-
☑ Cell treatment (CT)
Western blot analysis of LAMP1 on different lysates with Mouse anti-LAMP1 antibody (HA601597) at 1/5,000 dilution.
Lane 1: A431 (Human epidermoid carcinoma skin squamous cells)
Lane 2: A431 treated with PNGaseF
Lane 3: HeLa (Human cervical adenocarcinoma cells)
Lane 4: NIH/3T3 (Mouse fibroblasts)
Lysates/proteins at 10 µg/Lane.
Exposure time: 12 seconds; ECL: K1801
Expression pattern of LAMP1 protein in A431 is consistent with the literature (PMID: 28456975).
Blocking: 5% NFDM/TBST, 1 hour at room temperature
Primary antibody: HA601597, 1/5,000 in primary antibody dilution buffer (K1803), overnight at 4 ℃
Secondary antibody: Goat anti-Mouse IgG-HRP (HA1006), 1/50,000 in 5% NFDM/TBST, 1 hour at room temperature
Predicted band size: 44 kDa
Observed band size: 110/44 kDa
-
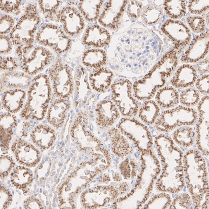
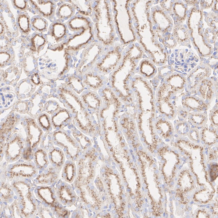
Application: Immunohistochemistry (IHC-P)
Species: Human
Tissue: Kidney
Sample: Paraffin-embedded section
Antigen retrieval: Heat-mediated, Tris-EDTA buffer (pH 9.0), 20 minutes at 95°C.
Wash buffer: 1× TBST
Endogenous peroxidase blocking: 3% H₂O₂, 10 minutes at room temperature.
Blocking: 1% BSA + 10% normal goat serum, 10 minutes at room temperature.
Primary antibody: HA601597, 1/2,000, 1 hour at room temperature.
Secondary antibody: HA1120, 20 minutes at room temperature.
-
Application: Immunohistochemistry (IHC-P)
Species: Mouse
Tissue: Kidney
Sample: Paraffin-embedded section
Antigen retrieval: Heat-mediated, Tris-EDTA buffer (pH 9.0), 20 minutes at 95°C.
Wash buffer: 1× TBST
Endogenous peroxidase blocking: 3% H₂O₂, 10 minutes at room temperature.
Blocking: 1% BSA + 10% normal goat serum, 10 minutes at room temperature.
Primary antibody: HA601597, 1/5,000, 1 hour at room temperature.
Secondary antibody: HA1120, 20 minutes at room temperature.
-
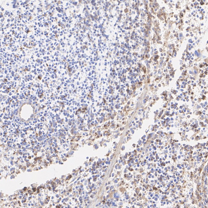
Application: Immunohistochemistry (IHC-P)
Species: Mouse
Tissue: Spleen
Sample: Paraffin-embedded section
Antigen retrieval: Heat-mediated, Tris-EDTA buffer (pH 9.0), 20 minutes at 95°C.
Wash buffer: 1× TBST
Endogenous peroxidase blocking: 3% H₂O₂, 10 minutes at room temperature.
Blocking: 1% BSA + 10% normal goat serum, 10 minutes at room temperature.
Primary antibody: HA601597, 1/5,000, 1 hour at room temperature.
Secondary antibody: HA1120, 20 minutes at room temperature.
-
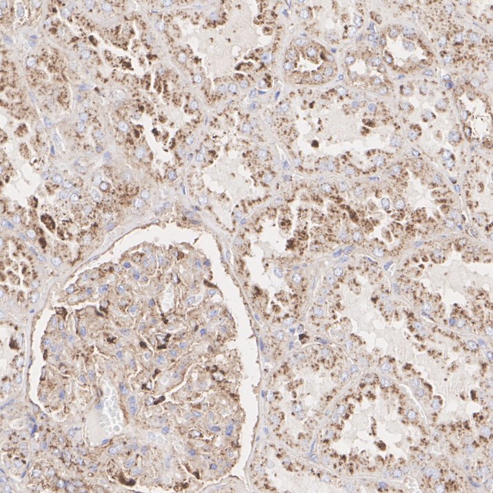
Application: Immunohistochemistry (IHC-P)
Species: Rat
Tissue: Kidney
Sample: Paraffin-embedded section
Antigen retrieval: Heat-mediated, Tris-EDTA buffer (pH 9.0), 20 minutes at 95°C.
Wash buffer: 1× TBST
Endogenous peroxidase blocking: 3% H₂O₂, 10 minutes at room temperature.
Blocking: 1% BSA + 10% normal goat serum, 10 minutes at room temperature.
Primary antibody: HA601597, 1/5,000, 1 hour at room temperature.
Secondary antibody: HA1120, 20 minutes at room temperature.
-
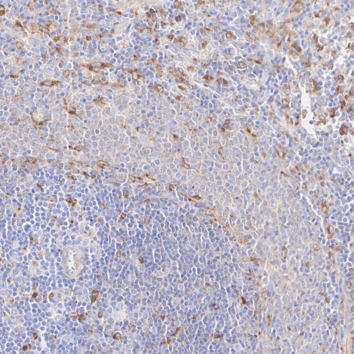
Application: Immunohistochemistry (IHC-P)
Species: Rat
Tissue: Spleen
Sample: Paraffin-embedded section
Antigen retrieval: Heat-mediated, Tris-EDTA buffer (pH 9.0), 20 minutes at 95°C.
Wash buffer: 1× TBST
Endogenous peroxidase blocking: 3% H₂O₂, 10 minutes at room temperature.
Blocking: 1% BSA + 10% normal goat serum, 10 minutes at room temperature.
Primary antibody: HA601597, 1/5,000, 1 hour at room temperature.
Secondary antibody: HA1120, 20 minutes at room temperature.
-
Application: Immunofluorescence (IF-tissue)
Species: Human
Tissue: Kidney
Sample: Paraffin-embedded section
Antigen retrieval: Heat-mediated, Tris-EDTA buffer (pH 9.0), 20 minutes at 95°C.
Wash buffer: 1× PBS
Endogenous peroxidase blocking: 3% H₂O₂, 10 minutes.
Blocking: 1% BSA + 10% normal goat serum, 10 minutes at room temperature.
Primary antibody: HA601597, 1/1,000, overnight at 4°C.
Secondary antibody: Goat Anti-Mouse IgG (iFluor™ 488, HA1125), 1.5 hours at room temperature.
-
Application: Immunofluorescence (IF-tissue)
Species: Mouse
Tissue: Kidney
Sample: Paraffin-embedded section
Antigen retrieval: Heat-mediated, Tris-EDTA buffer (pH 9.0), 20 minutes at 95°C.
Wash buffer: 1× PBS
Endogenous peroxidase blocking: 3% H₂O₂, 10 minutes.
Blocking: 1% BSA + 10% normal goat serum, 10 minutes at room temperature.
Primary antibody: HA601597, 1/1,000, overnight at 4°C.
Secondary antibody: Goat Anti-Mouse IgG (iFluor™ 488, HA1125), 1.5 hours at room temperature.
-
Application: Immunofluorescence (IF-tissue)
Species: Rat
Tissue: Kidney
Sample: Paraffin-embedded section
Antigen retrieval: Heat-mediated, Tris-EDTA buffer (pH 9.0), 20 minutes at 95°C.
Wash buffer: 1× PBS
Endogenous peroxidase blocking: 3% H₂O₂, 10 minutes.
Blocking: 1% BSA + 10% normal goat serum, 10 minutes at room temperature.
Primary antibody: HA601597, 1/1,000, overnight at 4°C.
Secondary antibody: Goat Anti-Mouse IgG (iFluor™ 488, HA1125), 1.5 hours at room temperature.
请注意: All products are "FOR RESEARCH USE ONLY AND ARE NOT INTENDED FOR DIAGNOSTIC OR THERAPEUTIC USE"