Phospho-AKT (S473) Recombinant Rabbit Monoclonal Antibody [SY28-05] - BSA and Azide free
概述
产品名称
Phospho-AKT (S473) Recombinant Rabbit Monoclonal Antibody [SY28-05] - BSA and Azide free
抗体类型
Recombinant Rabbit monoclonal Antibody
免疫原
Synthetic phospho-peptide corresponding to residues surrounding Ser473 of human AKT1.
种属反应性
Human, Mouse, Rat, Dog
验证应用
WB, IF-Cell, IF-Tissue, IHC-P, IHC-Fr
分子量
Predicted band size: 56 kDa
阳性对照
MCF7 treated with 100nM Calyculin A for 30 minutes cell lysate, NIH/3T3 treated with 100ng/mL PDGF for 1 hour cell lysate, C6 treated with 100nM Calyculin A for 30 minutes cell lysate, HEK-293 cell lysate, HeLa cells treated with 100nM Calyculin A for 30 minutes, NIH/3T3 cells treated with 100ng/mL PDGF for 1 hour, C6 cells treated with 100nM Calyculin A for 30 minutes, human breast cancer tissue, mouse lung tissue, rat brain tissue, mouse hippocampus tissue, mouse cerebral cortex tissue, mouse brain tissue.
偶联
unconjugated
克隆号
SY28-05
产品特性
形态
Liquid
存放说明
Store at +4℃ after thawing. Aliquot store at -20℃ or -80℃. Avoid repeated freeze / thaw cycles.
存储缓冲液
PBS (pH7.4).
亚型
IgG
纯化方式
Protein A affinity purified.
应用稀释度
-
WB
-
1:5,000-1:10,000
-
IF-Cell
-
1:100-1:1,000
-
IHC-P
-
1:200-1:1,000
-
IF-Tissue
-
1:200-1:500
-
IHC-Fr
-
1:100
靶点
功能
RAC(Rho family)-alpha serine/threonine-protein kinase is an enzyme that in humans is encoded by the AKT1 gene. This enzyme belongs to the AKT subfamily of serine/threonine kinases that contain SH2 (Src homology 2-like) protein domains. It is commonly referred to as PKB, or by both names as "Akt/PKB". The serine-threonine protein kinase AKT1 is catalytically inactive in serum-starved primary and immortalized fibroblasts. AKT1 and the related AKT2 are activated by platelet-derived growth factor. The activation is rapid and specific, and it is abrogated by mutations in the pleckstrin homology domain of AKT1. It was shown that the activation occurs through phosphatidylinositol 3-kinase. In the developing nervous system AKT is a critical mediator of growth factor-induced neuronal survival. Survival factors can suppress apoptosis in a transcription-independent manner by activating the serine/threonine kinase AKT1, which then phosphorylates and inactivates components of the apoptotic machinery.
背景文献
1. Lee DS et al. P2 × 7 Receptor Inhibits Astroglial Autophagy via Regulating FAK- and PHLPP1/2-Mediated AKT-S473 Phosphorylation Following Kainic Acid-Induced Seizures. Int J Mol Sci. 2020 Sep
2. Cai Q et al. MAPK6-AKT signaling promotes tumor growth and resistance to mTOR kinase blockade. Sci Adv. 2021 Nov
序列相似性
Belongs to the protein kinase superfamily. AGC Ser/Thr protein kinase family. RAC subfamily.
组织特异性
Expressed in prostate cancer and levels increase from the normal to the malignant state (at protein level). Expressed in all human cell types so far analyzed. The Tyr-176 phosphorylated form shows a significant increase in expression in breast cancers during the progressive stages i.e. normal to hyperplasia (ADH), ductal carcinoma in situ (DCIS), invasive ductal carcinoma (IDC) and lymph node metastatic (LNMM) stages.
翻译后修饰
O-GlcNAcylation at Thr-305 and Thr-312 inhibits activating phosphorylation at Thr-308 via disrupting the interaction between AKT1 and PDPK1. O-GlcNAcylation at Ser-473 also probably interferes with phosphorylation at this site.; Phosphorylation on Thr-308, Ser-473 and Tyr-474 is required for full activity. Activated TNK2 phosphorylates it on Tyr-176 resulting in its binding to the anionic plasma membrane phospholipid PA. This phosphorylated form localizes to the cell membrane, where it is targeted by PDPK1 and PDPK2 for further phosphorylations on Thr-308 and Ser-473 leading to its activation. Ser-473 phosphorylation by mTORC2 favors Thr-308 phosphorylation by PDPK1. Phosphorylated at Thr-308 and Ser-473 by IKBKE and TBK1. Ser-473 phosphorylation is enhanced by interaction with AGAP2 isoform 2 (PIKE-A). Ser-473 phosphorylation is enhanced in focal cortical dysplasias with Taylor-type balloon cells. Ser-473 phosphorylation is enhanced by signaling through activated FLT3 (By similarity). Ser-473 is dephosphorylated by PHLPP. Dephosphorylated at Thr-308 and Ser-473 by PP2A phosphatase. The phosphorylated form of PPP2R5B is required for bridging AKT1 with PP2A phosphatase. Ser-473 is dephosphorylated by CPPED1, leading to termination of signaling.; Ubiquitinated via 'Lys-48'-linked polyubiquitination by ZNRF1, leading to its degradation by the proteasome (By similarity). Ubiquitinated; undergoes both 'Lys-48'- and 'Lys-63'-linked polyubiquitination. TRAF6-induced 'Lys-63'-linked AKT1 ubiquitination is critical for phosphorylation and activation. When ubiquitinated, it translocates to the plasma membrane, where it becomes phosphorylated. When fully phosphorylated and translocated into the nucleus, undergoes 'Lys-48'-polyubiquitination catalyzed by TTC3, leading to its degradation by the proteasome. Also ubiquitinated by TRIM13 leading to its proteasomal degradation. Phosphorylated, undergoes 'Lys-48'-linked polyubiquitination preferentially at Lys-284 catalyzed by MUL1, leading to its proteasomal degradation.; Acetylated on Lys-14 and Lys-20 by the histone acetyltransferases EP300 and KAT2B. Acetylation results in reduced phosphorylation and inhibition of activity. Deacetylated at Lys-14 and Lys-20 by SIRT1. SIRT1-mediated deacetylation relieves the inhibition.
亚细胞定位
Cytoplasm, Nucleus, Cell membrane.
UNIPROT
别名
AKT 1 antibody
AKT antibody
AKT1 antibody
AKT1_HUMAN antibody
MGC99656 antibody
PKB antibody
PKB-ALPHA antibody
PRKBA antibody
Protein Kinase B Alpha antibody
Protein kinase B antibody
展开AKT 1 antibody
AKT antibody
AKT1 antibody
AKT1_HUMAN antibody
MGC99656 antibody
PKB antibody
PKB-ALPHA antibody
PRKBA antibody
Protein Kinase B Alpha antibody
Protein kinase B antibody
Proto-oncogene c-Akt antibody
RAC Alpha antibody
RAC antibody
RAC-alpha serine/threonine-protein kinase antibody
RAC-PK-alpha antibody
折叠图片
-
☑ Cell treatment (CT)
Western blot analysis of Phospho-AKT (S473) on different lysates with Rabbit anti-Phospho-AKT (S473) antibody (HA750132) at 1/5,000 dilution.
Lane 1: MCF7 cell lysate
Lane 2: MCF7 treated with 100nM Calyculin A for 30 minutes cell lysate
Lane 3: NIH/3T3 cell lysate
Lane 4: NIH/3T3 treated with 100ng/mL PDGF for 1 hour cell lysate
Lysates/proteins at 20 µg/Lane.
Predicted band size: 56 kDa
Observed band size: 56 kDa
Exposure time: 53 seconds; ECL: K1801;
4-20% SDS-PAGE gel.
Proteins were transferred to a PVDF membrane and blocked with 5% NFDM/TBST for 1 hour at room temperature. The primary antibody (HA750132) at 1/5,000 dilution was used in 5% NFDM/TBST at 4℃ overnight. Goat Anti-Rabbit IgG - HRP Secondary Antibody (HA1001) at 1/50,000 dilution was used for 1 hour at room temperature. -
☑ Cell treatment (CT)
Western blot analysis of Phospho-AKT (S473) on different lysates with Rabbit anti-Phospho-AKT (S473) antibody (HA750132) at 1/5,000 dilution.
Lane 1: C6 cell lysate
Lane 2: C6 treated with 100nM Calyculin A for 30 minutes cell lysate
Lysates/proteins at 15 µg/Lane.
Predicted band size: 56 kDa
Observed band size: 56 kDa
Exposure time: 3 minutes; ECL: K1801;
4-20% SDS-PAGE gel.
Proteins were transferred to a PVDF membrane and blocked with 5% NFDM/TBST for 1 hour at room temperature. The primary antibody (HA750132) at 1/5,000 dilution was used in 5% NFDM/TBST at room temperature for 2 hours. Goat Anti-Rabbit IgG - HRP Secondary Antibody (HA1001) at 1/50,000 dilution was used for 1 hour at room temperature. -
☑ Cell treatment (CT)
Western blot analysis of Phospho-AKT (S473) on different lysates with Rabbit anti-Phospho-AKT (S473) antibody (HA750132) at 1/5,000 dilution.
Lane 1: HEK-293 cell lysate
Lane 2: HEK-293 treated with 50μM LY294002 for 6 hours cell lysate
Lysates/proteins at 20 µg/Lane.
Predicted band size: 56 kDa
Observed band size: 56 kDa
Exposure time: 50 seconds; ECL: K1801;
4-20% SDS-PAGE gel.
Proteins were transferred to a PVDF membrane and blocked with 5% NFDM/TBST for 1 hour at room temperature. The primary antibody (HA750132) at 1/5,000 dilution was used in 5% NFDM/TBST at 4℃ overnight. Goat Anti-Rabbit IgG - HRP Secondary Antibody (HA1001) at 1/200,000 dilution was used for 1 hour at room temperature. -
☑ Cell treatment (CT)
Immunocytochemistry analysis of HeLa cells treated with or without 100nM Calyculin A for 30 minutes labeling Phospho-AKT (S473) with Rabbit anti-Phospho-AKT (S473) antibody (HA750132) at 1/200 dilution.
Cells were fixed in 4% paraformaldehyde for 20 minutes at room temperature, permeabilized with 0.1% Triton X-100 in PBS for 5 minutes at room temperature, then blocked with 1% BSA in 10% negative goat serum for 1 hour at room temperature. Cells were then incubated with Rabbit anti-Phospho-AKT (S473) antibody (HA750132) at 1/200 dilution in 1% BSA in PBST overnight at 4 ℃. Goat Anti-Rabbit IgG H&L (iFluor™ 488, HA1121) was used as the secondary antibody at 1/1,000 dilution. PBS instead of the primary antibody was used as the secondary antibody only control. Nuclear DNA was labelled in blue with DAPI.
Beta tubulin (M1305-2, red) was stained at 1/100 dilution overnight at +4℃. Goat Anti-Mouse IgG H&L (iFluor™ 594, HA1126) was used as the secondary antibody at 1/1,000 dilution. -
☑ Cell treatment (CT)
Immunocytochemistry analysis of NIH/3T3 cells treated with or without 100ng/mL PDGF for 1 hour labeling Phospho-AKT (S473) with Rabbit anti-Phospho-AKT (S473) antibody (HA750132) at 1/100 dilution.
Cells were fixed in 4% paraformaldehyde for 20 minutes at room temperature, permeabilized with 0.1% Triton X-100 in PBS for 5 minutes at room temperature, then blocked with 1% BSA in 10% negative goat serum for 1 hour at room temperature. Cells were then incubated with Rabbit anti-Phospho-AKT (S473) antibody (HA750132) at 1/100 dilution in 1% BSA in PBST overnight at 4 ℃. Goat Anti-Rabbit IgG H&L (iFluor™ 488, HA1121) was used as the secondary antibody at 1/1,000 dilution. PBS instead of the primary antibody was used as the secondary antibody only control. Nuclear DNA was labelled in blue with DAPI.
Beta tubulin (M1305-2, red) was stained at 1/100 dilution overnight at +4℃. Goat Anti-Mouse IgG H&L (iFluor™ 594, HA1126) was used as the secondary antibody at 1/1,000 dilution. -
☑ Cell treatment (CT)
Immunocytochemistry analysis of C6 cells treated with or without 100nM Calyculin A for 30 minutes labeling Phospho-AKT (S473) with Rabbit anti-Phospho-AKT (S473) antibody (HA750132) at 1/1,000 dilution.
Cells were fixed in 4% paraformaldehyde for 20 minutes at room temperature, permeabilized with 0.1% Triton X-100 in PBS for 5 minutes at room temperature, then blocked with 1% BSA in 10% negative goat serum for 1 hour at room temperature. Cells were then incubated with Rabbit anti-Phospho-AKT (S473) antibody (HA750132) at 1/1,000 dilution in 1% BSA in PBST overnight at 4 ℃. Goat Anti-Rabbit IgG H&L (iFluor™ 488, HA1121) was used as the secondary antibody at 1/1,000 dilution. PBS instead of the primary antibody was used as the secondary antibody only control. Nuclear DNA was labelled in blue with DAPI.
Beta tubulin (M1305-2, red) was stained at 1/100 dilution overnight at +4℃. Goat Anti-Mouse IgG H&L (iFluor™ 594, HA1126) was used as the secondary antibody at 1/1,000 dilution. -
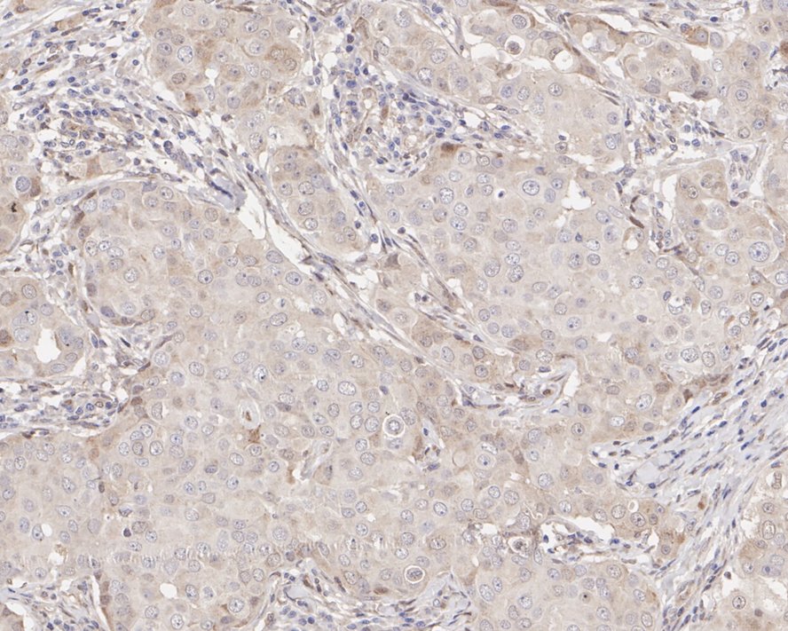
Immunohistochemical analysis of paraffin-embedded human breast cancer tissue with Rabbit anti-Phospho-AKT (S473) antibody (HA750132) at 1/200 dilution.
The section was pre-treated using heat mediated antigen retrieval with sodium citrate buffer (pH 6.0) (high pressure) for 2 minutes. The tissues were blocked in 1% BSA for 20 minutes at room temperature, washed with ddH2O and PBS, and then probed with the primary antibody (HA750132) at 1/200 dilution for 1 hour at room temperature. The detection was performed using an HRP conjugated compact polymer system. DAB was used as the chromogen. Tissues were counterstained with hematoxylin and mounted with DPX. -
Immunohistochemical analysis of paraffin-embedded mouse lung tissue with Rabbit anti-Phospho-AKT (S473) antibody (HA750132) at 1/1,000 dilution.
The section was pre-treated using heat mediated antigen retrieval with Tris-EDTA buffer (pH 9.0) for 20 minutes. The tissues were blocked in 1% BSA for 20 minutes at room temperature, washed with ddH2O and PBS, and then probed with the primary antibody (HA750132) at 1/1,000 dilution for 1 hour at room temperature. The detection was performed using an HRP conjugated compact polymer system. DAB was used as the chromogen. Tissues were counterstained with hematoxylin and mounted with DPX. -
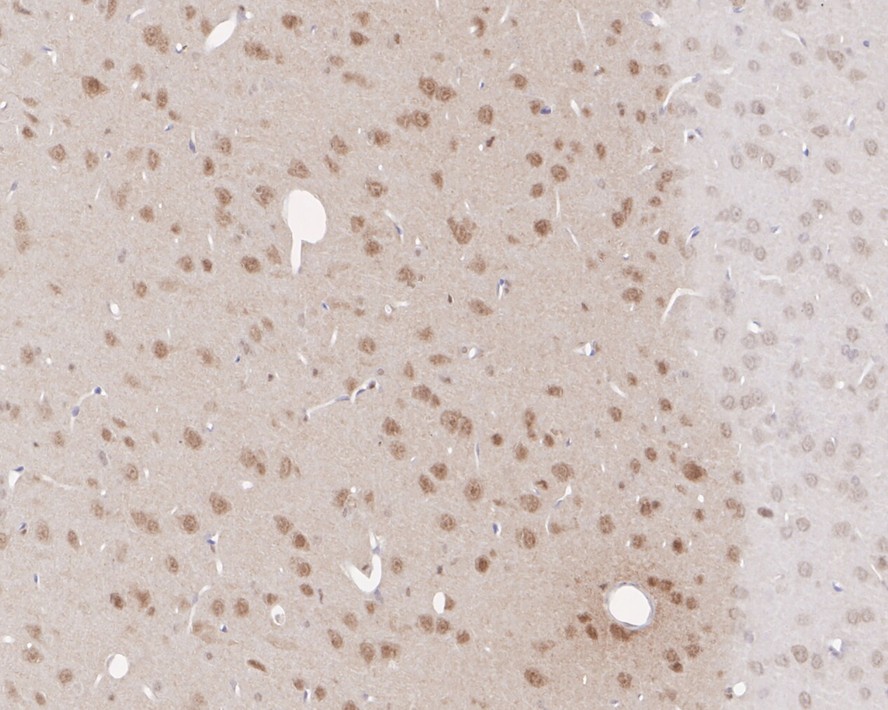
Immunohistochemical analysis of paraffin-embedded rat brain tissue with Rabbit anti-Phospho-AKT (S473) antibody (HA750132) at 1/1,000 dilution.
The section was pre-treated using heat mediated antigen retrieval with sodium citrate buffer (pH 6.0) (high pressure) for 2 minutes. The tissues were blocked in 1% BSA for 20 minutes at room temperature, washed with ddH2O and PBS, and then probed with the primary antibody (HA750132) at 1/1,000 dilution for 1 hour at room temperature. The detection was performed using an HRP conjugated compact polymer system. DAB was used as the chromogen. Tissues were counterstained with hematoxylin and mounted with DPX. -
Application: IHC-Fr
Species: Mouse
Site: Cerebral cortex
Sample: Frozen section
Antibody concentration: 1/200
Antigen retrieval: Not required -
Application: IF-tissue
Species: Human
Site: Breast cancer
Sample: Paraffin-embedded section
Antibody concentration: 1/200 -
Application: IF-tissue
Species: Mouse
Site: Lung
Sample: Paraffin-embedded section
Antibody concentration: 1/200 -
Application: IF-tissue
Species: Mouse
Site: Cerebral cortex
Sample: Paraffin-embedded section
Antibody concentration: 1/200
请注意: All products are "FOR RESEARCH USE ONLY AND ARE NOT INTENDED FOR DIAGNOSTIC OR THERAPEUTIC USE"
同靶点 & 同通路的产品
Phospho-AKT (T308) Recombinant Rabbit Monoclonal Antibody [PSH08-10]
Application: WB,IF-Cell,FC
Reactivity: Human
Conjugate: unconjugated
Phospho-AKT (S473) Recombinant Rabbit Monoclonal Antibody [PSH04-44] - BSA and Azide free
Application: WB,IHC-P,FC
Reactivity: Human,Mouse,Rat
Conjugate: unconjugated
Phospho-AKT (T308) Recombinant Rabbit Monoclonal Antibody [PSH08-10] - BSA and Azide free
Application: WB,IF-Cell,FC
Reactivity: Human
Conjugate: unconjugated
Phospho-AKT (S473) Recombinant Rabbit Monoclonal Antibody [SY28-05]
Application: WB,IF-Cell,IF-Tissue,IHC-P,IHC-Fr
Reactivity: Human,Mouse,Rat,Dog
Conjugate: unconjugated
Phospho-AKT (S473) Recombinant Rabbit Monoclonal Antibody [PSH04-44]
Application: WB,IHC-P,FC
Reactivity: Human,Mouse,Rat
Conjugate: unconjugated