图片
-
☑ Cell treatment (CT)
Western blot analysis of Phospho-AKT (S473) on different lysates with Rabbit anti-Phospho-AKT (S473) antibody (HA750953) at 1/2,000 dilution and pan AKT antibody (HA721870) at 1/2,000 dilution.
Lane 1: MCF7 cell lysate
Lane 2: MCF7 treated with 50ng/mL Calyculin A for 45 minutes cell lysate
Lane 3: SH-SY5Y cell lysate
Lane 4: SH-SY5Y treated with 100ng/mL PDGF for 5 minutes cell lysate
Lane 5: HEK-293 cell lysate
Lane 6: HEK-293 treated with 50μM LY294002 for 6 hours cell lysate
Lane 7: NIH/3T3 cell lysate
Lane 8: NIH/3T3 treated with 100ng/mL PDGF for 5 minutes cell lysate
Lane 9: C6 cell lysate
Lane 10: C6 treated with 100ng/mL PDGF for 5 minutes cell lysate
Lane 11: MCF7 treated with 50ng/mL Calyculin A for 45 minutes cell lysate, then the membrane treated with λpp for 1 hour
Lysates/proteins at 20 µg/Lane.
Predicted band size: 56 kDa
Observed band size: 56 kDa
Exposure time: 20 seconds; ECL: K1801;
4-20% SDS-PAGE gel.
Proteins were transferred to a PVDF membrane and blocked with 5% BSA for 1 hour at room temperature. The primary antibody (HA750953) at 1/2,000 dilution and pan AKT antibody (HA721870) at 1/2,000 dilution were used in 5% BSA at 4℃ overnight. Goat Anti-Rabbit IgG - HRP Secondary Antibody (HA1001) at 1/50,000 dilution was used for 1 hour at room temperature.
-
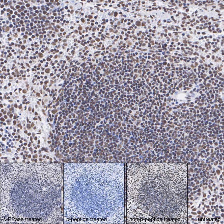
☑ Cell treatment (CT)
Immunohistochemical analysis of paraffin-embedded mouse spleen tissue untreated / treated with λpp / phospho-peptide / non-phospho-peptide with Rabbit anti-Phospho-AKT (S473) antibody (HA750953) at 1/200 dilution.
The section was pre-treated using heat mediated antigen retrieval with sodium citrate buffer (pH 6.0) (high pressure) for 2 minutes. The tissues were blocked in 1% BSA for 20 minutes at room temperature, washed with ddH2O and PBS, and then probed with the primary antibody (HA750953) at 1/200 dilution for 1 hour at room temperature. The detection was performed using an HRP conjugated compact polymer system. DAB was used as the chromogen. Tissues were counterstained with hematoxylin and mounted with DPX.
-
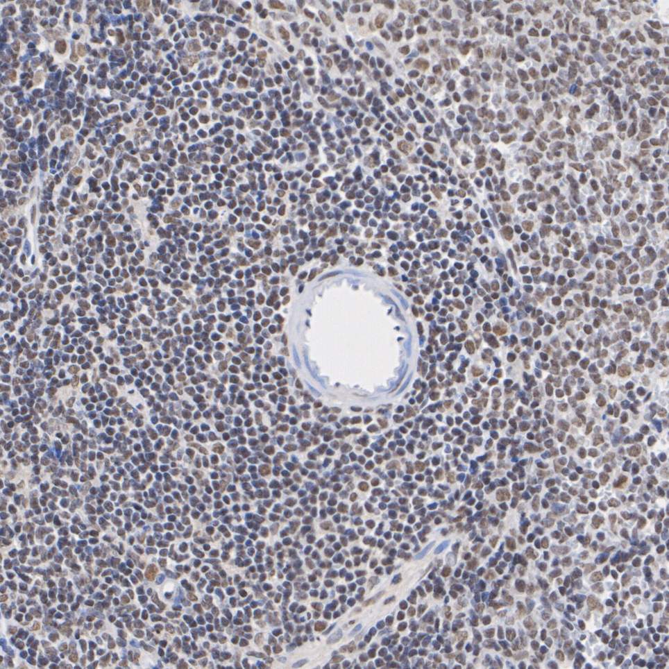
Immunohistochemical analysis of paraffin-embedded rat spleen tissue with Rabbit anti-Phospho-AKT (S473) antibody (HA750953) at 1/200 dilution.
The section was pre-treated using heat mediated antigen retrieval with sodium citrate buffer (pH 6.0) (high pressure) for 2 minutes. The tissues were blocked in 1% BSA for 20 minutes at room temperature, washed with ddH2O and PBS, and then probed with the primary antibody (HA750953) at 1/200 dilution for 1 hour at room temperature. The detection was performed using an HRP conjugated compact polymer system. DAB was used as the chromogen. Tissues were counterstained with hematoxylin and mounted with DPX.
-
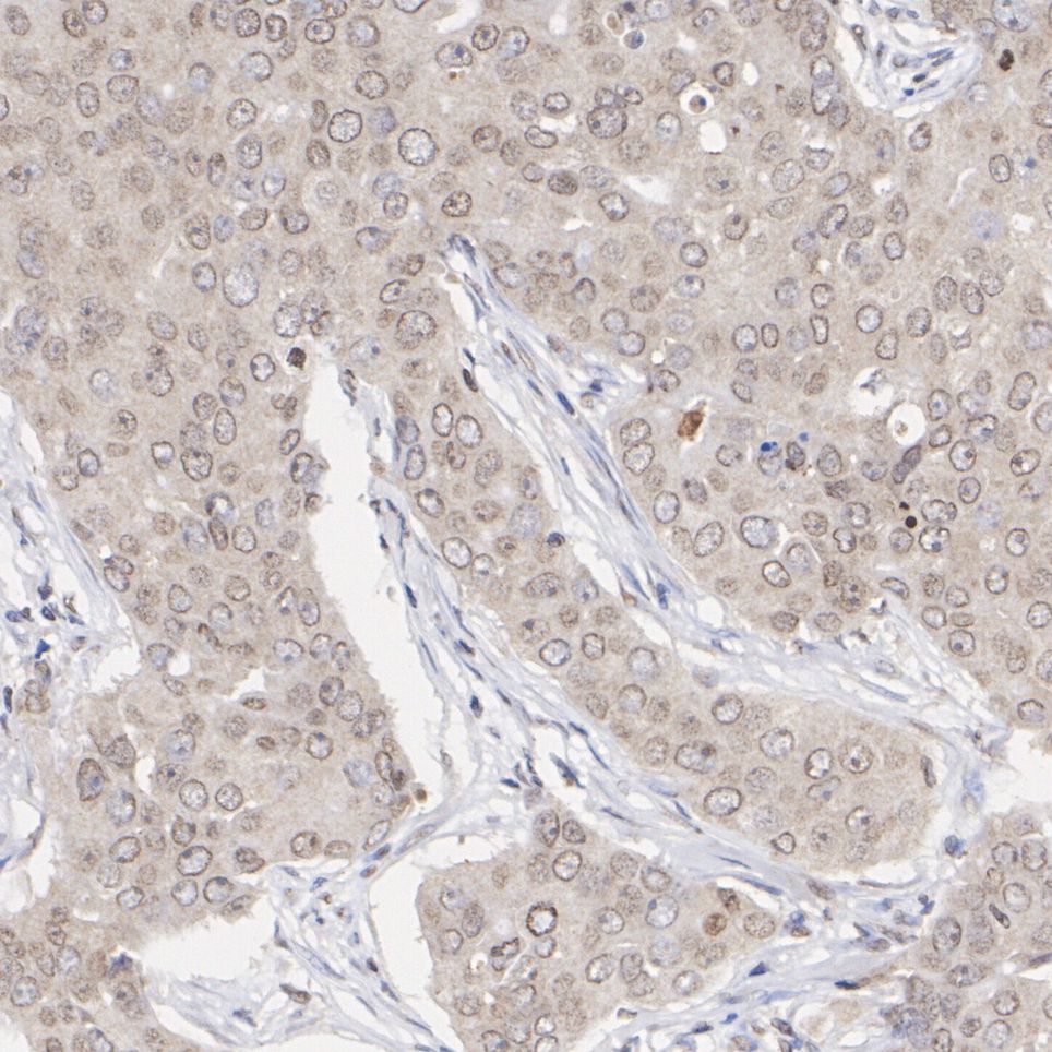
Immunohistochemical analysis of paraffin-embedded human breast cancer tissue with Rabbit anti-Phospho-AKT (S473) antibody (HA750953) at 1/200 dilution.
The section was pre-treated using heat mediated antigen retrieval with sodium citrate buffer (pH 6.0) (high pressure) for 2 minutes. The tissues were blocked in 1% BSA for 20 minutes at room temperature, washed with ddH2O and PBS, and then probed with the primary antibody (HA750953) at 1/200 dilution for 1 hour at room temperature. The detection was performed using an HRP conjugated compact polymer system. DAB was used as the chromogen. Tissues were counterstained with hematoxylin and mounted with DPX.
-
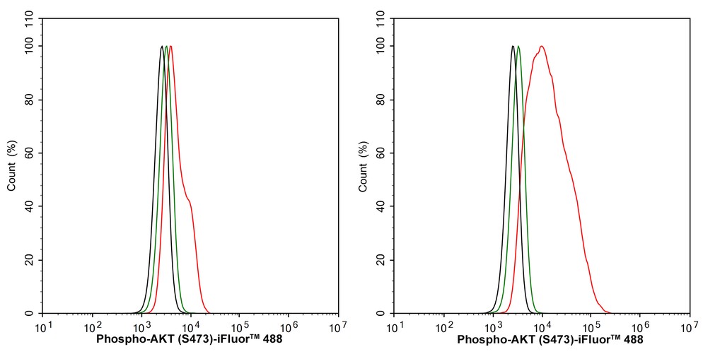
☑ Cell treatment (CT)
Flow cytometric analysis of NIH/3T3 cells untreated (left) / treated with 100ng/mL PDGF for 1 hour (right) labeling Phospho-AKT (S473).
Cells were fixed and permeabilized. Then stained with the primary antibody (HA750953, 0.1μg/mL) (red) compared with Rabbit IgG Isotype Control (green). After incubation of the primary antibody at +4℃ for an hour, the cells were stained with a iFluor™ 488 conjugate-Goat anti-Rabbit IgG Secondary antibody (HA1121) at 1/1,000 dilution for 30 minutes at +4℃. Unlabelled sample was used as a control (cells without incubation with primary antibody; black).
请注意: All products are "FOR RESEARCH USE ONLY AND ARE NOT INTENDED FOR DIAGNOSTIC OR THERAPEUTIC USE"