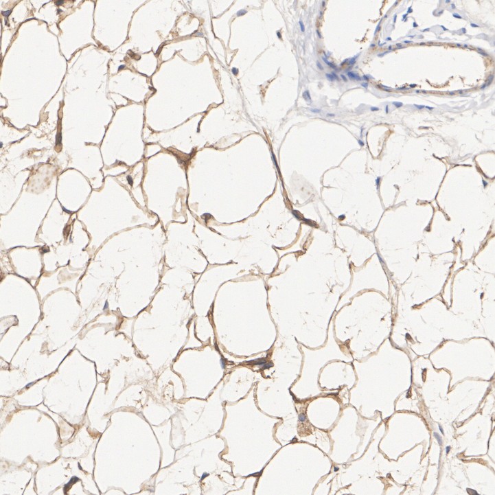
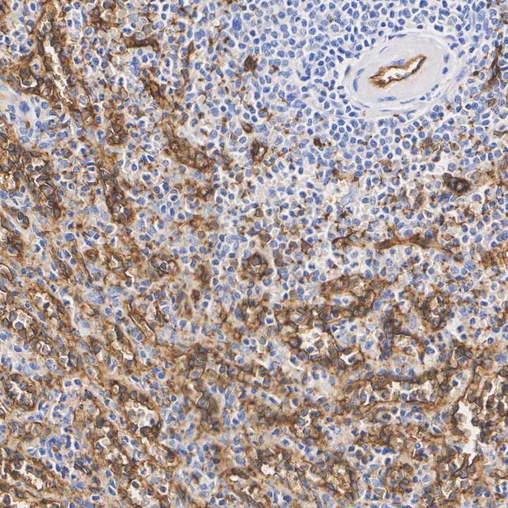
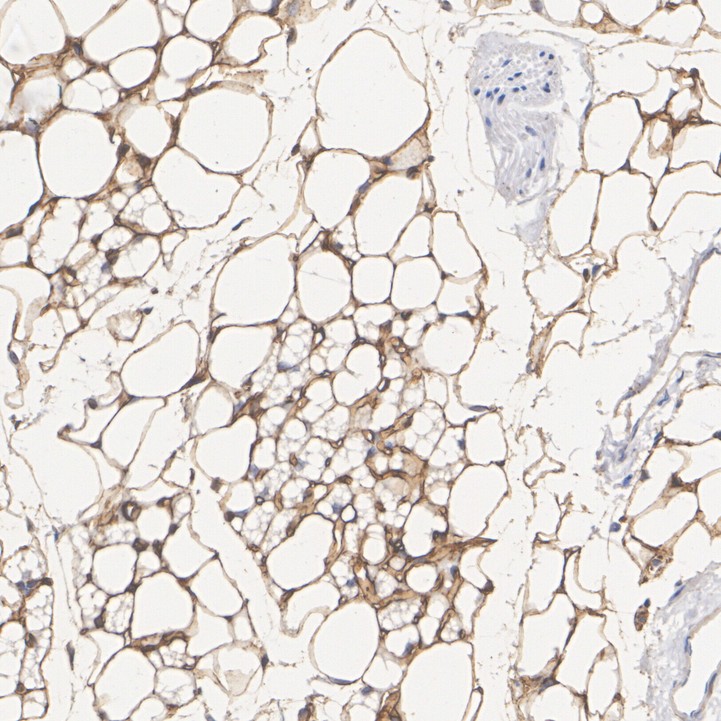
CD36 Recombinant Rabbit Monoclonal Antibody [PSH18-47] - BSA and Azide free
Catalog# HA751671
CD36 Recombinant Rabbit Monoclonal Antibody [PSH18-47] - BSA and Azide free
Application
-
WB
-
IF-Cell
-
IHC-P
-
FC
Reactivity
-
Human
-
Mouse
-
Rat
With BSA and Azide
-
HA724000
含抗保成分
Conjugation
-
unconjugated
浙公网安备 33019202000643号