-
☑ Cell treatment (CT)
Western blot analysis of MMP-9 on different lysates with Rabbit anti-MMP-9 antibody (HA750420) at 1/5,000 dilution.
Lane 1: THP-1 whole cell lysate (20 µg/Lane)
Lane 2: THP-1 treated with 200nM TPA for 10 minutes whole cell lysate (20 µg/Lane)
Lane 3: Rat lung tissue lysate (20 µg/Lane)
Lane 4: Rat spleen tissue lysate (20 µg/Lane)
Predicted band size: 78 kDa
Observed band size: 92 kDa
Exposure time: 2 minutes;
4-20% SDS-PAGE gel.
Proteins were transferred to a PVDF membrane and blocked with 5% NFDM/TBST for 1 hour at room temperature. The primary antibody (HA750420) at 1/5,000 dilution was used in 5% NFDM/TBST at room temperature for 2 hours. Goat Anti-Rabbit IgG - HRP Secondary Antibody (HA1001) at 1:100,000 dilution was used for 1 hour at room temperature.
-
☑ Knockdown (KD)
Western blot analysis of MMP9 on different lysates with Rabbit anti-MMP9 antibody (HA750420) at 1/5,000 dilution.
Lane 1: A549-si NT+TPA(80nM 24h) cell lysate, 15 µg/Lane
Lane 2: A549-si MMP9#1+TPA(80nM 24h) cell lysate, 15 µg/Lane
Lane 3: A549-si MMP9#2+TPA(80nM 24h) cell lysate, 15 µg/Lane
Predicted band size: 78 kDa
Observed band size: 78-92 kDa
Exposure time: 1 minute 40 seconds;
4-20% SDS-PAGE gel.
Proteins were transferred to a PVDF membrane and blocked with 5% NFDM in TBST for 1 hour at room temperature. The primary antibody (ET1704-69, 1/5,000) and Loading control antibody (Rabbit anti-GAPDH, ET1601-4, 1/10,000) were used in 5% BSA at room temperature for 2 hours. Goat Anti-rabbit IgG-HRP Secondary Antibody (HA1001) at 1/100,000 dilution was used for 1 hour at room temperature.
-
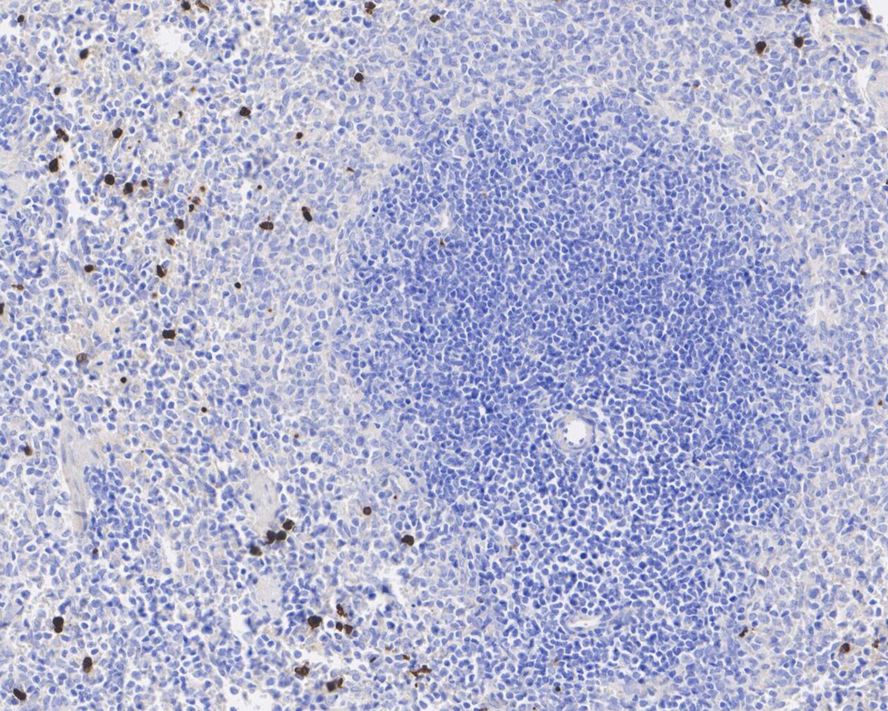
Immunohistochemical analysis of paraffin-embedded human tonsil tissue with Rabbit anti-MMP-9 antibody (HA750420) at 1/1,000 dilution.
The section was pre-treated using heat mediated antigen retrieval with Tris-EDTA buffer (pH 9.0) for 20 minutes. The tissues were blocked in 1% BSA for 20 minutes at room temperature, washed with ddH2O and PBS, and then probed with the primary antibody (HA750420) at 1/1,000 dilution for 1 hour at room temperature. The detection was performed using an HRP conjugated compact polymer system. DAB was used as the chromogen. Tissues were counterstained with hematoxylin and mounted with DPX.
-
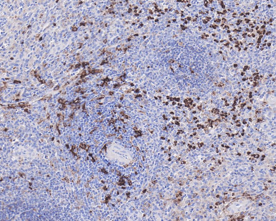
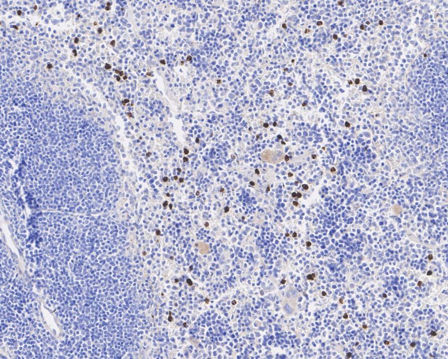
Immunohistochemical analysis of paraffin-embedded human spleen tissue with Rabbit anti-MMP-9 antibody (HA750420) at 1/1,000 dilution.
The section was pre-treated using heat mediated antigen retrieval with Tris-EDTA buffer (pH 9.0) for 20 minutes. The tissues were blocked in 1% BSA for 20 minutes at room temperature, washed with ddH2O and PBS, and then probed with the primary antibody (HA750420) at 1/1,000 dilution for 1 hour at room temperature. The detection was performed using an HRP conjugated compact polymer system. DAB was used as the chromogen. Tissues were counterstained with hematoxylin and mounted with DPX.
-
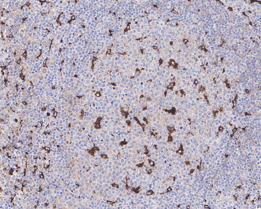
Immunohistochemical analysis of paraffin-embedded mouse spleen tissue with Rabbit anti-MMP-9 antibody (HA750420) at 1/1,000 dilution.
The section was pre-treated using heat mediated antigen retrieval with Tris-EDTA buffer (pH 9.0) for 20 minutes. The tissues were blocked in 1% BSA for 20 minutes at room temperature, washed with ddH2O and PBS, and then probed with the primary antibody (HA750420) at 1/1,000 dilution for 1 hour at room temperature. The detection was performed using an HRP conjugated compact polymer system. DAB was used as the chromogen. Tissues were counterstained with hematoxylin and mounted with DPX.
-
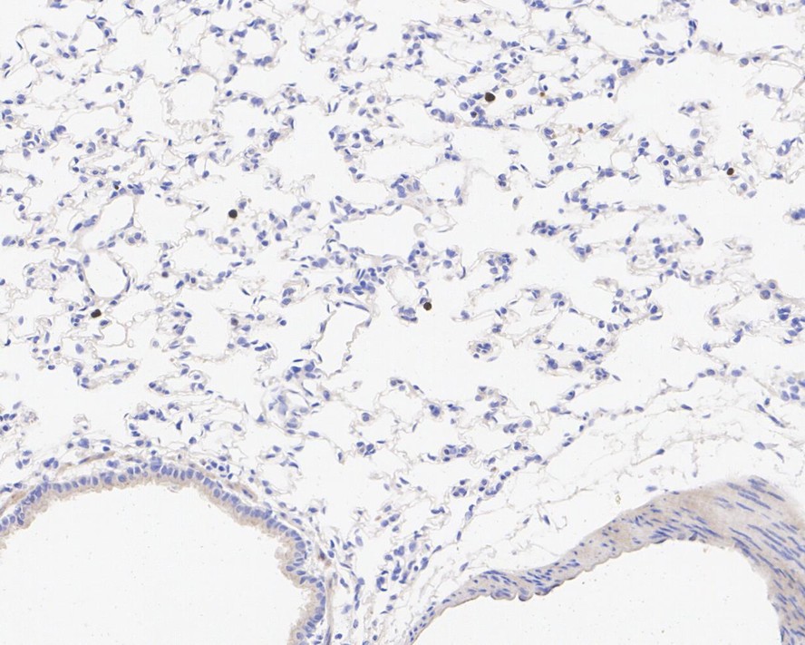
Immunohistochemical analysis of paraffin-embedded rat lung tissue with Rabbit anti-MMP-9 antibody (HA750420) at 1/1,000 dilution.
The section was pre-treated using heat mediated antigen retrieval with Tris-EDTA buffer (pH 9.0) for 20 minutes. The tissues were blocked in 1% BSA for 20 minutes at room temperature, washed with ddH2O and PBS, and then probed with the primary antibody (HA750420) at 1/1,000 dilution for 1 hour at room temperature. The detection was performed using an HRP conjugated compact polymer system. DAB was used as the chromogen. Tissues were counterstained with hematoxylin and mounted with DPX.
-
Immunohistochemical analysis of paraffin-embedded rat spleen tissue with Rabbit anti-MMP-9 antibody (HA750420) at 1/1,000 dilution.
The section was pre-treated using heat mediated antigen retrieval with Tris-EDTA buffer (pH 9.0) for 20 minutes. The tissues were blocked in 1% BSA for 20 minutes at room temperature, washed with ddH2O and PBS, and then probed with the primary antibody (HA750420) at 1/1,000 dilution for 1 hour at room temperature. The detection was performed using an HRP conjugated compact polymer system. DAB was used as the chromogen. Tissues were counterstained with hematoxylin and mounted with DPX.
-
Application: Immunofluorescence (IF-tissue)
Species: Human
Tissue: Spleen
Sample: Paraffin-embedded section
Antigen retrieval: Heat-mediated, Tris-EDTA buffer (pH 9.0), 20 minutes at 95℃.
Wash buffer: 1× PBS
Endogenous peroxidase blocking: 3% H₂O₂, 10 minutes.
Blocking: 1% BSA + 10% normal goat serum, 10 minutes at room temperature.
Primary antibody: HA750420, 1/500, overnight at 4℃.
Secondary antibody: Goat Anti-Rabbit IgG (iFluor™ 488, HA1121), 1.5 hours at room temperature.
-
Flow cytometric analysis of MMP-9 was done on A431 cells. The cells were fixed, permeabilized and stained with the primary antibody (HA750420, 1/50) (red). After incubation of the primary antibody at room temperature for an hour, the cells were stained with a Alexa Fluor 488-conjugated Goat anti-Rabbit IgG Secondary antibody at 1/1000 dilution for 30 minutes.Unlabelled sample was used as a control (cells without incubation with primary antibody; black).
请注意: All products are "FOR RESEARCH USE ONLY AND ARE NOT INTENDED FOR DIAGNOSTIC OR THERAPEUTIC USE"