图片
-
☑ Knockdown (KD)
All lanes: Western blot analysis of Cytokeratin 7 with anti-Cytokeratin 7 antibody [ST50-05] (HA750185) at 1:1,000 dilution.
Lane 1/2: Wild-type Hela whole cell lysate (20 µg).
Lane 3/4: Cytokeratin 7 fragment 1 knockdown Hela whole cell lysate (20 µg).
Lane 5/6: Cytokeratin 7 fragment 2 knockdown Hela whole cell lysate (20 µg).
ET1609-62 was shown to specifically react with Cytokeratin 7 in wild-type Hela cells. Weakened bands were observed when Cytokeratin 7 knockdown samples were tested. Wild-type and Cytokeratin 7 knockdown samples were subjected to SDS-PAGE. Proteins were transferred to a PVDF membrane and blocked with 5% NFDM in TBST for 1 hour at room temperature. The primary antibody (ET1609-62, 1/1,000) and Loading control antibody (Rabbit anti-GAPDH , ET1601-4, 1/10,000) were used in 5% BSA at room temperature for 2 hours. Goat Anti-Rabbit IgG-HRP Secondary Antibody (HA1001) at 1:200,000 dilution was used for 1 hour at room temperature.
-
☑ Relative expression (RE)
Western blot analysis of Cytokeratin 7 on different lysates with Rabbit anti-Cytokeratin 7 antibody (HA750185) at 1/5,000 dilution.
Lane 1: HeLa cell lysate
Lane 2: A549 cell lysate
Lane 3: MCF7 cell lysate (negative)
Lysates/proteins at 15 µg/Lane.
Predicted band size: 51 kDa
Observed band size: 55 kDa
Exposure time: 20 seconds;
4-20% SDS-PAGE gel.
Proteins were transferred to a PVDF membrane and blocked with 5% NFDM/TBST for 1 hour at room temperature. The primary antibody (HA750185) at 1/5,000 dilution was used in 5% NFDM/TBST at 4℃ overnight. Goat Anti-Rabbit IgG - HRP Secondary Antibody (HA1001) at 1/50,000 dilution was used for 1 hour at room temperature.
-
Immunocytochemistry analysis of A549 cells labeling Cytokeratin 7 with Rabbit anti-Cytokeratin 7 antibody (HA750185) at 1/100 dilution.
Cells were fixed in 4% paraformaldehyde for 20 minutes at room temperature, permeabilized with 0.1% Triton X-100 in PBS for 5 minutes at room temperature, then blocked with 1% BSA in 10% negative goat serum for 1 hour at room temperature. Cells were then incubated with Rabbit anti-Cytokeratin 7 antibody (HA750185) at 1/100 dilution in 1% BSA in PBST overnight at 4 ℃. Goat Anti-Rabbit IgG H&L (iFluor™ 488, HA1121) was used as the secondary antibody at 1/1,000 dilution. PBS instead of the primary antibody was used as the secondary antibody only control. Nuclear DNA was labelled in blue with DAPI.
Beta tubulin (M1305-2, red) was stained at 1/100 dilution overnight at +4℃. Goat Anti-Mouse IgG H&L (iFluor™ 594, HA1126) was used as the secondary antibody at 1/1,000 dilution.
-
Immunohistochemical analysis of paraffin-embedded human breast tissue with Rabbit anti-Cytokeratin 7 antibody (HA750185) at 1/1,500 dilution.
The section was pre-treated using heat mediated antigen retrieval with Tris-EDTA buffer (pH 9.0) for 20 minutes. The tissues were blocked in 1% BSA for 20 minutes at room temperature, washed with ddH2O and PBS, and then probed with the primary antibody (HA750185) at 1/1,500 dilution for 1 hour at room temperature. The detection was performed using an HRP conjugated compact polymer system. DAB was used as the chromogen. Tissues were counterstained with hematoxylin and mounted with DPX.
-
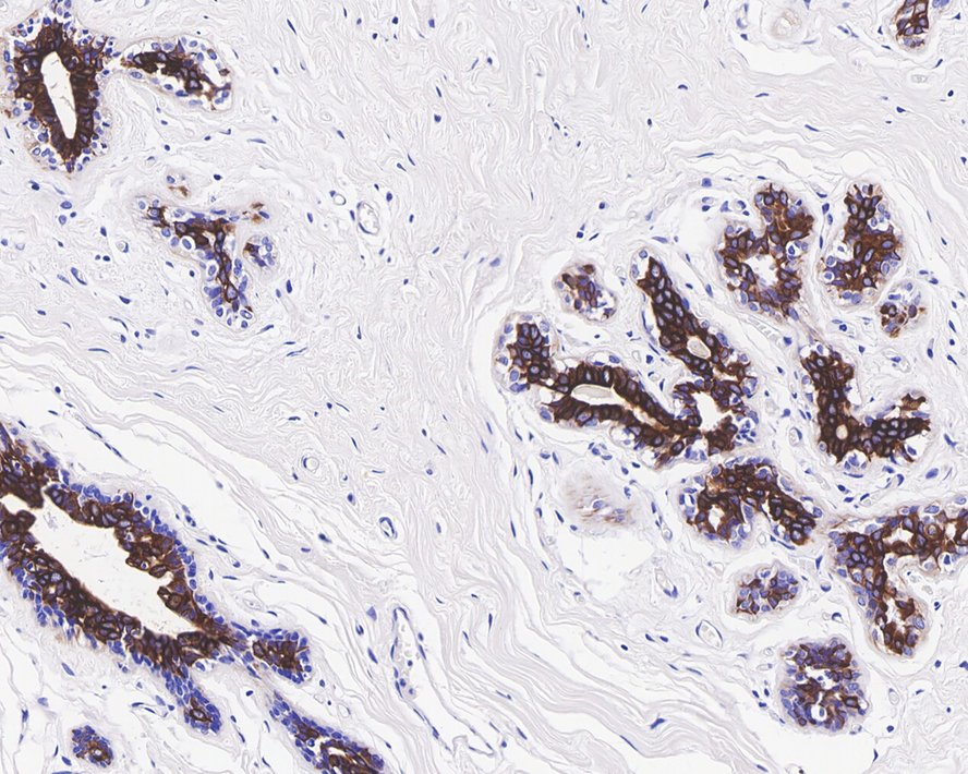
Immunohistochemical analysis of paraffin-embedded human breast tissue with Rabbit anti-Cytokeratin 7 antibody (HA750185) at 1/1,500 dilution.
The section was not undergone antigen retrieval. The tissues were blocked in 1% BSA for 20 minutes at room temperature, washed with ddH2O and PBS, and then probed with the primary antibody (HA750185) at 1/1,500 dilution for 1 hour at room temperature. The detection was performed using an HRP conjugated compact polymer system. DAB was used as the chromogen. Tissues were counterstained with hematoxylin and mounted with DPX.
-
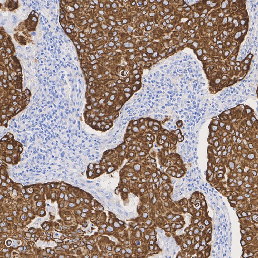
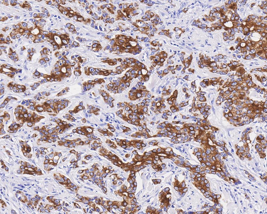
Immunohistochemical analysis of paraffin-embedded human breast carcinoma tissue with Rabbit anti-Cytokeratin 7 antibody (HA750185) at 1/400 dilution.
The section was not undergone antigen retrieval. The tissues were blocked in 1% BSA for 20 minutes at room temperature, washed with ddH2O and PBS, and then probed with the primary antibody (HA750185) at 1/400 dilution for 1 hour at room temperature. The detection was performed using an HRP conjugated compact polymer system. DAB was used as the chromogen. Tissues were counterstained with hematoxylin and mounted with DPX.
-
Immunohistochemical analysis of paraffin-embedded human breast carcinoma tissue with Rabbit anti-Cytokeratin 7 antibody (HA750185) at 1/1,500 dilution.
The section was pre-treated using heat mediated antigen retrieval with Tris-EDTA buffer (pH 9.0) for 20 minutes. The tissues were blocked in 1% BSA for 20 minutes at room temperature, washed with ddH2O and PBS, and then probed with the primary antibody (HA750185) at 1/1,500 dilution for 1 hour at room temperature. The detection was performed using an HRP conjugated compact polymer system. DAB was used as the chromogen. Tissues were counterstained with hematoxylin and mounted with DPX.
-
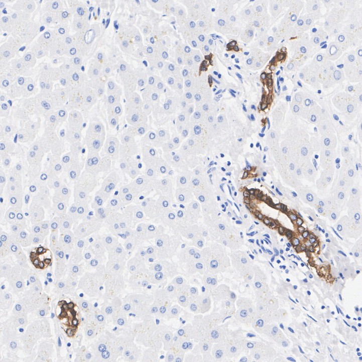
Immunohistochemical analysis of paraffin-embedded human liver tissue with Rabbit anti-Cytokeratin 7 antibody (HA750185) at 1/2,000 dilution.
The section was pre-treated using heat mediated antigen retrieval with Tris-EDTA buffer (pH 9.0) for 20 minutes. The tissues were blocked in 1% BSA for 20 minutes at room temperature, washed with ddH2O and PBS, and then probed with the primary antibody (HA750185) at 1/2,000 dilution for 1 hour at room temperature. The detection was performed using an HRP conjugated compact polymer system. DAB was used as the chromogen. Tissues were counterstained with hematoxylin and mounted with DPX.
-
Immunocytochemistry analysis of SK-Br-3 cells labeling Cytokeratin 7.
Cells were fixed in 4% paraformaldehyde and permeabilized with 0.1% Triton X-100 in PBS for 10 minutes and blocked with 1% BSA for 15 minutes at room temperature. Cells were probed with the primary antibodies Cytokeratin 7 (HA750185, red) at 1/100 dilution for overnight at 4 ℃. Goat anti rabbit IgG (iFluorTM 594) (HA1122) was used as the secondary antibody at 1/1,000 dilution dilution. DAPI was used as nuclear counterstain.
-
Immunofluorescence analysis of paraffin-embedded human breast tissue labeling Cytokeratin 7 (HA750185).
The section was pre-treated using heat mediated antigen retrieval with Tris-EDTA buffer (pH 9.0) for 20 minutes. The tissues were blocked in 10% negative goat serum for 1 hour at room temperature, washed with PBS. And then probed with the primary antibodies Cytokeratin 7 (ET1609-62, red) at 1/400 dilution at +4℃ overnight, washed with PBS.
Goat Anti-Rabbit IgG H&L (iFluor™ 594, HA1122) was used as the secondary antibodies at 1/1,000 dilution. Nuclei were counterstained with DAPI (blue).
-
Immunofluorescence analysis of paraffin-embedded human liver tissue labeling Cytokeratin 7 (HA750185).
The section was pre-treated using heat mediated antigen retrieval with Tris-EDTA buffer (pH 9.0) for 20 minutes. The tissues were blocked in 10% negative goat serum for 1 hour at room temperature, washed with PBS. And then probed with the primary antibodies Cytokeratin 7 (ET1609-62, red) at 1/400 dilution at +4℃ overnight, washed with PBS.
Goat Anti-Rabbit IgG H&L (iFluor™ 594, HA1122) was used as the secondary antibodies at 1/1,000 dilution. Nuclei were counterstained with DAPI (blue).
-
Flow cytometric analysis of A549 cells labeling Cytokeratin 7.
Cells were fixed and permeabilized. Then stained with the primary antibody (HA750185, 1μg/mL) (red) compared with Rabbit IgG Isotype Control (green). After incubation of the primary antibody at +4℃ for an hour, the cells were stained with a iFluor™ 488 conjugate-Goat anti-Rabbit IgG Secondary antibody (HA1121) at 1/1,000 dilution for 30 minutes at +4℃. Unlabelled sample was used as a control (cells without incubation with primary antibody; black).
-
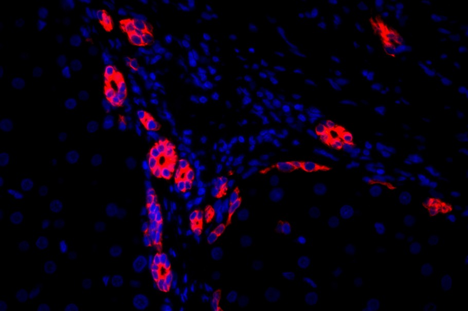
Application: IF-Tissue
Species: Human
Site: breast carcinoma
Sample: Paraffin-embedded section
Antibody concentration: 1/200
请注意: All products are "FOR RESEARCH USE ONLY AND ARE NOT INTENDED FOR DIAGNOSTIC OR THERAPEUTIC USE"