图片
-
☑ Cell treatment (CT)
Western blot analysis of Phospho-GSK3 alpha (S21) on different lysates with Rabbit anti-Phospho-GSK3 alpha (S21) antibody (HA751265) at 1/2,000 dilution.
Lane 1: A549 cell lysate
Lane 2: A549 treated with 100nM Calyculin A for 30 minutes cell lysate
Lane 3: SH-SY5Y cell lysate
Lane 4: SH-SY5Y treated with 200nM Calyculin A and 1μM Okadaic Acid for 1 hour cell lysate
Lysates/proteins at 20 µg/Lane.
Predicted band size: 51 kDa
Observed band size: 51 kDa
Exposure time: 1 minute; ECL: K1801;
4-20% SDS-PAGE gel.
Proteins were transferred to a PVDF membrane and blocked with 5% NFDM/TBST for 1 hour at room temperature. The primary antibody (HA751265) at 1/2,000 dilution was used in 5% NFDM/TBST at 4℃ overnight. Goat Anti-Rabbit IgG - HRP Secondary Antibody (HA1001) at 1/50,000 dilution was used for 1 hour at room temperature.
-
☑ Cell treatment (CT)
Western blot analysis of Phospho-GSK3 alpha (S21) on different lysates with Rabbit anti-Phospho-GSK3 alpha (S21) antibody (HA751265) at 1/2,000 dilution.
Lane 1: NIH/3T3 starved overnight cell lysate
Lane 2: NIH/3T3 starved overnight then treated with 100ng/mL PDGF for 5 minutes cell lysate
Lysates/proteins at 20 µg/Lane.
Predicted band size: 51 kDa
Observed band size: 51 kDa
Exposure time: 3 minutes; ECL: K1801;
4-20% SDS-PAGE gel.
Proteins were transferred to a PVDF membrane and blocked with 5% NFDM/TBST for 1 hour at room temperature. The primary antibody (HA751265) at 1/2,000 dilution was used in 5% NFDM/TBST at 4℃ overnight. Goat Anti-Rabbit IgG - HRP Secondary Antibody (HA1001) at 1/50,000 dilution was used for 1 hour at room temperature.
-
☑ Cell treatment (CT)
Immunohistochemical analysis of paraffin-embedded mouse testis tissue with Rabbit anti-Phospho-GSK3 alpha (S21) antibody (HA751265) at 1/500 dilution.
The section was pre-treated using heat mediated antigen retrieval with Tris-EDTA buffer (pH 9.0) for 20 minutes. The tissues were blocked in 1% BSA for 20 minutes at room temperature, washed with ddH2O and PBS, and then probed with the primary antibody (HA751265) at 1/500 dilution for 1 hour at room temperature. The detection was performed using an HRP conjugated compact polymer system. DAB was used as the chromogen. Tissues were counterstained with hematoxylin and mounted with DPX.
-
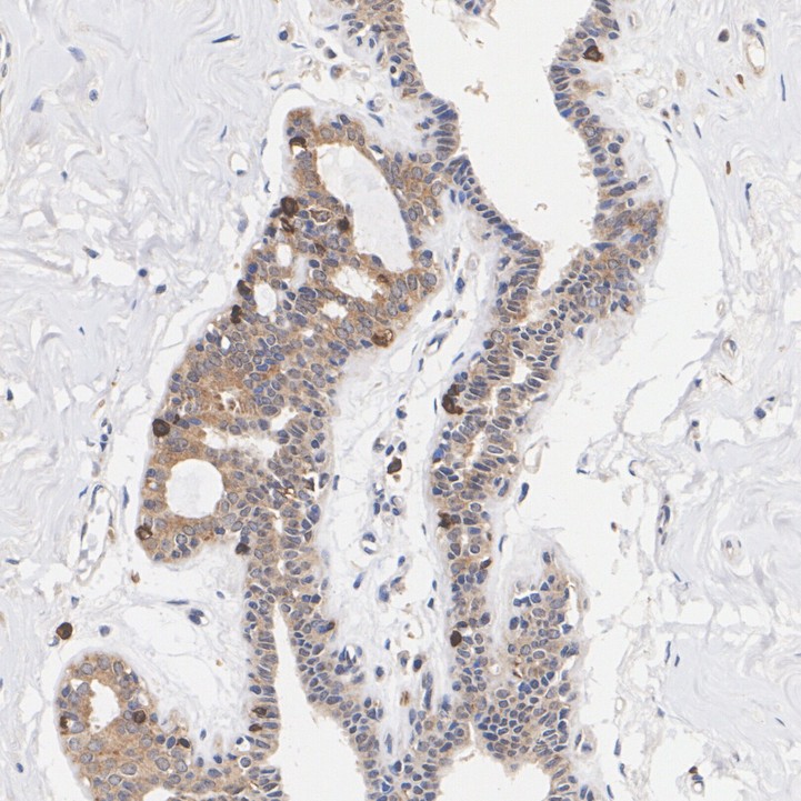
Immunohistochemical analysis of paraffin-embedded human breast tissue with Rabbit anti-Phospho-GSK3 alpha (S21) antibody (HA751265) at 1/200 dilution.
The section was pre-treated using heat mediated antigen retrieval with Tris-EDTA buffer (pH 9.0) for 20 minutes. The tissues were blocked in 1% BSA for 20 minutes at room temperature, washed with ddH2O and PBS, and then probed with the primary antibody (HA751265) at 1/200 dilution for 1 hour at room temperature. The detection was performed using an HRP conjugated compact polymer system. DAB was used as the chromogen. Tissues were counterstained with hematoxylin and mounted with DPX.
-
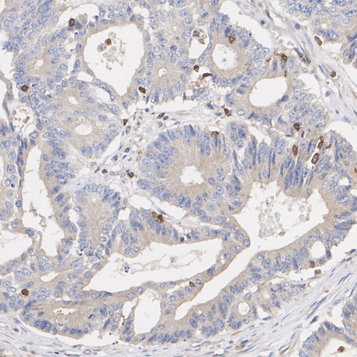
Immunohistochemical analysis of paraffin-embedded human colon cancer tissue with Rabbit anti-Phospho-GSK3 alpha (S21) antibody (HA751265) at 1/200 dilution.
The section was pre-treated using heat mediated antigen retrieval with Tris-EDTA buffer (pH 9.0) for 20 minutes. The tissues were blocked in 1% BSA for 20 minutes at room temperature, washed with ddH2O and PBS, and then probed with the primary antibody (HA751265) at 1/200 dilution for 1 hour at room temperature. The detection was performed using an HRP conjugated compact polymer system. DAB was used as the chromogen. Tissues were counterstained with hematoxylin and mounted with DPX.
-
Dot blot analysis of Phospho-GSK3 alpha (S21) on different peptides with Rabbit anti-Phospho-GSK3 alpha (S21) antibody (HA751265) at 1/1,000 dilution. Goat Anti-Rabbit IgG - HRP Secondary Antibody (HA1001) at 1/50,000 dilution for 1 hour at room temperature.
Lane 1: Phospho-GSK3 alpha (S21) peptide (positive)
Lane 2: Unmodified GSK3 alpha peptide (negative)
Lane 3: Phospho-GSK3 beta (S9) peptide (negative)
Lane 4: Unmodified GSK3 beta peptide (negative)
Proteins loading: 100ng, 25ng, 5ng;
Blocking and dilution buffer: 5% NFDM/TBST;
Exposure time: 10 seconds; ECL: K1801.
请注意: All products are "FOR RESEARCH USE ONLY AND ARE NOT INTENDED FOR DIAGNOSTIC OR THERAPEUTIC USE"