图片
-
Western blot analysis of 6X His tag on different lysates with Rabbit anti-6X His tag antibody (HA751132) at 1/5,000 dilution.
Lane 1: 293T transfected with His-tagged empty control cell lysate
Lane 2: 293T transfected with His-tagged ACAT2 (N-terminal) cell lysate
Lane 3: 293T transfected with His-tagged Histone H3.1 (C-terminal) cell lysate
Lysates/proteins at 10 µg/Lane.
Exposure time: 2 seconds; ECL: K1801;
4-20% SDS-PAGE gel.
Proteins were transferred to a PVDF membrane and blocked with 5% NFDM/TBST for 1 hour at room temperature. The primary antibody (HA751132) at 1/5,000 dilution was used in 5% NFDM/TBST at 4℃ overnight. Goat Anti-Rabbit IgG - HRP Secondary Antibody (HA1001) at 1/50,000 dilution was used for 1 hour at room temperature.
-
Immunocytochemistry analysis of HeLa cells labeling 6X His tag with Rabbit anti-6X His tag antibody (HA751132) at 1/5,000 dilution.
HeLa cells, transfected with His-tagged Histone H3.1 (C-terminal) or ACAT2 (N-terminal) expression vector, respectively, were fixed in 4% paraformaldehyde for 10 minutes at room temperature, permeabilized with 0.1% Triton X-100 in PBS for 15 minutes at room temperature, then blocked with 1% BSA in 10% negative goat serum for 1 hour at room temperature. Cells were then incubated with Rabbit anti-6X His tag antibody (HA751132) at 1/5,000 dilution in 1% BSA in PBST overnight at 4 ℃. Goat Anti-Rabbit IgG H&L (iFluor™ 488, HA1121) was used as the secondary antibody at 1/1,000 dilution. PBS instead of the primary antibody was used as the secondary antibody only control. Nuclear DNA was labelled in blue with DAPI.
Beta tubulin (M1305-2, red) was stained at 1/100 dilution overnight at +4℃. Goat Anti-Mouse IgG H&L (iFluor™ 594, HA1126) was used as the secondary antibody at 1/1,000 dilution.
-
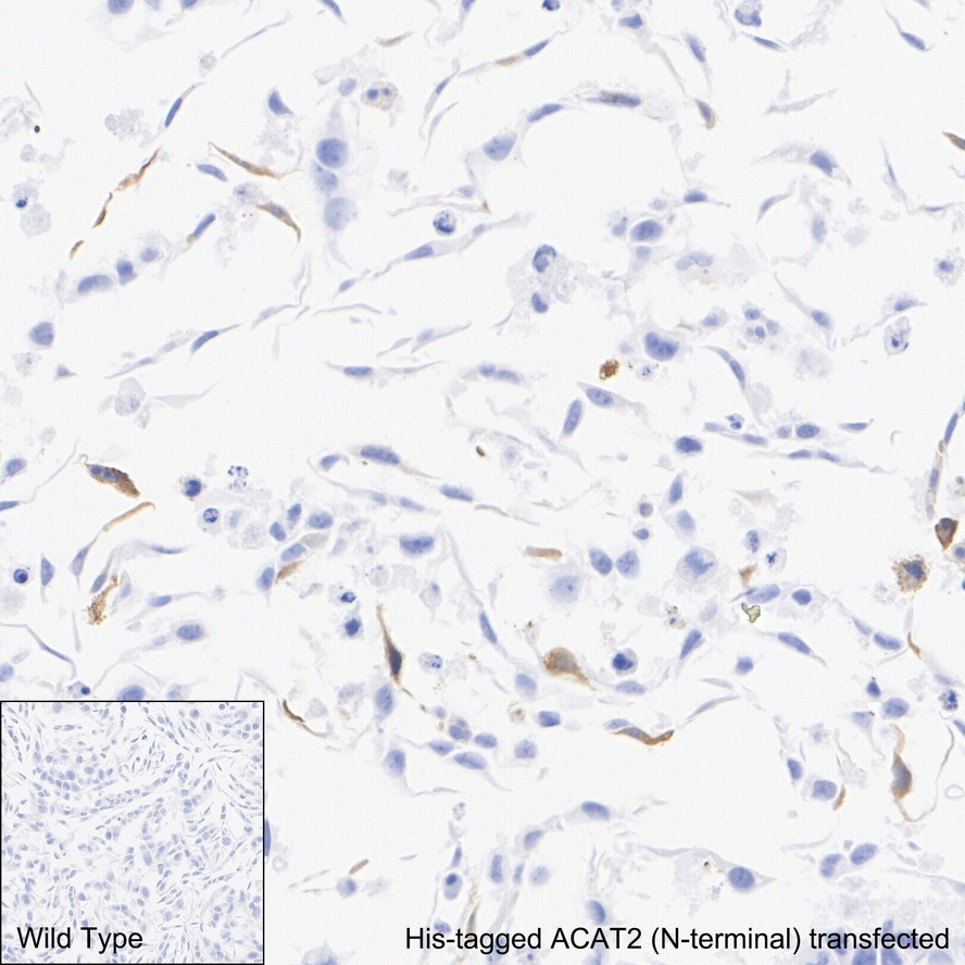
Immunohistochemical analysis of paraffin-embedded HeLa transfected with His-tagged ACAT2 (N-terminal) cells with Rabbit anti-6X His tag antibody (HA751132) at 1/10,000 dilution.
The section was pre-treated using heat mediated antigen retrieval with Tris-EDTA buffer (pH 9.0) for 20 minutes. The tissues were blocked in 1% BSA for 20 minutes at room temperature, washed with ddH2O and PBS, and then probed with the primary antibody (HA751132) at 1/10,000 dilution for 1 hour at room temperature. The detection was performed using an HRP conjugated compact polymer system. DAB was used as the chromogen. Tissues were counterstained with hematoxylin and mounted with DPX.
-
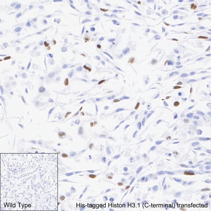
Immunohistochemical analysis of paraffin-embedded HeLa transfected with His-tagged Histon H3.1 (C-terminal) cells with Rabbit anti-6X His tag antibody (HA751132) at 1/10,000 dilution.
The section was pre-treated using heat mediated antigen retrieval with Tris-EDTA buffer (pH 9.0) for 20 minutes. The tissues were blocked in 1% BSA for 20 minutes at room temperature, washed with ddH2O and PBS, and then probed with the primary antibody (HA751132) at 1/10,000 dilution for 1 hour at room temperature. The detection was performed using an HRP conjugated compact polymer system. DAB was used as the chromogen. Tissues were counterstained with hematoxylin and mounted with DPX.
-
6X His tag was immunoprecipitated from 0.2 mg 293T transfected with His-tagged Histon H3.1 (C-terminal) cell lysate with HA751132 at 2 µg/10 µl beads. Western blot was performed from the immunoprecipitate using HA751132 at 1/500 dilution. Anti-Rabbit IgG for IP Nano-secondary antibody (NBI01H) at 1/5,000 dilution was used for 1 hour at room temperature.
Lane 1: 293T transfected with His-tagged Histon H3.1 (C-terminal) cell lysate (input)
Lane 2: HA751132 IP in 293T transfected with His-tagged Histon H3.1 (C-terminal) cell lysate
Lane 3: Rabbit IgG instead of HA751132 in 293T transfected with His-tagged Histon H3.1 (C-terminal) cell lysate
Blocking/Dilution buffer: 5% NFDM/TBST
Exposure time: 8 seconds; ECL: K1801
-
6X His tag was immunoprecipitated from 0.2 mg 293T transfected with His-tagged ACAT2 (N-terminal) cell lysate with HA751132 at 2 µg/10 µl beads. Western blot was performed from the immunoprecipitate using HA751132 at 1/500 dilution. Anti-Rabbit IgG for IP Nano-secondary antibody (NBI01H) at 1/5,000 dilution was used for 1 hour at room temperature.
Lane 1: 293T transfected with His-tagged ACAT2 (N-terminal) cell lysate (input)
Lane 2: HA751132 IP in 293T transfected with His-tagged ACAT2 (N-terminal) cell lysate
Lane 3: Rabbit IgG instead of HA751132 in 293T transfected with His-tagged ACAT2 (N-terminal) cell lysate
Blocking/Dilution buffer: 5% NFDM/TBST
Exposure time: 8 seconds; ECL: K1801
-
Flow cytometric analysis of HeLa transfected with His-tagged ACAT2 (N-terminal) cells labeling 6X His tag.
Cells were fixed and permeabilized. Then stained with the primary antibody (HA751132, 1/200) (red) compared with Rabbit IgG Isotype Control (green). After incubation of the primary antibody at +4℃ for an hour, the cells were stained with a iFluor™ 488 conjugate-Goat anti-Rabbit IgG Secondary antibody (HA1121) at 1/1,000 dilution for 30 minutes at +4℃. Unlabelled sample was used as a control (cells without incubation with primary antibody; black).
请注意: All products are "FOR RESEARCH USE ONLY AND ARE NOT INTENDED FOR DIAGNOSTIC OR THERAPEUTIC USE"