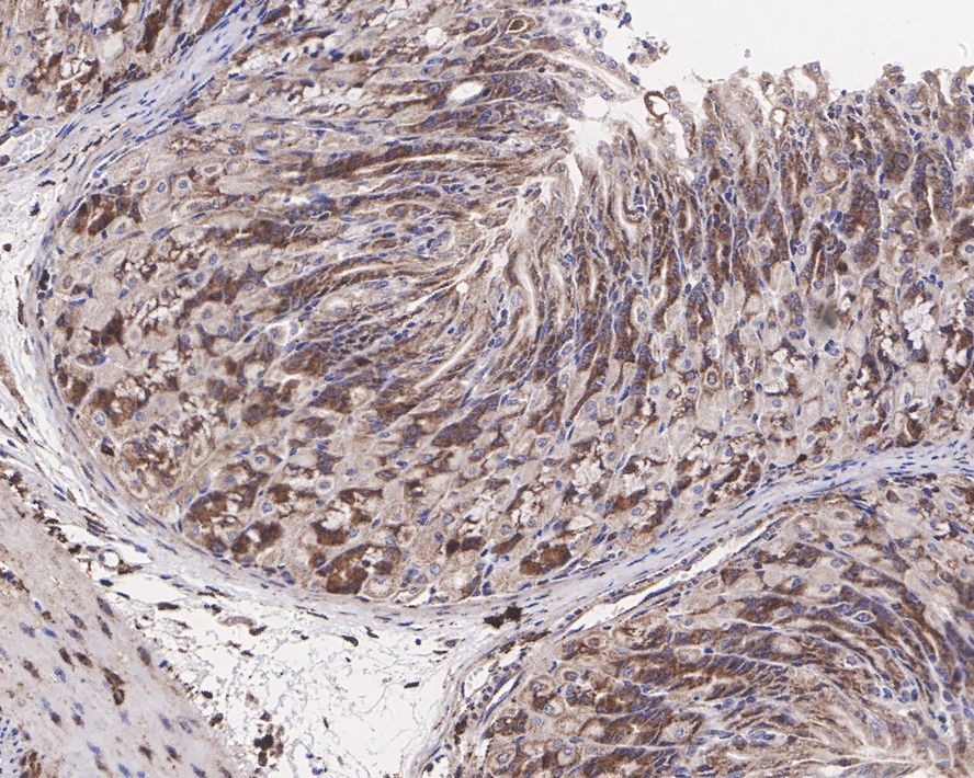
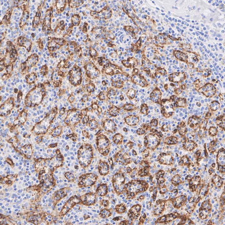
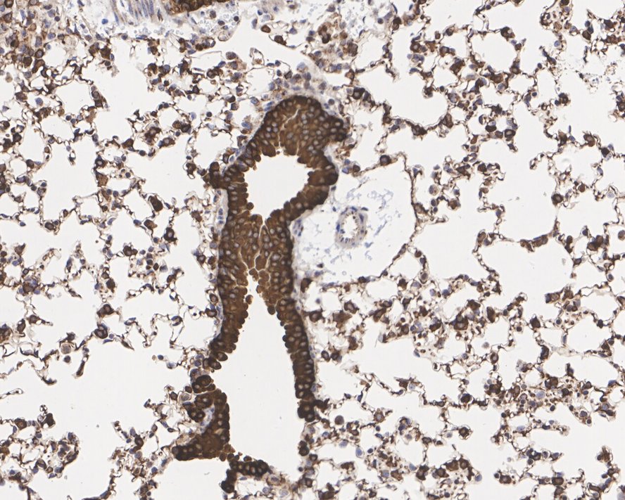
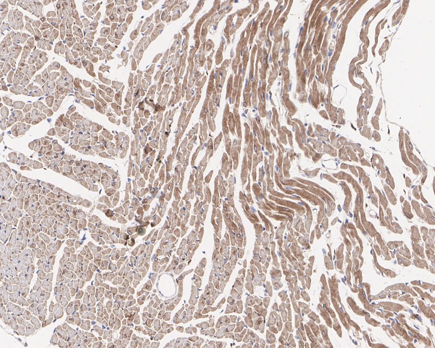
CD36 Recombinant Rabbit Monoclonal Antibody [JJ2005] - BSA and Azide free
Catalog# HA750307
CD36 Recombinant Rabbit Monoclonal Antibody [JJ2005] - BSA and Azide free
Application
-
WB
-
IF-Cell
-
IF-Tissue
-
IHC-P
-
IP
Reactivity
-
Human
-
Mouse
With BSA and Azide
-
ET1701-24
含抗保成分
Predicted reactivity
预测的种属支持售后
-
Rat
Conjugation
-
unconjugated
浙公网安备 33019202000643号