compact polymer system. DAB was used as the chromogen. Tissues were counterstained with hematoxylin and mounted with DPX. -
Immunohistochemical analysis of paraffin-embedded human kidney tissue with Rabbit anti-Phospho-STAT3 (S727) antibody (HA750121) at 1:500 dilution.
The section was pre-treated using heat mediated antigen retrieval with Tris-EDTA buffer (pH 9.0) for 20 minutes. The tissues were blocked in 1% BSA for 20 minutes at room temperature, washed with ddH2O and PBS, and then probed with the primary antibody (ET1607-39) at 1:500 dilution for 1 hour at room temperature. The detection was performed using an HRP conjugated compact polymer system. DAB was used as the chromogen. Tissues were counterstained with hematoxylin and mounted with DPX. -
Immunohistochemical analysis of paraffin-embedded mouse brain tissue with Rabbit anti-Phospho-STAT3 (S727) antibody (HA750121) at 1/1,000 dilution.
The section was pre-treated using heat mediated antigen retrieval with sodium citrate buffer (pH 6.0) (high pressure) for 2 minutes. The tissues were blocked in 1% BSA for 20 minutes at room temperature, washed with ddH2O and PBS, and then probed with the primary antibody (HA750121) at 1/1,000 dilution for 1 hour at room temperature. The detection was performed using an HRP conjugated compact polymer system. DAB was used as the chromogen. Tissues were counterstained with hematoxylin and mounted with DPX. -
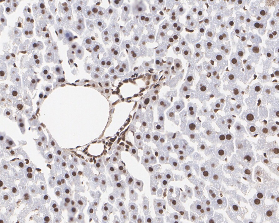
Immunohistochemical analysis of paraffin-embedded mouse liver tissue with Rabbit anti-Phospho-STAT3 (S727) antibody (HA750121) at 1/1,000 dilution.
The section was pre-treated using heat mediated antigen retrieval with sodium citrate buffer (pH 6.0) (high pressure) for 2 minutes. The tissues were blocked in 1% BSA for 20 minutes at room temperature, washed with ddH2O and PBS, and then probed with the primary antibody (HA750121) at 1/1,000 dilution for 1 hour at room temperature. The detection was performed using an HRP conjugated compact polymer system. DAB was used as the chromogen. Tissues were counterstained with hematoxylin and mounted with DPX.
请注意: All products are "FOR RESEARCH USE ONLY AND ARE NOT INTENDED FOR DIAGNOSTIC OR THERAPEUTIC USE"
同靶点 & 同通路的产品
Phospho-STAT3 (Y705) Recombinant Rabbit Monoclonal Antibody [SZ43-01]
Application: WB,IHC-P,IP
Reactivity: Human,Mouse,Rat
Conjugate: unconjugated
STAT3 Recombinant Rabbit Monoclonal Antibody [SY34-01] - BSA and Azide free
Application: WB,IF-Cell,IF-Tissue,IHC-P,FC
Reactivity: Human,Mouse,Rat
Conjugate: unconjugated
STAT3 Recombinant Rabbit Monoclonal Antibody [SY34-01]
Application: WB,IF-Cell,IF-Tissue,IHC-P,FC
Reactivity: Human,Mouse,Rat
Conjugate: unconjugated
Phospho-STAT3 (Y705) Recombinant Rabbit Monoclonal Antibody [SZ43-01] - BSA and Azide free
Application: WB,IHC-P,IP
Reactivity: Human,Mouse,Rat
Conjugate: unconjugated
STAT3 Recombinant Rabbit Monoclonal Antibody [SY24-08] - BSA and Azide free
Application: WB,IF-Cell,IHC-P,FC
Reactivity: Human,Mouse,Rat,Zebrafish
Conjugate: unconjugated
STAT3 Rabbit Polyclonal Antibody
Application: WB,IP,IF,IHC-P
Reactivity: Human,Mouse,Rat
Conjugate: unconjugated
STAT3 Recombinant Rabbit Monoclonal Antibody [SY24-08]
Application: WB,IF-Cell,IHC-P,FC
Reactivity: Human,Mouse,Rat,Zebrafish
Conjugate: unconjugated
Phospho-STAT3 (S727) Recombinant Rabbit Monoclonal Antibody [SY24-09]
Application: WB,IF-Cell,IF-Tissue,IHC-P,IP
Reactivity: Human,Rat,Mouse
Conjugate: unconjugated