MUC1 Recombinant Rabbit Monoclonal Antibody [SN06-80] - BSA and Azide free
Catalog# HA750245
MUC1 Recombinant Rabbit Monoclonal Antibody [SN06-80] - BSA and Azide free
-
WB
-
IF-Cell
-
IF-Tissue
-
IHC-P
-
FC
-
IP
-
Human
-
Mouse
-
Rat
-
ET1611-14
含抗保成分
-
unconjugated
概述
产品名称
MUC1 Recombinant Rabbit Monoclonal Antibody [SN06-80] - BSA and Azide free
抗体类型
Recombinant Rabbit monoclonal Antibody
免疫原
Synthetic peptide within Human MUC1 aa 1,206-1,255 / 1,255.
种属反应性
Human, Mouse, Rat
验证应用
WB, IF-Cell, IF-Tissue, IHC-P, FC, IP
分子量
Predicted band size: 122 kDa
阳性对照
HeLa cell lysate, T-47D cell lysate, mouse lung tissue lysate, rat lung tissue lysate, HeLa, B16F1, human lung carcinoma, human endometrial carcinoma, human kidney tissue.
偶联
unconjugated
克隆号
SN06-80
产品特性
形态
Liquid
浓度
存放说明
Store at +4℃ after thawing. Aliquot store at -20℃ or -80℃. Avoid repeated freeze / thaw cycles.
存储缓冲液
1*PBS (pH7.4).
亚型
IgG
纯化方式
Protein A affinity purified.
应用稀释度
-
WB
-
1:2,000
-
IF-Cell
-
1:50-1:500
-
IF-Tissue
-
1:500
-
IHC-P
-
1:50-1:1,000
-
FC
-
1:1,000
-
IP
-
Use at an assay dependent concentration.
靶点
功能
Mucin 1, cell surface associated (MUC1), also called polymorphic epithelial mucin (PEM) or epithelial membrane antigen or EMA, is a mucin encoded by the MUC1 gene in humans. MUC1 is a glycoprotein with extensive O-linked glycosylation of its extracellular domain. Mucins line the apical surface of epithelial cells in the lungs, stomach, intestines, eyes and several other organs. Mucins protect the body from infection by pathogen binding to oligosaccharides in the extracellular domain, preventing the pathogen from reaching the cell surface. Overexpression of MUC1 is often associated with colon, breast, ovarian, lung and pancreatic cancers.
背景文献
1. Gorges TM et al. Circulating tumour cells escape from EpCAM-based detection due to epithelial-to-mesenchymal transition. BMC Cancer 12:178 (2012).
2. Williams MA et al. Deletion of the mucin-like molecule muc1 enhances dendritic cell activation in response to toll-like receptor ligands. J Innate Immun 2:123-43 (2010).
组织特异性
Expressed on the apical surface of epithelial cells, especially of airway passages, breast and uterus. Also expressed in activated and unactivated T-cells. Overexpressed in epithelial tumors, such as breast or ovarian cancer and also in non-epithelial tumor cells. Isoform Y is expressed in tumor cells only.
翻译后修饰
Highly glycosylated (N- and O-linked carbohydrates and sialic acid). O-glycosylated to a varying degree on serine and threonine residues within each tandem repeat, ranging from mono- to penta-glycosylation. The average density ranges from about 50% in human milk to over 90% in T47D breast cancer cells. Further sialylation occurs during recycling. Membrane-shed glycoproteins from kidney and breast cancer cells have preferentially sialyated core 1 structures, while secreted forms from the same tissues display mainly core 2 structures. The O-glycosylated content is overlapping in both these tissues with terminal fucose and galactose, 2- and 3-linked galactose, 3- and 3,6-linked GalNAc-ol and 4-linked GlcNAc predominating. Differentially O-glycosylated in breast carcinomas with 3,4-linked GlcNAc. N-glycosylation consists of high-mannose, acidic complex-type and hybrid glycans in the secreted form MUC1/SEC, and neutral complex-type in the transmembrane form, MUC1/TM.; Proteolytic cleavage in the SEA domain occurs in the endoplasmic reticulum by an autoproteolytic mechanism and requires the full-length SEA domain as well as requiring a Ser, Thr or Cys residue at the P + 1 site. Cleavage at this site also occurs on isoform MUC1/X but not on isoform MUC1/Y. Ectodomain shedding is mediated by ADAM17.; Dual palmitoylation on cysteine residues in the CQC motif is required for recycling from endosomes back to the plasma membrane.; Phosphorylated on tyrosines and serine residues in the C-terminal. Phosphorylation on tyrosines in the C-terminal increases the nuclear location of MUC1 and beta-catenin. Phosphorylation by PKC delta induces binding of MUC1 to beta-catenin/CTNNB1 and thus decreases the formation of the beta-catenin/E-cadherin complex. Src-mediated phosphorylation inhibits interaction with GSK3B. Src- and EGFR-mediated phosphorylation on Tyr-1229 increases binding to beta-catenin/CTNNB1. GSK3B-mediated phosphorylation on Ser-1227 decreases this interaction but restores the formation of the beta-cadherin/E-cadherin complex. On T-cell receptor activation, phosphorylated by LCK. PDGFR-mediated phosphorylation increases nuclear colocalization of MUC1CT and CTNNB1.; The N-terminal sequence has been shown to begin at position 24 or 28.
亚细胞定位
Apical cell membrane, Secreted, Cell membrane, Cytoplasm, Nucleus.
别名
ADMCKD antibody
ADMCKD1 antibody
Breast carcinoma associated antigen DF3 antibody
Breast carcinoma-associated antigen DF3 antibody
CA 15-3 antibody
CA15 3 antibody
CA15 3 antigen antibody
CA15.3 antibody
Cancer antigen 15-3 antibody
Carcinoma associated mucin antibody
展开ADMCKD antibody
ADMCKD1 antibody
Breast carcinoma associated antigen DF3 antibody
Breast carcinoma-associated antigen DF3 antibody
CA 15-3 antibody
CA15 3 antibody
CA15 3 antigen antibody
CA15.3 antibody
Cancer antigen 15-3 antibody
Carcinoma associated mucin antibody
Carcinoma-associated mucin antibody
CD 227 antibody
CD227 antibody
DF3 antigen antibody
EMA antibody
Episialin antibody
H23 antigen antibody
H23AG antibody
KL 6 antibody
KL-6 antibody
KL6 antibody
Krebs von den Lungen-6 antibody
MAM 6 antibody
MAM6 antibody
MCD antibody
MCKD antibody
MCKD1 antibody
Medullary cystic kidney disease 1 (autosomal dominant) antibody
Medullary cystic kidney disease, autosomal dominant antibody
MUC 1 antibody
MUC-1 antibody
MUC-1/SEC antibody
MUC-1/X antibody
MUC1 antibody
MUC1-alpha antibody
MUC1-beta antibody
MUC1-CT antibody
MUC1-NT antibody
MUC1/ZD antibody
MUC1_HUMAN antibody
Mucin 1 antibody
Mucin 1 transmembrane antibody
Mucin 1, cell surface associated antibody
Mucin-1 subunit beta antibody
Peanut reactive urinary mucin antibody
Peanut-reactive urinary mucin antibody
PEM antibody
PEMT antibody
Polymorphic epithelial mucin antibody
PUM antibody
Tumor associated epithelial membrane antigen antibody
Tumor associated epithelial mucin antibody
Tumor associated mucin antibody
Tumor-associated epithelial membrane antigen antibody
Tumor-associated mucin antibody
折叠图片
-
☑ Relative expression (RE)
Western blot analysis of MUC1 on different lysates with Rabbit anti-MUC1 antibody (HA750245) at 1/2,000 dilution and competitor's antibody at 1/1,000 dilution.
Lane 1: HeLa cell lysate (20 µg/Lane)
Lane 2: HCT 116 cell lysate (negative) (20 µg/Lane)
Lane 3: T-47D cell lysate (20 µg/Lane)
Lane 4: Mouse lung tissue lysate (40 µg/Lane)
Lane 5: Rat lung tissue lysate (40 µg/Lane)
Predicted band size: 122 kDa
Observed band size: 17~24 kDa
Exposure time: 3 minutes 10 seconds; ECL: K1801;
4-20% SDS-PAGE gel.
Proteins were transferred to a PVDF membrane and blocked with 5% NFDM/TBST for 1 hour at room temperature. The primary antibody (HA750245) at 1/2,000 dilution and competitor's antibody at 1/1,000 dilution were used in 5% NFDM/TBST at 4℃ overnight. Goat Anti-Rabbit IgG - HRP Secondary Antibody (HA1001) at 1/50,000 dilution was used for 1 hour at room temperature. -
☑ Relative expression (RE)
Immunocytochemistry analysis of HeLa (positive) and HCT 116 (negative) labeling MUC1 with Rabbit anti-MUC1 antibody (HA750245) at 1/500 dilution and competitor's antibody at 1/500 dilution.
Cells were fixed in 4% paraformaldehyde for 20 minutes at room temperature, permeabilized with 0.1% Triton X-100 in PBS for 5 minutes at room temperature, then blocked with 1% BSA in 10% negative goat serum for 1 hour at room temperature. Cells were then incubated with Rabbit anti-MUC1 antibody (HA750245) at 1/500 dilution and competitor's antibody at 1/500 dilution in 1% BSA in PBST overnight at 4 ℃. Goat Anti-Rabbit IgG H&L (iFluor™ 488, HA1121) was used as the secondary antibody at 1/1,000 dilution. PBS instead of the primary antibody was used as the secondary antibody only control. Nuclear DNA was labelled in blue with DAPI.
Beta tubulin (M1305-2, red) was stained at 1/100 dilution overnight at +4℃. Goat Anti-Mouse IgG H&L (iFluor™ 594, HA1126) was used as the secondary antibody at 1/1,000 dilution. -
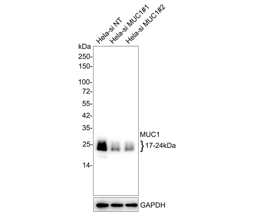
☑ Knockdown (KD)
Western blot analysis of MUC1 on different lysates with Rabbit anti-MUC1 antibody (HA750245) at 1/2,000 dilution.
Lane 1: Hela-si NT cell lysate
Lane 2: Hela-si MUC1#1 cell lysate
Lane 3: Hela-si MUC1#2 cell lysate
Lysates/proteins at 10 µg/Lane.
Predicted band size: 122 kDa
Observed band size: 17~24 kDa
Exposure time: 10 seconds;
4-20% SDS-PAGE gel.
ET1611-14 was shown to specifically react with MUC1 in Hela-si NT cells. Weakened bands were observed when Hela-si MUC1 sample were tested. Hela-si NT and Hela-si MUC1 samples were subjected to SDS-PAGE. Proteins were transferred to a PVDF membrane and blocked with 5% NFDM in TBST for 1 hour at room temperature. The primary antibody (ET1611-14, 1/2,000) and Loading control antibody (Rabbit anti-GAPDH, ET1601-4, 1/10,000) were used in 5% NFDM/TBST at 4℃ overnight. Goat Anti-rabbit IgG-HRP Secondary Antibody (HA1001) at 1:50,000 dilution was used for 1 hour at room temperature. -
ICC staining of MUC1 in B16F1 cells (green). Formalin fixed cells were permeabilized with 0.1% Triton X-100 in TBS for 10 minutes at room temperature and blocked with 1% Blocker BSA for 15 minutes at room temperature. Cells were probed with the primary antibody (HA750245, 1/50) for 1 hour at room temperature, washed with PBS. Alexa Fluor®488 Goat anti-Rabbit IgG was used as the secondary antibody at 1/1,000 dilution. The nuclear counter stain is DAPI (blue).
-
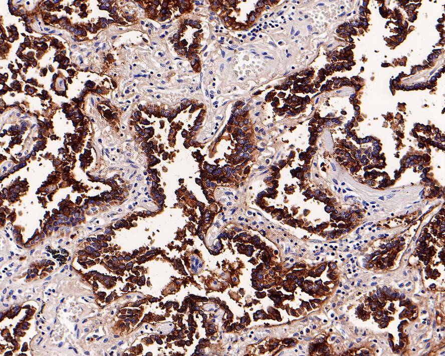
Immunohistochemical analysis of paraffin-embedded human lung carcinoma tissue with Rabbit anti-MUC1 antibody (HA750245) at 1/1,000 dilution.
The section was pre-treated using heat mediated antigen retrieval with Tris-EDTA buffer (pH 9.0) for 20 minutes. The tissues were blocked in 1% BSA for 20 minutes at room temperature, washed with ddH2O and PBS, and then probed with the primary antibody (HA750245) at 1/1,000 dilution for 1 hour at room temperature. The detection was performed using an HRP conjugated compact polymer system. DAB was used as the chromogen. Tissues were counterstained with hematoxylin and mounted with DPX. -
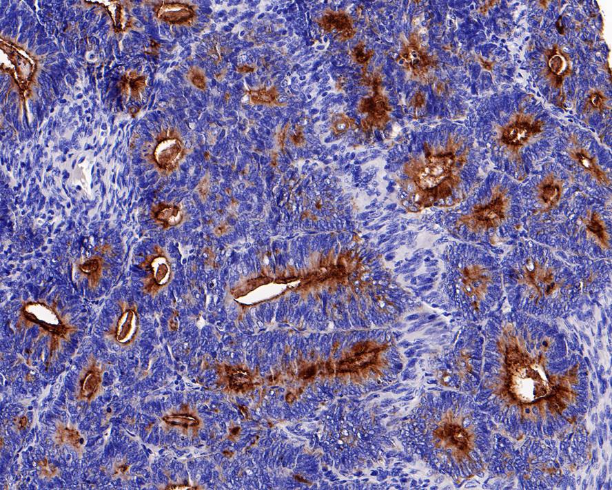
Immunohistochemical analysis of paraffin-embedded human endometrial carcinoma tissue with Rabbit anti-MUC1 antibody (HA750245) at 1/1,000 dilution.
The section was pre-treated using heat mediated antigen retrieval with Tris-EDTA buffer (pH 9.0) for 20 minutes. The tissues were blocked in 1% BSA for 20 minutes at room temperature, washed with ddH2O and PBS, and then probed with the primary antibody (HA750245) at 1/1,000 dilution for 1 hour at room temperature. The detection was performed using an HRP conjugated compact polymer system. DAB was used as the chromogen. Tissues were counterstained with hematoxylin and mounted with DPX. -
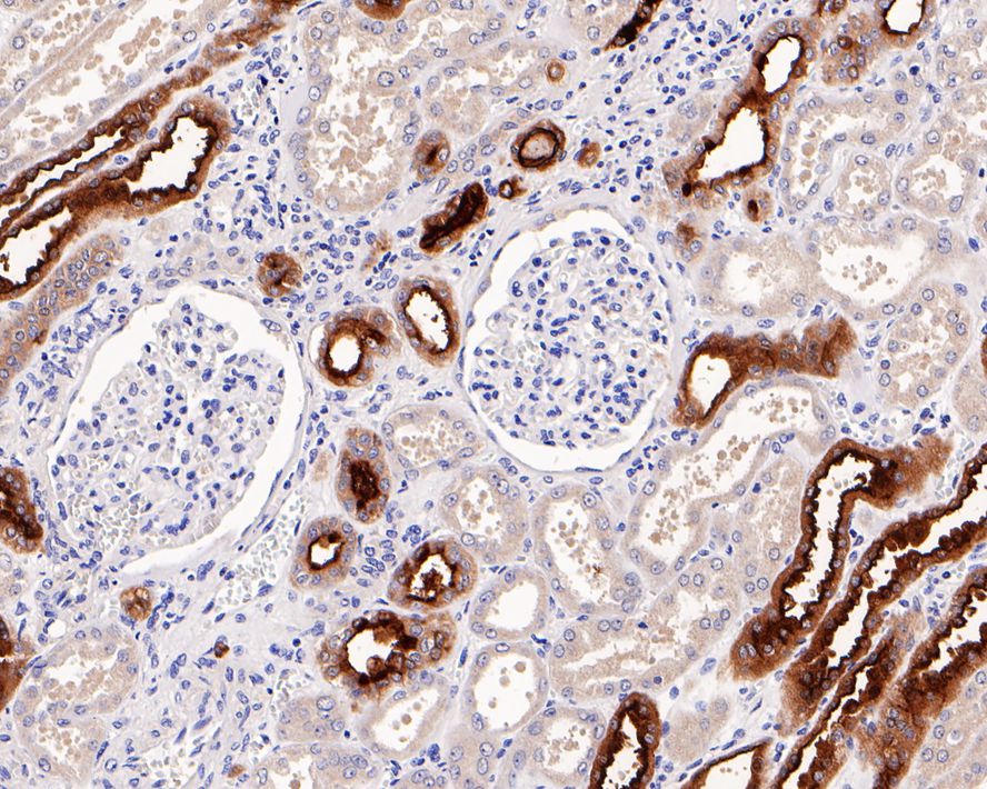
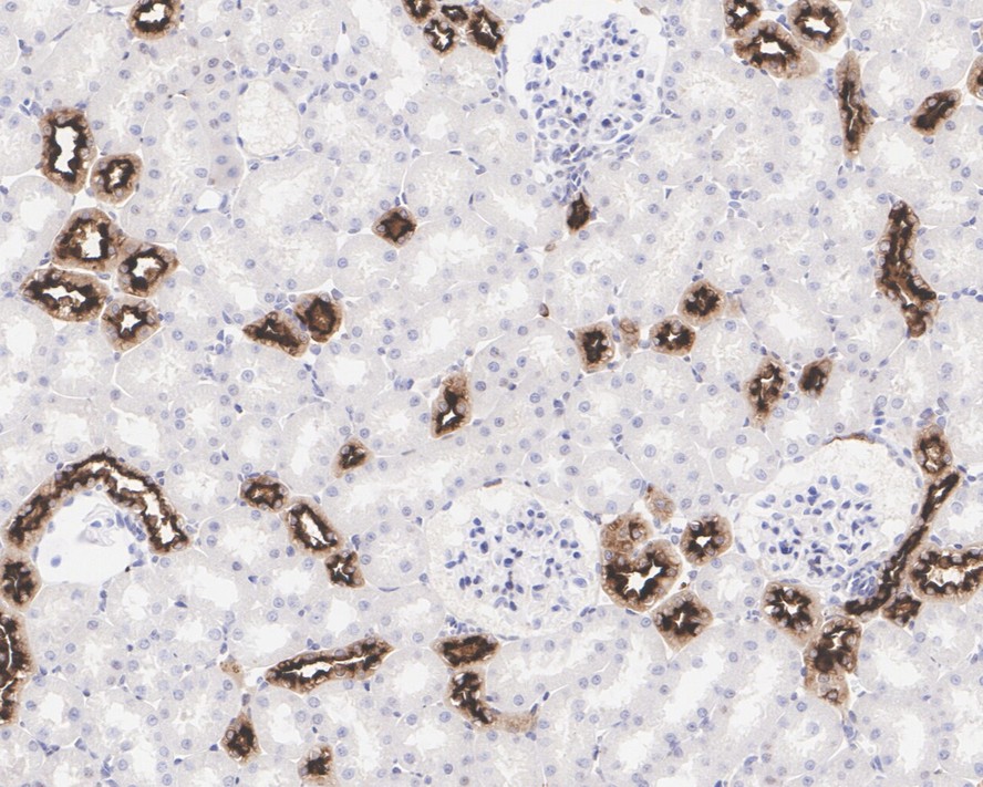
Immunohistochemical analysis of paraffin-embedded human kidney tissue with Rabbit anti-MUC1 antibody (HA750245) at 1/1,000 dilution.
The section was pre-treated using heat mediated antigen retrieval with Tris-EDTA buffer (pH 9.0) for 20 minutes. The tissues were blocked in 1% BSA for 20 minutes at room temperature, washed with ddH2O and PBS, and then probed with the primary antibody (HA750245) at 1/1,000 dilution for 1 hour at room temperature. The detection was performed using an HRP conjugated compact polymer system. DAB was used as the chromogen. Tissues were counterstained with hematoxylin and mounted with DPX. -
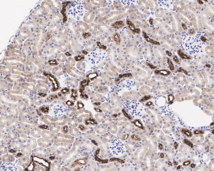
Immunohistochemical analysis of paraffin-embedded mouse kidney tissue with Rabbit anti-MUC1 antibody (HA750245) at 1/1,000 dilution.
The section was pre-treated using heat mediated antigen retrieval with Tris-EDTA buffer (pH 9.0) for 20 minutes. The tissues were blocked in 1% BSA for 20 minutes at room temperature, washed with ddH2O and PBS, and then probed with the primary antibody (HA750245) at 1/1,000 dilution for 1 hour at room temperature. The detection was performed using an HRP conjugated compact polymer system. DAB was used as the chromogen. Tissues were counterstained with hematoxylin and mounted with DPX. -
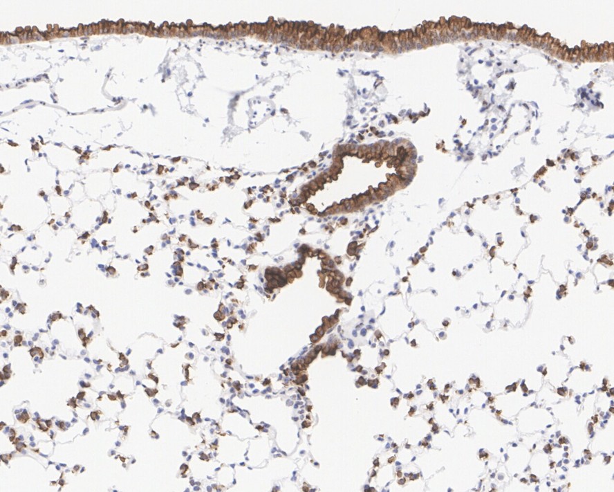
Immunohistochemical analysis of paraffin-embedded mouse lung tissue with Rabbit anti-MUC1 antibody (HA750245) at 1/1,000 dilution.
The section was pre-treated using heat mediated antigen retrieval with Tris-EDTA buffer (pH 9.0) for 20 minutes. The tissues were blocked in 1% BSA for 20 minutes at room temperature, washed with ddH2O and PBS, and then probed with the primary antibody (HA750245) at 1/1,000 dilution for 1 hour at room temperature. The detection was performed using an HRP conjugated compact polymer system. DAB was used as the chromogen. Tissues were counterstained with hematoxylin and mounted with DPX. -
Immunohistochemical analysis of paraffin-embedded rat kidney tissue with Rabbit anti-MUC1 antibody (HA750245) at 1/1,000 dilution.
The section was pre-treated using heat mediated antigen retrieval with Tris-EDTA buffer (pH 9.0) for 20 minutes. The tissues were blocked in 1% BSA for 20 minutes at room temperature, washed with ddH2O and PBS, and then probed with the primary antibody (HA750245) at 1/1,000 dilution for 1 hour at room temperature. The detection was performed using an HRP conjugated compact polymer system. DAB was used as the chromogen. Tissues were counterstained with hematoxylin and mounted with DPX. -
Flow cytometric analysis of HeLa cells labeling MUC1.
Cells were fixed and permeabilized. Then stained with the primary antibody (HA750245, 1μg/mL) (red) compared with Rabbit IgG Isotype Control (green). After incubation of the primary antibody at +4℃ for an hour, the cells were stained with a iFluor™ 488 conjugate-Goat anti-Rabbit IgG Secondary antibody (HA1121) at 1/1,000 dilution for 30 minutes at +4℃. Unlabelled sample was used as a control (cells without incubation with primary antibody; black). -
Application: IF-Tissue
Species: Mouse
Site: kidney
Sample: Paraffin-embedded section
Antibody concentration: 1/500
请注意: All products are "FOR RESEARCH USE ONLY AND ARE NOT INTENDED FOR DIAGNOSTIC OR THERAPEUTIC USE"
同靶点 & 同通路的产品
MUC1 Mouse Monoclonal Antibody
Application: mIHC
Reactivity: Human
Conjugate: unconjugated
Muc1 Rabbit Polyclonal Antibody
Application: WB,IF-Cell,IHC-P
Reactivity: Human
Conjugate: unconjugated
MUC1 Mouse Monoclonal Antibody [PSH0-47]
Application: IHC-P,WB
Reactivity: Human
Conjugate: unconjugated
MUC1 Mouse Monoclonal Antibody [A9G4]
Application: IHC-P,IF-Cell
Reactivity: Human
Conjugate: unconjugated
MUC1 Mouse Monoclonal Antibody [A4D9]
Application: IHC-P,FC,IF-Cell
Reactivity: Human
Conjugate: unconjugated
MUC1 Mouse Monoclonal Antibody [PSH0-48]
Application: IHC-P,FC,IF-Cell,mIHC
Reactivity: Human
Conjugate: unconjugated
iFluor™ 647 Conjugated MUC1 Mouse Monoclonal Antibody [PSH0-48]
Application: FC
Reactivity: Human
Conjugate: iFluor™ 647
MUC1 Mouse Monoclonal Antibody [PSH0-49]
Application: IHC-P,FC,IF-Cell
Reactivity: Human
Conjugate: unconjugated
iFluor™ 647 Conjugated MUC1 Mouse Monoclonal Antibody [PSH0-49]
Application: FC
Reactivity: Human
Conjugate: iFluor™ 647
MUC1 Recombinant Rabbit Monoclonal Antibody [SN06-80]
Application: WB,IF-Cell,IF-Tissue,IHC-P,FC,IP
Reactivity: Human,Mouse,Rat
Conjugate: unconjugated
浙公网安备 33019202000643号