Phospho-Erk1 (T202)+Erk2 (T185) Recombinant Rabbit Monoclonal Antibody [SZ2-4] - BSA and Azide free
概述
产品名称
Phospho-Erk1 (T202)+Erk2 (T185) Recombinant Rabbit Monoclonal Antibody [SZ2-4] - BSA and Azide free
抗体类型
Recombinant Rabbit monoclonal Antibody
免疫原
Synthetic phospho-peptide corresponding to residues surrounding Thr185 of Human Erk2.
种属反应性
Human, Mouse, Rat
验证应用
WB, IF-Cell, IHC-P, FC, IF-Tissue
分子量
Predicted band size: 43/41 kDa
阳性对照
Jurkat treated with 200ng/mL PMA for 35 minutes cell lysate, NIH/3T3 cell lysate, NIH/3T3 treated with 200nM PMA for 30 minutes cell lysate, C6 cell lysate, C6 treated with 200nM PMA for 30 minutes cell lysate, A549, NIH/3T3, MCF-7, human lung carcinoma tissue, human kidney tissue, human gallbladder tissue.
偶联
unconjugated
克隆号
SZ2-4
产品特性
形态
Liquid
存放说明
Store at +4℃ after thawing. Aliquot store at -20℃ or -80℃. Avoid repeated freeze / thaw cycles.
存储缓冲液
PBS (pH7.4).
亚型
IgG
纯化方式
Protein A affinity purified.
应用稀释度
-
WB
-
1:1,000
-
IF-Cell
-
1:100-1:500
-
IHC-P
-
1:200-1:1,000
-
FC
-
1:50-1:100
-
IF-Tissue
-
1:50-1:200
靶点
功能
Mitogen-activated protein kinases (MAPKs) are a widely conserved family of serine/threonine protein kinases involved in many cellular programs, such as cell proliferation, differentiation, motility, and death. The p44/42 MAPK (Erk1/2) signaling pathway can be activated in response to a diverse range of extracellular stimuli including mitogens, growth factors, and cytokines, and research investigators consider it an important target in the diagnosis and treatment of cancer. Upon stimulation, a sequential three-part protein kinase cascade is initiated, consisting of a MAP kinase kinase kinase (MAPKKK or MAP3K), a MAP kinase kinase (MAPKK or MAP2K), and a MAP kinase (MAPK). Multiple p44/42 MAP3Ks have been identified, including members of the Raf family, as well as Mos and Tpl2/COT. MEK1 and MEK2 are the primary MAPKKs in this pathway. MEK1 and MEK2 activate p44 and p42 through phosphorylation of activation loop residues Thr202/Tyr204 and Thr185/Tyr187, respectively. Several downstream targets of p44/42 have been identified, including p90RSK and the transcription factor Elk-1. p44/42 are negatively regulated by a family of dual-specificity (Thr/Tyr) MAPK phosphatases, known as DUSPs or MKPs, along with MEK inhibitors, such as U0126 and PD98059.
背景文献
1. Ruess DA et al. HDACi Valproic Acid (VPA) and Suberoylanilide Hydroxamic Acid (SAHA) Delay but Fail to Protect against Warm Hepatic Ischemia-Reperfusion Injury. PLoS One 11:e0161233 (2016).
2. Ahnstedt H et al. U0126 attenuates cerebral vasoconstriction and improves long-term neurologic outcome after stroke in female rats. J Cereb Blood Flow Metab 35:454-60 (2015).
序列相似性
Belongs to the protein kinase superfamily. CMGC Ser/Thr protein kinase family. MAP kinase subfamily.
翻译后修饰
Phosphorylated upon KIT and FLT3 signaling (By similarity). Dually phosphorylated on Thr-202 and Tyr-204, which activates the enzyme. Ligand-activated ALK induces tyrosine phosphorylation. Dephosphorylated by PTPRJ at Tyr-204.
亚细胞定位
Cytoplasm, Nucleus, Membrane, Cell junction.
UNIPROT
别名
ERK 1 antibody
ERK 2 antibody
ERK-1 antibody
ERK-2 antibody
ERK1 antibody
erk1/2 antibody
ERK2 antibody
ERT1 antibody
ERT2 antibody
Extracellular signal regulated kinase 1 antibody
展开ERK 1 antibody
ERK 2 antibody
ERK-1 antibody
ERK-2 antibody
ERK1 antibody
erk1/2 antibody
ERK2 antibody
ERT1 antibody
ERT2 antibody
Extracellular signal regulated kinase 1 antibody
Extracellular signal-regulated kinase 1 antibody
Extracellular signal-regulated kinase 2 antibody
HS44KDAP antibody
HUMKER1A antibody
Insulin-stimulated MAP2 kinase antibody
MAP kinase 1 antibody
MAP kinase 2 antibody
MAP kinase 3 antibody
MAP kinase isoform p42 antibody
MAP kinase isoform p44 antibody
MAPK 1 antibody
MAPK 2 antibody
MAPK 3 antibody
Mapk1 antibody
MAPK2 antibody
MAPK3 antibody
Microtubule-associated protein 2 kinase antibody
Mitogen-activated protein kinase 1 antibody
Mitogen-activated protein kinase 2 antibody
Mitogen-activated protein kinase 3 antibody
MK01_HUMAN antibody
p38 antibody
p40 antibody
p41 antibody
p41mapk antibody
p42-MAPK antibody
P42MAPK antibody
p44-ERK1 antibody
p44-MAPK antibody
p44ERK1 antibody
p44MAPK antibody
PRKM 2 antibody
PRKM1 antibody
PRKM2 antibody
PRKM3 antibody
protein tyrosine kinase ERK2 antibody
折叠图片
-
☑ Cell treatment (CT)
Western blot analysis of Phospho-Erk1 (T202)+Erk2 (T185) on different lysates with Rabbit anti-Phospho-Erk1 (T202)+Erk2 (T185) antibody (HA750061) at 1/1,000 dilution.
Lane 1: Jurkat cell lysate
Lane 2: Jurkat treated with 200ng/mL PMA for 35 minutes cell lysate
Lane 3: NIH/3T3 cell lysate
Lane 4: NIH/3T3 treated with 200nM PMA for 30 minutes cell lysate
Lane 5: C6 cell lysate
Lane 6: C6 treated with 200nM PMA for 30 minutes cell lysate
Lysates/proteins at 10 µg/Lane.
Predicted band size: 41/43 kDa
Observed band size: 41/43 kDa
Exposure time: 3 minutes; ECL: K1802;
4-20% SDS-PAGE gel.
Proteins were transferred to a PVDF membrane and blocked with 5% NFDM/TBST for 1 hour at room temperature. The primary antibody (HA750061) at 1/1,000 dilution was used in 5% NFDM/TBST at 4℃ overnight. Goat Anti-Rabbit IgG - HRP Secondary Antibody (HA1001) at 1/50,000 dilution was used for 1 hour at room temperature. -
☑ Cell treatment (CT)
Western blot analysis of Phospho-Erk1(T202)+Erk2(T185) on jurkat cell lysates.
Lane 1: jurkat cells, whole cell lysate, 10ug/lane
Lane 2/3: jurkat cells treated with 200 ng/ml PMA for 35 minutes, whole cell lysate, 10ug/lane
Lane 4: jurkat cells treated with 200 ng/ml PMA for 35 minutes, then treated with 2.8ug/ul lambda-PP for 30 minutes, whole cell lysates, 10ug/lane
All lanes :
Anti-Phospho-Erk1(T202)+Erk2(T185) antibody (HA750061) at 1/500 dilution. Anti-Erk1+Erk2antibody (ET1601-29) at 1/500 dilution. Anti-GAPDH antibody (ET1601-4) at 1/10,000 dilution. Goat Anti-Rabbit IgG H&L (HRP) (HA1001) at 1/200,000 dilution.
Predicted band size: 41/43 kDa
Observed band size: 41/43 kDa
Blocking and diluting buffer: 5% BSA.
Exposure time: Lan1/2 4 minutes; Lan3/4 3 minutes -
ICC staining of Phospho-Erk1 (T202)+Erk2 (T185) in A549 cells (green). Formalin fixed cells were permeabilized with 0.1% Triton X-100 in TBS for 10 minutes at room temperature and blocked with 1% Blocker BSA for 15 minutes at room temperature. Cells were probed with the primary antibody (HA750061, 1/50) for 1 hour at room temperature, washed with PBS. Alexa Fluor®488 Goat anti-Rabbit IgG was used as the secondary antibody at 1/1,000 dilution. The nuclear counter stain is DAPI (blue).
-
ICC staining of Phospho-Erk1 (T202)+Erk2 (T185) in NIH/3T3 cells (green). Formalin fixed cells were permeabilized with 0.1% Triton X-100 in TBS for 10 minutes at room temperature and blocked with 1% Blocker BSA for 15 minutes at room temperature. Cells were probed with the primary antibody (HA750061, 1/50) for 1 hour at room temperature, washed with PBS. Alexa Fluor®488 Goat anti-Rabbit IgG was used as the secondary antibody at 1/1,000 dilution. The nuclear counter stain is DAPI (blue).
-
ICC staining of Phospho-Erk1 (T202)+Erk2 (T185) in MCF-7 cells (green). Formalin fixed cells were permeabilized with 0.1% Triton X-100 in TBS for 10 minutes at room temperature and blocked with 1% Blocker BSA for 15 minutes at room temperature. Cells were probed with the primary antibody (HA750061, 1/50) for 1 hour at room temperature, washed with PBS. Alexa Fluor®488 Goat anti-Rabbit IgG was used as the secondary antibody at 1/1,000 dilution. The nuclear counter stain is DAPI (blue).
-
Flow cytometric analysis of Phospho-Erk1 (T202)+Erk2 (T185) was done on MCF-7 cells. The cells were fixed, permeabilized and stained with the primary antibody (HA750061, 1/50) (red). After incubation of the primary antibody at room temperature for an hour, the cells were stained with a Alexa Fluor 488-conjugated Goat anti-Rabbit IgG Secondary antibody at 1/1000 dilution for 30 minutes.Unlabelled sample was used as a control (cells without incubation with primary antibody; black).
-
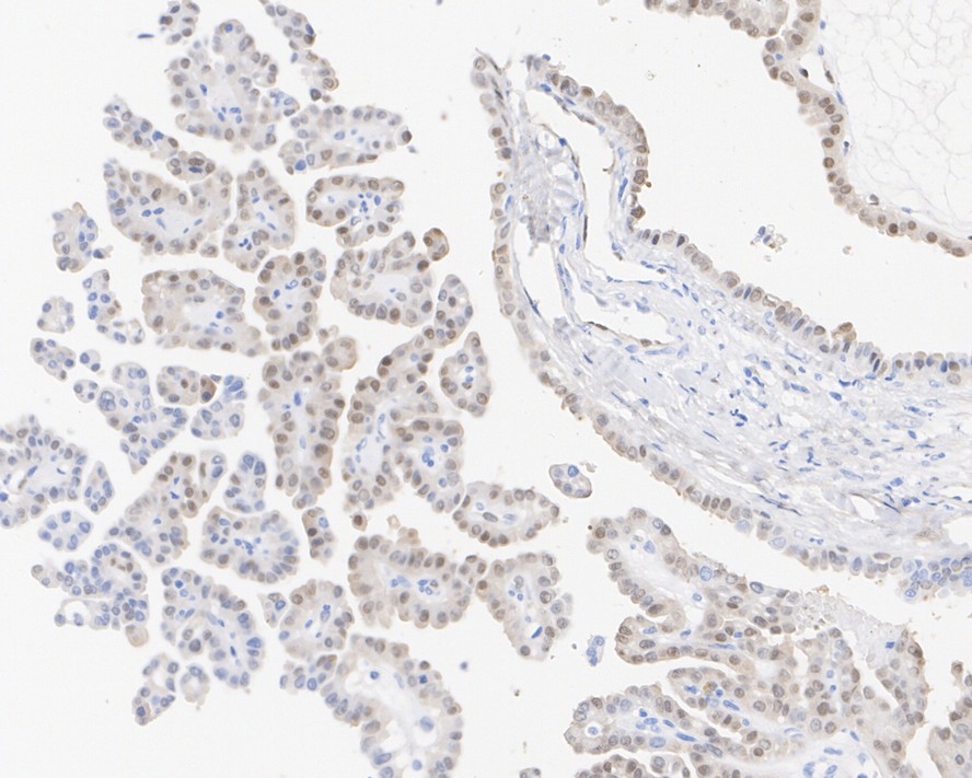
Immunohistochemical analysis of paraffin-embedded human gallbladder tissue with Rabbit anti-Phospho-Erk1 (T202)+Erk2 (T185) antibody (HA750061) at 1/100 dilution.
The section was pre-treated using heat mediated antigen retrieval with sodium citrate buffer (pH 6.0) (high pressure) for 2 minutes. The tissues were blocked in 1% BSA for 20 minutes at room temperature, washed with ddH2O and PBS, and then probed with the primary antibody (HA750061) at 1/100 dilution for 1 hour at room temperature. The detection was performed using an HRP conjugated compact polymer system. DAB was used as the chromogen. Tissues were counterstained with hematoxylin and mounted with DPX. -
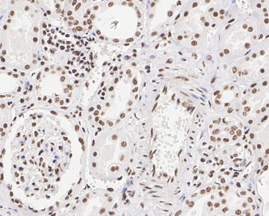
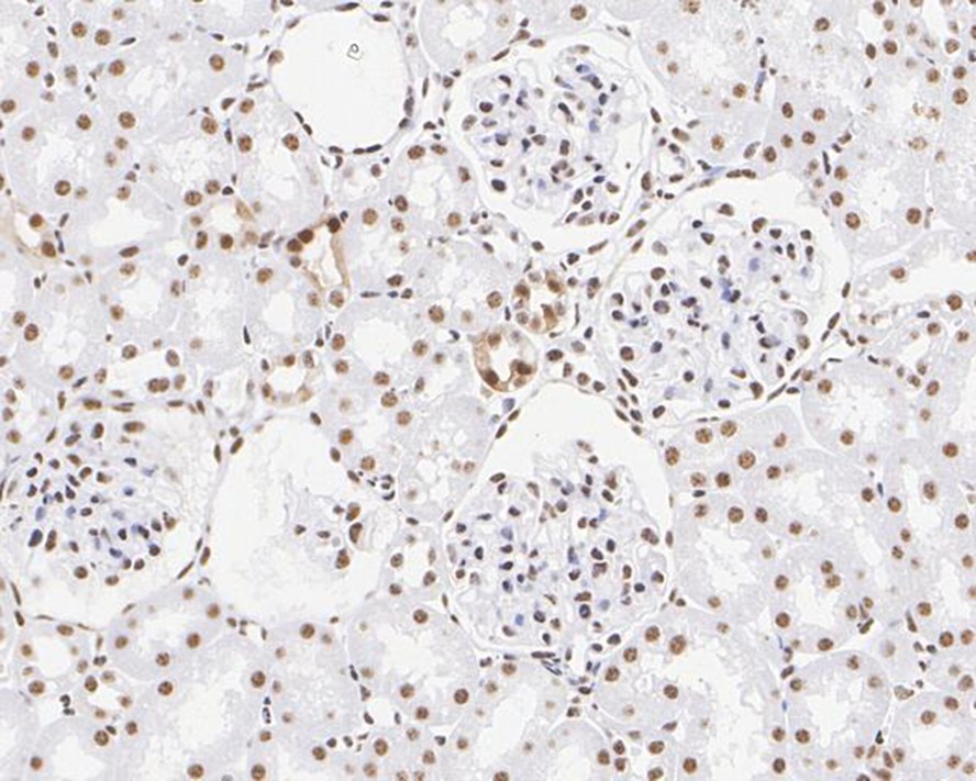
Immunohistochemical analysis of paraffin-embedded human kidney tissue with Rabbit anti-Phospho-Erk1 (T202)+Erk2 (T185) antibody (HA750061) at 1/200 dilution.
The section was pre-treated using heat mediated antigen retrieval with sodium citrate buffer (pH 6.0) (high pressure) for 2 minutes. The tissues were blocked in 1% BSA for 20 minutes at room temperature, washed with ddH2O and PBS, and then probed with the primary antibody (HA750061) at 1/200 dilution for 1 hour at room temperature. The detection was performed using an HRP conjugated compact polymer system. DAB was used as the chromogen. Tissues were counterstained with hematoxylin and mounted with DPX." -
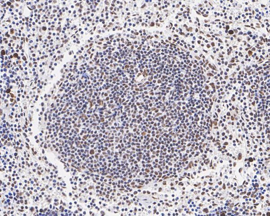
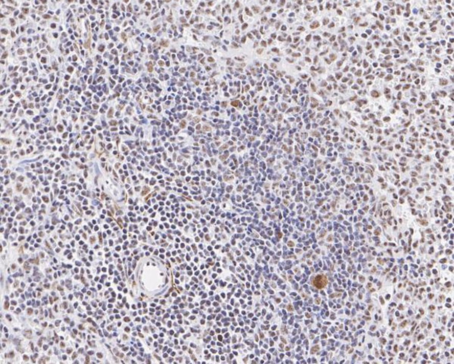
Immunohistochemical analysis of paraffin-embedded human spleen tissue with Rabbit anti-Phospho-Erk1 (T202)+Erk2 (T185) antibody (HA750061) at 1/200 dilution.
The section was pre-treated using heat mediated antigen retrieval with sodium citrate buffer (pH 6.0) (high pressure) for 2 minutes. The tissues were blocked in 1% BSA for 20 minutes at room temperature, washed with ddH2O and PBS, and then probed with the primary antibody (HA750061) at 1/200 dilution for 1 hour at room temperature. The detection was performed using an HRP conjugated compact polymer system. DAB was used as the chromogen. Tissues were counterstained with hematoxylin and mounted with DPX." -
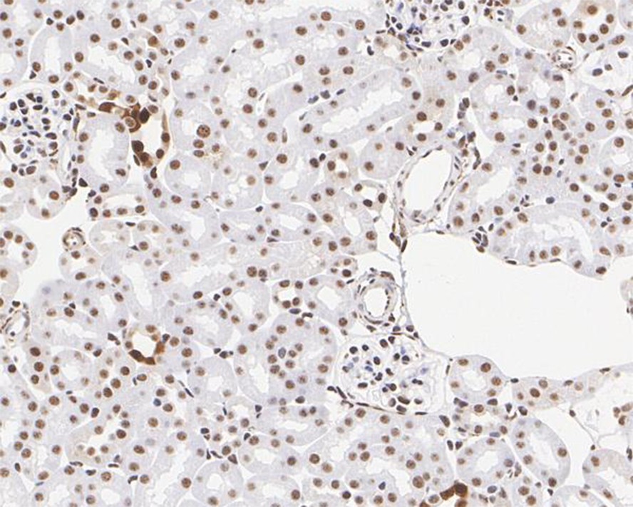
Immunohistochemical analysis of paraffin-embedded mouse kidney tissue with Rabbit anti-Phospho-Erk1 (T202)+Erk2 (T185) antibody (HA750061) at 1/1,000 dilution.
The section was pre-treated using heat mediated antigen retrieval with sodium citrate buffer (pH 6.0) (high pressure) for 2 minutes. The tissues were blocked in 1% BSA for 20 minutes at room temperature, washed with ddH2O and PBS, and then probed with the primary antibody (HA750061) at 1/1,000 dilution for 1 hour at room temperature. The detection was performed using an HRP conjugated compact polymer system. DAB was used as the chromogen. Tissues were counterstained with hematoxylin and mounted with DPX." -
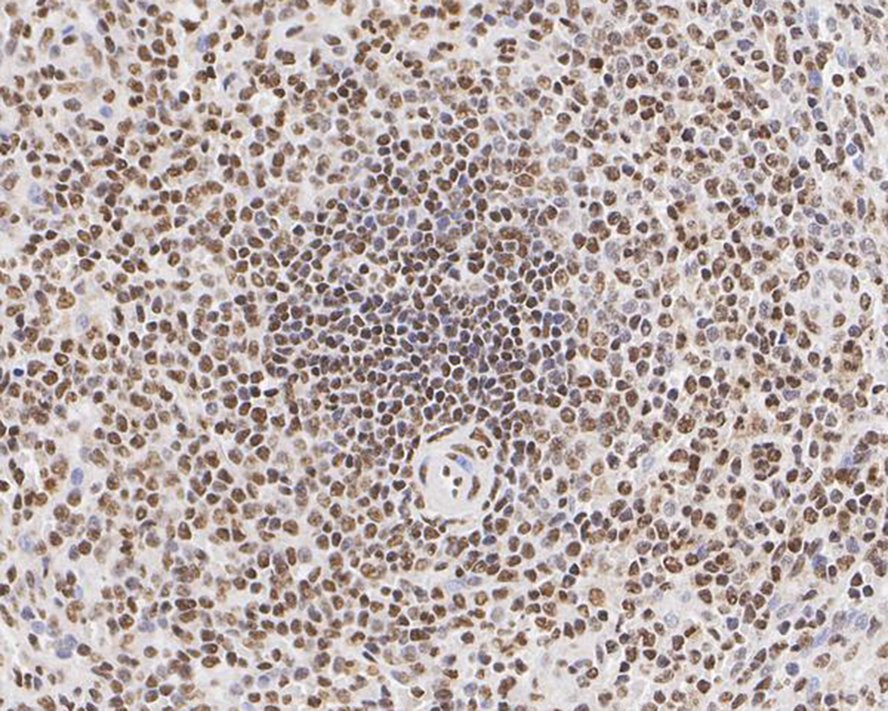
Immunohistochemical analysis of paraffin-embedded mouse spleen tissue with Rabbit anti-Phospho-Erk1 (T202)+Erk2 (T185) antibody (HA750061) at 1/1,000 dilution.
The section was pre-treated using heat mediated antigen retrieval with sodium citrate buffer (pH 6.0) (high pressure) for 2 minutes. The tissues were blocked in 1% BSA for 20 minutes at room temperature, washed with ddH2O and PBS, and then probed with the primary antibody (HA750061) at 1/1,000 dilution for 1 hour at room temperature. The detection was performed using an HRP conjugated compact polymer system. DAB was used as the chromogen. Tissues were counterstained with hematoxylin and mounted with DPX." -
Immunohistochemical analysis of paraffin-embedded rat kidney tissue with Rabbit anti-Phospho-Erk1 (T202)+Erk2 (T185) antibody (HA750061) at 1/1,000 dilution.
The section was pre-treated using heat mediated antigen retrieval with sodium citrate buffer (pH 6.0) (high pressure) for 2 minutes. The tissues were blocked in 1% BSA for 20 minutes at room temperature, washed with ddH2O and PBS, and then probed with the primary antibody (HA750061) at 1/1,000 dilution for 1 hour at room temperature. The detection was performed using an HRP conjugated compact polymer system. DAB was used as the chromogen. Tissues were counterstained with hematoxylin and mounted with DPX." -
Immunohistochemical analysis of paraffin-embedded rat spleen tissue with Rabbit anti-Phospho-Erk1 (T202)+Erk2 (T185) antibody (HA750061) at 1/1,000 dilution.
The section was pre-treated using heat mediated antigen retrieval with sodium citrate buffer (pH 6.0) (high pressure) for 2 minutes. The tissues were blocked in 1% BSA for 20 minutes at room temperature, washed with ddH2O and PBS, and then probed with the primary antibody (HA750061) at 1/1,000 dilution for 1 hour at room temperature. The detection was performed using an HRP conjugated compact polymer system. DAB was used as the chromogen. Tissues were counterstained with hematoxylin and mounted with DPX." -
Immunohistochemical analysis of paraffin-embedded human thyroid cancer tissue with Rabbit anti-Phospho-Erk1 (T202)+Erk2 (T185) antibody (HA750061) at 1/1,000 dilution.
The section was pre-treated using heat mediated antigen retrieval with sodium citrate buffer (pH 6.0) (high pressure) for 2 minutes. The tissues were blocked in 1% BSA for 20 minutes at room temperature, washed with ddH2O and PBS, and then probed with the primary antibody (HA750061) at 1/1,000 dilution for 1 hour at room temperature. The detection was performed using an HRP conjugated compact polymer system. DAB was used as the chromogen. Tissues were counterstained with hematoxylin and mounted with DPX."
请注意: All products are "FOR RESEARCH USE ONLY AND ARE NOT INTENDED FOR DIAGNOSTIC OR THERAPEUTIC USE"
同靶点 & 同通路的产品
Phospho-Erk1 (T202)+Erk2 (T185) Recombinant Rabbit Monoclonal Antibody [SZ2-4]
Application: WB,IF-Cell,IHC-P,FC,IF-Tissue
Reactivity: Human,Mouse,Rat
Conjugate: unconjugated