-
☑ Cell treatment (CT)
Western blot analysis of LAMP1 on different lysates with Rabbit anti-LAMP1 antibody (HA751160) at 1/2,000 dilution.
Lane 1: Jurkat cell lysate
Lane 2: HEK-293 cell lysate
Lane 3: A431 cell lysate
Lane 4: MCF7 cell lysate
Lane 5: MDA-MB-231 cell lysate
Lane 6: HeLa cell lysate
Lane 7: HeLa cell lysate treated with deglycosylation
Lane 8: NIH/3T3 cell lysate
Lane 9: NIH/3T3 cell lysate treated with deglycosylation
Lysates/proteins at 20 µg/Lane.
Predicted band size: 44 kDa
Observed band size: 120/44 kDa
Exposure time: 21 seconds; ECL: K1801;
4-20% SDS-PAGE gel.
Proteins were transferred to a PVDF membrane and blocked with 5% NFDM/TBST for 1 hour at room temperature. The primary antibody (HA751160) at 1/2,000 dilution was used in 5% NFDM/TBST at 4℃ overnight. Goat Anti-Rabbit IgG - HRP Secondary Antibody (HA1001) at 1/50,000 dilution was used for 1 hour at room temperature.
-
Western blot analysis of LAMP1 on different lysates with Rabbit anti-LAMP1 antibody (HA751160) at 1/2,000 dilution.
Lane 1: NIH/3T3 cell lysate (15 µg/Lane)
Lane 2: L6 cell lysate (15 µg/Lane)
Lane 3: C6 cell lysate (15 µg/Lane)
Lane 4: PC-12 cell lysate (15 µg/Lane)
Predicted band size: 44 kDa
Observed band size: 100 kDa
Exposure time: 42 seconds; ECL: K1801;
4-20% SDS-PAGE gel.
Proteins were transferred to a PVDF membrane and blocked with 5% NFDM/TBST for 1 hour at room temperature. The primary antibody (HA751160) at 1/2,000 dilution was used in 5% NFDM/TBST at 4℃ overnight. Goat Anti-Rabbit IgG - HRP Secondary Antibody (HA1001) at 1/50,000 dilution was used for 1 hour at room temperature.
-
Application: IHC-Fr
Species: Mouse
Site: Kidney
Sample: Frozen section
Antibody concentration: 1/1,000
Antigen retrieval: The section was pre-treated using heat mediated antigen retrieval with sodium citrate buffer (pH 6.0) for about 2 minutes in microwave oven.
-
Application: IHC-Fr
Species: Rat
Site: Kidney
Sample: Frozen section
Antibody concentration: 1/1,000
Antigen retrieval: The section was pre-treated using heat mediated antigen retrieval with sodium citrate buffer (pH 6.0) for about 2 minutes in microwave oven.
-
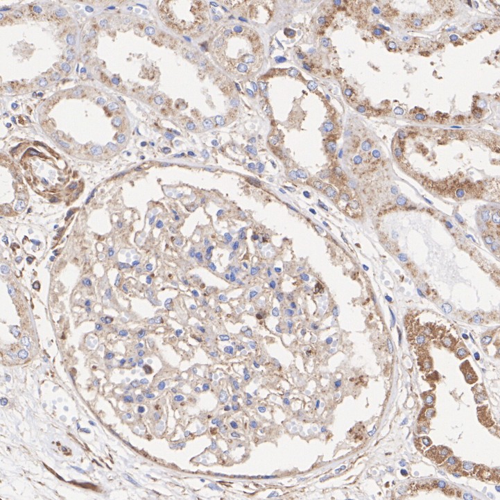
Immunohistochemical analysis of paraffin-embedded human kidney tissue with Rabbit anti-LAMP1 antibody (HA751160) at 1/10,000 dilution.
The section was pre-treated using heat mediated antigen retrieval with Tris-EDTA buffer (pH 9.0) for 20 minutes. The tissues were blocked in 1% BSA for 20 minutes at room temperature, washed with ddH2O and PBS, and then probed with the primary antibody (HA751160) at 1/10,000 dilution for 1 hour at room temperature. The detection was performed using an HRP conjugated compact polymer system. DAB was used as the chromogen. Tissues were counterstained with hematoxylin and mounted with DPX.
-
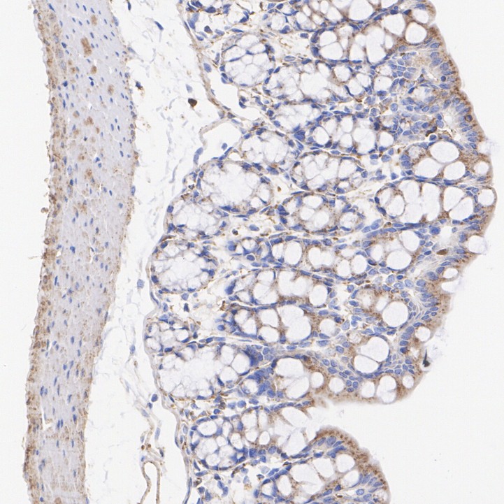
Immunohistochemical analysis of paraffin-embedded mouse colon tissue with Rabbit anti-LAMP1 antibody (HA751160) at 1/10,000 dilution.
The section was pre-treated using heat mediated antigen retrieval with Tris-EDTA buffer (pH 9.0) for 20 minutes. The tissues were blocked in 1% BSA for 20 minutes at room temperature, washed with ddH2O and PBS, and then probed with the primary antibody (HA751160) at 1/10,000 dilution for 1 hour at room temperature. The detection was performed using an HRP conjugated compact polymer system. DAB was used as the chromogen. Tissues were counterstained with hematoxylin and mounted with DPX.
-
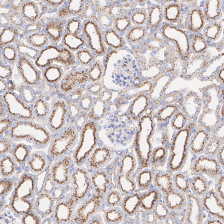
Immunohistochemical analysis of paraffin-embedded mouse kidney tissue with Rabbit anti-LAMP1 antibody (HA751160) at 1/10,000 dilution.
The section was pre-treated using heat mediated antigen retrieval with Tris-EDTA buffer (pH 9.0) for 20 minutes. The tissues were blocked in 1% BSA for 20 minutes at room temperature, washed with ddH2O and PBS, and then probed with the primary antibody (HA751160) at 1/10,000 dilution for 1 hour at room temperature. The detection was performed using an HRP conjugated compact polymer system. DAB was used as the chromogen. Tissues were counterstained with hematoxylin and mounted with DPX.
-
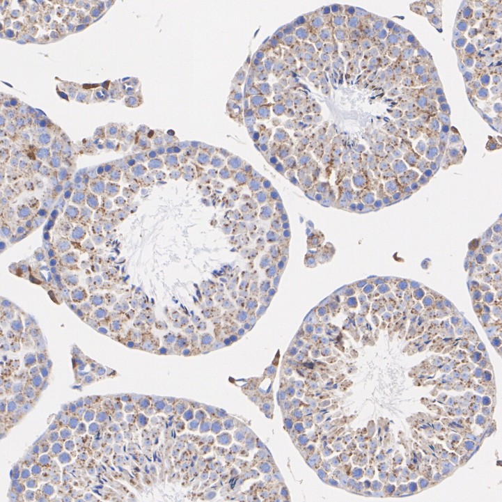
Immunohistochemical analysis of paraffin-embedded mouse testis tissue with Rabbit anti-LAMP1 antibody (HA751160) at 1/10,000 dilution.
The section was pre-treated using heat mediated antigen retrieval with Tris-EDTA buffer (pH 9.0) for 20 minutes. The tissues were blocked in 1% BSA for 20 minutes at room temperature, washed with ddH2O and PBS, and then probed with the primary antibody (HA751160) at 1/10,000 dilution for 1 hour at room temperature. The detection was performed using an HRP conjugated compact polymer system. DAB was used as the chromogen. Tissues were counterstained with hematoxylin and mounted with DPX.
-
Immunohistochemical analysis of paraffin-embedded rat kidney tissue with Rabbit anti-LAMP1 antibody (HA751160) at 1/10,000 dilution.
The section was pre-treated using heat mediated antigen retrieval with Tris-EDTA buffer (pH 9.0) for 20 minutes. The tissues were blocked in 1% BSA for 20 minutes at room temperature, washed with ddH2O and PBS, and then probed with the primary antibody (HA751160) at 1/10,000 dilution for 1 hour at room temperature. The detection was performed using an HRP conjugated compact polymer system. DAB was used as the chromogen. Tissues were counterstained with hematoxylin and mounted with DPX.
-
LAMP1 was immunoprecipitated from 0.2 mg HeLa cell lysate with HA751160 at 2 µg/10 µl beads. Western blot was performed from the immunoprecipitate using HA751160 at 1/1,000 dilution. HRP Conjugated Anti-Rabbit IgG for IP Nano-secondary antibody at 1/5,000 dilution was used for 1 hour at room temperature.
Lane 1: HeLa cell lysate (input)
Lane 2: HA751160 IP in HeLa cell lysate
Lane 3: Rabbit IgG instead of HA751160 in HeLa cell lysate
Blocking/Dilution buffer: 5% NFDM/TBST
Exposure time: 10 seconds; ECL: K1801
请注意: All products are "FOR RESEARCH USE ONLY AND ARE NOT INTENDED FOR DIAGNOSTIC OR THERAPEUTIC USE"