STAT3 Recombinant Rabbit Monoclonal Antibody [SY34-01] - BSA and Azide free
概述
产品名称
STAT3 Recombinant Rabbit Monoclonal Antibody [SY34-01] - BSA and Azide free
抗体类型
Recombinant Rabbit monoclonal Antibody
免疫原
Synthetic peptide within N-terminal human STAT3.
种属反应性
Human, Mouse, Rat
验证应用
WB, IF-Cell, IF-Tissue, IHC-P, FC
分子量
Predicted band size: 88 kDa
阳性对照
HeLa cell lysate, HaCaT cell lysate, Mouse brain tissue lysate, Rat brain tissue lysate, Rat kidney tissue lysate, HeLa, NIH/3T3, human stomach carcinoma tissue, human breast carcinoma tissue, mouse brain tissue.
偶联
unconjugated
克隆号
SY34-01
产品特性
形态
Liquid
存放说明
Store at +4℃ after thawing. Aliquot store at -20℃ or -80℃. Avoid repeated freeze / thaw cycles.
存储缓冲液
PBS (pH7.4).
亚型
IgG
纯化方式
Protein A affinity purified.
应用稀释度
-
WB
-
1:2,000
-
IF-Cell
-
1:100
-
IF-Tissue
-
1:100-1:500
-
IHC-P
-
1:50-1:1,000
-
FC
-
1:1,000
靶点
功能
Membrane receptor signaling by various ligands, including interferons and growth hormones such as EGF, induces activation of JAK kinases which then leads to tyrosine phosphorylation of the various Stat transcription factors. Stat1 and Stat2 are induced by IFN-α and form a heterodimer which is part of the ISGF3 transcription factor complex. Although early reports indicate Stat3 activation by EGF and IL-6, it has been shown that Stat3β appears to be activated by both while Stat3α is activated by EGF, but not by IL-6. Highest expression of Stat4 is seen in testis and myeloid cells. IL-12 has been identified as an activator of Stat4. Stat5 has been shown to be activated by Prolactin and by IL-3. Stat6 is involved in IL-4 activated signaling pathways.
背景文献
1. Fu TG et al. miR-143 inhibits oncogenic traits by degrading NUAK2 in glioblastoma. Int J Mol Med 37:1627-35 (2016).
2. Schwartz C et al. Melatonin receptor signaling contributes to neuroprotection upon arousal from torpor in thirteen-lined ground squirrels. Am J Physiol Regul Integr Comp Physiol 309:R1292-300 (2015).
序列相似性
Belongs to the transcription factor STAT family.
组织特异性
Heart, brain, placenta, lung, liver, skeletal muscle, kidney and pancreas.
翻译后修饰
Tyrosine phosphorylated upon stimulation with EGF. Tyrosine phosphorylated in response to constitutively activated FGFR1, FGFR2, FGFR3 and FGFR4 (By similarity). Activated through tyrosine phosphorylation by BMX. Tyrosine phosphorylated in response to IL6, IL11, LIF, CNTF, KITLG/SCF, CSF1, EGF, PDGF, IFN-alpha, LEP and OSM. Activated KIT promotes phosphorylation on tyrosine residues and subsequent translocation to the nucleus. Phosphorylated on serine upon DNA damage, probably by ATM or ATR. Serine phosphorylation is important for the formation of stable DNA-binding STAT3 homodimers and maximal transcriptional activity. ARL2BP may participate in keeping the phosphorylated state of STAT3 within the nucleus. Upon LPS challenge, phosphorylated within the nucleus by IRAK1. Upon erythropoietin treatment, phosphorylated on Ser-727 by RPS6KA5. Phosphorylation at Tyr-705 by PTK6 or FER leads to an increase of its transcriptional activity. Dephosphorylation on tyrosine residues by PTPN2 negatively regulates IL6/interleukin-6 signaling.; Acetylated on lysine residues by CREBBP. Deacetylation by LOXL3 leads to disrupt STAT3 dimerization and inhibit STAT3 transcription activity. Oxidation of lysine residues to allysine on STAT3 preferentially takes place on lysine residues that are acetylated.; Some lysine residues are oxidized to allysine by LOXL3, leading to disrupt STAT3 dimerization and inhibit STAT3 transcription activity. Oxidation of lysine residues to allysine on STAT3 preferentially takes place on lysine residues that are acetylated.; (Microbial infection) Phosphorylated on Tyr-705 in the presence of S.typhimurium SarA.; S-palmitoylated by ZDHHC19 in SH2 putative lipid-binding pockets, leading to homodimerization. Nuclear STAT3 is highly palmitoylated (about 75%) compared with cytoplasmic STAT3 (about 20%).; S-stearoylated, probably by ZDHHC19.
亚细胞定位
Cytoplasm, Nucleus.
别名
1110034C02Rik antibody
Acute Phase Response Factor antibody
Acute-phase response factor antibody
ADMIO antibody
APRF antibody
AW109958 antibody
DNA binding protein APRF antibody
FLJ20882 antibody
HIES antibody
MGC16063 antibody
展开1110034C02Rik antibody
Acute Phase Response Factor antibody
Acute-phase response factor antibody
ADMIO antibody
APRF antibody
AW109958 antibody
DNA binding protein APRF antibody
FLJ20882 antibody
HIES antibody
MGC16063 antibody
Signal transducer and activator of transcription 3 (acute phase response factor) antibody
Signal transducer and activator of transcription 3 antibody
STAT 3 antibody
Stat3 antibody
STAT3_HUMAN antibody
折叠图片
-
Western blot analysis of STAT3 on different lysates with Rabbit anti-STAT3 antibody (HA750087) at 1/2,000 dilution.
Lane 1: HeLa cell lysate
Lane 2: HaCaT cell lysate
Lane 3: Mouse brain tissue lysate
Lane 4: Rat brain tissue lysate
Lane 5: Rat kidney tissue lysate
Lysates/proteins at 30 µg/Lane.
Predicted band size: 88 kDa
Observed band size: 88 kDa
Exposure time: 30 seconds; ECL: K1802;
4-20% SDS-PAGE gel.
Proteins were transferred to a PVDF membrane and blocked with 5% NFDM/TBST for 1 hour at room temperature. The primary antibody (HA750087) at 1/2,000 dilution was used in 5% NFDM/TBST at 4℃ overnight. Goat Anti-Rabbit IgG - HRP Secondary Antibody (HA1001) at 1/50,000 dilution was used for 1 hour at room temperature. -
☑ Knockdown (KD)
Western blot analysis of STAT3 on different lysates with Rabbit anti-STAT3 antibody (HA750087) at 1/500 dilution.
Lane 1: Hela-si NT cell lysate
Lane 2: Hela-si STAT3 cell lysate
Lysates/proteins at 10 µg/Lane.
Predicted band size: 88 kDa
Observed band size: 88 kDa
Exposure time: 1 minute;
4-20% SDS-PAGE gel.
ET1605-45 was shown to specifically react with STAT3 in Hela-si NT cells. No band was observed when Hela-si STAT3 sample was tested. Hela-si NT and Hela-si STAT3 samples were subjected to SDS-PAGE. Proteins were transferred to a PVDF membrane and blocked with 5% NFDM in TBST for 1 hour at room temperature. The primary antibody (ET1609-76, 1/500) and Loading control antibody (Rabbit anti-Hsp90, ET1605-56, 1/10,000) were used in 5% BSA at room temperature for 2 hours. Goat Anti-rabbit IgG-HRP Secondary Antibody (HA1001) at 1:300,000 dilution was used for 1 hour at room temperature. -
Immunocytochemistry analysis of HeLa cells labeling STAT3 with Rabbit anti-STAT3 antibody (HA750087) at 1/100 dilution.
Cells were fixed in 4% paraformaldehyde for 15 minutes at room temperature, permeabilized with 0.1% Triton X-100 in PBS for 15 minutes at room temperature, then blocked with 1% BSA in 10% negative goat serum for 1 hour at room temperature. Cells were then incubated with Rabbit anti-STAT3 antibody (HA750087) at 1/100 dilution in 1% BSA in PBST overnight at 4 ℃. Goat Anti-Rabbit IgG H&L (iFluor™ 488, HA1121) was used as the secondary antibody at 1/1,000 dilution. PBS instead of the primary antibody was used as the secondary antibody only control. Nuclear DNA was labelled in blue with DAPI.
Beta tubulin (HA601187, red) was stained at 1/100 dilution overnight at +4℃. Goat Anti-Mouse IgG H&L (iFluor™ 594, HA1126) was used as the secondary antibody at 1/1,000 dilution. -
Immunocytochemistry analysis of NIH/3T3 cells labeling STAT3 with Rabbit anti-STAT3 antibody (HA750087) at 1/100 dilution.
Cells were fixed in 4% paraformaldehyde for 15 minutes at room temperature, permeabilized with 0.1% Triton X-100 in PBS for 15 minutes at room temperature, then blocked with 1% BSA in 10% negative goat serum for 1 hour at room temperature. Cells were then incubated with Rabbit anti-STAT3 antibody (HA750087) at 1/100 dilution in 1% BSA in PBST overnight at 4 ℃. Goat Anti-Rabbit IgG H&L (iFluor™ 488, HA1121) was used as the secondary antibody at 1/1,000 dilution. PBS instead of the primary antibody was used as the secondary antibody only control. Nuclear DNA was labelled in blue with DAPI.
Beta tubulin (HA601187, red) was stained at 1/100 dilution overnight at +4℃. Goat Anti-Mouse IgG H&L (iFluor™ 594, HA1126) was used as the secondary antibody at 1/1,000 dilution. -
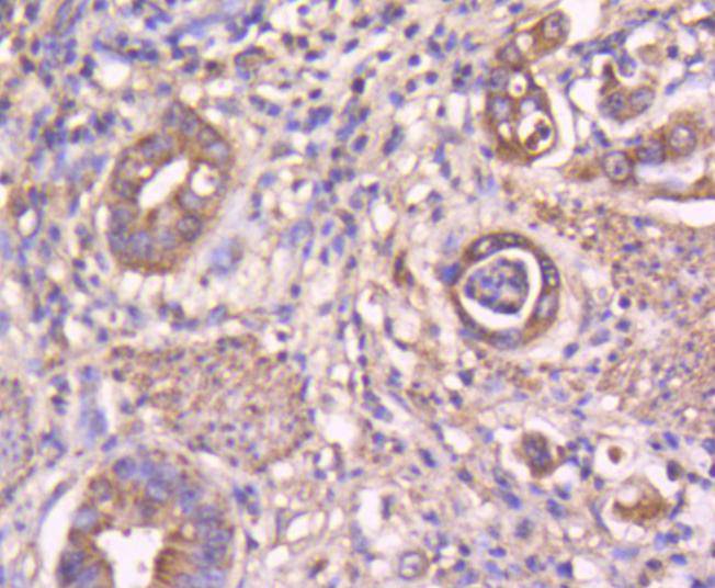
Immunohistochemical analysis of paraffin-embedded human stomach carcinoma tissue using anti-STAT3 antibody. The section was pre-treated using heat mediated antigen retrieval with Tris-EDTA buffer (pH 8.0-8.4) for 20 minutes.The tissues were blocked in 5% BSA for 30 minutes at room temperature, washed with ddH2O and PBS, and then probed with the primary antibody (HA750087, 1/50) for 30 minutes at room temperature. The detection was performed using an HRP conjugated compact polymer system. DAB was used as the chromogen. Tissues were counterstained with hematoxylin and mounted with DPX.
-
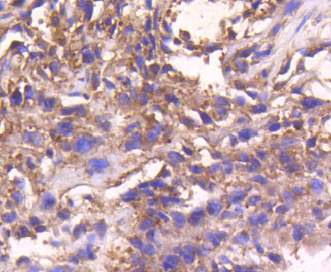
Immunohistochemical analysis of paraffin-embedded human breast carcinoma tissue using anti-STAT3 antibody. The section was pre-treated using heat mediated antigen retrieval with Tris-EDTA buffer (pH 8.0-8.4) for 20 minutes.The tissues were blocked in 5% BSA for 30 minutes at room temperature, washed with ddH2O and PBS, and then probed with the primary antibody (HA750087, 1/50) for 30 minutes at room temperature. The detection was performed using an HRP conjugated compact polymer system. DAB was used as the chromogen. Tissues were counterstained with hematoxylin and mounted with DPX.
-
Immunohistochemical analysis of paraffin-embedded mouse brain tissue with Rabbit anti-STAT3 antibody (HA750087) at 1/1,000 dilution.
The section was pre-treated using heat mediated antigen retrieval with sodium citrate buffer (pH 6.0) (high pressure) for 2 minutes. The tissues were blocked in 1% BSA for 20 minutes at room temperature, washed with ddH2O and PBS, and then probed with the primary antibody (HA750087) at 1/1,000 dilution for 1 hour at room temperature. The detection was performed using an HRP conjugated compact polymer system. DAB was used as the chromogen. Tissues were counterstained with hematoxylin and mounted with DPX. -
Flow cytometric analysis of HeLa cells labeling STAT3.
Cells were fixed and permeabilized. Then stained with the primary antibody (HA750087, 1/1,000) (red) compared with Rabbit IgG Isotype Control (green). After incubation of the primary antibody at +4℃ for an hour, the cells were stained with a iFluor™ 488 conjugate-Goat anti-Rabbit IgG Secondary antibody (HA1121) at 1/1,000 dilution for 30 minutes at +4℃. Unlabelled sample was used as a control (cells without incubation with primary antibody; black).
请注意: All products are "FOR RESEARCH USE ONLY AND ARE NOT INTENDED FOR DIAGNOSTIC OR THERAPEUTIC USE"
同靶点 & 同通路的产品
Phospho-STAT3 (Y705) Recombinant Rabbit Monoclonal Antibody [SZ43-01]
Application: WB,IHC-P,IP
Reactivity: Human,Mouse,Rat
Conjugate: unconjugated
STAT3 Recombinant Rabbit Monoclonal Antibody [SY34-01]
Application: WB,IF-Cell,IF-Tissue,IHC-P,FC
Reactivity: Human,Mouse,Rat
Conjugate: unconjugated
Phospho-STAT3 (Y705) Recombinant Rabbit Monoclonal Antibody [SZ43-01] - BSA and Azide free
Application: WB,IHC-P,IP
Reactivity: Human,Mouse,Rat
Conjugate: unconjugated
STAT3 Recombinant Rabbit Monoclonal Antibody [SY24-08] - BSA and Azide free
Application: WB,IF-Cell,IHC-P,FC
Reactivity: Human,Mouse,Rat,Zebrafish
Conjugate: unconjugated
Phospho-STAT3 (S727) Recombinant Rabbit Monoclonal Antibody [SY24-09] - BSA and Azide free
Application: WB,IF-Cell,IF-Tissue,IHC-P,IP
Reactivity: Human,Rat,Mouse
Conjugate: unconjugated
STAT3 Rabbit Polyclonal Antibody
Application: WB,IP,IF,IHC-P
Reactivity: Human,Mouse,Rat
Conjugate: unconjugated
STAT3 Recombinant Rabbit Monoclonal Antibody [SY24-08]
Application: WB,IF-Cell,IHC-P,FC
Reactivity: Human,Mouse,Rat,Zebrafish
Conjugate: unconjugated
Phospho-STAT3 (S727) Recombinant Rabbit Monoclonal Antibody [SY24-09]
Application: WB,IF-Cell,IF-Tissue,IHC-P,IP
Reactivity: Human,Rat,Mouse
Conjugate: unconjugated