概述
产品名称
CEBP alpha Recombinant Rabbit Monoclonal Antibody [PSH20-43]
抗体类型
Recombinant Rabbit monoclonal Antibody
种属反应性
Human, Mouse, Rat
验证应用
WB, IHC-P, IF-Cell, FC, IP
分子量
Predicted band size: 38 kDa
阳性对照
THP-1 cell lysate, HepG2 cell lysate, LNCaP cell lysate, U-937 cell lysate, THP-1, human lung tissue, mouse liver tissue, mouse spleen tissue, rat liver tissue, rat lung tissue, rat spleen tissue, rat colon tissue.
偶联
unconjugated
克隆号
PSH20-43
反应性数据
Tested 已验证(内部验证通过)
Published 文献已报道(未内部验证,但有文献支持)
Predicted 预测可反应(基于高同源性)
Not recommended 不推荐(内部验证未通过)
| WB | IHC-P | IF-Cell | FC | IP | |
|---|---|---|---|---|---|
| Human |
|
|
|
|
|
| Mouse |
|
|
|
|
|
| Rat |
|
|
|
|
|
| Monkey |
|
产品特性
形态
Liquid
存放说明
Shipped at 4℃. Store at +4℃ short term (1-2 weeks). It is recommended to aliquot into single-use upon delivery. Store at -20℃ long term.
存储缓冲液
PBS (pH7.4), 0.1% BSA, 40% Glycerol. Preservative: 0.05% Sodium Azide.
亚型
IgG
纯化方式
Protein A affinity purified.
应用稀释度
-
WB
-
1:5,000
-
IHC-P
-
1:200-1:1,000
-
IF-Cell
-
1:1,000
-
FC
-
1:1,000
-
IP
-
1-2μg/sample
靶点
功能
The transcription factor C/EBP α (CCAAT-enhancer binding protein) is a heat-stable, sequence-specific DNA-binding protein that binds avidly to several different cis-regulatory DNA sequences commonly associated with viral and cellular genes transcribed by RNA polymerase II. C/EBP α regulates gene expression in a variety of tissues including liver, adipose, lung and intestine. C/EBP α is a basic region/leucine zipper transcription factor selectively expressed during the differentiation of liver, adipose tissue, blood cells and the endocrine pancreas. C/EBP α uses a bipartite structural motif to bind DNA and appears to function exclusively in terminally differentiated, growth-arrested cells. In the liver, C/EBP α is a transactivator of several genes, which are regulated by growth hormone. Growth hormone enhances not only the levels of C/EBP α mRNA and protein, but also the DNA binding activity of C/EBP α. C/EBP α functions as an important transcription factor that regulates different genes, including prolactin gene expression.
背景文献
1. Christou-Kent M et al. CEBPA phase separation links transcriptional activity and 3D chromatin hubs. Cell Rep. 2023 Aug
2. Georgi JA et al. Prognostic impact of CEBPA mutational subgroups in adult AML. Leukemia. 2024 Feb
亚细胞定位
Nucleus, nucleolus.
别名
Apoptotic cysteine protease antibody
Apoptotic protease Mch 5 antibody
C/EBP alpha antibody
C/ebpalpha antibody
CAP4 antibody
Caspase 8 precursor antibody
CBF-A antibody
CCAAT Enhancer Binding Protein alpha antibody
CCAAT/enhancer binding protein (C/EBP), alpha antibody
CCAAT/enhancer-binding protein alpha antibody
展开Apoptotic cysteine protease antibody
Apoptotic protease Mch 5 antibody
C/EBP alpha antibody
C/ebpalpha antibody
CAP4 antibody
Caspase 8 precursor antibody
CBF-A antibody
CCAAT Enhancer Binding Protein alpha antibody
CCAAT/enhancer binding protein (C/EBP), alpha antibody
CCAAT/enhancer-binding protein alpha antibody
CEBP antibody
CEBP A antibody
CEBP alpha antibody
Cebpa antibody
CEBPA_HUMAN antibody
FADD homologous ICE/CED 3 like protease antibody
FADD like ICE antibody
FLICE antibody
ICE like apoptotic protease 5 antibody
ICE8 antibody
MACH antibody
MCH5 antibody
MORT1 associated CED 3 homolog antibody
折叠图片
-
☑ Relative expression (RE)
Western blot analysis of CEBP alpha on different lysates with Rabbit anti-CEBP alpha antibody (HA724154) at 1/5,000 dilution.
Lane 1: THP-1 cell lysate (20 µg/Lane)
Lane 2: HepG2 cell lysate (20 µg/Lane)
Lane 3: LNCaP cell lysate (20 µg/Lane)
Lane 4: U-937 cell lysate (20 µg/Lane)
Lane 5: Jurkat cell lysate (negative) (20 µg/Lane)
Predicted band size: 38 kDa
Observed band size: 30-42 kDa
Exposure time: 20 seconds; ECL: K1801;
4-20% SDS-PAGE gel.
Proteins were transferred to a PVDF membrane and blocked with 5% NFDM/TBST for 1 hour at room temperature. The primary antibody (HA724154) at 1/5,000 dilution was used in primary antibody dilution (K1803) at 4℃ overnight. Goat Anti-Rabbit IgG - HRP Secondary Antibody (HA1001) at 1/50,000 dilution was used for 1 hour at room temperature. -
☑ Relative expression (RE)
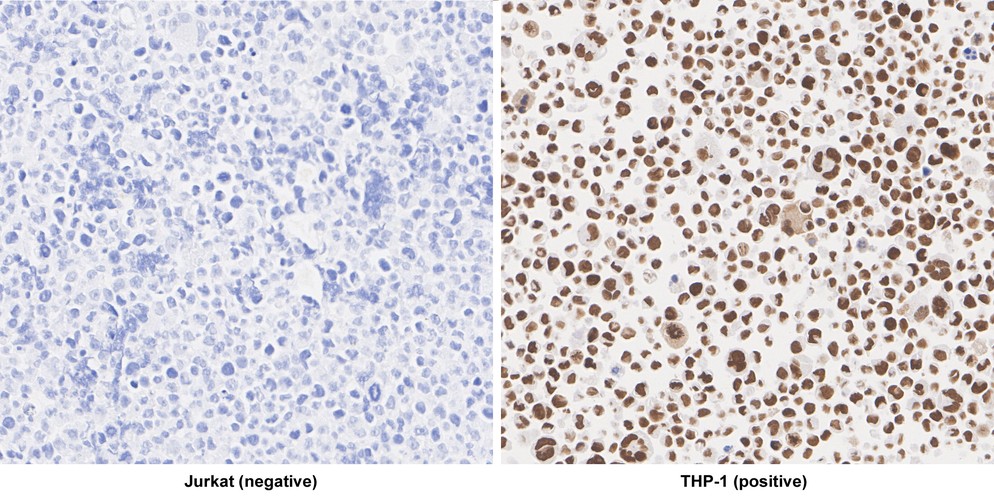
Immunohistochemical analysis of paraffin-embedded Jurkat (left, negative) and THP-1 (right, positive) cells with Rabbit anti-CEBP alpha antibody (HA724154) at 1/1,000 dilution.
The section was pre-treated using heat mediated antigen retrieval with Tris-EDTA buffer (pH 9.0) for 20 minutes. The tissues were blocked in 1% BSA for 20 minutes at room temperature, washed with ddH2O and PBS, and then probed with the primary antibody (HA724154) at 1/1,000 dilution for 1 hour at room temperature. The detection was performed using an HRP conjugated compact polymer system. DAB was used as the chromogen. Tissues were counterstained with hematoxylin and mounted with DPX. -
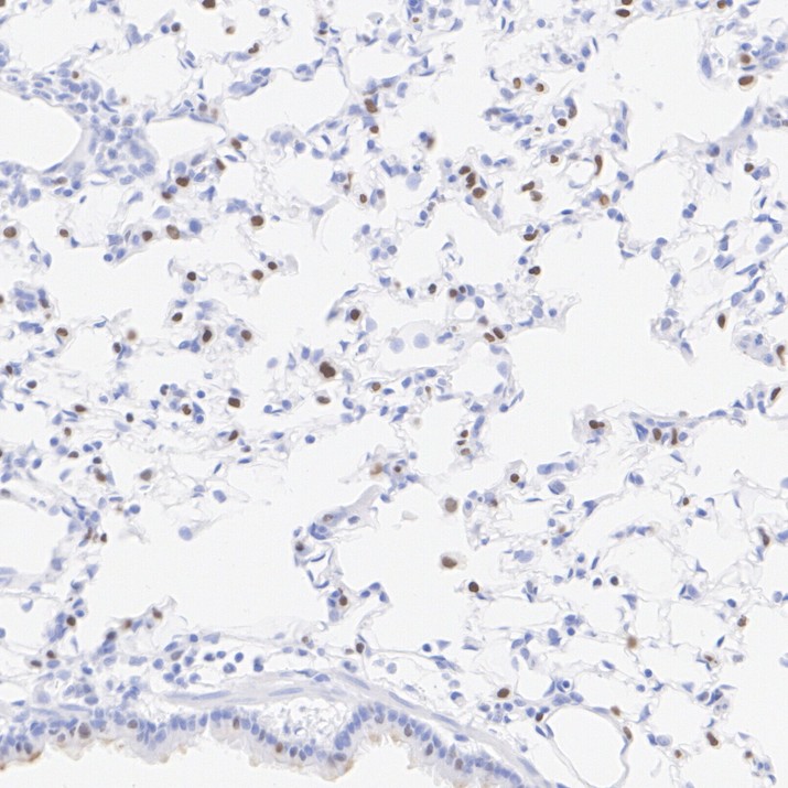
Immunohistochemical analysis of paraffin-embedded human lung tissue with Rabbit anti-CEBP alpha antibody (HA724154) at 1/200 dilution.
The section was pre-treated using heat mediated antigen retrieval with Tris-EDTA buffer (pH 9.0) for 20 minutes. The tissues were blocked in 1% BSA for 20 minutes at room temperature, washed with ddH2O and PBS, and then probed with the primary antibody (HA724154) at 1/200 dilution for 1 hour at room temperature. The detection was performed using an HRP conjugated compact polymer system. DAB was used as the chromogen. Tissues were counterstained with hematoxylin and mounted with DPX. -
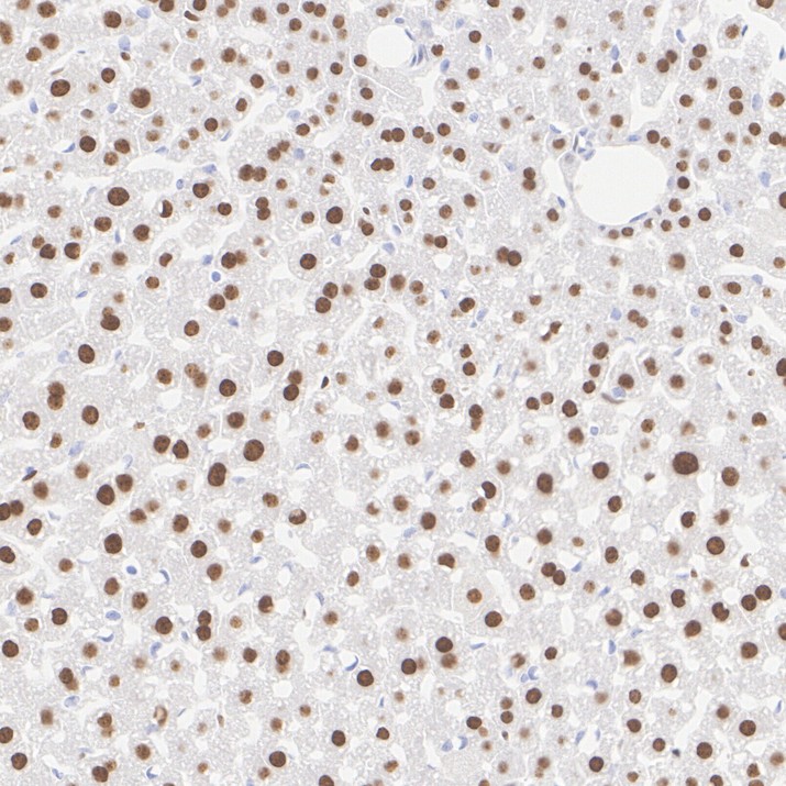
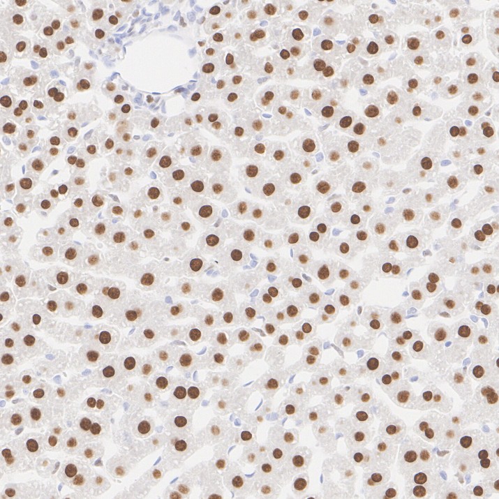
Immunohistochemical analysis of paraffin-embedded mouse liver tissue with Rabbit anti-CEBP alpha antibody (HA724154) at 1/1,000 dilution.
The section was pre-treated using heat mediated antigen retrieval with Tris-EDTA buffer (pH 9.0) for 20 minutes. The tissues were blocked in 1% BSA for 20 minutes at room temperature, washed with ddH2O and PBS, and then probed with the primary antibody (HA724154) at 1/1,000 dilution for 1 hour at room temperature. The detection was performed using an HRP conjugated compact polymer system. DAB was used as the chromogen. Tissues were counterstained with hematoxylin and mounted with DPX. -
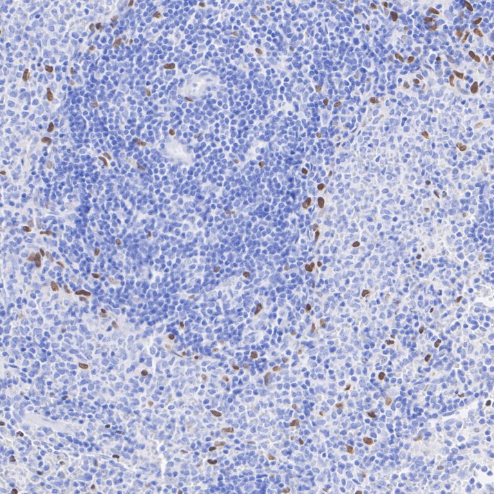
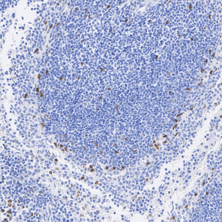
Immunohistochemical analysis of paraffin-embedded mouse spleen tissue with Rabbit anti-CEBP alpha antibody (HA724154) at 1/1,000 dilution.
The section was pre-treated using heat mediated antigen retrieval with Tris-EDTA buffer (pH 9.0) for 20 minutes. The tissues were blocked in 1% BSA for 20 minutes at room temperature, washed with ddH2O and PBS, and then probed with the primary antibody (HA724154) at 1/1,000 dilution for 1 hour at room temperature. The detection was performed using an HRP conjugated compact polymer system. DAB was used as the chromogen. Tissues were counterstained with hematoxylin and mounted with DPX. -
Immunohistochemical analysis of paraffin-embedded rat liver tissue with Rabbit anti-CEBP alpha antibody (HA724154) at 1/1,000 dilution.
The section was pre-treated using heat mediated antigen retrieval with Tris-EDTA buffer (pH 9.0) for 20 minutes. The tissues were blocked in 1% BSA for 20 minutes at room temperature, washed with ddH2O and PBS, and then probed with the primary antibody (HA724154) at 1/1,000 dilution for 1 hour at room temperature. The detection was performed using an HRP conjugated compact polymer system. DAB was used as the chromogen. Tissues were counterstained with hematoxylin and mounted with DPX. -
Immunohistochemical analysis of paraffin-embedded rat lung tissue with Rabbit anti-CEBP alpha antibody (HA724154) at 1/1,000 dilution.
The section was pre-treated using heat mediated antigen retrieval with Tris-EDTA buffer (pH 9.0) for 20 minutes. The tissues were blocked in 1% BSA for 20 minutes at room temperature, washed with ddH2O and PBS, and then probed with the primary antibody (HA724154) at 1/1,000 dilution for 1 hour at room temperature. The detection was performed using an HRP conjugated compact polymer system. DAB was used as the chromogen. Tissues were counterstained with hematoxylin and mounted with DPX. -
Immunohistochemical analysis of paraffin-embedded rat spleen tissue with Rabbit anti-CEBP alpha antibody (HA724154) at 1/1,000 dilution.
The section was pre-treated using heat mediated antigen retrieval with Tris-EDTA buffer (pH 9.0) for 20 minutes. The tissues were blocked in 1% BSA for 20 minutes at room temperature, washed with ddH2O and PBS, and then probed with the primary antibody (HA724154) at 1/1,000 dilution for 1 hour at room temperature. The detection was performed using an HRP conjugated compact polymer system. DAB was used as the chromogen. Tissues were counterstained with hematoxylin and mounted with DPX. -
Immunohistochemical analysis of paraffin-embedded rat colon tissue with Rabbit anti-CEBP alpha antibody (HA724154) at 1/200 dilution.
The section was pre-treated using heat mediated antigen retrieval with Tris-EDTA buffer (pH 9.0) for 20 minutes. The tissues were blocked in 1% BSA for 20 minutes at room temperature, washed with ddH2O and PBS, and then probed with the primary antibody (HA724154) at 1/200 dilution for 1 hour at room temperature. The detection was performed using an HRP conjugated compact polymer system. DAB was used as the chromogen. Tissues were counterstained with hematoxylin and mounted with DPX. -
☑ Relative expression (RE)
Immunocytochemistry analysis of THP-1 (positive) and Jurkat (negative) labeling CEBP alpha with Rabbit anti-CEBP alpha antibody (HA724154) at 1/1,000 dilution.
Cells were fixed in 4% paraformaldehyde for 15 minutes at room temperature, permeabilized with 0.1% Triton X-100 in PBS for 15 minutes at room temperature, then blocked with 1% BSA in 10% negative goat serum for 1 hour at room temperature. Cells were then incubated with Rabbit anti-CEBP alpha antibody (HA724154) at 1/1,000 dilution in 1% BSA in PBST overnight at 4 ℃. Goat Anti-Rabbit IgG H&L (iFluor™ 488, HA1121) was used as the secondary antibody at 1/1,000 dilution. PBS instead of the primary antibody was used as the secondary antibody only control. Nuclear DNA was labelled in blue with DAPI.
Beta tubulin (HA601187, red) was stained at 1/100 dilution overnight at +4℃. Goat Anti-Mouse IgG H&L (iFluor™ 594, HA1126) was used as the secondary antibody at 1/1,000 dilution. -
☑ Relative expression (RE)
Flow cytometric analysis of Jurkat (left, negative) and THP-1 (right, positive) cells labeling CEBP alpha.
Cells were fixed and permeabilized. Then stained with the primary antibody (HA724154, 1/1,000) (red) compared with Rabbit IgG Isotype Control (green). After incubation of the primary antibody at +4℃ for an hour, the cells were stained with a iFluor™ 488 conjugate-Goat anti-Rabbit IgG Secondary antibody (HA1121) at 1/1,000 dilution for 30 minutes at +4℃. Unlabelled sample was used as a control (cells without incubation with primary antibody; black). -
CEBP alpha was immunoprecipitated from 0.2 mg LNCaP cell lysate with HA724154 at 2 µg/10 µl beads. Western blot was performed from the immunoprecipitate using HA724154 at 1/5,000 dilution. HRP Conjugated Anti-Rabbit IgG for IP Nano-secondary antibody at 1/5,000 dilution was used for 1 hour at room temperature.
Lane 1: LNCaP cell lysate (input)
Lane 2: HA724154 IP in LNCaP cell lysate
Lane 3: Rabbit IgG instead of HA724154 in LNCaP cell lysate
Blocking/Dilution buffer: primary antibody dilution (K1803)
Exposure time: 3 minutes; ECL: K1801
请注意: All products are "FOR RESEARCH USE ONLY AND ARE NOT INTENDED FOR DIAGNOSTIC OR THERAPEUTIC USE"
同靶点 & 同通路的产品
CEBP alpha Recombinant Rabbit Monoclonal Antibody [PSH20-43] - BSA and Azide free
Application: WB,IHC-P,IF-Cell,FC,IP
Reactivity: Human,Mouse,Rat
Conjugate: unconjugated
CEBP alpha Recombinant Rabbit Monoclonal Antibody [SD202-09]
Application: WB,IP
Reactivity: Human,Mouse,Rat
Conjugate: unconjugated
CEBP alpha Recombinant Rabbit Monoclonal Antibody [PSH19-55]
Application: WB,IF-Cell,IHC-P,FC,IP
Reactivity: Human,Mouse,Rat
Conjugate: unconjugated
CEBP alpha Recombinant Rabbit Monoclonal Antibody [PSH19-55] - BSA and Azide free
Application: WB,IF-Cell,IHC-P,FC,IP
Reactivity: Human,Mouse,Rat
Conjugate: unconjugated

浙公网安备 33019202000643号