图片
-
Western blot analysis of VCAM1 on different lysates with Rabbit anti-VCAM1 antibody (HA750009) at 1/5,000 dilution and competitor's antibody at 1/1,000 dilution.
Lane 1: C2C12 cell lysate (20 µg/Lane)
Lane 2: 3T3-L1 cell lysate (20 µg/Lane)
Lane 3: Mouse spleen tissue lysate (20 µg/Lane)
Lane 4: Rat spleen tissue lysate (20 µg/Lane)
Predicted band size: 81 kDa
Observed band size: 100 kDa
Exposure time: 3 minutes; ECL: K1801;
4-20% SDS-PAGE gel.
Proteins were transferred to a PVDF membrane and blocked with 5% NFDM/TBST for 1 hour at room temperature. The primary antibody (HA750009) at 1/5,000 dilution and competitor's antibody at 1/1,000 dilution were used in 5% NFDM/TBST at 4℃ overnight. Goat Anti-Rabbit IgG - HRP Secondary Antibody (HA1001) at 1/50,000 dilution was used for 1 hour at room temperature.
-
☑ Relative expression (RE)
Western blot analysis of VCAM1 on different lysates with Rabbit anti-VCAM1 antibody (HA750009) at 1/5,000 dilution.
Lane 1: NIH/3T3 cell lysate (20 µg/Lane)
Lane 2: C2C12 cell lysate (20 µg/Lane)
Lane 3: RAW264.7 cell lysate (negative) (20 µg/Lane)
Lane 4: Mouse spleen tissue lysate (20 µg/Lane)
Lane 5: Rat spleen tissue lysate (20 µg/Lane)
Predicted band size: 81 kDa
Observed band size: 100 kDa
Exposure time: 24 seconds; ECL: K1801;
4-20% SDS-PAGE gel.
Proteins were transferred to a PVDF membrane and blocked with 5% NFDM/TBST for 1 hour at room temperature. The primary antibody (HA750009) at 1/5,000 dilution was used in 5% NFDM/TBST at 4℃ overnight. Goat Anti-Rabbit IgG - HRP Secondary Antibody (HA1001) at 1/50,000 dilution was used for 1 hour at room temperature.
-
Immunohistochemical analysis of paraffin-embedded human tonsil tissue using anti-VCAM1 antibody.
The section was pre-treated using heat mediated antigen retrieval with Tris-EDTA buffer (pH 9.0) for 20 minutes.The tissues were blocked in 5% BSA for 30 minutes at room temperature, washed with ddH2O and PBS, and then probed with the primary antibody (HA750009, 1/200) for 30 minutes at room temperature. The detection was performed using an HRP conjugated compact polymer system. DAB was used as the chromogen. Tissues were counterstained with hematoxylin and mounted with DPX.
-
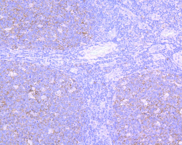
Immunohistochemical analysis of paraffin-embedded human spleen tissue with Rabbit anti-VCAM1 antibody (HA750009) at 1/200 dilution.
The section was pre-treated using heat mediated antigen retrieval with Tris-EDTA buffer (pH 9.0) for 20 minutes. The tissues were blocked in 1% BSA for 20 minutes at room temperature, washed with ddH2O and PBS, and then probed with the primary antibody (HA750009) at 1/200 dilution for 1 hour at room temperature. The detection was performed using an HRP conjugated compact polymer system. DAB was used as the chromogen. Tissues were counterstained with hematoxylin and mounted with DPX.
-
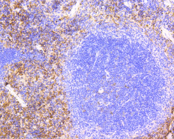
Immunohistochemical analysis of paraffin-embedded mouse spleen tissue using anti-VCAM1 antibody.
The section was pre-treated using heat mediated antigen retrieval with Tris-EDTA buffer (pH 9.0) for 20 minutes.The tissues were blocked in 5% BSA for 30 minutes at room temperature, washed with ddH2O and PBS, and then probed with the primary antibody (HA750009, 1/200) for 30 minutes at room temperature. The detection was performed using an HRP conjugated compact polymer system. DAB was used as the chromogen. Tissues were counterstained with hematoxylin and mounted with DPX.
-
☑ Knockdown (KD)
Western blot analysis of VCAM1 on different lysates with Rabbit anti-VCAM1 antibody (HA750009) at 1/5,000 dilution.
Lane 1: C2C12-si NT cell lysate
Lane 2: C2C12-si VCAM1 cell lysate
Lysates/proteins at 10 µg/Lane.
Predicted band size: 81 kDa
Observed band size: 100 kDa
Exposure time: 1 minute; ECL: K1801;
4-20% SDS-PAGE gel.
ET1601-18 was shown to specifically react with VCAM1 in C2C12-si NT cells. Weakened band was observed when C2C12-si VCAM1 sample was tested. C2C12-si NT and C2C12-si VCAM1 samples were subjected to SDS-PAGE. Proteins were transferred to a PVDF membrane and blocked with 5% NFDM in TBST for 1 hour at room temperature. The primary antibody (ET1601-18, 1/5,000) and Loading control antibody (Rabbit anti-GAPDH, ET1601-4, 1/10,000) were used in 5% NFDM/TBST at 4℃ overnight. Goat Anti-rabbit IgG-HRP Secondary Antibody (HA1001) at 1/50,000 dilution was used for 1 hour at room temperature.
-
VCAM1 was immunoprecipitated in 0.2mg C2C12 cell lysate with HA750009 at 2 µg/10 µl beads. Western blot was performed from the immunoprecipitate using HA750009 at 1/2,000 dilution. Anti-Rabbit IgG for IP Nano-secondary antibody (NBI01H) at 1/5,000 dilution was used for 1 hour at room temperature.
Lane 1: C2C12 cell lysate (input)
Lane 2: Rabbit IgG instead of HA750009 in C2C12 cell lysate
Lane 3: HA750009 IP in C2C12 cell lysate
Blocking/Dilution buffer: 5% NFDM/TBST
Exposure time: 5 seconds; ECL: K1802
-
Immunocytochemistry analysis of C2C12 cells labeling VCAM1 with Rabbit anti-VCAM1 antibody (HA750009) at 1/1,000 dilution.
Cells were fixed in 4% paraformaldehyde for 20 minutes at room temperature, permeabilized with 0.1% Triton X-100 in PBS for 5 minutes at room temperature, then blocked with 1% BSA in 10% negative goat serum for 1 hour at room temperature. Cells were then incubated with Rabbit anti-VCAM1 antibody (HA750009) at 1/1,000 dilution in 1% BSA in PBST overnight at 4 ℃. Goat Anti-Rabbit IgG H&L (iFluor™ 488, HA1121) was used as the secondary antibody at 1/1,000 dilution. PBS instead of the primary antibody was used as the secondary antibody only control. Nuclear DNA was labelled in blue with DAPI.
Beta tubulin (M1305-2, red) was stained at 1/100 dilution overnight at +4℃. Goat Anti-Mouse IgG H&L (iFluor™ 594, HA1126) was used as the secondary antibody at 1/1,000 dilution.
-
Flow cytometric analysis of C2C12 cells labeling VCAM1.
Cells were fixed and permeabilized. Then stained with the primary antibody (HA750009, 1/1,000) (red) compared with Rabbit IgG Isotype Control (green). After incubation of the primary antibody at +4℃ for an hour, the cells were stained with a iFluor™ 488 conjugate-Goat anti-Rabbit IgG Secondary antibody (HA1121) at 1/1,000 dilution for 30 minutes at +4℃. Unlabelled sample was used as a control (cells without incubation with primary antibody; black).
请注意: All products are "FOR RESEARCH USE ONLY AND ARE NOT INTENDED FOR DIAGNOSTIC OR THERAPEUTIC USE"