Catalog# ER1802-16
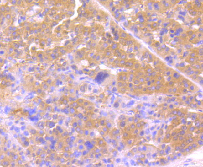
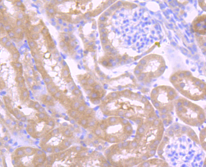
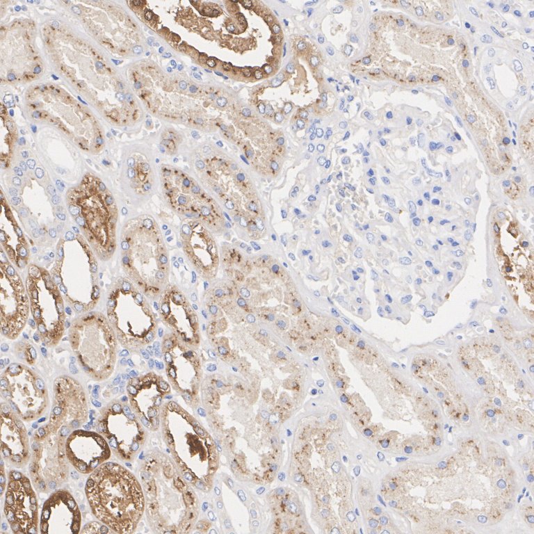
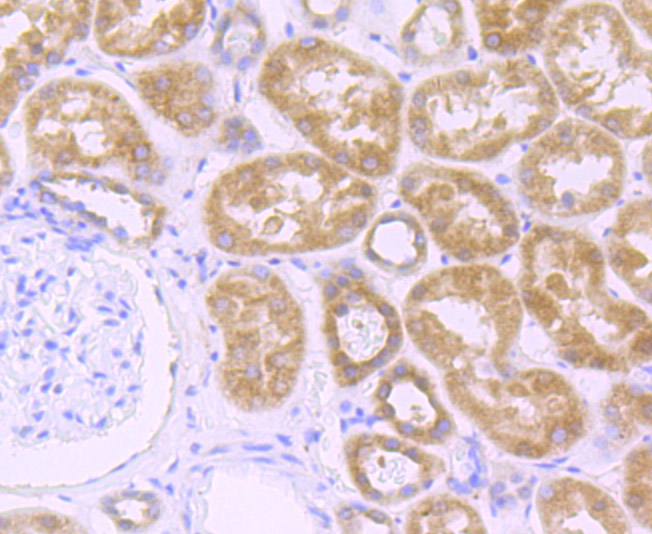
Osteopontin Rabbit Polyclonal Antibody
Application
-
IF-Cell
-
IHC-P
-
ELISA
Reactivity
-
Human
-
Mouse
Conjugation
-
unconjugated
This product has been cited in peer reviewed publications, see list HERE

浙公网安备 33019202000643号