Recombinant protein within Human NLRP3 aa 5-161 / 1036.
种属反应性
Human, Mouse, Rat
验证应用
WB, IF-Cell, IHC-P, FC
分子量
Predicted band size: 118 kDa
阳性对照
THP-1 cell lysate, RAW264.7 cell lysate, RAW264.7, HUVEC, human lung carcinoma tissue, human colon carcinoma tissue.
偶联
unconjugated
克隆号
SC06-23
产品特性
形态
Liquid
浓度
批次浓度查询
存放说明
Store at +4℃ after thawing. Aliquot store at -20℃ or -80℃. Avoid repeated freeze / thaw cycles.
存储缓冲液
1*PBS (pH7.4).
亚型
IgG
纯化方式
Protein A affinity purified.
应用稀释度
WB
1:1,000-1:2,000
IF-Cell
1:100-1:500
IHC-P
1:400-1:5,000
FC
1:500-1:1,000
靶点
功能
NLRP3 is expressed predominantly in macrophages and as a component of the inflammasome, detects products of damaged cells such as extracellular ATP and crystalline uric acid. Activated NLRP3 in turn triggers an immune response. Mutations in the NLRP3 gene are associated with a number of organ specific autoimmune diseases. NLRP3 is a component of the innate immune system that functions as a pattern recognition receptor (PRR) that recognizes pathogen-associated molecular patterns (PAMPs). NLRP3 belongs to the NOD-like receptor (NLR) subfamily of PRRs and NLRP3 together with the adaptor ASC protein PYCARD forms a caspase-1 activating complex known as the NLRP3 inflammasome. NLRP3 in the absence of activating signal is kept in an inactive state complexed with HSP90 and SGT1 in the cytoplasm. NLRP3 inflammasome detects danger signals such as crystalline uric acid and extracellular ATP released by damaged cells. These signals release HSP90 and SGT1 from and recruit ASC protein and caspase-1 to the inflammasome complex. Caspase-1 within the activated NLRP3 inflammasome complex in turn activates the inflammatory cytokine, IL-1β. The NLRP3 inflammasome appears to be activated by changes in intracellular potassium caused by potassium efflux from mechanosensitive ion channels located in the cell membrane
背景文献
1. Tengesdal IW et al. NLRP3 and cancer: Pathogenesis and therapeutic opportunities. Pharmacol Ther. 2023 Nov
2. Yu T et al. NLRP3 Cys126 palmitoylation by ZDHHC7 promotes inflammasome activation. Cell Rep. 2024 Apr
序列相似性
Belongs to the NLRP family.
组织特异性
Predominantly expressed in macrophages. Also expressed in dendritic cells, B- and T-cells (at protein level). Expressed in LPS-treated granulocytes, but not in resting cells (at protein level). Expression in monocytes is very weak (at protein level). Expressed in stratified non-keratinizing squamous epithelium, including oral, esophageal and ectocervical mucosa and in the Hassall's corpuscles in the thymus. Also, detected in the stratified epithelium covering the bladder and ureter (transitional mucosa) (at protein level). Expressed in lung epithelial cells (at protein level). Expressed in chondrocytes. Expressed at low levels in resting osteoblasts.
翻译后修饰
The disulfide bond in the pyrin domain might play a role in reactive oxygen species-mediated activation.; Ubiquitinated; undergoes both 'Lys-48'- and 'Lys-63'-linked polyubiquitination. Ubiquitination does not lead to degradation, but inhibits inflammasome activation (By similarity). Deubiquitination is catalyzed by BRCC3 and associated with NLRP3 activation and inflammasome assembly. This process can be induced by the activation of Toll-like receptors (by LPS), through a non-transcriptional pathway dependent on the mitochondrial production of reactive oxygen species, and by ATP.
Western blot analysis of NLRP3 on different lysates with Rabbit anti-NLRP3 antibody (HA750236) at 1/1,000 dilution.
Lane 1: THP-1 cell lysate Lane 2: RAW264.7 cell lysate
Lysates/proteins at 20 µg/Lane.
Predicted band size: 118 kDa Observed band size: 118 kDa
Exposure time: 3 minutes;
4-20% SDS-PAGE gel.
Proteins were transferred to a PVDF membrane and blocked with 5% NFDM/TBST for 1 hour at room temperature. The primary antibody (HA750236) at 1/1,000 dilution was used in 5% NFDM/TBST at room temperature for 2 hours. Goat Anti-Rabbit IgG - HRP Secondary Antibody (HA1001) at 1:100,000 dilution was used for 1 hour at room temperature.
☑ Cell treatment (CT)
Immunocytochemistry analysis of RAW264.7 cells treated with 10μg/mL LPS for 8 hours labeling NLRP3 with Rabbit anti-NLRP3 antibody (HA750236) at 1/100 dilution.
Cells were fixed in 4% paraformaldehyde for 15 minutes at room temperature, permeabilized with 0.1% Triton X-100 in PBS for 15 minutes at room temperature, then blocked with 1% BSA in 10% negative goat serum for 1 hour at room temperature. Cells were then incubated with Rabbit anti-NLRP3 antibody (HA750236) at 1/100 dilution in 1% BSA in PBST overnight at 4 ℃. Goat Anti-Rabbit IgG H&L (iFluor™ 488, HA1121) was used as the secondary antibody at 1/1,000 dilution. PBS instead of the primary antibody was used as the secondary antibody only control. Nuclear DNA was labelled in blue with DAPI.
Beta tubulin (HA601187, red) was stained at 1/100 dilution overnight at +4℃. Goat Anti-Mouse IgG H&L (iFluor™ 594, HA1126) was used as the secondary antibody at 1/1,000 dilution.
Immunocytochemistry analysis of HUVEC cells labeling NLRP3 with Rabbit anti-NLRP3 antibody (HA750236) at 1/50 dilution.
Cells were fixed in 4% paraformaldehyde for 10 minutes at 37 ℃, permeabilized with 0.05% Triton X-100 in PBS for 20 minutes, and then blocked with 2% negative goat serum for 30 minutes at room temperature. Cells were then incubated with Rabbit anti-NLRP3 antibody (HA750236) at 1/50 dilution in 2% negative goat serum overnight at 4 ℃. Goat Anti-Rabbit IgG H&L (iFluor™ 488, HA1121) was used as the secondary antibody at 1/1,000 dilution. PBS instead of the primary antibody was used as the secondary antibody only control. Nuclear DNA was labelled in blue with DAPI.
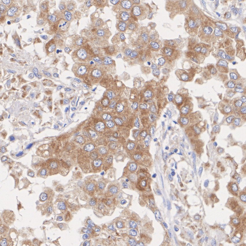
Immunohistochemical analysis of paraffin-embedded human lung carcinoma tissue with Rabbit anti-NLRP3 antibody (HA750236) at 1/5,000 dilution.
The section was pre-treated using heat mediated antigen retrieval with Tris-EDTA buffer (pH 9.0) for 20 minutes. The tissues were blocked in 1% BSA for 20 minutes at room temperature, washed with ddH2O and PBS, and then probed with the primary antibody (HA750236) at 1/5,000 dilution for 1 hour at room temperature. The detection was performed using an HRP conjugated compact polymer system. DAB was used as the chromogen. Tissues were counterstained with hematoxylin and mounted with DPX.
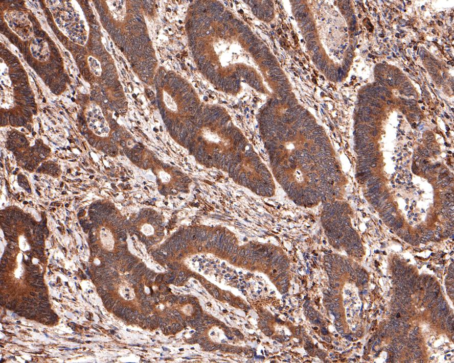
Immunohistochemical analysis of paraffin-embedded human colon carcinoma tissue with Rabbit anti-NLRP3 antibody (HA750236) at 1/400 dilution.
The section was pre-treated using heat mediated antigen retrieval with sodium citrate buffer (pH 6.0) (high pressure) for 2 minutes. The tissues were blocked in 1% BSA for 20 minutes at room temperature, washed with ddH2O and PBS, and then probed with the primary antibody (HA750236) at 1/400 dilution for 1 hour at room temperature. The detection was performed using an HRP conjugated compact polymer system. DAB was used as the chromogen. Tissues were counterstained with hematoxylin and mounted with DPX.
请注意: All products are "FOR RESEARCH USE ONLY AND ARE NOT INTENDED FOR DIAGNOSTIC OR THERAPEUTIC USE"