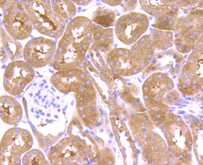
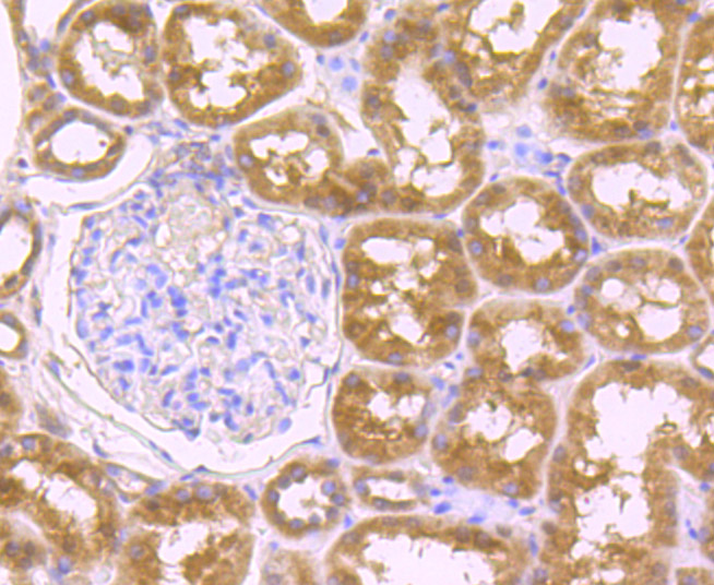
Catalog# ER1802-15
Osteopontin Rabbit Polyclonal Antibody
Application
-
IHC-P
-
ELISA
Reactivity
-
Human
-
Mouse
This product has been cited in peer reviewed publications, see list HERE


