-
☑ Cell treatment (CT)
Western blot analysis of Phospho-YAP1 (S127) on different lysates with Rabbit anti-Phospho-YAP1 (S127) antibody (HA750269) at 1/5,000 dilution and competitor's antibody at 1/1,000 dilution.
Lane 1: HeLa cell lysate
Lane 2: HeLa treated with 100nM Calyculin A for 30 minutes cell lysate
Lane 3: C6 cell lysate
Lane 4: C6 treated with 100nM Calyculin A for 30 minutes cell lysate
Lane 5: NIH/3T3 cell lysate
Lane 6: NIH/3T3 starved for 24 hours then treated with 100nM Calyculin A for 30 minutes cell lysate
Lysates/proteins at 20 µg/Lane.
Predicted band size: 54 kDa
Observed band size: 70 kDa
Exposure time: 50 seconds; ECL: K1802;
4-20% SDS-PAGE gel.
Proteins were transferred to a PVDF membrane and blocked with 5% NFDM/TBST for 1 hour at room temperature. The primary antibody (HA750269) at 1/5,000 dilution and competitor's antibody at 1/1,000 dilution were used in 5% BSA at 4℃ overnight. Goat Anti-Rabbit IgG - HRP Secondary Antibody (HA1001) at 1/50,000 dilution was used for 1 hour at room temperature.
-
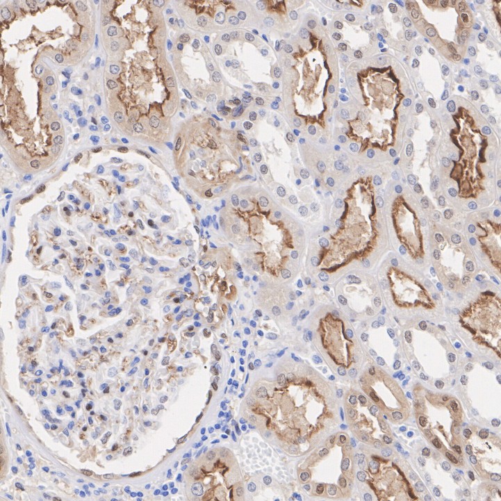
Immunohistochemical analysis of paraffin-embedded human kidney tissue with Rabbit anti-Phospho-YAP1 (S127) antibody (HA750269) at 1/5,000 dilution.
The section was pre-treated using heat mediated antigen retrieval with Tris-EDTA buffer (pH 9.0) for 20 minutes. The tissues were blocked in 1% BSA for 20 minutes at room temperature, washed with ddH2O and PBS, and then probed with the primary antibody (HA750269) at 1/5,000 dilution for 1 hour at room temperature. The detection was performed using an HRP conjugated compact polymer system. DAB was used as the chromogen. Tissues were counterstained with hematoxylin and mounted with DPX.
-
☑ Cell treatment (CT)
Western blot analysis of Phospho-YAP1 (S127) on different lysates with Rabbit anti-Phospho-YAP1 (S127) antibody (HA750269) at 1/5,000 dilution.
Lane 1: HeLa whole cell lysate
Lane 2: HeLa treated with 100nM Calyculin A for 30 minutes whole cell lysate
Lane 3: HeLa treated with 100nM Calyculin A for 30 minutes then treated with λpp for 1 hour whole cell lysate
Lane 4: NIH/3T3 whole cell lysate
Lane 5: NIH/3T3 treated with 100nM Calyculin A for 30 minutes whole cell lysate
Lane 6: NIH/3T3 treated with 100nM Calyculin A for 30 minutes then treated with λpp for 1 hour whole cell lysate
Lane 7: C6 whole cell lysate
Lane 8: C6 treated with 100nM Calyculin A for 30 minutes whole cell lysate
Lane 9: C6 treated with 100nM Calyculin A for 30 minutes then treated with λpp for 1 hour whole cell lysate
Lysates/proteins at 10 µg/Lane.
Predicted band size: 54 kDa
Observed band size: 70 kDa
Exposure time: 1 minute 6 seconds;
4-20% SDS-PAGE gel.
Proteins were transferred to a PVDF membrane and blocked with 5% NFDM/TBST for 1 hour at room temperature. The primary antibody (HA750269) at 1/5,000 dilution was used in 5% NFDM/TBST at room temperature for 2 hours. Goat Anti-Rabbit IgG - HRP Secondary Antibody (HA1001) at 1:100,000 dilution was used for 1 hour at room temperature.
-
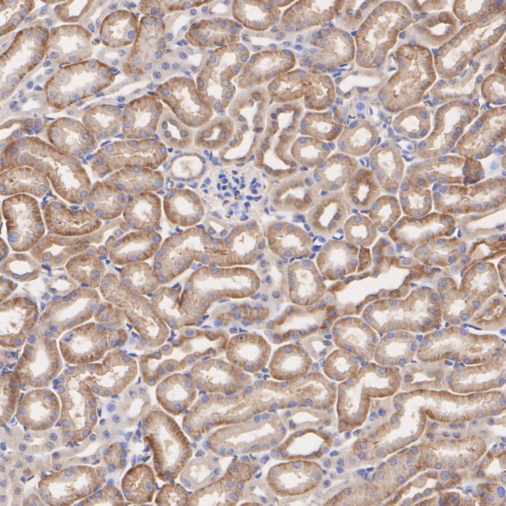
Immunohistochemical analysis of paraffin-embedded mouse kidney tissue with Rabbit anti-Phospho-YAP1 (S127) antibody (HA750269) at 1/5,000 dilution.
The section was pre-treated using heat mediated antigen retrieval with Tris-EDTA buffer (pH 9.0) for 20 minutes. The tissues were blocked in 1% BSA for 20 minutes at room temperature, washed with ddH2O and PBS, and then probed with the primary antibody (HA750269) at 1/5,000 dilution for 1 hour at room temperature. The detection was performed using an HRP conjugated compact polymer system. DAB was used as the chromogen. Tissues were counterstained with hematoxylin and mounted with DPX.
-
☑ Cell treatment (CT)
Western blot analysis of Phospho-YAP1 (S127) on SiHa cell lysates.
Lane 1: SiHa cells, whole cell lysate, 10ug/lane
Lane 2 : SiHa cells treated with 2.8ug/ul lambda-PP for 30 minutes, whole cell lysates, 10ug/lane
All lanes :
Anti-Phospho-YAP1 (S127) antibody (HA750269) at 1/500 dilution. Anti-YAP1 antibody (ET1608-30) at 1/500 dilution. Anti-GAPDH antibody (ET1601-4) at 1/10,000 dilution. Goat Anti-Rabbit IgG H&L (HRP) (HA1001) at 1/200,000 dilution.
Predicted band size: 54 kDa
Observed band size: 70 kDa
Blocking and diluting buffer: 5% BSA.
Exposure time: 2 minutes 34 seconds
-
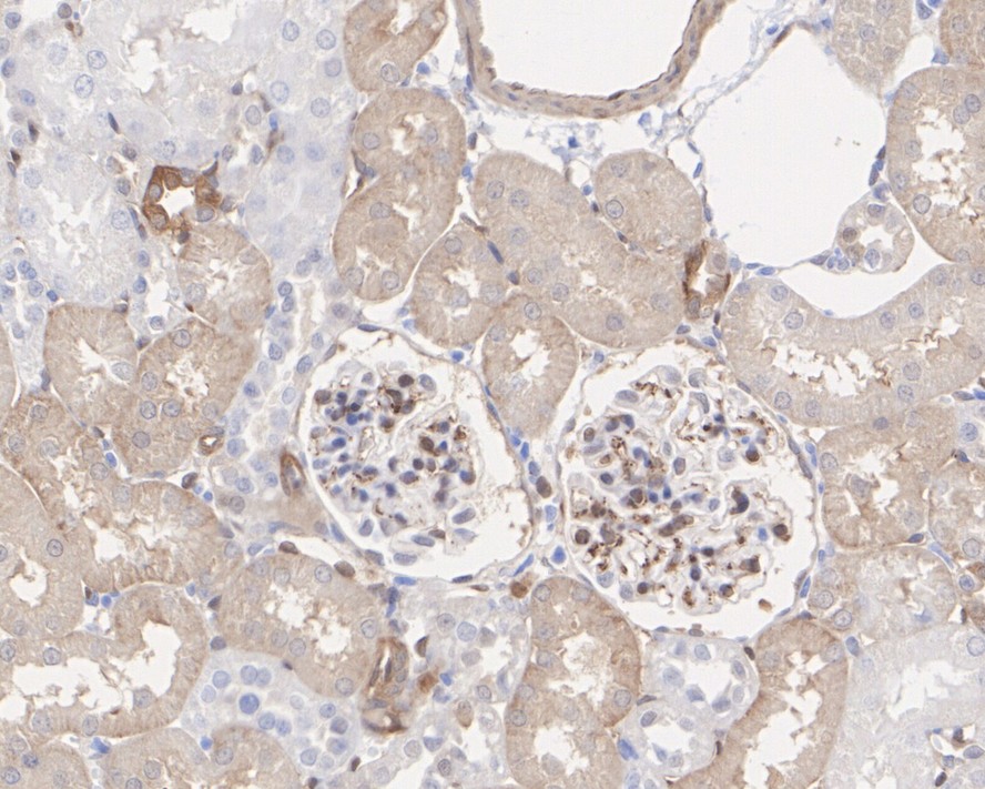
Immunohistochemical analysis of paraffin-embedded rat kidney tissue with Rabbit anti-Phospho-YAP1 (S127) antibody (HA750269) at 1/2,000 dilution.
The section was pre-treated using heat mediated antigen retrieval with Tris-EDTA buffer (pH 9.0) for 20 minutes. The tissues were blocked in 1% BSA for 20 minutes at room temperature, washed with ddH2O and PBS, and then probed with the primary antibody (HA750269) at 1/1,000 dilution for 1 hour at room temperature. The detection was performed using an HRP conjugated compact polymer system. DAB was used as the chromogen. Tissues were counterstained with hematoxylin and mounted with DPX.
请注意: All products are "FOR RESEARCH USE ONLY AND ARE NOT INTENDED FOR DIAGNOSTIC OR THERAPEUTIC USE"